JavaScript is disabled in your browser. Please enable JavaScript to view this website.
AB308444

Anti-Serotonin transporter antibody [EPR26259-61] - BSA and Azide free

  • BOND RX™ Validated
  • Recombinant
  • Advanced Validation
  • RabMAb
  • What is this?

Be the first to review this product! Submit a review

|

(0 Publication)

Rabbit Recombinant Monoclonal Serotonin transporter antibody. Carrier free. Suitable for mIHC, WB, IHC-P, IP and reacts with Rat, Mouse, Transfected cell lysate - Mouse samples.

View Alternative Names

Htt, Sert, Slc6a4, Sodium-dependent serotonin transporter, SERT, 5HT transporter, Solute carrier family 6 member 4, 5HTT

18 Images
Multiplex immunohistochemistry - Anti-Serotonin transporter antibody [EPR26259-61] - BSA and Azide free (AB308444)
  • mIHC

Lab

Multiplex immunohistochemistry - Anti-Serotonin transporter antibody [EPR26259-61] - BSA and Azide free (AB308444)

This data was developed using ab308443, the same antibody clone in a different buffer formulation.

Multiplex immunohistochemistry analysis of formalin/PFA-fixed paraffin-embedded Mouse hippocampus tissue staining TRIM46 with ab307967 at a 1 : 5000 (0.102 ug/ml) dilution, FMRP with ab259335 at 1 : 10000 ( 0.04 µg/ml) dilution and Serotonin transporter with ab308443 at a 1 : 500 (0.052 ug/ml) dilution followed by secondary antibody Opal Polymer HRP Ms + Rb.

Panel A : merged staining of anti-TRIM46 (green; Opal520), anti-FMRP (magenta; Opal690) and anti-Serotonin transporter (yellow; Opal570) on mouse hippocampus.
Panel B : anti-TRIM46 staining the proximal part of the axon in mouse hippocampus.
Panel C : anti-FMRP staining neurons in mouse hippocampus.
Panel D : anti-Serotonin transporter staining dendrites in mouse hippocampus.
Nuclear DNA was labeled with DAPI (shown in blue).

The section was incubated in three rounds of staining : in the order of ab307967, ab259335 and ab308443 for 30 mins at room temperature. Each round was followed by a separate fluorescent tyramide signal amplification system.

The immunostaining was performed on a Leica Biosystems BOND® RX instrument with an Opal 4-color kit. Image acquisition was performed with Leica SP8 confocal microscope.

Heat mediated antigen retrieval with Tris-EDTA buffer (pH 9.0, epitope retrieval solution2) for 20 mins

Immunohistochemistry (Formalin/PFA-fixed paraffin-embedded sections) - Anti-Serotonin transporter antibody [EPR26259-61] - BSA and Azide free (AB308444)
  • IHC-P

Supplier Data

Immunohistochemistry (Formalin/PFA-fixed paraffin-embedded sections) - Anti-Serotonin transporter antibody [EPR26259-61] - BSA and Azide free (AB308444)

Immunohistochemical analysis of paraffin-embedded Mouse cardiac muscle tissue labelling Serotonin transporter with ab308443 at 1/500 (1.052 ug/ml) followed by a ready to use LeicaDS9800 (Bond™ Polymer Refine Detection). Negative control : No staining on mouse cardiac muscle. The section was incubated with ab308443 for 30 mins at room temperature. The immunostaining was performed on a Leica Biosystems BOND® RX instrument Counterstained with Hematoxylin. Secondary antibody only control : Secondary antibody is a ready to use LeicaDS9800 (Bond™ Polymer Refine Detection). Heat mediated antigen retrieval was performed with Tris-EDTA buffer (pH 9.0, Epitope Retrieval Solution2) for 20 mins

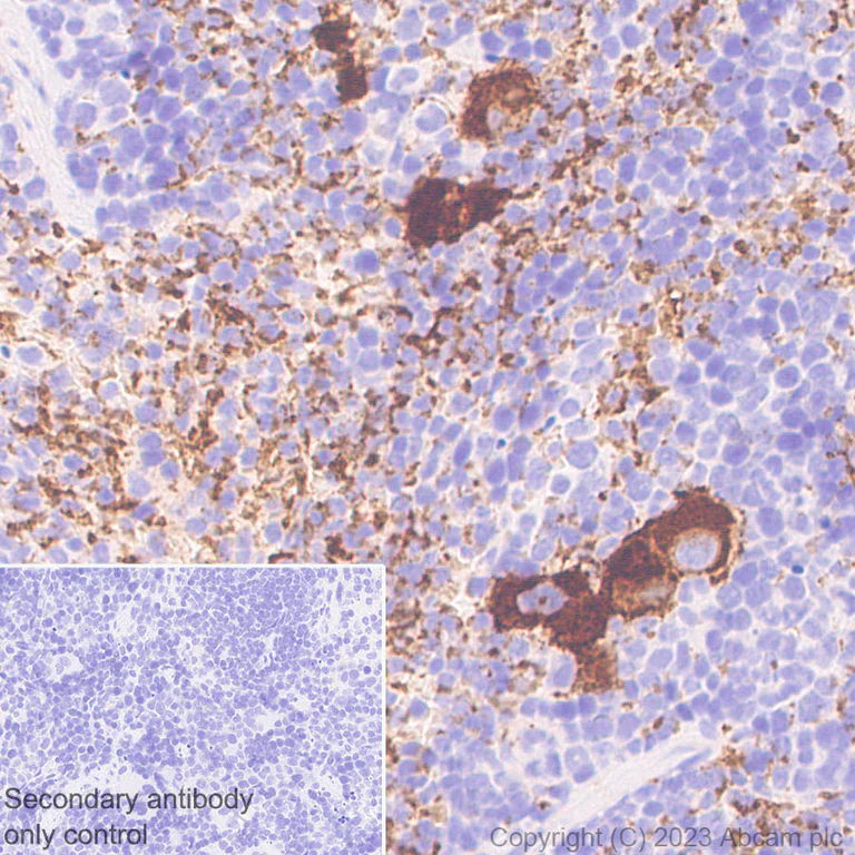
Immunohistochemistry (Formalin/PFA-fixed paraffin-embedded sections) - Anti-Serotonin transporter antibody [EPR26259-61] - BSA and Azide free (AB308444)
  • IHC-P

Supplier Data

Immunohistochemistry (Formalin/PFA-fixed paraffin-embedded sections) - Anti-Serotonin transporter antibody [EPR26259-61] - BSA and Azide free (AB308444)

Immunohistochemical analysis of paraffin-embedded Rat spleen tissue labelling Serotonin transporter with ab308443 at 1/500 (1.052 ug/ml) followed by a ready to use LeicaDS9800 (Bond™ Polymer Refine Detection). Positive staining on megakaryocyte and platelets in rat spleen (PMID : 7869097). The section was incubated with ab308443 for 30 mins at room temperature. The immunostaining was performed on a Leica Biosystems BOND® RX instrument Counterstained with Hematoxylin. Secondary antibody only control : Secondary antibody is a ready to use LeicaDS9800 (Bond™ Polymer Refine Detection). Heat mediated antigen retrieval was performed with Tris-EDTA buffer (pH 9.0, Epitope Retrieval Solution2) for 20 mins

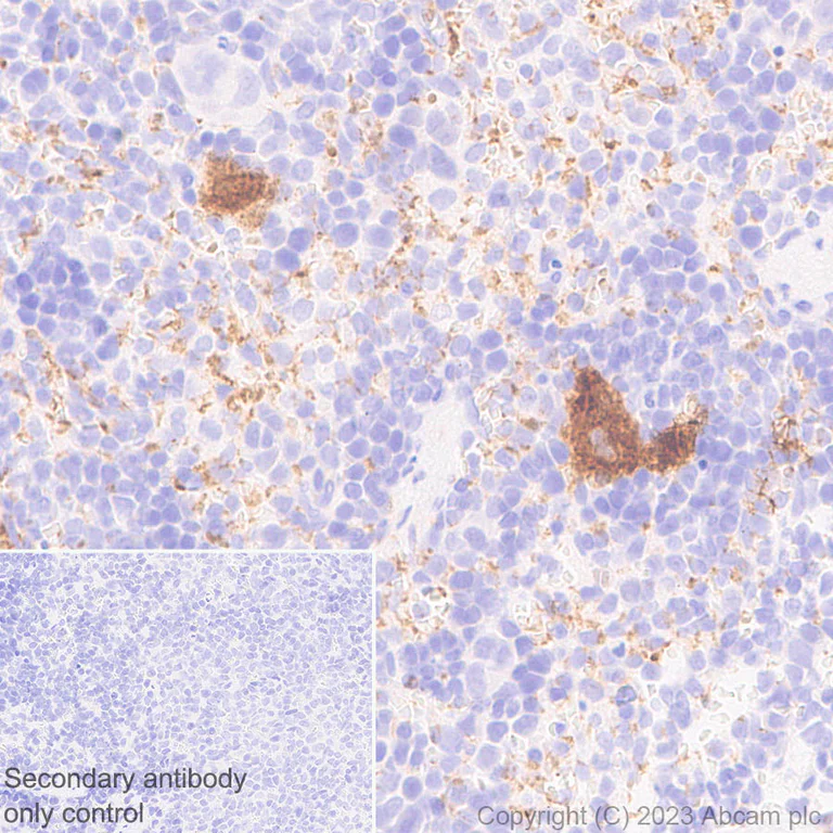
Immunohistochemistry (Formalin/PFA-fixed paraffin-embedded sections) - Anti-Serotonin transporter antibody [EPR26259-61] - BSA and Azide free (AB308444)
  • IHC-P

Supplier Data

Immunohistochemistry (Formalin/PFA-fixed paraffin-embedded sections) - Anti-Serotonin transporter antibody [EPR26259-61] - BSA and Azide free (AB308444)

Immunohistochemical analysis of paraffin-embedded Mouse cerebrum tissue labelling Serotonin transporter with ab308443 at 1/500 (1.052 ug/ml) followed by a ready to use LeicaDS9800 (Bond™ Polymer Refine Detection). Positive staining on mouse cerebrum (PMID : 7869097, 23127756). The section was incubated with ab308443 for 30 mins at room temperature. The immunostaining was performed on a Leica Biosystems BOND® RX instrument Counterstained with Hematoxylin. Secondary antibody only control : Secondary antibody is a ready to use LeicaDS9800 (Bond™ Polymer Refine Detection). Heat mediated antigen retrieval was performed with Tris-EDTA buffer (pH 9.0, Epitope Retrieval Solution2) for 20 mins

Immunohistochemistry (Formalin/PFA-fixed paraffin-embedded sections) - Anti-Serotonin transporter antibody [EPR26259-61] - BSA and Azide free (AB308444)
  • IHC-P

Supplier Data

Immunohistochemistry (Formalin/PFA-fixed paraffin-embedded sections) - Anti-Serotonin transporter antibody [EPR26259-61] - BSA and Azide free (AB308444)

Immunohistochemical analysis of paraffin-embedded Rat cerebrum tissue labelling Serotonin transporter with ab308443 at 1/500 (1.052 ug/ml) followed by a ready to use LeicaDS9800 (Bond™ Polymer Refine Detection). Positive staining on rat cerebrum (PMID : 7869097, 23127756). The section was incubated with ab308443 for 30 mins at room temperature. The immunostaining was performed on a Leica Biosystems BOND® RX instrument Counterstained with Hematoxylin. Secondary antibody only control : Secondary antibody is a ready to use LeicaDS9800 (Bond™ Polymer Refine Detection). Heat mediated antigen retrieval was performed with Tris-EDTA buffer (pH 9.0, Epitope Retrieval Solution2) for 20 mins

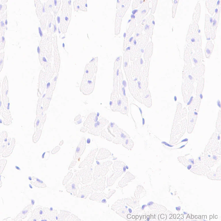
Immunohistochemistry (Formalin/PFA-fixed paraffin-embedded sections) - Anti-Serotonin transporter antibody [EPR26259-61] - BSA and Azide free (AB308444)
  • IHC-P

Supplier Data

Immunohistochemistry (Formalin/PFA-fixed paraffin-embedded sections) - Anti-Serotonin transporter antibody [EPR26259-61] - BSA and Azide free (AB308444)

Immunohistochemical analysis of paraffin-embedded Rat cardiac muscle tissue labelling Serotonin transporter with ab308443 at 1/500 (1.052 ug/ml) followed by a ready to use LeicaDS9800 (Bond™ Polymer Refine Detection). Negative control : No staining on rat cardiac muscle. The section was incubated with ab308443 for 30 mins at room temperature. The immunostaining was performed on a Leica Biosystems BOND® RX instrument Counterstained with Hematoxylin. Secondary antibody only control : Secondary antibody is a ready to use LeicaDS9800 (Bond™ Polymer Refine Detection). Heat mediated antigen retrieval was performed with Tris-EDTA buffer (pH 9.0, Epitope Retrieval Solution2) for 20 mins

Multiplex immunohistochemistry - Anti-Serotonin transporter antibody [EPR26259-61] - BSA and Azide free (AB308444)
  • mIHC

Lab

Multiplex immunohistochemistry - Anti-Serotonin transporter antibody [EPR26259-61] - BSA and Azide free (AB308444)

This data was developed using ab308443, the same antibody clone in a different buffer formulation.

Multiplex immunohistochemistry analysis of formalin/PFA-fixed paraffin-embedded Rat spinal cord tissue staining TRIM46 with ab307967 at a 1 : 5000 (0.102 ug/ml) dilution, FMRP with ab259335 at 1 : 10000 (0.04 ug/ml) dilution and Serotonin transporter with ab308443 at a 1 : 500 (0.052 ug/ml) dilution followed by secondary antibody Opal Polymer HRP Ms + Rb.

Panel A : merged staining of anti-TRIM46 (green; Opal520), anti-FMRP (magenta; Opal690) and anti-Serotonin transporter (yellow; Opal570) on rat spinal cord.
Panel B : anti-TRIM46 staining the proximal part of the axon in rat spinal cord.
Panel C : anti-FMRP staining neurons in rat spinal cord.
Panel D : anti-Serotonin transporter staining dendrites in rat spinal cord.
Nuclear DNA was labeled with DAPI (shown in blue).

The section was incubated in three rounds of staining : in the order of ab307967, ab259335 and ab308443 for 30 mins at room temperature. Each round was followed by a separate fluorescent tyramide signal amplification system.

The immunostaining was performed on a Leica Biosystems BOND® RX instrument with an Opal 4-color kit. Image acquisition was performed with Leica SP8 confocal microscope.

Heat mediated antigen retrieval with Tris-EDTA buffer (pH 9.0, epitope retrieval solution2) for 20 mins

Multiplex immunohistochemistry - Anti-Serotonin transporter antibody [EPR26259-61] - BSA and Azide free (AB308444)
  • mIHC

Lab

Multiplex immunohistochemistry - Anti-Serotonin transporter antibody [EPR26259-61] - BSA and Azide free (AB308444)

This data was developed using ab308443, the same antibody clone in a different buffer formulation.

Multiplex immunohistochemistry analysis of formalin/PFA-fixed paraffin-embedded Rat hippocampus tissue staining TRIM46 with ab307967 at a 1 : 5000 (0.102 ug/ml) dilution, FMRP with ab259335 at 1 : 10000 (0.04 ug/ml) dilution and Serotonin transporter with ab308443 at a 1 : 500 (0.052 ug/ml) dilution followed by secondary antibody Opal Polymer HRP Ms + Rb.

Panel A : merged staining of anti-TRIM46 (green; Opal520), anti-FMRP (magenta; Opal690) and anti-Serotonin transporter (yellow; Opal570) on rat hippocampus.
Panel B : anti-TRIM46 staining the proximal part of the axon in rat hippocampus.
Panel C : anti-FMRP staining neurons in rat hippocampus.
Panel D : anti-Serotonin transporter staining dendrites in rat hippocampus..
Nuclear DNA was labeled with DAPI (shown in blue).

The section was incubated in three rounds of staining : in the order of ab307967, ab259335 and ab308443 for 30 mins at room temperature. Each round was followed by a separate fluorescent tyramide signal amplification system.

The immunostaining was performed on a Leica Biosystems BOND® RX instrument with an Opal 4-color kit. Image acquisition was performed with Leica SP8 confocal microscope.

Heat mediated antigen retrieval with Tris-EDTA buffer (pH 9.0, epitope retrieval solution2) for 20 mins

Immunohistochemistry (Formalin/PFA-fixed paraffin-embedded sections) - Anti-Serotonin transporter antibody [EPR26259-61] - BSA and Azide free (AB308444)
  • IHC-P

Supplier Data

Immunohistochemistry (Formalin/PFA-fixed paraffin-embedded sections) - Anti-Serotonin transporter antibody [EPR26259-61] - BSA and Azide free (AB308444)

Immunohistochemical analysis of paraffin-embedded Mouse spleen tissue labelling Serotonin transporter with ab308443 at 1/500 (1.052 ug/ml) followed by a ready to use LeicaDS9800 (Bond™ Polymer Refine Detection). Positive staining on megakaryocyte and platelets in mouse spleen (PMID : 7869097). The section was incubated with ab308443 for 30 mins at room temperature. The immunostaining was performed on a Leica Biosystems BOND® RX instrument Counterstained with Hematoxylin. Secondary antibody only control : Secondary antibody is a ready to use LeicaDS9800 (Bond™ Polymer Refine Detection). Heat mediated antigen retrieval was performed with Tris-EDTA buffer (pH 9.0, Epitope Retrieval Solution2) for 20 mins

Multiplex immunohistochemistry - Anti-Serotonin transporter antibody [EPR26259-61] - BSA and Azide free (AB308444)
  • mIHC

Lab

Multiplex immunohistochemistry - Anti-Serotonin transporter antibody [EPR26259-61] - BSA and Azide free (AB308444)

This data was developed using ab308443, the same antibody clone in a different buffer formulation.

Multiplex immunohistochemistry analysis of formalin/PFA-fixed paraffin-embedded Rat hippocampus tissue staining TRIM46 with ab307967 at a 1 : 5000 (0.102 ug/ml) dilution, VAChT with ab317452 at 1 : 1000 (0.508 ug/ml) dilution and Serotonin transporter with ab308443 at a 1 : 500 (0.052 ug/ml) dilution followed by secondary antibody Opal Polymer HRP Ms + Rb.

Panel A : merged staining of anti-TRIM46 (green; Opal520), anti-VAChT (magenta; Opal690) and anti-Serotonin transporter (yellow; Opal570) on rat hippocampus.Panel B : anti-TRIM46 staining the proximal part of the axon in rat hippocampus.Panel C : anti-VAChT staining vesicle in rat hippocampus.Panel D : anti-Serotonin transporter staining dendrites in rat hippocampus.
Nuclear DNA was labeled with DAPI (shown in blue).

The section was incubated in three rounds of staining : in the order of ab307967, ab317452 and ab308443 for 30 mins at room temperature. Each round was followed by a separate fluorescent tyramide signal amplification system.

The immunostaining was performed on a Leica Biosystems BOND® RX instrument with an Opal 4-color kit. Image acquisition was performed with Leica SP8 confocal microscope.

Heat mediated antigen retrieval with Tris-EDTA buffer (pH 9.0, epitope retrieval solution2) for 20 mins

Multiplex immunohistochemistry - Anti-Serotonin transporter antibody [EPR26259-61] - BSA and Azide free (AB308444)
  • mIHC

Lab

Multiplex immunohistochemistry - Anti-Serotonin transporter antibody [EPR26259-61] - BSA and Azide free (AB308444)

This data was developed using ab308443, the same antibody clone in a different buffer formulation.

Multiplex immunohistochemistry analysis of formalin/PFA-fixed paraffin-embedded Rat cerebrum tissue staining TRIM46 with ab307967 at a 1 : 5000 (0.102 ug/ml) dilution, VAChT with ab317452 at 1 : 1000 (0.508 ug/ml) dilution and Serotonin transporter with ab308443 at a 1 : 500 (0.052 ug/ml) dilution followed by secondary antibody Opal Polymer HRP Ms + Rb.

Panel A : merged staining of anti-TRIM46 (green; Opal520), anti-VAChT (magenta; Opal690) and anti-Serotonin transporter (yellow; Opal570) on rat cerebrum.Panel B : anti-TRIM46 staining the proximal part of the axon in rat cerebrum.Panel C : anti-VAChT staining vesicle in rat cerebrum.Panel D : anti-Serotonin transporter staining dendrites in rat cerebrum.
Nuclear DNA was labeled with DAPI (shown in blue).

The section was incubated in three rounds of staining : in the order of ab307967, ab317452 and ab308443 for 30 mins at room temperature. Each round was followed by a separate fluorescent tyramide signal amplification system.

The immunostaining was performed on a Leica Biosystems BOND® RX instrument with an Opal 4-color kit. Image acquisition was performed with Leica SP8 confocal microscope.

Heat mediated antigen retrieval with Tris-EDTA buffer (pH 9.0, epitope retrieval solution2) for 20 mins

Multiplex immunohistochemistry - Anti-Serotonin transporter antibody [EPR26259-61] - BSA and Azide free (AB308444)
  • mIHC

Lab

Multiplex immunohistochemistry - Anti-Serotonin transporter antibody [EPR26259-61] - BSA and Azide free (AB308444)

This data was developed using ab308443, the same antibody clone in a different buffer formulation.

Multiplex immunohistochemistry analysis of formalin/PFA-fixed paraffin-embedded Rat cerebrum tissue staining TRIM46 with ab307967 at a 1 : 5000 (0.102 ug/ml) dilution, FMRP with ab259335 at 1 : 10000 (0.04 ug/ml) dilution and Serotonin transporter with ab308443 at a 1 : 500 (0.052 ug/ml) dilution followed by secondary antibody Opal Polymer HRP Ms + Rb.

Panel A : merged staining of anti-TRIM46 (green; Opal520), anti-FMRP (magenta; Opal690) and anti-Serotonin transporter (yellow; Opal570) on rat cerebrum.
Panel B : anti-TRIM46 staining the proximal part of the axon in rat cerebrum.
Panel C : anti-FMRP staining neurons in rat cerebrum.
Panel D : anti-Serotonin transporter staining dendrites in rat cerebrum.
Nuclear DNA was labeled with DAPI (shown in blue).

The section was incubated in three rounds of staining : in the order of ab307967, ab259335 and ab308443 for 30 mins at room temperature. Each round was followed by a separate fluorescent tyramide signal amplification system.

The immunostaining was performed on a Leica Biosystems BOND® RX instrument with an Opal 4-color kit. Image acquisition was performed with Leica SP8 confocal microscope.

Heat mediated antigen retrieval with Tris-EDTA buffer (pH 9.0, epitope retrieval solution2) for 20 mins

Multiplex immunohistochemistry - Anti-Serotonin transporter antibody [EPR26259-61] - BSA and Azide free (AB308444)
  • mIHC

Lab

Multiplex immunohistochemistry - Anti-Serotonin transporter antibody [EPR26259-61] - BSA and Azide free (AB308444)

This data was developed using ab308443, the same antibody clone in a different buffer formulation.

Multiplex immunohistochemistry analysis of formalin/PFA-fixed paraffin-embedded Mouse hippocampus tissue staining TRIM46 with ab307967 at a 1 : 5000 (0.102 ug/ml) dilution, VAChT with ab317452 at 1 : 1000 (0.508 ug/ml) dilution and Serotonin transporter with ab308443 at a 1 : 500 (0.052 ug/ml) dilution followed by secondary antibody Opal Polymer HRP Ms + Rb.

Panel A : merged staining of anti-TRIM46 (green; Opal520), anti-VAChT (magenta; Opal690) and anti-Serotonin transporter (yellow; Opal570) on mouse hippocampus.Panel B : anti-TRIM46 staining the proximal part of the axon in mouse hippocampus.Panel C : anti-VAChT staining vesicle in mouse hippocampus.Panel D : anti-Serotonin transporter staining dendrites in mouse hippocampus.
Nuclear DNA was labeled with DAPI (shown in blue).

The section was incubated in three rounds of staining : in the order of ab307967, ab317452 and ab308443 for 30 mins at room temperature. Each round was followed by a separate fluorescent tyramide signal amplification system.

The immunostaining was performed on a Leica Biosystems BOND® RX instrument with an Opal 4-color kit. Image acquisition was performed with Leica SP8 confocal microscope.

Heat mediated antigen retrieval with Tris-EDTA buffer (pH 9.0, epitope retrieval solution2) for 20 mins

Multiplex immunohistochemistry - Anti-Serotonin transporter antibody [EPR26259-61] - BSA and Azide free (AB308444)
  • mIHC

Lab

Multiplex immunohistochemistry - Anti-Serotonin transporter antibody [EPR26259-61] - BSA and Azide free (AB308444)

This data was developed using ab308443, the same antibody clone in a different buffer formulation.

Multiplex immunohistochemistry analysis of formalin/PFA-fixed paraffin-embedded Mouse cerebrum tissue staining TRIM46 with ab307967 at a 1 : 5000 (0.102 ug/ml) dilution, VAChT with ab317452 at 1 : 1000 (0.508 ug/ml) dilution and Serotonin transporter with ab308443 at a 1 : 500 (0.052 ug/ml) dilution followed by secondary antibody Opal Polymer HRP Ms + Rb.

Panel A : merged staining of anti-TRIM46 (green; Opal520), anti-VAChT (magenta; Opal690) and anti-Serotonin transporter (yellow; Opal570) on mouse cerebrum.Panel B : anti-TRIM46 staining the proximal part of the axon in mouse cerebrum.Panel C : anti-VAChT staining vesicle in mouse cerebrum.Panel D : anti-Serotonin transporter staining dendrites in mouse cerebrum.
Nuclear DNA was labeled with DAPI (shown in blue).

The section was incubated in three rounds of staining : in the order of ab307967, ab317452 and ab308443 for 30 mins at room temperature. Each round was followed by a separate fluorescent tyramide signal amplification system.

The immunostaining was performed on a Leica Biosystems BOND® RX instrument with an Opal 4-color kit. Image acquisition was performed with Leica SP8 confocal microscope.

Heat mediated antigen retrieval with Tris-EDTA buffer (pH 9.0, epitope retrieval solution2) for 20 mins

Multiplex immunohistochemistry - Anti-Serotonin transporter antibody [EPR26259-61] - BSA and Azide free (AB308444)
  • mIHC

Lab

Multiplex immunohistochemistry - Anti-Serotonin transporter antibody [EPR26259-61] - BSA and Azide free (AB308444)

This data was developed using ab308443, the same antibody clone in a different buffer formulation.

Multiplex immunohistochemistry analysis of formalin/PFA-fixed paraffin-embedded Mouse cerebrum tissue staining TRIM46 with ab307967 at a 1 : 5000 (0.102 ug/ml) dilution, FMRP with ab259335 at 1 : 10000 (0.04 ug/ml) dilution and Serotonin transporter with ab308443 at a 1 : 500 (0.052 ug/ml) dilution followed by secondary antibody Opal Polymer HRP Ms + Rb.

Panel A : merged staining of anti-TRIM46 (green; Opal520), anti-FMRP (magenta; Opal690) and anti-Serotonin transporter (yellow; Opal570) on mouse cerebrum.
Panel B : anti-TRIM46 staining the proximal part of the axon in mouse cerebrum.
Panel C : anti-FMRP staining neurons in mouse cerebrum.
Panel D : anti-Serotonin transporter staining dendrites in mouse cerebrum.
Nuclear DNA was labeled with DAPI (shown in blue).

The section was incubated in three rounds of staining : in the order of ab307967, ab259335 and ab308443 for 30 mins at room temperature. Each round was followed by a separate fluorescent tyramide signal amplification system.

The immunostaining was performed on a Leica Biosystems BOND® RX instrument with an Opal 4-color kit. Image acquisition was performed with Leica SP8 confocal microscope.

Heat mediated antigen retrieval with Tris-EDTA buffer (pH 9.0, epitope retrieval solution2) for 20 mins

Immunoprecipitation - Anti-Serotonin transporter antibody [EPR26259-61] - BSA and Azide free (AB308444)
  • IP

Supplier Data

Immunoprecipitation - Anti-Serotonin transporter antibody [EPR26259-61] - BSA and Azide free (AB308444)

This data was developed using ab308443, the same antibody clone in a different buffer formulation.Serotonin transporter was immunoprecipitated from 0.35 mg Mouse platelet lysate with ab308443 at 1/30 dilution (2ug in 0.35mg lysates). Western blot was performed on the immunoprecipitate using ab308443 at 1/1000 dilution. VeriBlot for IP secondary antibody(HRP)(ab131366) was used at 1/5000 dilution. Lane 1 : Mouse platelet lysate Lane 2 : abAB308443 IP in Mouse platelet lysate Lane 3 : Rabbit monoclonal IgG (ab172730) instead of ab308443 in mouse platelet lysate Blocking and dilution buffer and concentration : 5% NFDM/TBST. Exposure time : 3 seconds

All lanes:

Immunoprecipitation - Anti-Serotonin transporter antibody [EPR26259-61] (<a href='/en-us/products/primary-antibodies/serotonin-transporter-antibody-epr26259-61-ab308443'>ab308443</a>) at 1/30 dilution

All lanes:

Mouse platelet lysate at 10 µg

Secondary

All lanes:

Immunoprecipitation - VeriBlot for IP Detection Reagent (HRP) (<a href='/en-us/products/reagents/veriblot-for-ip-detection-reagent-hrp-ab131366'>ab131366</a>) at 1/5000 dilution

Observed band size: 100 kDa

false

Exposure time: 3s

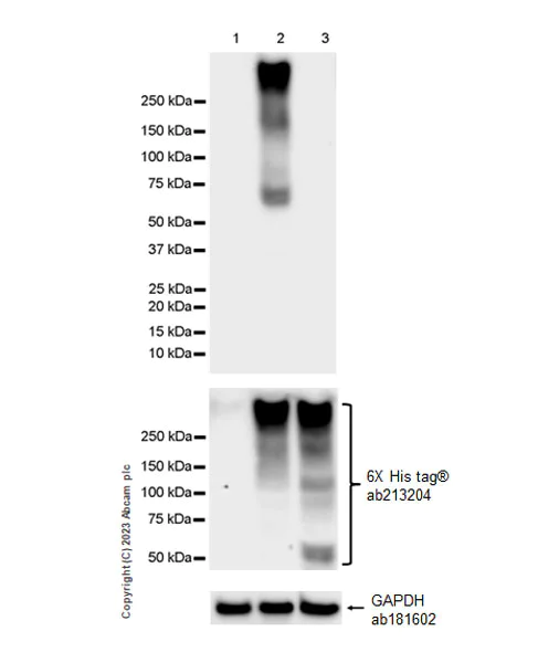
Western blot - Anti-Serotonin transporter antibody [EPR26259-61] - BSA and Azide free (AB308444)
  • WB

Supplier Data

Western blot - Anti-Serotonin transporter antibody [EPR26259-61] - BSA and Azide free (AB308444)

This data was produced using ab308443, the same antibody clone but in a different formulation. Blocking and diluting buffer and concentration : 5% NFDM/TBST. This antibody does not cross-react with mouse Noradrenaline transporter. In Western blot, anti-His antibody (ab213204) staining at 1/5000 dilution. In Western blot, anti-GAPDH antibody (ab181602) loading control staining at 1/200, 000 dilution. Exposure time : 15 seconds

All lanes:

Western blot - Anti-Serotonin transporter antibody [EPR26259-61] (<a href='/en-us/products/primary-antibodies/serotonin-transporter-antibody-epr26259-61-ab308443'>ab308443</a>) at 1/1000 dilution

Lane 1:

HEK-293 (human embryonic kidney) transfected with an empty vector (vector control), containing a myc-His-tag®, whole cell lysate at 20 µg

Lane 2:

HEK-293 transfected with Slc6a4 (WT) expression vector containing a myc-His-tag®, whole cell lysate at 20 µg

Lane 3:

HEK-293 transfected with Slc6a2 (WT) expression vector containing a myc-His-tag®, whole cell lysate at 20 µg

Secondary

All lanes:

Western blot - Goat Anti-Rabbit IgG H&L (HRP) (<a href='/en-us/products/secondary-antibodies/goat-rabbit-igg-h-l-hrp-ab97051'>ab97051</a>) at 1/100000 dilution

Predicted band size: 70 kDa

Observed band size: 70 kDa

false

Exposure time: 15s

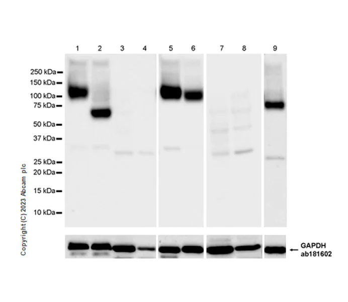
Western blot - Anti-Serotonin transporter antibody [EPR26259-61] - BSA and Azide free (AB308444)
  • WB

Supplier Data

Western blot - Anti-Serotonin transporter antibody [EPR26259-61] - BSA and Azide free (AB308444)

This data was produced using ab308443, the same antibody clone but in a different formulation.

Blocking and diluting buffer and concentration : 5% NFDM/TBST.

Serotonin transporter is a glycoprotein of approximately 100 kDa and detected as a 70 kDa band after treated with Protein Deglycosylation MIX II.

Negative control : heart, lung (PMID : 9037532, PMID : 7869097).

In Western blot, anti-GAPDH antibody (ab181602) loading control staining at 1/200,000 dilution.

Exposure time :
Lanes 1-4 : 8 seconds.
Lanes 5-8 : 15 seconds.
Lane 9 : 125 seconds.

All lanes:

Western blot - Anti-Serotonin transporter antibody [EPR26259-61] (<a href='/en-us/products/primary-antibodies/serotonin-transporter-antibody-epr26259-61-ab308443'>ab308443</a>) at 1/1000 dilution

Lane 1:

Untreated mouse platelet lysate at 20 µg

Lane 2:

Mouse platelet lysate treated with Protein Deglycosylation Mix II at 20 µg

Lane 3:

Mouse heart tissue lysate at 20 µg

Lane 4:

Mouse lung tissue lysate at 20 µg

Lane 5:

Mouse platelet lysate at 20 µg

Lane 6:

Rat platelet lysate at 20 µg

Lane 7:

Rat heart tissue lysate at 20 µg

Lane 8:

Rat lung tissue lysate at 20 µg

Lane 9:

Rat midbrain tissue lysate at 20 µg

Secondary

All lanes:

Western blot - Goat Anti-Rabbit IgG H&L (HRP) (<a href='/en-us/products/secondary-antibodies/goat-rabbit-igg-h-l-hrp-ab97051'>ab97051</a>) at 1/20000 dilution

Predicted band size: 70 kDa

Observed band size: 100 kDa,70 kDa

false

  • Unconjugated

    Anti-Serotonin transporter antibody [EPR26259-61]

Key facts

Host species

Rabbit

Clonality

Monoclonal

Clone number

EPR26259-61

Isotype

IgG

Carrier free

Yes

Reacts with

Mouse, Rat

Applications

mIHC, WB, IHC-P, IP

applications

Immunogen

The exact immunogen used to generate this antibody is proprietary information.

Reactivity data

{ "title": "Reactivity Data", "filters": { "stats": ["", "Species", "Dilution Info", "Notes"], "tabs": { "all-applications": {"fullname" : "All Applications", "shortname": "All Applications"}, "mIHC" : {"fullname" : "Multiplex immunohistochemistry", "shortname":"mIHC"}, "WB" : {"fullname" : "Western blot", "shortname":"WB"}, "IHCP" : {"fullname" : "Immunohistochemistry (Formalin/PFA-fixed paraffin-embedded sections)", "shortname":"IHC-P"}, "IP" : {"fullname" : "Immunoprecipitation", "shortname":"IP"}, "IHCFr" : {"fullname" : "Immunohistochemistry (Frozen sections)", "shortname":"IHC-Fr"}, "ICCIF" : {"fullname" : "Immunocytochemistry/ Immunofluorescence", "shortname":"ICC/IF"}, "FlowCytIntra" : {"fullname" : "Flow Cytometry (Intracellular)", "shortname":"Flow Cyt (Intra)"} }, "product-promise": { "all": "all", "testedAndGuaranteed": "tested", "guaranteed": "expected", "predicted": "predicted", "notRecommended": "not-recommended" } }, "values": { "Human": { "mIHC-species-checked": "notRecommended", "mIHC-species-dilution-info": "", "mIHC-species-notes": "", "WB-species-checked": "notRecommended", "WB-species-dilution-info": "", "WB-species-notes": "<p></p>", "IHCP-species-checked": "notRecommended", "IHCP-species-dilution-info": "", "IHCP-species-notes": "<p></p>", "IP-species-checked": "notRecommended", "IP-species-dilution-info": "", "IP-species-notes": "", "IHCFr-species-checked": "notRecommended", "IHCFr-species-dilution-info": "", "IHCFr-species-notes": "", "ICCIF-species-checked": "notRecommended", "ICCIF-species-dilution-info": "", "ICCIF-species-notes": "", "FlowCytIntra-species-checked": "notRecommended", "FlowCytIntra-species-dilution-info": "", "FlowCytIntra-species-notes": "" }, "Mouse": { "mIHC-species-checked": "testedAndGuaranteed", "mIHC-species-dilution-info": "", "mIHC-species-notes": "<p></p>", "WB-species-checked": "testedAndGuaranteed", "WB-species-dilution-info": "", "WB-species-notes": "<p></p>", "IHCP-species-checked": "testedAndGuaranteed", "IHCP-species-dilution-info": "", "IHCP-species-notes": "<p></p> Perform heat-mediated antigen retrieval with Tris/EDTA buffer pH 9.0 before commencing with IHC staining protocol.", "IP-species-checked": "testedAndGuaranteed", "IP-species-dilution-info": "", "IP-species-notes": "<p></p>", "IHCFr-species-checked": "notRecommended", "IHCFr-species-dilution-info": "", "IHCFr-species-notes": "<p></p>", "ICCIF-species-checked": "notRecommended", "ICCIF-species-dilution-info": "", "ICCIF-species-notes": "<p></p>", "FlowCytIntra-species-checked": "notRecommended", "FlowCytIntra-species-dilution-info": "", "FlowCytIntra-species-notes": "<p></p>" }, "Rat": { "mIHC-species-checked": "testedAndGuaranteed", "mIHC-species-dilution-info": "", "mIHC-species-notes": "<p></p>", "WB-species-checked": "testedAndGuaranteed", "WB-species-dilution-info": "", "WB-species-notes": "<p></p>", "IHCP-species-checked": "testedAndGuaranteed", "IHCP-species-dilution-info": "", "IHCP-species-notes": "<p></p> Perform heat-mediated antigen retrieval with Tris/EDTA buffer pH 9.0 before commencing with IHC staining protocol.", "IP-species-checked": "guaranteed", "IP-species-dilution-info": "", "IP-species-notes": "", "IHCFr-species-checked": "notRecommended", "IHCFr-species-dilution-info": "", "IHCFr-species-notes": "<p></p>", "ICCIF-species-checked": "notRecommended", "ICCIF-species-dilution-info": "", "ICCIF-species-notes": "<p></p>", "FlowCytIntra-species-checked": "notRecommended", "FlowCytIntra-species-dilution-info": "", "FlowCytIntra-species-notes": "<p></p>" }, "Transfected cell lysate - Mouse": { "mIHC-species-checked": "notRecommended", "mIHC-species-dilution-info": "", "mIHC-species-notes": "", "WB-species-checked": "testedAndGuaranteed", "WB-species-dilution-info": "", "WB-species-notes": "<p></p>", "IHCP-species-checked": "notRecommended", "IHCP-species-dilution-info": "", "IHCP-species-notes": "", "IP-species-checked": "notRecommended", "IP-species-dilution-info": "", "IP-species-notes": "", "IHCFr-species-checked": "notRecommended", "IHCFr-species-dilution-info": "", "IHCFr-species-notes": "", "ICCIF-species-checked": "notRecommended", "ICCIF-species-dilution-info": "", "ICCIF-species-notes": "", "FlowCytIntra-species-checked": "notRecommended", "FlowCytIntra-species-dilution-info": "", "FlowCytIntra-species-notes": "" } } }

Product details

Patented technology
Our RabMAb® technology is a patented hybridoma-based technology for making rabbit monoclonal antibodies. For details on our patents, please refer to RabMAb® patents.

What are the advantages of a recombinant monoclonal antibody?
This product is a recombinant monoclonal antibody, which offers several advantages including:

  • - High batch-to-batch consistency and reproducibility
  • - Improved sensitivity and specificity
  • - Long-term security of supply
  • - Animal-free batch production

For more information, read more on recombinant antibodies.

Conjugation ready
Our carrier-free antibodies are typically supplied in a PBS-only formulation, purified and free of BSA, sodium azide and glycerol. This conjugation-ready format is designed for use with fluorochromes, metal isotopes, oligonucleotides, and enzymes, which makes them ideal for antibody labelling, functional and cell-based assays, flow-based assays (e.g. mass cytometry) and Multiplex Imaging applications.

Use our conjugation kits for antibody conjugates that are ready-to-use in as little as 20 minutes with 1 minute hands-on-time and 100% antibody recovery: available for fluorescent dyes, HRP, biotin and gold.

Compatibility
This product is compatible with the Maxpar® Antibody Labeling Kit from Fluidigm, without the need for antibody preparation. Maxpar® is a trademark of Fluidigm Canada Inc.

Properties and storage information

Form
Liquid
Purification technique
Affinity purification Protein A
Storage buffer
pH: 7.2 - 7.4 Constituents: 100% PBS
Shipped at conditions
Blue Ice
Appropriate short-term storage conditions
+4°C
Appropriate long-term storage conditions
+4°C

Supplementary information

This supplementary information is collated from multiple sources and compiled automatically.

The serotonin transporter (SERT) also known as 5-HTT or SLC6A4 is an important protein that facilitates the reuptake of serotonin (5-HT) from the synaptic cleft back into the presynaptic neuron. This reuptake process terminates the serotonin signaling effectively controlling its availability in the brain. SERT is approximately 620 amino acids in length with a mass of around 70 kDa. Primarily expressed in the central nervous system it is also found in peripheral tissues. Its widespread presence highlights its critical role in regulating mood and cognition via serotonin modulation.
Biological function summary

The function of SERT impacts neurotransmitter balance significantly as it is integral to serotonin regulation. By removing serotonin from the synaptic cleft and recycling it SERT maintains neurotransmitter homeostasis. SERT is not usually part of a larger protein complex but acts independently to modulate serotonin levels. The activity of SERT affects various neurological processes contributing to mood maintenance and behavioral controls.

Pathways

Serotonin transporter influences the serotonin signaling pathway which is important for mood regulation and cognitive functions. It works alongside other proteins like monoamine oxidase which degrades serotonin and serotonin receptors that mediate its effects. Additionally SERT is involved in the pharmacological pathways of antidepressants. Escitalopram oxalate and other selective serotonin reuptake inhibitors (SSRIs) target SERT to block the reuptake of serotonin increasing its extracellular levels and synaptic availability.

SERT has a strong association with depressive disorders and anxiety due to its role in serotonin regulation. Alterations in SERT expression or function can lead to disruptions in the serotonergic system potentially resulting in mood disorders. SSRIs like escitalopram oxalate are well-known treatments that target SERT to alleviate symptoms. Moreover mutations and polymorphisms in the SERT gene have been linked to various psychiatric conditions illustrating a genetic connection to the protein’s function.

Product protocols

For this product, it's our understanding that no specific protocols are required. You can visit:

Target data

Serotonin transporter that cotransports serotonin with one Na(+) ion in exchange for one K(+) ion and possibly one proton in an overall electroneutral transport cycle. Transports serotonin across the plasma membrane from the extracellular compartment to the cytosol thus limiting serotonin intercellular signaling (By similarity) (PubMed : 9037532, PubMed : 9547354). Essential for serotonin homeostasis in the central nervous system. In the developing somatosensory cortex, acts in glutamatergic neurons to control serotonin uptake and its trophic functions accounting for proper spatial organization of cortical neurons and elaboration of sensory circuits. In the mature cortex, acts primarily in brainstem raphe neurons to mediate serotonin uptake from the synaptic cleft back into the pre-synaptic terminal thus terminating serotonin signaling at the synapse (PubMed : 25600870, PubMed : 9547354). Modulates mucosal serotonin levels in the gastrointestinal tract through uptake and clearance of serotonin in enterocytes. Required for enteric neurogenesis and gastrointestinal reflexes (PubMed : 27111230). Regulates blood serotonin levels by ensuring rapid high affinity uptake of serotonin from plasma to platelets, where it is further stored in dense granules via vesicular monoamine transporters and then released upon stimulation (PubMed : 18317590). Mechanistically, the transport cycle starts with an outward-open conformation having Na1(+) and Cl(-) sites occupied. The binding of a second extracellular Na2(+) ion and serotonin substrate leads to structural changes to outward-occluded to inward-occluded to inward-open, where the Na2(+) ion and serotonin are released into the cytosol. Binding of intracellular K(+) ion induces conformational transitions to inward-occluded to outward-open and completes the cycle by releasing K(+) possibly together with a proton bound to Asp-98 into the extracellular compartment. Na1(+) and Cl(-) ions remain bound throughout the transport cycle (By similarity) (PubMed : 9037532, PubMed : 9547354). Additionally, displays serotonin-induced channel-like conductance for monovalent cations, mainly Na(+) ions. The channel activity is uncoupled from the transport cycle and may contribute to the membrane resting potential or excitability (By similarity).
See full target information Slc6a4

Product promise

We are committed to supporting your work with high-quality reagents, and we're here for you every step of the way. In the unlikely event that one of our products does not perform as expected, you're protected by our Product Promise.
For full details, please see our Terms & Conditions

Please note: All products are 'FOR RESEARCH USE ONLY. NOT FOR USE IN DIAGNOSTIC OR THERAPEUTIC PROCEDURES'.

For licensing inquiries, please contact partnerships@abcam.com