JavaScript is disabled in your browser. Please enable JavaScript to view this website.
AB51134

Anti-Serine/threonine-protein kinase 4/MST-1 antibody [EP1465Y]

  • RabMAb
  • Recombinant
  • KO Validated
  • 20ul selling size
  • What is this?

Be the first to review this product! Submit a review

|

(36 Publications)

Rabbit Recombinant Monoclonal Serine/threonine-protein kinase 4/MST-1 antibody. Suitable for IP, WB, ICC/IF, Flow Cyt (Intra), IHC-P and reacts with Human, Rat, Mouse samples. Cited in 36 publications.

View Alternative Names

KRS2, MST1, STK4, Serine/threonine-protein kinase 4, Mammalian STE20-like protein kinase 1, STE20-like kinase MST1, Serine/threonine-protein kinase Krs-2, MST-1

7 Images
Flow Cytometry (Intracellular) - Anti-Serine/threonine-protein kinase 4/MST-1 antibody [EP1465Y] (AB51134)
  • Flow Cyt (Intra)

Unknown

Flow Cytometry (Intracellular) - Anti-Serine/threonine-protein kinase 4/MST-1 antibody [EP1465Y] (AB51134)

Intracellular Flow Cytometry analysis of HeLa cells labelling Serine/theronine-protein kinase 4/MST-1 with purified ab51134 at a dilution of 1/50 (red). Cells were fixed with 4% paraformaldehyde and permeabilized with 90% methanol. An Alexa Flour® 488-conjugated goat anti-rabbit IgG (1/2000) was used as the secondary antibody. Black - Isotype control, rabbit monoclonal IgG. Blue - Unlabelled control, cells without incubation with primary and secondary antibodies.

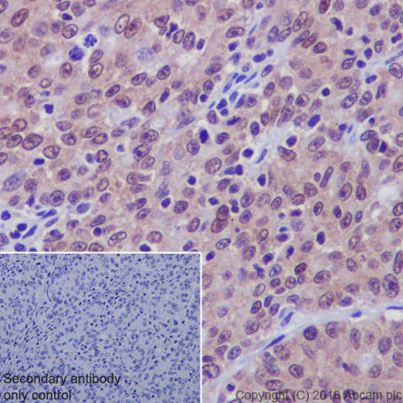
Immunohistochemistry (Formalin/PFA-fixed paraffin-embedded sections) - Anti-Serine/threonine-protein kinase 4/MST-1 antibody [EP1465Y] (AB51134)
  • IHC-P

Lab

Immunohistochemistry (Formalin/PFA-fixed paraffin-embedded sections) - Anti-Serine/threonine-protein kinase 4/MST-1 antibody [EP1465Y] (AB51134)

ab51134 staining Serine/threonine-protein kinase 4/MST-1 in human gastric carcinoma tissue sections by Immunohistochemistry (IHC-P - paraformaldehyde-fixed, paraffin-embedded sections). Tissue was fixed with paraformaldehyde and antigen retrieval was by heat mediation in a EDTA buffer. Samples were incubated with primary antibody at a dilution of 1/50. A goat anti-rabbit IgG H&L (HRP) ab97051 was used as the secondary antibody at a dilution of 1/500.

Negative control 1 : PBS in place of primary antibody.

Immunoprecipitation - Anti-Serine/threonine-protein kinase 4/MST-1 antibody [EP1465Y] (AB51134)
  • IP

Unknown

Immunoprecipitation - Anti-Serine/threonine-protein kinase 4/MST-1 antibody [EP1465Y] (AB51134)

ab51134 immunoprecipitating Serine/threonine-protein kinase 4/MST-1. 10μg of cell lysate was incubated with primary antibody at a dilution of 1/30 and VeriBlot for IP Detection Reagent (HRP) (ab131366) at a dilution of 1/1000.

Lane 1 : Jurkat (human acute T cell leukemia) whole cell lysate (10ug)
Lane 2 : Jurkat (human acute T cell leukemia) whole cell lysate
Lane 3 : Rabbit monoclonal IgG (ab172730) instead of ab51134 in Jurkat (human acute T cell leukemia) whole cell lysate

All lanes:

Immunoprecipitation - Anti-Serine/threonine-protein kinase 4/MST-1 antibody [EP1465Y] (ab51134)

Predicted band size: 55 kDa

false

Immunocytochemistry/ Immunofluorescence - Anti-Serine/threonine-protein kinase 4/MST-1 antibody [EP1465Y] (AB51134)
  • ICC/IF

Unknown

Immunocytochemistry/ Immunofluorescence - Anti-Serine/threonine-protein kinase 4/MST-1 antibody [EP1465Y] (AB51134)

ab51134 staining Serine/threonine-protein kinase 4/MST-1 in Raw264.7 (mouse abelson murine leukemia virus-induced tumor) cells by ICC/IF (Immunocytochemistry/immunofluorescence). Cells were fixed with 100% methanol and permeabilized with 0.1% Triton X-100. Samples were incubated with primary antibody at a dilution of 1/100. A goat anti rabbit IgG (Alexa Fluor® 488) (ab150077) was used as the secondary antibody at a concentration of 1/1000. ab7291 anti-Tubulin (mouse mAb) (1/1000) and ab150120 AlexaFluor®594 Goat anti-Mouse secondary (1/1000) were used as counterstains for primary antibody ab51134 and secondary antibody ab150077 respectively and DAPI was used as a nuclear counterstain.

Negative control 1 : Rabbit primary antibody and anti-mouse secondary antibody (ab150120)
Negative control 2 : Mouse primary antibody (ab7291) and anti-rabbit secondary antibody (ab150077)

Western blot - Anti-Serine/threonine-protein kinase 4/MST-1 antibody [EP1465Y] (AB51134)
  • WB

Unknown

Western blot - Anti-Serine/threonine-protein kinase 4/MST-1 antibody [EP1465Y] (AB51134)

Lanes 1-4 : Merged signal (red and green). Green - ab51134 observed at 52 kDa. Red - loading control ab8245 observed at 37 kDa.

ab51134 Anti-Serine/threonine-protein kinase 4/MST-1 antibody [EP1465Y] was shown to specifically react with MST-1 in wild-type HeLa cells. Loss of signal was observed when knockout cell line ab265442 (knockout cell lysate ab258215) was used. Wild-type and MST-1 knockout samples were subjected to SDS-PAGE. ab51134 and Anti-GAPDH antibody [6C5] - Loading Control (ab8245) were incubated overnight at 4°C at 1 in 1000 dilution and 1 in 20000 dilution respectively. Blots were developed with Goat anti-Rabbit IgG H&L (IRDye® 800CW) preadsorbed (ab216773) and Goat anti-Mouse IgG H&L (IRDye® 680RD) preadsorbed (ab216776) secondary antibodies at 1 in 20000 dilution for 1 hour at room temperature before imaging.

All lanes:

Western blot - Anti-Serine/threonine-protein kinase 4/MST-1 antibody [EP1465Y] (ab51134) at 1/1000 dilution

Lane 1:

Wild-type HeLa cell lysate at 20 µg

Lane 2:

STK4 knockout HeLa cell lysate at 20 µg

Lane 2:

Western blot - Human STK4 (Serine/threonine-protein kinase 4/MST-1) knockout HeLa cell line (<a href='/en-us/products/cell-lines/human-stk4-serine-threonine-protein-kinase-4-mst-1-knockout-hela-cell-line-ab265442'>ab265442</a>)

Lane 3:

Jurkat cell lysate at 20 µg

Lane 4:

Ramos cell lysate at 20 µg

Secondary

All lanes:

Western blot - Goat anti-Rabbit IgG H&L (IRDye® 800CW) preadsorbed (<a href='/en-us/products/secondary-antibodies/goat-rabbit-igg-h-l-irdye-800cw-preadsorbed-ab216773'>ab216773</a>) at 1/20000 dilution

Predicted band size: 55 kDa

Observed band size: 52 kDa

false

Western blot - Anti-Serine/threonine-protein kinase 4/MST-1 antibody [EP1465Y] (AB51134)
  • WB

Lab

Western blot - Anti-Serine/threonine-protein kinase 4/MST-1 antibody [EP1465Y] (AB51134)

Diluting and blocking buffer : 5% NFDM/TBST

All lanes:

Western blot - Anti-Serine/threonine-protein kinase 4/MST-1 antibody [EP1465Y] (ab51134) at 1/50000 dilution

Lane 1:

Jurkat (human acute T cell leukemia) whole cell lysate at 1/20 dilution

Lane 2:

Mouse spleen at 1/20 dilution

Lane 3:

Rat spleen at 1/20 dilution

Secondary

All lanes:

Anti-Rabbit IgG (HRP), specific to the non-reduced form of IgG at 1/2000 dilution

Predicted band size: 55 kDa

false

Western blot - Anti-Serine/threonine-protein kinase 4/MST-1 antibody [EP1465Y] (AB51134)
  • WB

Lab

Western blot - Anti-Serine/threonine-protein kinase 4/MST-1 antibody [EP1465Y] (AB51134)

Diluting and blocking buffer : 5% NFDM/TBST

All lanes:

Western blot - Anti-Serine/threonine-protein kinase 4/MST-1 antibody [EP1465Y] (ab51134) at 1/10000 dilution

All lanes:

HeLa (human cervix adenocarcinoma) whole cell lysate at 20 µg

Secondary

All lanes:

Anti-Rabbit IgG (HRP), specific to the non-reduced form of IgG at 1/2000 dilution

Predicted band size: 55 kDa

false

  • Carrier free

    Anti-Serine/threonine-protein kinase 4/MST-1 antibody [EP1465Y] - BSA and Azide free

  • 617 Alexa Fluor® 594

    Alexa Fluor® 594 Anti-Serine/threonine-protein kinase 4/MST-1 antibody [EP1465Y]

  • 578 PE

    PE Anti-Serine/threonine-protein kinase 4/MST-1 antibody [EP1465Y]

  • 665 Alexa Fluor® 647

    Alexa Fluor® 647 Anti-Serine/threonine-protein kinase 4/MST-1 antibody [EP1465Y]

  • 519 Alexa Fluor® 488

    Alexa Fluor® 488 Anti-Serine/threonine-protein kinase 4/MST-1 antibody [EP1465Y]

  • 660 APC

    APC Anti-Serine/threonine-protein kinase 4/MST-1 antibody [EP1465Y]

  • 565 Alexa Fluor® 555

    Alexa Fluor® 555 Anti-Serine/threonine-protein kinase 4/MST-1 antibody [EP1465Y]

  • 775 Alexa Fluor® 750

    Alexa Fluor® 750 Anti-Serine/threonine-protein kinase 4/MST-1 antibody [EP1465Y]

Key facts

Host species

Rabbit

Clonality

Monoclonal

Clone number

EP1465Y

Isotype

IgG

Carrier free

No

Reacts with

Mouse, Rat, Human

Applications

IP, WB, ICC/IF, Flow Cyt (Intra), IHC-P

applications

Immunogen

The exact immunogen used to generate this antibody is proprietary information.

Reactivity data

{ "title": "Reactivity Data", "filters": { "stats": ["", "Species", "Dilution Info", "Notes"], "tabs": { "all-applications": {"fullname" : "All Applications", "shortname": "All Applications"}, "IP" : {"fullname" : "Immunoprecipitation", "shortname":"IP"}, "WB" : {"fullname" : "Western blot", "shortname":"WB"}, "ICCIF" : {"fullname" : "Immunocytochemistry/ Immunofluorescence", "shortname":"ICC/IF"}, "FlowCytIntra" : {"fullname" : "Flow Cytometry (Intracellular)", "shortname":"Flow Cyt (Intra)"}, "IHCP" : {"fullname" : "Immunohistochemistry (Formalin/PFA-fixed paraffin-embedded sections)", "shortname":"IHC-P"} }, "product-promise": { "all": "all", "testedAndGuaranteed": "tested", "guaranteed": "expected", "predicted": "predicted", "notRecommended": "not-recommended" } }, "values": { "Human": { "IP-species-checked": "testedAndGuaranteed", "IP-species-dilution-info": "1/30 - 1/100", "IP-species-notes": "<p></p>", "WB-species-checked": "testedAndGuaranteed", "WB-species-dilution-info": "1/10000", "WB-species-notes": "<p></p>", "ICCIF-species-checked": "guaranteed", "ICCIF-species-dilution-info": "", "ICCIF-species-notes": "", "FlowCytIntra-species-checked": "testedAndGuaranteed", "FlowCytIntra-species-dilution-info": "1/50", "FlowCytIntra-species-notes": "<p></p>", "IHCP-species-checked": "testedAndGuaranteed", "IHCP-species-dilution-info": "1/50 - 1/250", "IHCP-species-notes": "<p>We strongly recommend that customers perform an antigen retrieval step.</p> Perform heat-mediated antigen retrieval with Tris/EDTA buffer pH 9.0 before commencing with IHC staining protocol." }, "Mouse": { "IP-species-checked": "guaranteed", "IP-species-dilution-info": "", "IP-species-notes": "", "WB-species-checked": "guaranteed", "WB-species-dilution-info": "", "WB-species-notes": "", "ICCIF-species-checked": "testedAndGuaranteed", "ICCIF-species-dilution-info": "1/100 - 1/250", "ICCIF-species-notes": "<p></p>", "FlowCytIntra-species-checked": "guaranteed", "FlowCytIntra-species-dilution-info": "", "FlowCytIntra-species-notes": "", "IHCP-species-checked": "guaranteed", "IHCP-species-dilution-info": "", "IHCP-species-notes": "" }, "Rat": { "IP-species-checked": "guaranteed", "IP-species-dilution-info": "", "IP-species-notes": "", "WB-species-checked": "testedAndGuaranteed", "WB-species-dilution-info": "1/10000", "WB-species-notes": "<p></p>", "ICCIF-species-checked": "guaranteed", "ICCIF-species-dilution-info": "", "ICCIF-species-notes": "", "FlowCytIntra-species-checked": "guaranteed", "FlowCytIntra-species-dilution-info": "", "FlowCytIntra-species-notes": "", "IHCP-species-checked": "guaranteed", "IHCP-species-dilution-info": "", "IHCP-species-notes": "" } } }

Product details

Patented technology
Our RabMAb® technology is a patented hybridoma-based technology for making rabbit monoclonal antibodies. For details on our patents, please refer to RabMAb® patents.

What are the advantages of a recombinant monoclonal antibody?
This product is a recombinant monoclonal antibody, which offers several advantages including:

  • - High batch-to-batch consistency and reproducibility
  • - Improved sensitivity and specificity
  • - Long-term security of supply
  • - Animal-free batch production

For more information, read more on recombinant antibodies.

Properties and storage information

Form
Liquid
Purification technique
Affinity purification Protein A
Storage buffer
pH: 7.2 - 7.4 Preservative: 0.01% Sodium azide Constituents: PBS, 40% Glycerol (glycerin, glycerine), 0.21% BSA
Shipped at conditions
Blue Ice
Appropriate short-term storage duration
1-2 weeks
Appropriate short-term storage conditions
+4°C
Appropriate long-term storage conditions
-20°C
Aliquoting information
Upon delivery aliquot
Storage information
Avoid freeze / thaw cycle

Supplementary information

This supplementary information is collated from multiple sources and compiled automatically.

Serine/threonine-protein kinase 4 (MST-1) also known as STK4 is a 52 kDa enzyme that plays an important role in cellular signaling processes. This kinase ubiquitously expresses in many tissues including liver kidney and heart. MST-1 functions as a part of a complex facilitating its catalytic activity by activating downstream substrates. The alternative name for this protein is mammalian STE20-like protein kinase 1 linking MST-1 to a family of serine/threonine kinases.
Biological function summary

This kinase orchestrates various cellular processes mainly through regulation of apoptosis and cell stress responses. MST-1 interacts with other signaling molecules in cells forming part of larger multi-protein complexes. These interactions allow MST-1 to act as a molecular switch effectively controlling the balance between cell survival and death. The cellular localization and interaction partners help diversify its biological roles.

Pathways

MST-1 predominantly influences the Hippo signaling pathway—a pathway significant in controlling organ size and suppressing cancer. In this pathway MST-1 phosphorylates and activates LATS1/2 kinases creating an endpoint effect on cell proliferation and apoptosis. MST-1 also participates in the oxidative stress response pathway where it shows interaction with FoxO transcription factors leading to modifications in gene expression profiles.

The dysregulation of MST-1 is linked to cancer and cardiovascular diseases. In cancer the Hippo pathway's consistent activation by MST-1 helps modulate uncontrolled cell division while in cardiovascular diseases MST-1 plays a role by driving cardiomyocyte apoptosis. MST-1’s interplay with FoxO transcription factors also highlights its contribution to these diseases by reinforcing stress response and DNA repair mechanisms.

Product protocols

For this product, it's our understanding that no specific protocols are required. You can visit:

Target data

Stress-activated, pro-apoptotic kinase which, following caspase-cleavage, enters the nucleus and induces chromatin condensation followed by internucleosomal DNA fragmentation. Key component of the Hippo signaling pathway which plays a pivotal role in organ size control and tumor suppression by restricting proliferation and promoting apoptosis. The core of this pathway is composed of a kinase cascade wherein STK3/MST2 and STK4/MST1, in complex with its regulatory protein SAV1, phosphorylates and activates LATS1/2 in complex with its regulatory protein MOB1, which in turn phosphorylates and inactivates YAP1 oncoprotein and WWTR1/TAZ. Phosphorylation of YAP1 by LATS2 inhibits its translocation into the nucleus to regulate cellular genes important for cell proliferation, cell death, and cell migration. STK3/MST2 and STK4/MST1 are required to repress proliferation of mature hepatocytes, to prevent activation of facultative adult liver stem cells (oval cells), and to inhibit tumor formation (By similarity). Phosphorylates 'Ser-14' of histone H2B (H2BS14ph) during apoptosis. Phosphorylates FOXO3 upon oxidative stress, which results in its nuclear translocation and cell death initiation. Phosphorylates MOBKL1A, MOBKL1B and RASSF2. Phosphorylates TNNI3 (cardiac Tn-I) and alters its binding affinity to TNNC1 (cardiac Tn-C) and TNNT2 (cardiac Tn-T). Phosphorylates FOXO1 on 'Ser-212' and regulates its activation and stimulates transcription of PMAIP1 in a FOXO1-dependent manner. Phosphorylates SIRT1 and inhibits SIRT1-mediated p53/TP53 deacetylation, thereby promoting p53/TP53 dependent transcription and apoptosis upon DNA damage. Acts as an inhibitor of PKB/AKT1. Phosphorylates AR on 'Ser-650' and suppresses its activity by intersecting with PKB/AKT1 signaling and antagonizing formation of AR-chromatin complexes.
See full target information STK4

Publications (36)

Recent publications for all applications. Explore the full list and refine your search

Science advances 11:eadr7208 PubMed40203118

2025

Silicate-based therapy for inflammatory dilated cardiomyopathy by inhibiting the vicious cycle of immune inflammation via FOXO signaling.

Applications

Unspecified application

Species

Unspecified reactive species

Ping Sun,Zhaowenbin Zhang,Fei Gao,Chen Yang,Ge Mang,Shuai Fu,Jiawei Tian,Jiang Chang

Journal of biomedical science 31:100 PubMed39497128

2024

The molecular consequences of FOXF1 missense mutations associated with alveolar capillary dysplasia with misalignment of pulmonary veins.

Applications

Unspecified application

Species

Unspecified reactive species

G G Edel,M van Kempen,A Boerema-de Munck,C N Huisman,C A P Naalden,R W W Brouwer,S Koornneef,W F J van IJcken,R M H Wijnen,R J Rottier

Helicobacter 29:e13109 PubMed38951739

2024

Integrin-Linked Kinase in the Development of Gastric Tumors Induced by Helicobacter pylori: Regulation and Prevention Potential.

Applications

Unspecified application

Species

Unspecified reactive species

Boqing Li,Jing He,Ruiqing Zhang,Sisi Liu,Xiaolin Zhang,Zhiqin Li,Chunlei Ma,Wenke Wang,Yingzi Cui,Ying Zhang

International journal of biological sciences 20:1004-1023 PubMed38250155

2024

Inactivation of MST1/2 Controls Macrophage Polarization to Affect Macrophage-Related Disease via YAP and Non-YAP Mechanisms.

Applications

Unspecified application

Species

Unspecified reactive species

Yina An,Shuyu Tan,Pu Zhang,Jingjing Yang,Kezhi Wang,Ruicheng Zheng,Lu Qiao,Yang Wang,Yanjun Dong

Nucleic acids research 51:10568-10589 PubMed37739411

2023

The TRIM69-MST2 signaling axis regulates centrosome dynamics and chromosome segregation.

Applications

Unspecified application

Species

Unspecified reactive species

Yilin Wang,Patrik Risteski,Yang Yang,Huan Chen,Gaith Droby,Andrea Walens,Deepika Jayaprakash,Melissa Troester,Laura Herring,Jonathan Chernoff,Iva M Tolić,Jessica Bowser,Cyrus Vaziri

World journal of stem cells 15:90-104 PubMed37007455

2023

Mammalian Ste20-like kinase 1 inhibition as a cellular mediator of anoikis in mouse bone marrow mesenchymal stem cells.

Applications

Unspecified application

Species

Unspecified reactive species

Tao Zhang,Qian Zhang,Wan-Cheng Yu

Discover. Oncology 14:17 PubMed36735162

2023

Upregulated GPRC5A disrupting the Hippo pathway promotes the proliferation and migration of pancreatic cancer cells via the cAMP-CREB axis.

Applications

Unspecified application

Species

Unspecified reactive species

Weidan Fang,Xin Yu,Jun Deng,Bin Yu,Jianping Xiong,Mei Ma

Frontiers in immunology 13:993788 PubMed36263059

2022

Deficiency of in endometriosis related peritoneal macrophages promoted the autophagy of ectopic endometrial stromal cells by IL-10.

Applications

Unspecified application

Species

Unspecified reactive species

Yufei Huang,Shumin Yan,Xiaoyu Dong,Xue Jiao,Shuang Wang,Dong Li,Guoyun Wang

Oxidative medicine and cellular longevity 2022:3458283 PubMed35656021

2022

Mammalian Sterile 20-Like Kinase 1 Mediates Neuropathic Pain Associated with Its Effects on Regulating Mitophagy in Schwann Cells.

Applications

Unspecified application

Species

Unspecified reactive species

Zi Huang,Pei-Yao Xiao,Jing-Yan Chen,Qing Zeng,Bei-Xu Huang,Jian Yu,Song-Jie Liao

Oxidative medicine and cellular longevity 2022:9974639 PubMed35308166

2022

Circular RNA_0057209 Acts as ceRNA to Inhibit Thyroid Cancer Progression by Promoting the STK4-Mediated Hippo Pathway Sponging MicroRNA-183.

Applications

Unspecified application

Species

Unspecified reactive species

Xinzhi Peng,Yue Zhu,Shaojian Lin,Weiming Yu,Cheng Zhang,Langping Tan,Miaoyun Long,Dingyuan Luo,Chengcheng Ji
View all publications

Product promise

We are committed to supporting your work with high-quality reagents, and we're here for you every step of the way. In the unlikely event that one of our products does not perform as expected, you're protected by our Product Promise.
For full details, please see our Terms & Conditions

Please note: All products are 'FOR RESEARCH USE ONLY. NOT FOR USE IN DIAGNOSTIC OR THERAPEUTIC PROCEDURES'.

For licensing inquiries, please contact partnerships@abcam.com