JavaScript is disabled in your browser. Please enable JavaScript to view this website.
AB254358

Anti-Serotonin transporter antibody [EPR23530-3]

  • BOND RX™ Validated
  • 20ul selling size
  • RabMAb
  • Recombinant
  • What is this?

Be the first to review this product! Submit a review

|

(1 Publication)

Rabbit Recombinant Monoclonal Serotonin transporter antibody. Suitable for IHC-P, IP, IHC-Fr and reacts with Mouse, Rat samples. Cited in 1 publication.

View Alternative Names

Htt, Sert, Slc6a4, Sodium-dependent serotonin transporter, SERT, 5HT transporter, Solute carrier family 6 member 4, 5HTT

7 Images
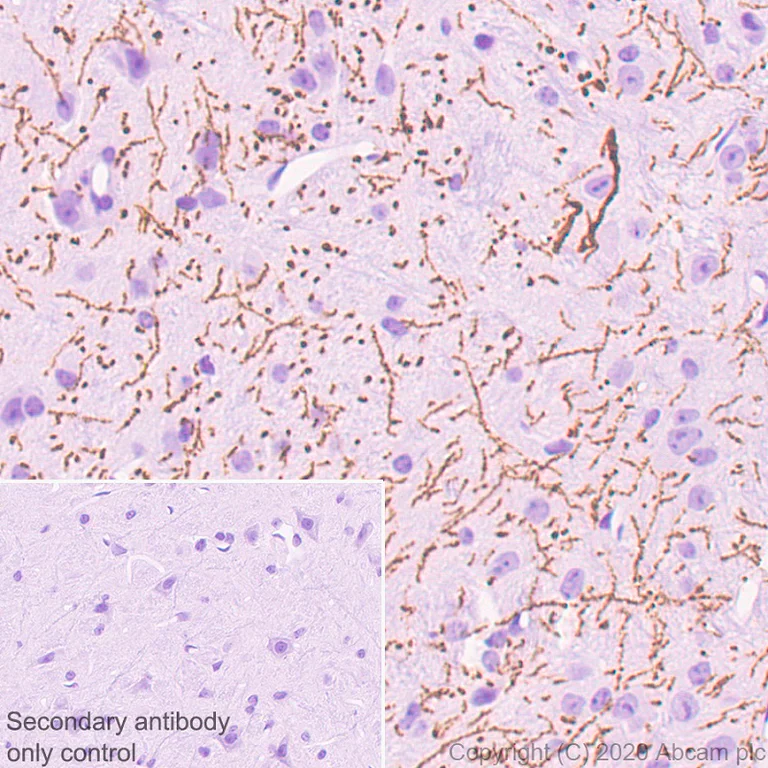
Immunohistochemistry (Formalin/PFA-fixed paraffin-embedded sections) - Anti-Serotonin transporter antibody [EPR23530-3] (AB254358)
  • IHC-P

Unknown

Immunohistochemistry (Formalin/PFA-fixed paraffin-embedded sections) - Anti-Serotonin transporter antibody [EPR23530-3] (AB254358)

Immunohistochemical analysis of paraffin-embedded rat cerebrum tissue labeling Serotonin transporter with ab254358 at 1/2000 dilution followed by a ready to use Rabbit specific IHC polymer detection kit HRP/DAB (ab209101). Positive staining on rat cerebrum (PMID 23127756). The section was incubated with ab254358 for 30 mins at room temperature. The immunostaining was performed on a Leica Biosystems BOND® RX instrument. Counterstained with Hematoxylin.

Secondary antibody only control : Secondary antibody is a ready to use Rabbit specific IHC polymer detection kit HRP/DAB (ab209101).

Heat mediated antigen retrieval with Citrate buffer (pH 6.0, epitope retrieval solution 1) for 20 mins.

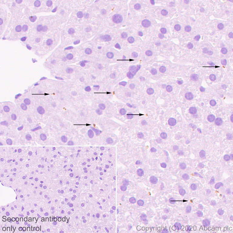
Immunohistochemistry (Formalin/PFA-fixed paraffin-embedded sections) - Anti-Serotonin transporter antibody [EPR23530-3] (AB254358)
  • IHC-P

Unknown

Immunohistochemistry (Formalin/PFA-fixed paraffin-embedded sections) - Anti-Serotonin transporter antibody [EPR23530-3] (AB254358)

Immunohistochemical analysis of paraffin-embedded mouse liver tissue labeling Serotonin transporter with ab254358 at 1/2000 dilution followed by a ready to use Rabbit specific IHC polymer detection kit HRP/DAB (ab209101). Positive staining on platelets and negative staining on hepatocytes of mouse liver (PMID : 7869097). The section was incubated with ab254358 for 30 mins at room temperature. The immunostaining was performed on a Leica Biosystems BOND® RX instrument. Counterstained with Hematoxylin.

Secondary antibody only control : Secondary antibody is a ready to use Rabbit specific IHC polymer detection kit HRP/DAB (ab209101).

Heat mediated antigen retrieval with Citrate buffer (pH 6.0, epitope retrieval solution 1) for 20 mins.

Immunohistochemistry (Formalin/PFA-fixed paraffin-embedded sections) - Anti-Serotonin transporter antibody [EPR23530-3] (AB254358)
  • IHC-P

Unknown

Immunohistochemistry (Formalin/PFA-fixed paraffin-embedded sections) - Anti-Serotonin transporter antibody [EPR23530-3] (AB254358)

Immunohistochemical analysis of paraffin-embedded mouse cerebrum tissue labeling Serotonin transporter with ab254358 at 1/2000 dilution followed by a ready to use Rabbit specific IHC polymer detection kit HRP/DAB (ab209101). Positive staining on mouse cerebrum (PMID 23127756). The section was incubated with ab254358 for 30 mins at room temperature. The immunostaining was performed on a Leica Biosystems BOND® RX instrument. Counterstained with Hematoxylin.

Secondary antibody only control : Secondary antibody is a ready to use Rabbit specific IHC polymer detection kit HRP/DAB (ab209101).

Heat mediated antigen retrieval with Citrate buffer (pH 6.0, epitope retrieval solution 1) for 20 mins.

Immunohistochemistry (Frozen sections) - Anti-Serotonin transporter antibody [EPR23530-3] (AB254358)
  • IHC-Fr

Unknown

Immunohistochemistry (Frozen sections) - Anti-Serotonin transporter antibody [EPR23530-3] (AB254358)

Immunohistochemical analysis of 4% PFA-fixed, 0.2% Triton X-100 permeabilized frozen mouse cerebrum tissue labeling Serotonin transporter with ab254358 at 1/50 dilution followed by ab150077 Goat Anti-Rabbit IgG H&L (Alexa Fluor® 488) at 1/1000 dilution (Green). Positive staining on synapses of neurons in mouse cerebrum is observed. The nuclear counterstain was DAPI (Blue).

Secondary antibody control : Secondary antibody is ab150077 Goat Anti-Rabbit IgG H&L (Alexa Fluor® 488)at 1/1000 dilution.

Heat mediated antigen retrieval using sodium citrate buffer (10mM citrate pH 6.0 + 0.05% Tween-20).

Immunohistochemistry (Frozen sections) - Anti-Serotonin transporter antibody [EPR23530-3] (AB254358)
  • IHC-Fr

Unknown

Immunohistochemistry (Frozen sections) - Anti-Serotonin transporter antibody [EPR23530-3] (AB254358)

Immunohistochemical analysis of 4% PFA-fixed, 0.2% Triton X-100 permeabilized frozen mouse liver tissue labeling Serotonin transporter with ab254358 at 1/50 dilution followed by ab150077 Goat Anti-Rabbit IgG H&L (Alexa Fluor® 488) at 1/1000 dilution (Green). The nuclear counterstain was DAPI (Blue).

Negative control : No staining on mouse liver (PMID : 9037532) is observed.

Secondary antibody control : Secondary antibody is ab150077 Goat Anti-Rabbit IgG H&L (Alexa Fluor® 488)at 1/1000 dilution.

Heat mediated antigen retrieval using sodium citrate buffer (10mM citrate pH 6.0 + 0.05% Tween-20).

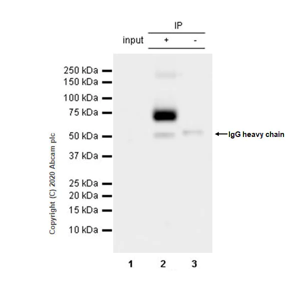
Immunoprecipitation - Anti-Serotonin transporter antibody [EPR23530-3] (AB254358)
  • IP

Unknown

Immunoprecipitation - Anti-Serotonin transporter antibody [EPR23530-3] (AB254358)

Serotonin transporter was immunoprecipitated from 0.35 mg mouse brain tissue lysate with ab254358 at 1/30 dilution (2μg in 0.35mg lysates). Western blot was performed on the immunoprecipitate using ab254358 at 1/1000 dilution. VeriBlot for IP Detection Reagent (HRP)(ab131366) was used at 1/5000 dilution.

Lane 1 : Mouse brain tissue lysate 10 μg

Lane 2 : ab254358 IP in mouse brain tissue lysate

Lane 3 : Rabbit monoclonal IgG (ab172730) instead of ab254358 in mouse brain tissue lysate

Blocking and dilution buffer and concentration : 5% NFDM/TBST.

Exposure time : 15 seconds.

All lanes:

Immunoprecipitation - Anti-Serotonin transporter antibody [EPR23530-3] (ab254358)

Predicted band size: 70 kDa

Observed band size: 74 kDa

false

Immunoprecipitation - Anti-Serotonin transporter antibody [EPR23530-3] (AB254358)
  • IP

Unknown

Immunoprecipitation - Anti-Serotonin transporter antibody [EPR23530-3] (AB254358)

Serotonin transporter was immunoprecipitated from 0.35 mg rat brain tissue lysate with ab254358 at 1/30 dilution (2μg in 0.35mg lysates). Western blot was performed on the immunoprecipitate using ab254358 at 1/1000 dilution. VeriBlot for IP Detection Reagent (HRP)(ab131366) was used at 1/5000 dilution.

Lane 1 : Rat brain tissue lysate 10 μg

Lane 2 : ab254358 IP in rat brain tissue lysate

Lane 3 : Rabbit monoclonal IgG (ab172730) instead of ab254358 in rat brain tissue lysate

Blocking and dilution buffer and concentration : 5% NFDM/TBST.

Exposure time : 33 seconds.

All lanes:

Immunoprecipitation - Anti-Serotonin transporter antibody [EPR23530-3] (ab254358)

Predicted band size: 70 kDa

Observed band size: 74 kDa

false

  • Carrier free

    Anti-Serotonin transporter antibody [EPR23530-3] - BSA and Azide free

Key facts

Host species

Rabbit

Clonality

Monoclonal

Clone number

EPR23530-3

Isotype

IgG

Carrier free

No

Reacts with

Mouse, Rat

Applications

IHC-P, IP, IHC-Fr

applications

Immunogen

The exact immunogen used to generate this antibody is proprietary information.

Reactivity data

{ "title": "Reactivity Data", "filters": { "stats": ["", "Species", "Dilution Info", "Notes"], "tabs": { "all-applications": {"fullname" : "All Applications", "shortname": "All Applications"}, "IHCP" : {"fullname" : "Immunohistochemistry (Formalin/PFA-fixed paraffin-embedded sections)", "shortname":"IHC-P"}, "ICCIF" : {"fullname" : "Immunocytochemistry/ Immunofluorescence", "shortname":"ICC/IF"}, "IP" : {"fullname" : "Immunoprecipitation", "shortname":"IP"}, "FlowCyt" : {"fullname" : "Flow Cytometry", "shortname":"Flow Cyt"}, "WB" : {"fullname" : "Western blot", "shortname":"WB"}, "IHCFr" : {"fullname" : "Immunohistochemistry (Frozen sections)", "shortname":"IHC-Fr"} }, "product-promise": { "all": "all", "testedAndGuaranteed": "tested", "guaranteed": "expected", "predicted": "predicted", "notRecommended": "not-recommended" } }, "values": { "Human": { "IHCP-species-checked": "notRecommended", "IHCP-species-dilution-info": "1/2000", "IHCP-species-notes": "<p></p>", "ICCIF-species-checked": "notRecommended", "ICCIF-species-dilution-info": "", "ICCIF-species-notes": "", "IP-species-checked": "notRecommended", "IP-species-dilution-info": "", "IP-species-notes": "", "FlowCyt-species-checked": "notRecommended", "FlowCyt-species-dilution-info": "", "FlowCyt-species-notes": "", "WB-species-checked": "notRecommended", "WB-species-dilution-info": "", "WB-species-notes": "<p></p>", "IHCFr-species-checked": "notRecommended", "IHCFr-species-dilution-info": "", "IHCFr-species-notes": "" }, "Mouse": { "IHCP-species-checked": "testedAndGuaranteed", "IHCP-species-dilution-info": "1/2000", "IHCP-species-notes": "<p></p>", "ICCIF-species-checked": "notRecommended", "ICCIF-species-dilution-info": "", "ICCIF-species-notes": "<p></p>", "IP-species-checked": "testedAndGuaranteed", "IP-species-dilution-info": "1/30", "IP-species-notes": "<p></p>", "FlowCyt-species-checked": "notRecommended", "FlowCyt-species-dilution-info": "", "FlowCyt-species-notes": "<p></p>", "WB-species-checked": "notRecommended", "WB-species-dilution-info": "", "WB-species-notes": "<p></p>", "IHCFr-species-checked": "testedAndGuaranteed", "IHCFr-species-dilution-info": "1/50", "IHCFr-species-notes": "<p>Heat mediated antigen retrieval using sodium citrate buffer (10mM citrate pH 6.0 + 0.05% Tween-20).</p>" }, "Rat": { "IHCP-species-checked": "testedAndGuaranteed", "IHCP-species-dilution-info": "1/2000", "IHCP-species-notes": "<p></p>", "ICCIF-species-checked": "notRecommended", "ICCIF-species-dilution-info": "", "ICCIF-species-notes": "<p></p>", "IP-species-checked": "testedAndGuaranteed", "IP-species-dilution-info": "1/30", "IP-species-notes": "<p></p>", "FlowCyt-species-checked": "notRecommended", "FlowCyt-species-dilution-info": "", "FlowCyt-species-notes": "<p></p>", "WB-species-checked": "notRecommended", "WB-species-dilution-info": "", "WB-species-notes": "<p></p>", "IHCFr-species-checked": "notRecommended", "IHCFr-species-dilution-info": "1/50", "IHCFr-species-notes": "<p>Heat mediated antigen retrieval using sodium citrate buffer (10mM citrate pH 6.0 + 0.05% Tween-20).</p>" } } }

Product details

Patented technology
Our RabMAb® technology is a patented hybridoma-based technology for making rabbit monoclonal antibodies. For details on our patents, please refer to RabMAb® patents.

What are the advantages of a recombinant monoclonal antibody?
This product is a recombinant monoclonal antibody, which offers several advantages including:

  • - High batch-to-batch consistency and reproducibility
  • - Improved sensitivity and specificity
  • - Long-term security of supply
  • - Animal-free batch production

For more information, read more on recombinant antibodies.

Properties and storage information

Form
Liquid
Purification technique
Affinity purification Protein A
Storage buffer
Preservative: 0.01% Sodium azide Constituents: PBS, 40% Glycerol (glycerin, glycerine), 0.05% BSA
Shipped at conditions
Blue Ice
Appropriate short-term storage duration
1-2 weeks
Appropriate short-term storage conditions
+4°C
Appropriate long-term storage conditions
-20°C
Aliquoting information
Upon delivery aliquot
Storage information
Avoid freeze / thaw cycle

Supplementary information

This supplementary information is collated from multiple sources and compiled automatically.

The serotonin transporter (SERT) also known as 5-HTT or SLC6A4 is an important protein that facilitates the reuptake of serotonin (5-HT) from the synaptic cleft back into the presynaptic neuron. This reuptake process terminates the serotonin signaling effectively controlling its availability in the brain. SERT is approximately 620 amino acids in length with a mass of around 70 kDa. Primarily expressed in the central nervous system it is also found in peripheral tissues. Its widespread presence highlights its critical role in regulating mood and cognition via serotonin modulation.
Biological function summary

The function of SERT impacts neurotransmitter balance significantly as it is integral to serotonin regulation. By removing serotonin from the synaptic cleft and recycling it SERT maintains neurotransmitter homeostasis. SERT is not usually part of a larger protein complex but acts independently to modulate serotonin levels. The activity of SERT affects various neurological processes contributing to mood maintenance and behavioral controls.

Pathways

Serotonin transporter influences the serotonin signaling pathway which is important for mood regulation and cognitive functions. It works alongside other proteins like monoamine oxidase which degrades serotonin and serotonin receptors that mediate its effects. Additionally SERT is involved in the pharmacological pathways of antidepressants. Escitalopram oxalate and other selective serotonin reuptake inhibitors (SSRIs) target SERT to block the reuptake of serotonin increasing its extracellular levels and synaptic availability.

SERT has a strong association with depressive disorders and anxiety due to its role in serotonin regulation. Alterations in SERT expression or function can lead to disruptions in the serotonergic system potentially resulting in mood disorders. SSRIs like escitalopram oxalate are well-known treatments that target SERT to alleviate symptoms. Moreover mutations and polymorphisms in the SERT gene have been linked to various psychiatric conditions illustrating a genetic connection to the protein’s function.

Product protocols

For this product, it's our understanding that no specific protocols are required. You can visit:

Target data

Serotonin transporter that cotransports serotonin with one Na(+) ion in exchange for one K(+) ion and possibly one proton in an overall electroneutral transport cycle. Transports serotonin across the plasma membrane from the extracellular compartment to the cytosol thus limiting serotonin intercellular signaling (By similarity) (PubMed : 9037532, PubMed : 9547354). Essential for serotonin homeostasis in the central nervous system. In the developing somatosensory cortex, acts in glutamatergic neurons to control serotonin uptake and its trophic functions accounting for proper spatial organization of cortical neurons and elaboration of sensory circuits. In the mature cortex, acts primarily in brainstem raphe neurons to mediate serotonin uptake from the synaptic cleft back into the pre-synaptic terminal thus terminating serotonin signaling at the synapse (PubMed : 25600870, PubMed : 9547354). Modulates mucosal serotonin levels in the gastrointestinal tract through uptake and clearance of serotonin in enterocytes. Required for enteric neurogenesis and gastrointestinal reflexes (PubMed : 27111230). Regulates blood serotonin levels by ensuring rapid high affinity uptake of serotonin from plasma to platelets, where it is further stored in dense granules via vesicular monoamine transporters and then released upon stimulation (PubMed : 18317590). Mechanistically, the transport cycle starts with an outward-open conformation having Na1(+) and Cl(-) sites occupied. The binding of a second extracellular Na2(+) ion and serotonin substrate leads to structural changes to outward-occluded to inward-occluded to inward-open, where the Na2(+) ion and serotonin are released into the cytosol. Binding of intracellular K(+) ion induces conformational transitions to inward-occluded to outward-open and completes the cycle by releasing K(+) possibly together with a proton bound to Asp-98 into the extracellular compartment. Na1(+) and Cl(-) ions remain bound throughout the transport cycle (By similarity) (PubMed : 9037532, PubMed : 9547354). Additionally, displays serotonin-induced channel-like conductance for monovalent cations, mainly Na(+) ions. The channel activity is uncoupled from the transport cycle and may contribute to the membrane resting potential or excitability (By similarity).
See full target information Slc6a4

Publications (1)

Recent publications for all applications. Explore the full list and refine your search

Frontiers in cellular neuroscience 16:949923 PubMed35936499

2022

Differential vulnerability of locus coeruleus and dorsal raphe neurons to chronic methamphetamine-induced degeneration.

Applications

Unspecified application

Species

Unspecified reactive species

Yijuan Du,Sanghoon Choi,Alexander Pilski,Steven M Graves
View all publications

Product promise

We are committed to supporting your work with high-quality reagents, and we're here for you every step of the way. In the unlikely event that one of our products does not perform as expected, you're protected by our Product Promise.
For full details, please see our Terms & Conditions

Please note: All products are 'FOR RESEARCH USE ONLY. NOT FOR USE IN DIAGNOSTIC OR THERAPEUTIC PROCEDURES'.

For licensing inquiries, please contact partnerships@abcam.com