JavaScript is disabled in your browser. Please enable JavaScript to view this website.
AB251323

Anti-Serine racemase antibody [EPR16682] - BSA and Azide free

Be the first to review this product! Submit a review

|

(0 Publication)

Rabbit Recombinant Monoclonal Serine racemase antibody. Carrier free. Suitable for IP, WB and reacts with Human samples.

View Alternative Names

Serine racemase, D-serine ammonia-lyase, D-serine dehydratase, L-serine ammonia-lyase, L-serine dehydratase, SRR

3 Images
Immunoprecipitation - Anti-Serine racemase antibody [EPR16682] - BSA and Azide free (AB251323)
  • IP

Supplier Data

Immunoprecipitation - Anti-Serine racemase antibody [EPR16682] - BSA and Azide free (AB251323)

This data was developed using ab200833, the same antibody clone in a different buffer formulation.

Serine racemase was immunoprecipitated from 1mg of HEK293 (Human embryonic kidney) whole cell lysate with ab200833 at 1/50 dilution. Western blot was performed from the immunoprecipitate using ab200833 at 1/1000 dilution. Anti-Rabbit IgG (HRP), specific to the non-reduced form of IgG, was used as secondary antibody at 1/1500 dilution.

Lane 1 : HEK293 whole cell lysate 10 μg (Input).

Lane 2 : ab200833 IP in HEK293 whole cell lysate.

Lane 3 : Rabbit monoclonal IgG (ab172730) instead of ab200833 in HEK293 whole cell lysate.

Blocking and dilution buffer : 5% NFDM/TBST.

Exposure time : 30 seconds.

All lanes:

Immunoprecipitation - Anti-Serine racemase antibody [EPR16682] (<a href='/en-us/products/primary-antibodies/serine-racemase-antibody-epr16682-ab200833'>ab200833</a>)

Predicted band size: 37 kDa

false

Exposure time: 30s

Immunoprecipitation - Anti-Serine racemase antibody [EPR16682] - BSA and Azide free (AB251323)
  • IP

Supplier Data

Immunoprecipitation - Anti-Serine racemase antibody [EPR16682] - BSA and Azide free (AB251323)

This data was developed using ab200833, the same antibody clone in a different buffer formulation.

Serine racemase was immunoprecipitated from 1mg of LNCaP (Human prostate cancer cell line) whole cell lysate with ab200833 at 1/50 dilution. Western blot was performed from the immunoprecipitate using ab200833 at 1/1000 dilution. Anti-Rabbit IgG (HRP), specific to the non-reduced form of IgG, was used as secondary antibody at 1/1500 dilution.

Lane 1 : LNCaP whole cell lysate 10 μg (Input). Lane 2 : ab200833 IP in LNCaP whole cell lysate. Lane 3 : Rabbit monoclonal IgG (ab172730) instead of ab200833 in LNCaP whole cell lysate.
Blocking and dilution buffer and concentration : 5% NFDM/TBST.

Exposure time : 10 seconds

All lanes:

Immunoprecipitation - Anti-Serine racemase antibody [EPR16682] (<a href='/en-us/products/primary-antibodies/serine-racemase-antibody-epr16682-ab200833'>ab200833</a>)

Predicted band size: 37 kDa

false

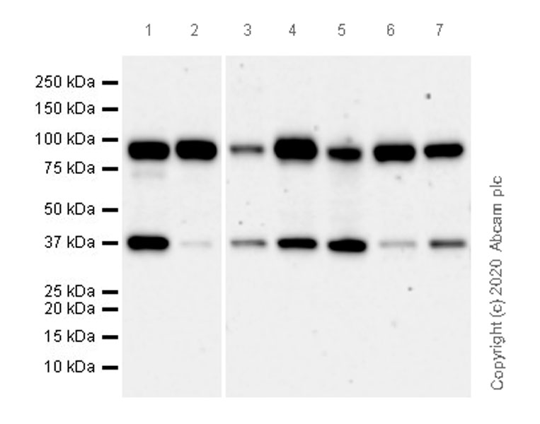
Western blot - Anti-Serine racemase antibody [EPR16682] - BSA and Azide free (AB251323)
  • WB

Supplier Data

Western blot - Anti-Serine racemase antibody [EPR16682] - BSA and Azide free (AB251323)

This data was developed using ab200833, the same antibody clone in a different buffer formulation.

Blocking and dilution buffer : 5% NFDM/TBST.

All lanes:

Western blot - Anti-Serine racemase antibody [EPR16682] (<a href='/en-us/products/primary-antibodies/serine-racemase-antibody-epr16682-ab200833'>ab200833</a>) at 1/5000 dilution

Lane 1:

LNCaP (Human prostate cancer cell line) whole cell lysate at 20 µg

Lane 2:

Human fetal brain tissue lysate at 20 µg

Lane 3:

U-87 MG (Human glioblastoma-astrocytoma epithelial cell line) whole cell lysate at 20 µg

Lane 4:

HEK-293 (Human embryonic kidney) whole cell lysate at 20 µg

Secondary

All lanes:

Goat Anti-Rabbit IgG, (H+L), Peroxidase conjugated at 1/1000 dilution

Predicted band size: 37 kDa

Observed band size: 37 kDa

false

Exposure time: 3min

Key facts

Host species

Rabbit

Clonality

Monoclonal

Clone number

EPR16682

Isotype

IgG

Carrier free

Yes

Reacts with

Human

Applications

WB, IP

applications

Immunogen

The exact immunogen used to generate this antibody is proprietary information.

Reactivity data

{ "title": "Reactivity Data", "filters": { "stats": ["", "Species", "Dilution Info", "Notes"], "tabs": { "all-applications": {"fullname" : "All Applications", "shortname": "All Applications"}, "IP" : {"fullname" : "Immunoprecipitation", "shortname":"IP"}, "WB" : {"fullname" : "Western blot", "shortname":"WB"}, "ICCIF" : {"fullname" : "Immunocytochemistry/ Immunofluorescence", "shortname":"ICC/IF"} }, "product-promise": { "all": "all", "testedAndGuaranteed": "tested", "guaranteed": "expected", "predicted": "predicted", "notRecommended": "not-recommended" } }, "values": { "Human": { "IP-species-checked": "testedAndGuaranteed", "IP-species-dilution-info": "", "IP-species-notes": "<p></p>", "WB-species-checked": "testedAndGuaranteed", "WB-species-dilution-info": "", "WB-species-notes": "<p></p>", "ICCIF-species-checked": "notRecommended", "ICCIF-species-dilution-info": "", "ICCIF-species-notes": "<p></p>" } } }

Product details

ab251323 is the carrier-free version of ab200833.

Patented technology
Our RabMAb® technology is a patented hybridoma-based technology for making rabbit monoclonal antibodies. For details on our patents, please refer to RabMAb® patents.

What are the advantages of a recombinant monoclonal antibody?
This product is a recombinant monoclonal antibody, which offers several advantages including:

  • - High batch-to-batch consistency and reproducibility
  • - Improved sensitivity and specificity
  • - Long-term security of supply
  • - Animal-free batch production

For more information, read more on recombinant antibodies.

Conjugation ready
Our carrier-free antibodies are typically supplied in a PBS-only formulation, purified and free of BSA, sodium azide and glycerol. This conjugation-ready format is designed for use with fluorochromes, metal isotopes, oligonucleotides, and enzymes, which makes them ideal for antibody labelling, functional and cell-based assays, flow-based assays (e.g. mass cytometry) and Multiplex Imaging applications.

Use our conjugation kits for antibody conjugates that are ready-to-use in as little as 20 minutes with 1 minute hands-on-time and 100% antibody recovery: available for fluorescent dyes, HRP, biotin and gold.

Compatibility
This product is compatible with the Maxpar® Antibody Labeling Kit from Fluidigm, without the need for antibody preparation. Maxpar® is a trademark of Fluidigm Canada Inc.

Properties and storage information

Form
Liquid
Storage buffer
pH: 7.2 - 7.4 Constituents: PBS
Shipped at conditions
Blue Ice
Appropriate short-term storage conditions
+4°C
Appropriate long-term storage conditions
+4°C
Storage information
Do Not Freeze

Supplementary information

This supplementary information is collated from multiple sources and compiled automatically.

Serine racemase also known as SRR is an enzyme involved in the conversion of L-serine to D-serine a process that helps regulate neural signaling. The enzyme has a molecular mass of approximately 37 kDa and is expressed highly in the brain specifically in regions such as the hippocampus and cortex. It utilizes pyridoxal phosphate (PLP) as a cofactor to catalyze the racemization and in certain conditions it also exhibits dehydratase activity converting serine to pyruvate and ammonia.
Biological function summary

Serine racemase plays an important role in the central nervous system. D-serine the product of its action serves as a co-agonist with glutamate at the NMDA receptor which is important for synaptic plasticity and memory formation. Serine racemase also associates with proteins like PICK1 and Golga3 affecting its localization and activity within cells. The regulation of D-serine levels impacts neurotransmission and neuron viability.

Pathways

Serine racemase is integral to the serine metabolism and NMDA receptor signaling pathways. It interacts with the enzyme glycine decarboxylase which is involved in glycine metabolism demonstrating its role in amino acid regulation. Its activity connects to the glutamatergic neurotransmission pathway influencing calcium influx and downstream signaling cascades that are essential for long-term potentiation and neuroplasticity.

Alterations in serine racemase activity or expression have been linked to conditions such as schizophrenia and Alzheimer's disease. In schizophrenia disruptions in D-serine levels possibly through interactions with proteins like NMDA receptor and D-amino acid oxidase can lead to impaired NMDA receptor function. In Alzheimer's disease abnormal D-serine metabolism is associated with neurodegeneration often involving proteins like amyloid-beta which exacerbates disease pathology.

Product protocols

For this product, it's our understanding that no specific protocols are required. You can visit:

Target data

Catalyzes the synthesis of D-serine from L-serine (PubMed : 20106978, PubMed : 23391306, PubMed : 29277459). D-serine is a key coagonist with glutamate at NMDA receptors. Has dehydratase activity towards both L-serine and D-serine (By similarity).
See full target information Serine racemase

Product promise

We are committed to supporting your work with high-quality reagents, and we're here for you every step of the way. In the unlikely event that one of our products does not perform as expected, you're protected by our Product Promise.
For full details, please see our Terms & Conditions

Please note: All products are 'FOR RESEARCH USE ONLY. NOT FOR USE IN DIAGNOSTIC OR THERAPEUTIC PROCEDURES'.

For licensing inquiries, please contact partnerships@abcam.com