JavaScript is disabled in your browser. Please enable JavaScript to view this website.
AB232551

Anti-Serine/threonine-protein kinase 4/MST-1 antibody [EP1465Y] - BSA and Azide free

Be the first to review this product! Submit a review

|

(4 Publications)

Rabbit Recombinant Monoclonal Serine/threonine-protein kinase 4/MST-1 antibody. Carrier free. Suitable for Flow Cyt (Intra), IP, ICC/IF, IHC-P, WB and reacts with Human, Mouse, Rat samples. Cited in 4 publications.

View Alternative Names

KRS2, MST1, STK4, Serine/threonine-protein kinase 4, Mammalian STE20-like protein kinase 1, STE20-like kinase MST1, Serine/threonine-protein kinase Krs-2, MST-1

4 Images
Flow Cytometry (Intracellular) - Anti-Serine/threonine-protein kinase 4/MST-1 antibody [EP1465Y] - BSA and Azide free (AB232551)
  • Flow Cyt (Intra)

Unknown

Flow Cytometry (Intracellular) - Anti-Serine/threonine-protein kinase 4/MST-1 antibody [EP1465Y] - BSA and Azide free (AB232551)

Intracellular Flow Cytometry analysis of HeLa cells labelling Serine/theronine-protein kinase 4 /MST-1 with purified ab51134 at a dilution of 1/50 (red). Cells were fixed with 4% paraformaldehyde and permeabilized with 90% methanol. An Alexa Flour® 488-conjugated goat anti-rabbit IgG (1/2000) was used as the secondary antibody. Black - Isotype control, rabbit monoclonal IgG. Blue - Unlabelled control, cells without incubation with primary and secondary antibodies.

This data was developed using the same antibody clone in a different buffer formulation containing PBS, BSA, glycerol, and sodium azide (ab51134).

Immunohistochemistry (Formalin/PFA-fixed paraffin-embedded sections) - Anti-Serine/threonine-protein kinase 4/MST-1 antibody [EP1465Y] - BSA and Azide free (AB232551)
  • IHC-P

Supplier Data

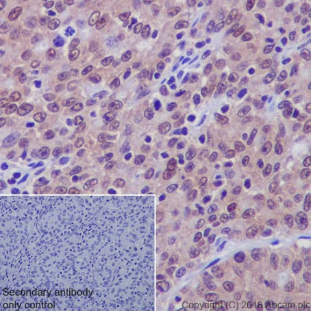
Immunohistochemistry (Formalin/PFA-fixed paraffin-embedded sections) - Anti-Serine/threonine-protein kinase 4/MST-1 antibody [EP1465Y] - BSA and Azide free (AB232551)

ab51134 staining Serine/threonine-protein kinase 4 in human gastric carcinoma tissue sections by Immunohistochemistry (IHC-P - paraformaldehyde-fixed, paraffin-embedded sections). Tissue was fixed with paraformaldehyde and antigen retrieval was by heat mediation in a EDTA buffer. Samples were incubated with primary antibody at a dilution of 1/50. A goat anti-rabbit IgG H&L (HRP) ab97051 was used as the secondary antibody at a dilution of 1/500.

Negative control 1 : PBS in place of primary antibody.

This data was developed using the same antibody clone in a different buffer formulation containing PBS, BSA, glycerol, and sodium azide (ab51134).

Immunoprecipitation - Anti-Serine/threonine-protein kinase 4/MST-1 antibody [EP1465Y] - BSA and Azide free (AB232551)
  • IP

Unknown

Immunoprecipitation - Anti-Serine/threonine-protein kinase 4/MST-1 antibody [EP1465Y] - BSA and Azide free (AB232551)

ab51134 immunoprecipitating Serine/threonine-protein kinase 4. 10μg of cell lysate was incubated with primary antibody at a dilution of 1/30 and VeriBlot for IP Detection Reagent (HRP) (ab131366) at a dilution of 1/1000.

Lane 1 : Jurkat (human acute T cell leukemia) whole cell lysate (10ug)
Lane 2 : Jurkat (human acute T cell leukemia) whole cell lysate
Lane 3 : Rabbit monoclonal IgG (ab172730) instead of ab51134 in Jurkat (human acute T cell leukemia) whole cell lysate

This data was developed using the same antibody clone in a different buffer formulation containing PBS, BSA, glycerol, and sodium azide (ab51134).

All lanes:

Immunoprecipitation - Anti-Serine/threonine-protein kinase 4/MST-1 antibody [EP1465Y] (<a href='/en-us/products/primary-antibodies/serine-threonine-protein-kinase-4-mst-1-antibody-ep1465y-ab51134'>ab51134</a>)

Predicted band size: 55 kDa

false

Immunocytochemistry/ Immunofluorescence - Anti-Serine/threonine-protein kinase 4/MST-1 antibody [EP1465Y] - BSA and Azide free (AB232551)
  • ICC/IF

Unknown

Immunocytochemistry/ Immunofluorescence - Anti-Serine/threonine-protein kinase 4/MST-1 antibody [EP1465Y] - BSA and Azide free (AB232551)

ab51134 staining Serine/threonine-protein kinase 4 / MST-1 in Raw264.7 (mouse abelson murine leukemia virus-induced tumor) cells by ICC/IF (Immunocytochemistry/immunofluorescence). Cells were fixed with 100% methanol and permeabilized with 0.1% Triton X-100. Samples were incubated with primary antibody at a dilution of 1/100. A goat anti rabbit IgG (Alexa Fluor® 488) (ab150077) was used as the secondary antibody at a concentration of 1/1000. ab7291 anti-Tubulin (mouse mAb) (1/1000) and ab150120 AlexaFluor®594 Goat anti-Mouse secondary (1/1000)  were used as counterstains for primary antibody ab51134 and secondary antibody ab150077 respectively and DAPI was used as a nuclear counterstain.

Negative control 1 : Rabbit primary antibody and anti-mouse secondary antibody (ab150120)
Negative control 2 : Mouse primary antibody (ab7291) and anti-rabbit secondary antibody (ab150077)

This data was developed using the same antibody clone in a different buffer formulation containing PBS, BSA, glycerol, and sodium azide (ab51134).

  • 775 Alexa Fluor® 750

    Alexa Fluor® 750 Anti-Serine/threonine-protein kinase 4/MST-1 antibody [EP1465Y]

  • 578 PE

    PE Anti-Serine/threonine-protein kinase 4/MST-1 antibody [EP1465Y]

  • 660 APC

    APC Anti-Serine/threonine-protein kinase 4/MST-1 antibody [EP1465Y]

  • 519 Alexa Fluor® 488

    Alexa Fluor® 488 Anti-Serine/threonine-protein kinase 4/MST-1 antibody [EP1465Y]

  • 617 Alexa Fluor® 594

    Alexa Fluor® 594 Anti-Serine/threonine-protein kinase 4/MST-1 antibody [EP1465Y]

  • 565 Alexa Fluor® 555

    Alexa Fluor® 555 Anti-Serine/threonine-protein kinase 4/MST-1 antibody [EP1465Y]

  • 665 Alexa Fluor® 647

    Alexa Fluor® 647 Anti-Serine/threonine-protein kinase 4/MST-1 antibody [EP1465Y]

  • Unconjugated

    Anti-Serine/threonine-protein kinase 4/MST-1 antibody [EP1465Y]

Key facts

Host species

Rabbit

Clonality

Monoclonal

Clone number

EP1465Y

Isotype

IgG

Carrier free

Yes

Reacts with

Mouse, Rat, Human

Applications

Flow Cyt (Intra), IP, WB, IHC-P, ICC/IF

applications

Immunogen

The exact immunogen used to generate this antibody is proprietary information.

Reactivity data

{ "title": "Reactivity Data", "filters": { "stats": ["", "Species", "Dilution Info", "Notes"], "tabs": { "all-applications": {"fullname" : "All Applications", "shortname": "All Applications"}, "FlowCytIntra" : {"fullname" : "Flow Cytometry (Intracellular)", "shortname":"Flow Cyt (Intra)"}, "IP" : {"fullname" : "Immunoprecipitation", "shortname":"IP"}, "ICCIF" : {"fullname" : "Immunocytochemistry/ Immunofluorescence", "shortname":"ICC/IF"}, "IHCP" : {"fullname" : "Immunohistochemistry (Formalin/PFA-fixed paraffin-embedded sections)", "shortname":"IHC-P"}, "WB" : {"fullname" : "Western blot", "shortname":"WB"} }, "product-promise": { "all": "all", "testedAndGuaranteed": "tested", "guaranteed": "expected", "predicted": "predicted", "notRecommended": "not-recommended" } }, "values": { "Human": { "FlowCytIntra-species-checked": "testedAndGuaranteed", "FlowCytIntra-species-dilution-info": "", "FlowCytIntra-species-notes": "<p></p>", "IP-species-checked": "testedAndGuaranteed", "IP-species-dilution-info": "", "IP-species-notes": "<p></p>", "ICCIF-species-checked": "guaranteed", "ICCIF-species-dilution-info": "", "ICCIF-species-notes": "", "IHCP-species-checked": "testedAndGuaranteed", "IHCP-species-dilution-info": "", "IHCP-species-notes": "<p>We strongly recommend that customers perform an antigen retrieval step.</p>", "WB-species-checked": "testedAndGuaranteed", "WB-species-dilution-info": "", "WB-species-notes": "<p></p>" }, "Mouse": { "FlowCytIntra-species-checked": "guaranteed", "FlowCytIntra-species-dilution-info": "", "FlowCytIntra-species-notes": "", "IP-species-checked": "guaranteed", "IP-species-dilution-info": "", "IP-species-notes": "", "ICCIF-species-checked": "testedAndGuaranteed", "ICCIF-species-dilution-info": "", "ICCIF-species-notes": "<p></p>", "IHCP-species-checked": "guaranteed", "IHCP-species-dilution-info": "", "IHCP-species-notes": "", "WB-species-checked": "testedAndGuaranteed", "WB-species-dilution-info": "", "WB-species-notes": "<p></p>" }, "Rat": { "FlowCytIntra-species-checked": "guaranteed", "FlowCytIntra-species-dilution-info": "", "FlowCytIntra-species-notes": "", "IP-species-checked": "guaranteed", "IP-species-dilution-info": "", "IP-species-notes": "", "ICCIF-species-checked": "guaranteed", "ICCIF-species-dilution-info": "", "ICCIF-species-notes": "", "IHCP-species-checked": "guaranteed", "IHCP-species-dilution-info": "", "IHCP-species-notes": "", "WB-species-checked": "testedAndGuaranteed", "WB-species-dilution-info": "", "WB-species-notes": "<p></p>" } } }

Product details

ab232551 is the carrier-free version of ab51134.

Patented technology
Our RabMAb® technology is a patented hybridoma-based technology for making rabbit monoclonal antibodies. For details on our patents, please refer to RabMAb® patents.

What are the advantages of a recombinant monoclonal antibody?
This product is a recombinant monoclonal antibody, which offers several advantages including:

  • - High batch-to-batch consistency and reproducibility
  • - Improved sensitivity and specificity
  • - Long-term security of supply
  • - Animal-free batch production

For more information, read more on recombinant antibodies.

Conjugation ready
Our carrier-free antibodies are typically supplied in a PBS-only formulation, purified and free of BSA, sodium azide and glycerol. This conjugation-ready format is designed for use with fluorochromes, metal isotopes, oligonucleotides, and enzymes, which makes them ideal for antibody labelling, functional and cell-based assays, flow-based assays (e.g. mass cytometry) and Multiplex Imaging applications.

Use our conjugation kits for antibody conjugates that are ready-to-use in as little as 20 minutes with 1 minute hands-on-time and 100% antibody recovery: available for fluorescent dyes, HRP, biotin and gold.

Compatibility
This product is compatible with the Maxpar® Antibody Labeling Kit from Fluidigm, without the need for antibody preparation. Maxpar® is a trademark of Fluidigm Canada Inc.

Properties and storage information

Form
Liquid
Purification technique
Affinity purification Protein A
Storage buffer
pH: 7.2 - 7.4 Constituents: PBS
Shipped at conditions
Blue Ice
Appropriate short-term storage conditions
+4°C
Appropriate long-term storage conditions
+4°C
Storage information
Do Not Freeze

Supplementary information

This supplementary information is collated from multiple sources and compiled automatically.

Serine/threonine-protein kinase 4 (MST-1) also known as STK4 is a 52 kDa enzyme that plays an important role in cellular signaling processes. This kinase ubiquitously expresses in many tissues including liver kidney and heart. MST-1 functions as a part of a complex facilitating its catalytic activity by activating downstream substrates. The alternative name for this protein is mammalian STE20-like protein kinase 1 linking MST-1 to a family of serine/threonine kinases.
Biological function summary

This kinase orchestrates various cellular processes mainly through regulation of apoptosis and cell stress responses. MST-1 interacts with other signaling molecules in cells forming part of larger multi-protein complexes. These interactions allow MST-1 to act as a molecular switch effectively controlling the balance between cell survival and death. The cellular localization and interaction partners help diversify its biological roles.

Pathways

MST-1 predominantly influences the Hippo signaling pathway—a pathway significant in controlling organ size and suppressing cancer. In this pathway MST-1 phosphorylates and activates LATS1/2 kinases creating an endpoint effect on cell proliferation and apoptosis. MST-1 also participates in the oxidative stress response pathway where it shows interaction with FoxO transcription factors leading to modifications in gene expression profiles.

The dysregulation of MST-1 is linked to cancer and cardiovascular diseases. In cancer the Hippo pathway's consistent activation by MST-1 helps modulate uncontrolled cell division while in cardiovascular diseases MST-1 plays a role by driving cardiomyocyte apoptosis. MST-1’s interplay with FoxO transcription factors also highlights its contribution to these diseases by reinforcing stress response and DNA repair mechanisms.

Product protocols

For this product, it's our understanding that no specific protocols are required. You can visit:

Target data

Stress-activated, pro-apoptotic kinase which, following caspase-cleavage, enters the nucleus and induces chromatin condensation followed by internucleosomal DNA fragmentation. Key component of the Hippo signaling pathway which plays a pivotal role in organ size control and tumor suppression by restricting proliferation and promoting apoptosis. The core of this pathway is composed of a kinase cascade wherein STK3/MST2 and STK4/MST1, in complex with its regulatory protein SAV1, phosphorylates and activates LATS1/2 in complex with its regulatory protein MOB1, which in turn phosphorylates and inactivates YAP1 oncoprotein and WWTR1/TAZ. Phosphorylation of YAP1 by LATS2 inhibits its translocation into the nucleus to regulate cellular genes important for cell proliferation, cell death, and cell migration. STK3/MST2 and STK4/MST1 are required to repress proliferation of mature hepatocytes, to prevent activation of facultative adult liver stem cells (oval cells), and to inhibit tumor formation (By similarity). Phosphorylates 'Ser-14' of histone H2B (H2BS14ph) during apoptosis. Phosphorylates FOXO3 upon oxidative stress, which results in its nuclear translocation and cell death initiation. Phosphorylates MOBKL1A, MOBKL1B and RASSF2. Phosphorylates TNNI3 (cardiac Tn-I) and alters its binding affinity to TNNC1 (cardiac Tn-C) and TNNT2 (cardiac Tn-T). Phosphorylates FOXO1 on 'Ser-212' and regulates its activation and stimulates transcription of PMAIP1 in a FOXO1-dependent manner. Phosphorylates SIRT1 and inhibits SIRT1-mediated p53/TP53 deacetylation, thereby promoting p53/TP53 dependent transcription and apoptosis upon DNA damage. Acts as an inhibitor of PKB/AKT1. Phosphorylates AR on 'Ser-650' and suppresses its activity by intersecting with PKB/AKT1 signaling and antagonizing formation of AR-chromatin complexes.
See full target information STK4

Publications (4)

Recent publications for all applications. Explore the full list and refine your search

Redox biology 62:102679 PubMed36996623

2023

TRIM21 deficiency protects against atrial inflammation and remodeling post myocardial infarction by attenuating oxidative stress.

Applications

Unspecified application

Species

Unspecified reactive species

Xiangdong Liu,Wenming Zhang,Jiachen Luo,Wentao Shi,Xingxu Zhang,Zhiqiang Li,Xiaoming Qin,Baoxin Liu,Yidong Wei

Iranian journal of basic medical sciences 24:150-159 PubMed33953853

2021

Exercise alleviates cardiac remodelling in diabetic cardiomyopathy via the miR-486a-5p-Mst1 pathway.

Applications

Unspecified application

Species

Unspecified reactive species

Dong Sun,Haichang Wang,Yanhui Su,Jie Lin,Mingming Zhang,Wanrong Man,Xinglong Song,Liang Zhang,Baolin Guo,Kaikai Hao,Dongdong Sun

Annals of the New York Academy of Sciences 1484:74-89 PubMed32827446

2020

Leukemia inhibitory factor promotes gastric cancer cell proliferation, migration, and invasion via the LIFR-Hippo-YAP pathway.

Applications

Unspecified application

Species

Unspecified reactive species

Shi-Bo Bian,Yun Yang,Wen-Quan Liang,Ke-Cheng Zhang,Lin Chen,Zhong-Tao Zhang

Medical science monitor : international medical jo 26:e921389 PubMed32088727

2020

RNA Binding Protein RNPC1 Suppresses the Stemness of Human Endometrial Cancer Cells via Stabilizing MST1/2 mRNA.

Applications

Unspecified application

Species

Unspecified reactive species

XingMei Wu,YongHui Wang,WeiJuan Zhong,HuiFei Cheng,ZhiFeng Tian
View all publications

Product promise

We are committed to supporting your work with high-quality reagents, and we're here for you every step of the way. In the unlikely event that one of our products does not perform as expected, you're protected by our Product Promise.
For full details, please see our Terms & Conditions

Please note: All products are 'FOR RESEARCH USE ONLY. NOT FOR USE IN DIAGNOSTIC OR THERAPEUTIC PROCEDURES'.

For licensing inquiries, please contact partnerships@abcam.com