JavaScript is disabled in your browser. Please enable JavaScript to view this website.
AB236900

Anti-Serine Palmitoyltransferase antibody

Be the first to review this product! Submit a review

|

(6 Publications)

Rabbit Polyclonal Serine Palmitoyltransferase antibody. Suitable for WB, IHC-P, ICC/IF and reacts with Human samples. Cited in 6 publications. Immunogen corresponding to Recombinant Fragment Protein within Human SPTLC2 aa 50 to C-terminus.

View Alternative Names

KIAA0526, LCB2, SPTLC2, Serine palmitoyltransferase 2, Long chain base biosynthesis protein 2, Long chain base biosynthesis protein 2a, Serine-palmitoyl-CoA transferase 2, LCB 2, LCB2a, SPT 2

3 Images
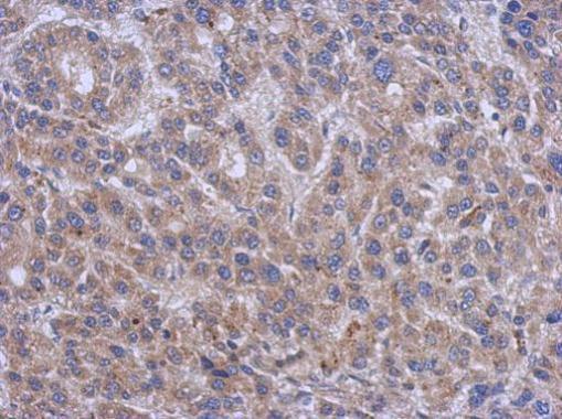
Immunohistochemistry (Formalin/PFA-fixed paraffin-embedded sections) - Anti-Serine Palmitoyltransferase antibody (AB236900)
  • IHC-P

Supplier Data

Immunohistochemistry (Formalin/PFA-fixed paraffin-embedded sections) - Anti-Serine Palmitoyltransferase antibody (AB236900)

Paraffin-embedded human adrenal gland tissue stained for Serine Palmitoyltransferase using ab236900 at 1/100 dilution in immunohistochemical analysis.

Immunocytochemistry/ Immunofluorescence - Anti-Serine Palmitoyltransferase antibody (AB236900)
  • ICC/IF

Supplier Data

Immunocytochemistry/ Immunofluorescence - Anti-Serine Palmitoyltransferase antibody (AB236900)

HepG2 (Human liver hepatocellular carcinoma cell line) cells stained for Serine Palmitoyltransferase (green) using ab236900 at 1/100 dilution in ICC/IF, followed by an Alexa-Fluor®488 conjugated Goat Anti-Rabbit IgG (H+L).

Western blot - Anti-Serine Palmitoyltransferase antibody (AB236900)
  • WB

Supplier Data

Western blot - Anti-Serine Palmitoyltransferase antibody (AB236900)

All lanes:

Western blot - Anti-Serine Palmitoyltransferase antibody (ab236900) at 1/500 dilution

Lane 1:

HepG2 (Human liver hepatocellular carcinoma cell line) whole cell lysate

Lane 2:

A549 (Human lung carcinoma cell line) whole cell lysate

Lane 3:

HT-29 (Human colorectal adenocarcinoma cell line) whole cell lysate

Secondary

All lanes:

Goat polyclonal to Rabbit IgG at 1/10000 dilution

Predicted band size: 63 kDa

false

Key facts

Host species

Rabbit

Clonality

Polyclonal

Isotype

IgG

Carrier free

No

Reacts with

Human

Applications

WB, IHC-P, ICC/IF

applications

Immunogen

Recombinant Fragment Protein within Human SPTLC2 aa 50 to C-terminus. The exact immunogen used to generate this antibody is proprietary information.

O15270

Reactivity data

{ "title": "Reactivity Data", "filters": { "stats": ["", "Species", "Dilution Info", "Notes"], "tabs": { "all-applications": {"fullname" : "All Applications", "shortname": "All Applications"}, "WB" : {"fullname" : "Western blot", "shortname":"WB"}, "IHCP" : {"fullname" : "Immunohistochemistry (Formalin/PFA-fixed paraffin-embedded sections)", "shortname":"IHC-P"}, "ICCIF" : {"fullname" : "Immunocytochemistry/ Immunofluorescence", "shortname":"ICC/IF"} }, "product-promise": { "all": "all", "testedAndGuaranteed": "tested", "guaranteed": "expected", "predicted": "predicted", "notRecommended": "not-recommended" } }, "values": { "Human": { "WB-species-checked": "testedAndGuaranteed", "WB-species-dilution-info": "1/500 - 1/2000", "WB-species-notes": "<p></p>", "IHCP-species-checked": "testedAndGuaranteed", "IHCP-species-dilution-info": "1/20 - 1/200", "IHCP-species-notes": "<p></p>", "ICCIF-species-checked": "testedAndGuaranteed", "ICCIF-species-dilution-info": "1/50 - 1/200", "ICCIF-species-notes": "<p></p>" }, "Mouse": { "WB-species-checked": "predicted", "WB-species-dilution-info": "", "WB-species-notes": "", "IHCP-species-checked": "predicted", "IHCP-species-dilution-info": "", "IHCP-species-notes": "", "ICCIF-species-checked": "predicted", "ICCIF-species-dilution-info": "", "ICCIF-species-notes": "" }, "Chinese hamster": { "WB-species-checked": "predicted", "WB-species-dilution-info": "", "WB-species-notes": "", "IHCP-species-checked": "predicted", "IHCP-species-dilution-info": "", "IHCP-species-notes": "", "ICCIF-species-checked": "predicted", "ICCIF-species-dilution-info": "", "ICCIF-species-notes": "" } } }

Properties and storage information

Form
Liquid
Purification technique
Affinity purification Protein G
Purification notes
Purity >95%.
Storage buffer
pH: 7.4 Preservative: 0.03% Proclin 300 Constituents: PBS, 50% Glycerol (glycerin, glycerine)
Shipped at conditions
Blue Ice
Appropriate short-term storage duration
1-2 weeks
Appropriate short-term storage conditions
+4°C
Appropriate long-term storage conditions
-20°C
Aliquoting information
Upon delivery aliquot
Storage information
Avoid freeze / thaw cycle

Supplementary information

This supplementary information is collated from multiple sources and compiled automatically.

Serine palmitoyltransferase (SPT) sometimes referred to as SPTLC is an enzyme that plays an important role in the initial step of sphingolipid biosynthesis. It catalyzes the condensation of serine and palmitoyl-CoA yielding 3-ketodihydrosphingosine. This enzyme complex consists of subunits SPTLC1 SPTLC2 and sometimes SPTLC3 with a molecular weight around 53 kDa for SPTLC1. Expression of SPT is seen in various tissues including the liver and nervous system supporting its critical functions across the body.
Biological function summary

Serine palmitoyltransferase is involved in sphingolipid metabolism contributing to the formation of essential cellular components. It acts as a part of a larger enzyme complex responsible for generating sphingolipid precursors. These sphingolipids play a role in membrane structure and cell signaling affecting processes like cell growth and apoptosis. The enzyme therefore influences fundamental cellular phenomena demonstrating its widespread relevance in biochemistry and cell biology.

Pathways

Serine palmitoyltransferase is vital in the de novo sphingolipid biosynthesis pathway where it initiates the creation of long-chain bases the core of most sphingolipids. It also links to the lipid metabolism pathway sharing interactions with proteins like ceramide synthase. By producing the starting materials for sphingolipids SPT integrates deeply into lipid regulation and signaling pathways affecting how cells communicate and respond to their environment.

Serine palmitoyltransferase has connections to disorders like hereditary sensory and autonomic neuropathy type I (HSAN1) and metabolic syndromes. Mutations in the SPTLC1 subunit can lead to HSAN1 illustrating its direct involvement in nerve function and health. Additionally altered sphingolipid metabolism implicates SPT in metabolic syndromes where it interacts with proteins like ceramide influencing insulin resistance and lipid homeostasis. These connections emphasize the enzyme's significance in disease development and potential therapeutic targeting.

Product protocols

For this product, it's our understanding that no specific protocols are required. You can visit:

Target data

Component of the serine palmitoyltransferase multisubunit enzyme (SPT) that catalyzes the initial and rate-limiting step in sphingolipid biosynthesis by condensing L-serine and activated acyl-CoA (most commonly palmitoyl-CoA) to form long-chain bases (PubMed : 19416851, PubMed : 19648650, PubMed : 20504773, PubMed : 20920666). The SPT complex is composed of SPTLC1, SPTLC2 or SPTLC3 and SPTSSA or SPTSSB. Within this complex, the heterodimer consisting of SPTLC1 and SPTLC2/SPTLC3 forms the catalytic core (PubMed : 19416851). The composition of the serine palmitoyltransferase (SPT) complex determines the substrate preference (PubMed : 19416851). The SPTLC1-SPTLC2-SPTSSA complex shows a strong preference for C16-CoA substrate, while the SPTLC1-SPTLC3-SPTSSA isozyme uses both C14-CoA and C16-CoA as substrates, with a slight preference for C14-CoA (PubMed : 19416851, PubMed : 19648650). The SPTLC1-SPTLC2-SPTSSB complex shows a strong preference for C18-CoA substrate, while the SPTLC1-SPTLC3-SPTSSB isozyme displays an ability to use a broader range of acyl-CoAs, without apparent preference (PubMed : 19416851, PubMed : 19648650). Crucial for adipogenesis (By similarity).
See full target information SPTLC2

Publications (6)

Recent publications for all applications. Explore the full list and refine your search

Genome medicine 17:56 PubMed40390022

2025

Spatiotemporal single-cell analysis elucidates the cellular and molecular dynamics of human cornea aging.

Applications

Unspecified application

Species

Unspecified reactive species

Dan Jiang,Ke Li,Yining Sun,Zicheng Zhang,Shuang Xie,Xintong Yu,Ruoqi Wang,Ying Feng,Qinxiang Zheng,Yajing Wen,Peter S Reinach,Yuanyuan Du,Meng Zhou,Wei Chen

Clinical, cosmetic and investigational dermatology 18:1151-1162 PubMed40356846

2025

-Derived Exosomes Enhance Skin Barrier Integrity by Upregulating Key Barrier-Related Proteins.

Applications

Unspecified application

Species

Unspecified reactive species

Yong-Han Cho,Ji-Woo Kim,Nari Kim,Hee-Sik Kim,Jun-Hwan Jang,Jun-Tae Bae,Wanil Kim

Advanced science (Weinheim, Baden-Wurttemberg, Germany) 11:e2400794 PubMed39207053

2024

Sphingosine Kinase 2 Regulates Aryl Hydrocarbon Receptor Nuclear Translocation and Target Gene Activation.

Applications

Unspecified application

Species

Unspecified reactive species

Shigetoshi Yokoyama,Imhoi Koo,Daisuke Aibara,Yuan Tian,Iain A Murray,Stephanie L Collins,Denise M Coslo,Mari Kono,Jeffrey M Peters,Richard L Proia,Frank J Gonzalez,Gary H Perdew,Andrew D Patterson

Cell reports 43:114020 PubMed38554280

2024

An autophagy program that promotes T cell egress from the lymph node controls responses to immune checkpoint blockade.

Applications

Unspecified application

Species

Unspecified reactive species

Diede Houbaert,Apostolos Panagiotis Nikolakopoulos,Kathryn A Jacobs,Odeta Meçe,Jana Roels,Gautam Shankar,Madhur Agrawal,Sanket More,Maarten Ganne,Kristine Rillaerts,Louis Boon,Magdalena Swoboda,Max Nobis,Larissa Mourao,Francesca Bosisio,Niels Vandamme,Gabriele Bergers,Colinda L G J Scheele,Patrizia Agostinis

The Journal of clinical investigation 132: PubMed35900868

2022

SPTLC1 variants associated with ALS produce distinct sphingolipid signatures through impaired interaction with ORMDL proteins.

Applications

Unspecified application

Species

Unspecified reactive species

Museer A Lone,Mari J Aaltonen,Aliza Zidell,Helio F Pedro,Jonas A Morales Saute,Shalett Mathew,Payam Mohassel,Carsten G Bönnemann,Eric A Shoubridge,Thorsten Hornemann

Cell reports 37:109973 PubMed34758307

2021

Quantitative genome-scale metabolic modeling of human CD4 T cell differentiation reveals subset-specific regulation of glycosphingolipid pathways.

Applications

Unspecified application

Species

Unspecified reactive species

Partho Sen,Syed Bilal Ahmad Andrabi,Tanja Buchacher,Mohd Moin Khan,Ubaid Ullah Kalim,Tuomas Mikael Lindeman,Marina Amaral Alves,Victoria Hinkkanen,Esko Kemppainen,Alex M Dickens,Omid Rasool,Tuulia Hyötyläinen,Riitta Lahesmaa,Matej Orešič
View all publications

Product promise

We are committed to supporting your work with high-quality reagents, and we're here for you every step of the way. In the unlikely event that one of our products does not perform as expected, you're protected by our Product Promise.
For full details, please see our Terms & Conditions

Please note: All products are 'FOR RESEARCH USE ONLY. NOT FOR USE IN DIAGNOSTIC OR THERAPEUTIC PROCEDURES'.

For licensing inquiries, please contact partnerships@abcam.com