JavaScript is disabled in your browser. Please enable JavaScript to view this website.
AB272396

Anti-Serpin A5 antibody [EPR23337-112] - BSA and Azide free

Be the first to review this product! Submit a review

|

(0 Publication)

Rabbit Recombinant Monoclonal Serpin A5 antibody. Carrier free. Suitable for WB, IHC-P and reacts with Mouse, Rat, Human samples.

View Alternative Names

PCI, PLANH3, PROCI, SERPINA5, Plasma serine protease inhibitor, Acrosomal serine protease inhibitor, Plasminogen activator inhibitor 3, Protein C inhibitor, Serpin A5, PAI-3, PAI3

2 Images
Immunohistochemistry (Formalin/PFA-fixed paraffin-embedded sections) - Anti-Serpin A5 antibody [EPR23337-112] - BSA and Azide free (AB272396)
  • IHC-P

Unknown

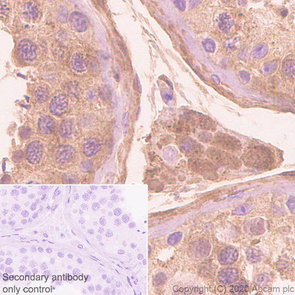
Immunohistochemistry (Formalin/PFA-fixed paraffin-embedded sections) - Anti-Serpin A5 antibody [EPR23337-112] - BSA and Azide free (AB272396)

Immunohistochemical analysis of paraffin-embedded Human testis tissue labeling Serpin A5 with ab270451 at 1/2000 dilution followed by a ready to use Rabbit specific IHC polymer detection kit HRP/DAB (ab209101). Positive staining on human testis (PMID : 1372913). The section was incubated with ab270451 for 30 mins at room temperature.The immunostaining was performed on a Leica Biosystems BOND® RX instrument Counterstained with Hematoxylin.

Secondary antibody only control : Secondary antibody is a ready to use Rabbit specific IHC polymer detection kit HRP/DAB (ab209101).

Heat mediated antigen retrieval with Tris-EDTA buffer (pH 9.0, epitope retrieval solution2) for 20 mins.

This data was developed using the same antibody clone in a different buffer formulation containing PBS, BSA, glycerol, and sodium azide (ab270451).

Immunohistochemistry (Formalin/PFA-fixed paraffin-embedded sections) - Anti-Serpin A5 antibody [EPR23337-112] - BSA and Azide free (AB272396)
  • IHC-P

Unknown

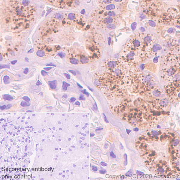
Immunohistochemistry (Formalin/PFA-fixed paraffin-embedded sections) - Anti-Serpin A5 antibody [EPR23337-112] - BSA and Azide free (AB272396)

Immunohistochemical analysis of paraffin-embedded Human kidney tissue labeling Serpin A5 with ab270451 at 1/2000 dilution followed by a ready to use Rabbit specific IHC polymer detection kit HRP/DAB (ab209101). Cytoplasmic staining on proximal tubules of human kidney (PMID : 14696115). The section was incubated with ab270451 for 30 mins at room temperature.The immunostaining was performed on a Leica Biosystems BOND® RX instrument Counterstained with Hematoxylin.

Secondary antibody only control : Secondary antibody is a ready to use Rabbit specific IHC polymer detection kit HRP/DAB (ab209101).

Heat mediated antigen retrieval with Tris-EDTA buffer (pH 9.0, epitope retrieval solution2) for 20 mins.

This data was developed using the same antibody clone in a different buffer formulation containing PBS, BSA, glycerol, and sodium azide (ab270451).

Key facts

Host species

Rabbit

Clonality

Monoclonal

Clone number

EPR23337-112

Isotype

IgG

Carrier free

Yes

Reacts with

Mouse, Rat, Human

Applications

WB, IHC-P

applications

Immunogen

The exact immunogen used to generate this antibody is proprietary information.

Reactivity data

{ "title": "Reactivity Data", "filters": { "stats": ["", "Species", "Dilution Info", "Notes"], "tabs": { "all-applications": {"fullname" : "All Applications", "shortname": "All Applications"}, "IP" : {"fullname" : "Immunoprecipitation", "shortname":"IP"}, "FlowCyt" : {"fullname" : "Flow Cytometry", "shortname":"Flow Cyt"}, "WB" : {"fullname" : "Western blot", "shortname":"WB"}, "ICCIF" : {"fullname" : "Immunocytochemistry/ Immunofluorescence", "shortname":"ICC/IF"}, "IHCFr" : {"fullname" : "Immunohistochemistry (Frozen sections)", "shortname":"IHC-Fr"}, "IHCP" : {"fullname" : "Immunohistochemistry (Formalin/PFA-fixed paraffin-embedded sections)", "shortname":"IHC-P"} }, "product-promise": { "all": "all", "testedAndGuaranteed": "tested", "guaranteed": "expected", "predicted": "predicted", "notRecommended": "not-recommended" } }, "values": { "Human": { "IP-species-checked": "notRecommended", "IP-species-dilution-info": "", "IP-species-notes": "<p></p>", "FlowCyt-species-checked": "notRecommended", "FlowCyt-species-dilution-info": "", "FlowCyt-species-notes": "<p></p>", "WB-species-checked": "testedAndGuaranteed", "WB-species-dilution-info": "", "WB-species-notes": "<p></p>", "ICCIF-species-checked": "notRecommended", "ICCIF-species-dilution-info": "", "ICCIF-species-notes": "<p></p>", "IHCFr-species-checked": "notRecommended", "IHCFr-species-dilution-info": "", "IHCFr-species-notes": "<p></p>", "IHCP-species-checked": "testedAndGuaranteed", "IHCP-species-dilution-info": "", "IHCP-species-notes": "<p></p>" }, "Mouse": { "IP-species-checked": "notRecommended", "IP-species-dilution-info": "", "IP-species-notes": "<p></p>", "FlowCyt-species-checked": "notRecommended", "FlowCyt-species-dilution-info": "", "FlowCyt-species-notes": "<p></p>", "WB-species-checked": "testedAndGuaranteed", "WB-species-dilution-info": "", "WB-species-notes": "<p></p>", "ICCIF-species-checked": "notRecommended", "ICCIF-species-dilution-info": "", "ICCIF-species-notes": "<p></p>", "IHCFr-species-checked": "notRecommended", "IHCFr-species-dilution-info": "", "IHCFr-species-notes": "<p></p>", "IHCP-species-checked": "notRecommended", "IHCP-species-dilution-info": "", "IHCP-species-notes": "<p></p>" }, "Rat": { "IP-species-checked": "notRecommended", "IP-species-dilution-info": "", "IP-species-notes": "<p></p>", "FlowCyt-species-checked": "notRecommended", "FlowCyt-species-dilution-info": "", "FlowCyt-species-notes": "<p></p>", "WB-species-checked": "testedAndGuaranteed", "WB-species-dilution-info": "", "WB-species-notes": "<p></p>", "ICCIF-species-checked": "notRecommended", "ICCIF-species-dilution-info": "", "ICCIF-species-notes": "<p></p>", "IHCFr-species-checked": "notRecommended", "IHCFr-species-dilution-info": "", "IHCFr-species-notes": "<p></p>", "IHCP-species-checked": "notRecommended", "IHCP-species-dilution-info": "", "IHCP-species-notes": "<p></p>" } } }

Product details

This antibody (EPR23337-112), is a different clone to ab270450 (EPR23337-69).

ab272396 is the carrier-free version of ab270451.

Patented technology
Our RabMAb® technology is a patented hybridoma-based technology for making rabbit monoclonal antibodies. For details on our patents, please refer to RabMAb® patents.

What are the advantages of a recombinant monoclonal antibody?
This product is a recombinant monoclonal antibody, which offers several advantages including:

  • - High batch-to-batch consistency and reproducibility
  • - Improved sensitivity and specificity
  • - Long-term security of supply
  • - Animal-free batch production

For more information, read more on recombinant antibodies.

Conjugation ready
Our carrier-free antibodies are typically supplied in a PBS-only formulation, purified and free of BSA, sodium azide and glycerol. This conjugation-ready format is designed for use with fluorochromes, metal isotopes, oligonucleotides, and enzymes, which makes them ideal for antibody labelling, functional and cell-based assays, flow-based assays (e.g. mass cytometry) and Multiplex Imaging applications.

Use our conjugation kits for antibody conjugates that are ready-to-use in as little as 20 minutes with 1 minute hands-on-time and 100% antibody recovery: available for fluorescent dyes, HRP, biotin and gold.

Compatibility
This product is compatible with the Maxpar® Antibody Labeling Kit from Fluidigm, without the need for antibody preparation. Maxpar® is a trademark of Fluidigm Canada Inc.

Properties and storage information

Form
Liquid
Purification technique
Affinity purification Protein A
Storage buffer
pH: 7.2 - 7.4 Constituents: PBS
Shipped at conditions
Blue Ice
Appropriate short-term storage conditions
+4°C
Appropriate long-term storage conditions
+4°C
Storage information
Do Not Freeze

Supplementary information

This supplementary information is collated from multiple sources and compiled automatically.

Serpin A5 also known as Protein C Inhibitor (PCI) or Mesotrypsin inhibitor is a member of the serine protease inhibitor family with a mass of approximately 47 kDa. It plays a mechanical role as an inhibitor of several proteases such as trypsin tissue-type plasminogen activator and urokinase-type plasminogen activator. This protein is highly expressed in tissues including the liver kidneys and seminal plasma suggesting its involvement in reproductive and hemostatic processes.
Biological function summary

Serpin A5 regulates critical physiological processes through its inhibitory function. It interacts with and inhibits target proteases controlling pathways involved in coagulation and fibrinolysis. Serpin A5 does not form part of larger protein complexes but exerts its function through direct interactions. Its modulatory action impacts processes such as cell migration and tumor invasion highlighting its role in broader cellular environments.

Pathways

Serpin A5 is an important regulator in the coagulation cascade and fibrinolytic pathways. It acts to modulate the balance between coagulation and fibrinolysis critical for maintaining hemostasis. This protein is related to other serpins such as Antithrombin III and Plasminogen activator inhibitor-1 through its regulatory actions in these pathways. The inhibition of proteases by Serpin A5 ensures proper activation and termination of these biological processes which are essential for vascular integrity.

Serpin A5 is connected to conditions like thrombophilia and prostate cancer. Dysregulation in its expression or function leads to altered coagulation increasing the risk of thrombotic events. In prostate cancer its role is linked through pathways involving the matrix metalloproteinases where Serpin A5 can influence tumor progression and metastasis. Understanding its interactions with proteins in these diseases provides insights into potential therapeutic strategies.

Product protocols

For this product, it's our understanding that no specific protocols are required. You can visit:

Target data

Heparin-dependent serine protease inhibitor acting in body fluids and secretions. Inactivates serine proteases by binding irreversibly to their serine activation site. Involved in the regulation of intravascular and extravascular proteolytic activities. Plays hemostatic roles in the blood plasma. Acts as a procoagulant and pro-inflammatory factor by inhibiting the anticoagulant activated protein C factor as well as the generation of activated protein C factor by the thrombin/thrombomodulin complex. Acts as an anticoagulant factor by inhibiting blood coagulation factors like prothrombin, factor XI, factor Xa, plasma kallikrein and fibrinolytic enzymes such as tissue- and urinary-type plasminogen activators. In seminal plasma, inactivates several serine proteases implicated in the reproductive system. Inhibits the serpin acrosin; indirectly protects component of the male genital tract from being degraded by excessive released acrosin. Inhibits tissue- and urinary-type plasminogen activator, prostate-specific antigen and kallikrein activities; has a control on the sperm motility and fertilization. Inhibits the activated protein C-catalyzed degradation of SEMG1 and SEMG2; regulates the degradation of semenogelin during the process of transfer of spermatozoa from the male reproductive tract into the female tract. In urine, inhibits urinary-type plasminogen activator and kallikrein activities. Inactivates membrane-anchored serine proteases activities such as MPRSS7 and TMPRSS11E. Inhibits urinary-type plasminogen activator-dependent tumor cell invasion and metastasis. May also play a non-inhibitory role in seminal plasma and urine as a hydrophobic hormone carrier by its binding to retinoic acid.
See full target information SERPINA5

Product promise

We are committed to supporting your work with high-quality reagents, and we're here for you every step of the way. In the unlikely event that one of our products does not perform as expected, you're protected by our Product Promise.
For full details, please see our Terms & Conditions

Please note: All products are 'FOR RESEARCH USE ONLY. NOT FOR USE IN DIAGNOSTIC OR THERAPEUTIC PROCEDURES'.

For licensing inquiries, please contact partnerships@abcam.com