JavaScript is disabled in your browser. Please enable JavaScript to view this website.
AB47742

Anti-SerpinB2/PAI-2 antibody

5

(1 Review)

|

(20 Publications)

Rabbit Polyclonal SerpinB2/PAI-2 antibody. Suitable for IHC-P, WB and reacts with Human samples. Cited in 20 publications. Immunogen corresponding to Synthetic Peptide within Human SERPINB2.

View Alternative Names

PAI2, PLANH2, SERPINB2, Plasminogen activator inhibitor 2, PAI-2, Monocyte Arg-serpin, Placental plasminogen activator inhibitor, Serpin B2, Urokinase inhibitor

2 Images
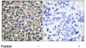
Immunohistochemistry (Formalin/PFA-fixed paraffin-embedded sections) - Anti-SerpinB2/PAI-2 antibody (AB47742)
  • IHC-P

Unknown

Immunohistochemistry (Formalin/PFA-fixed paraffin-embedded sections) - Anti-SerpinB2/PAI-2 antibody (AB47742)

ab47742 staining human normal temporal lobe. Staining is localized to the cytoplasm.
Left panel : with primary antibody at 1 ug/ml. Right panel : isotype control.
Sections were stained using an automated system DAKO Autostainer Plus , at room temperature. Sections were rehydrated and antigen retrieved with the Dako 3-in-1 AR buffer EDTA pH 9.0 in a DAKO PT Link. Slides were peroxidase blocked in 3% H2O2 in methanol for 10 minutes. They were then blocked with Dako Protein block for 10 minutes (containing casein 0.25% in PBS), then incubated with primary antibody for 20 minutes, and detected with Dako Envision Flex amplification kit for 30 minutes. Colorimetric detection was completed with diaminobenzidine for 5 minutes. Slides were counterstained with Haematoxylin and coverslipped under DePeX. Please note that for manual staining we recommend to optimize the primary antibody concentration and incubation time (overnight incubation), and amplification may be required.

Western blot - Anti-SerpinB2/PAI-2 antibody (AB47742)
  • WB

Unknown

Western blot - Anti-SerpinB2/PAI-2 antibody (AB47742)

SerpinB2/PAI-2 contains a number of potential glycosylation sites (SwissProt) which may explain its migration at a higher molecular weight than predicted.

All lanes:

Western blot - Anti-SerpinB2/PAI-2 antibody (ab47742) at 1 µg/mL

All lanes:

Human placenta tissue lysate - total protein (<a href='/en-us/products/unavailable/human-placenta-tissue-lysate-total-protein-ab29745'>ab29745</a>) at 10 µg

Secondary

All lanes:

Goat polyclonal to Rabbit IgG - H&L - Pre-Adsorbed (HRP) at 1/3000 dilution

Predicted band size: 47 kDa

Observed band size: 49 kDa,72 kDa

true

Exposure time: 1min

Key facts

Host species

Rabbit

Clonality

Polyclonal

Isotype

IgG

Carrier free

No

Reacts with

Human

Applications

WB, IHC-P

applications

Immunogen

Synthetic Peptide within Human SERPINB2. The exact immunogen used to generate this antibody is proprietary information.

P05120

Specificity

This antibody is specific for SerpinB2/PAI-2 (but not the shorter form).

Reactivity data

{ "title": "Reactivity Data", "filters": { "stats": ["", "Species", "Dilution Info", "Notes"], "tabs": { "all-applications": {"fullname" : "All Applications", "shortname": "All Applications"}, "IHCP" : {"fullname" : "Immunohistochemistry (Formalin/PFA-fixed paraffin-embedded sections)", "shortname":"IHC-P"}, "WB" : {"fullname" : "Western blot", "shortname":"WB"} }, "product-promise": { "all": "all", "testedAndGuaranteed": "tested", "guaranteed": "expected", "predicted": "predicted", "notRecommended": "not-recommended" } }, "values": { "Human": { "IHCP-species-checked": "testedAndGuaranteed", "IHCP-species-dilution-info": "1 µg/mL", "IHCP-species-notes": "<p></p>", "WB-species-checked": "testedAndGuaranteed", "WB-species-dilution-info": "1/1000", "WB-species-notes": "<p></p>" } } }

Properties and storage information

Form
Liquid
Purification technique
Affinity purification Immunogen
Storage buffer
Preservative: 0.05% Sodium azide Constituents: 50% Glycerol (glycerin, glycerine)
Shipped at conditions
Blue Ice
Appropriate short-term storage conditions
+4°C
Appropriate long-term storage conditions
-20°C
Aliquoting information
Upon delivery aliquot
Storage information
Avoid freeze / thaw cycle

Supplementary information

This supplementary information is collated from multiple sources and compiled automatically.

SerpinB2 also known as PAI-2 or plasminogen activator inhibitor type 2 is a serine protease inhibitor with a molecular mass of around 60 kDa. This protein localizes mostly in the cytoplasm and occasionally gets secreted outside the cell. SerpinB2 expresses in a variety of cells including monocytes macrophages and certain epithelial cells. Its primary function involves inhibiting the urokinase plasminogen activator important for processes like fibrinolysis and tissue remodeling.
Biological function summary

SerpinB2 acts as a protector against excessive proteolysis by regulating extracellular matrix hydrolysis. While not permanently part of a complex SerpinB2 associates transiently with target proteases to modulate their activities. This regulation plays a role in cell migration and inflammation control impacting wound healing and immune responses.

Pathways

SerpinB2 integrates into the plasminogen activation system which is important for fibrinolysis and maintaining hemostatic balance. It works closely with other serpins and proteases such as PAI-1 and urokinase-type plasminogen activator (uPA) to control the conversion of plasminogen to plasmin. This balance impacts tissue repair and may influence invasive cell behavior through the regulation of pericellular proteolysis.

SerpinB2's alteration has been linked to the development of atherosclerosis and cancer. Research shows that SerpinB2 levels can influence the inflammatory environment possibly driving atherogenic plaque development. Similarly changes in SerpinB2 expression and activity relate to cancer metastasis potentially by affecting the balance of matrix degradation and rebuilding alongside proteins like PAI-1 and uPA to modulate tumor invasiveness and growth.

Product protocols

For this product, it's our understanding that no specific protocols are required. You can visit:

Target data

Inhibits urokinase-type plasminogen activator. The monocyte derived PAI-2 is distinct from the endothelial cell-derived PAI-1.
See full target information SERPINB2

Publications (20)

Recent publications for all applications. Explore the full list and refine your search

Science advances 11:eadq2881 PubMed40009679

2025

Local soft niches in mechanically heterogeneous primary tumors promote brain metastasis via mechanotransduction-mediated HDAC3 activity.

Applications

Unspecified application

Species

Unspecified reactive species

Kai Tang,Yufan Zheng,Guanshuo Hu,Ying Xin,Keming Li,Cunyu Zhang,Xi Chen,Bai Zhang,Xueyi Li,Bing Hu,Qiong Jia,Yong-Ping Zheng,Mo Yang,Youhua Tan

International journal of biological sciences 21:17-39 PubMed39744426

2025

Advanced Lung-on-a-Chip Technology: Mimicking the Complex Human Lung Microenvironment.

Applications

Unspecified application

Species

Unspecified reactive species

Eun-Kyung Min,Choon-Mi Lee,Soo-Rim Kim,Jin Woo Lee,Chan Hum Park,Byung-Chul Oh,YunJae Jung,Hwa-Yong Lee

International journal of biological sciences 20:5888-5909 PubMed39664582

2024

Development of Advanced Oral-on-a-Chip: Replicating the Intricate Human Oral Microenvironment.

Applications

Unspecified application

Species

Unspecified reactive species

Soo-Rim Kim,Eun-Kyung Min,Choon-Mi Lee,Jin Woo Lee,Chan Hum Park,YunJae Jung,Byung-Chul Oh,Hwa-Yong Lee

Experimental & molecular medicine 56:1591-1605 PubMed38945952

2024

Development of a novel testis-on-a-chip that demonstrates reciprocal crosstalk between Sertoli and Leydig cells in testicular tissue.

Applications

Unspecified application

Species

Unspecified reactive species

Se-Ra Park,Myung Geun Kook,Soo-Rim Kim,Choon-Mi Lee,Jin Woo Lee,Jung-Kyu Park,Chan Hum Park,Byung-Chul Oh,YunJae Jung,In-Sun Hong

Frontiers in molecular biosciences 10:1250423 PubMed38283944

2024

Proteomic analysis of holocarboxylase synthetase deficient-MDA-MB-231 breast cancer cells revealed the biochemical changes associated with cell death, impaired growth signaling, and metabolism.

Applications

Unspecified application

Species

Unspecified reactive species

Witchuda Sukjoi,Clifford Young,Mitchell Acland,Siraprapa Siritutsoontorn,Sittiruk Roytrakul,Manuela Klingler-Hoffmann,Peter Hoffmann,Sarawut Jitrapakdee

Cell communication and signaling : CCS 21:323 PubMed37950232

2023

Unveiling the potential effects of acetylsalicylic acid: insights into regeneration in endometrial stem cells.

Applications

Unspecified application

Species

Unspecified reactive species

Se-Ra Park,Soo-Rim Kim,Eun-Kyung Min,Byung-Chul Oh,YunJae Jung,Yong Ho Kim,Hwa-Yong Lee

Molecular oncology 18:91-112 PubMed37753740

2023

ALDH1A3 promotes invasion and metastasis in triple-negative breast cancer by regulating the plasminogen activation pathway.

Applications

Unspecified application

Species

Unspecified reactive species

Alamelu G Bharadwaj,Meghan E McLean,Margaret L Dahn,Hannah F Cahill,Marie-Claire D Wasson,Raj Pranap Arun,Olivia L Walker,Brianne M Cruickshank,Wasundara Fernando,Jaganathan Venkatesh,Penelope J Barnes,Gillian Bethune,Gregory Knapp,Lucy K Helyer,Carman A Giacomantonio,David M Waisman,Paola Marcato

International journal of molecular sciences 24: PubMed37108248

2023

Adhesion to the Brain Endothelium Selects Breast Cancer Cells with Brain Metastasis Potential.

Applications

Unspecified application

Species

Unspecified reactive species

Bai Zhang,Xueyi Li,Kai Tang,Ying Xin,Guanshuo Hu,Yufan Zheng,Keming Li,Cunyu Zhang,Youhua Tan

Stem cell research & therapy 13:404 PubMed35932085

2022

Effects of smoking on the tissue regeneration-associated functions of human endometrial stem cells via a novel target gene SERPINB2.

Applications

Unspecified application

Species

Unspecified reactive species

Se-Ra Park,Seong-Kwan Kim,Soo-Rim Kim,Wook-Joon Yu,Seung-Jin Lee,Hwa-Yong Lee

Experimental & molecular medicine 53:1850-1865 PubMed34857902

2021

The impact of fine particulate matter (PM) on various beneficial functions of human endometrial stem cells through its key regulator SERPINB2.

Applications

Unspecified application

Species

Unspecified reactive species

Se-Ra Park,Joong Won Lee,Seong-Kwan Kim,Wook-Joon Yu,Seung-Jin Lee,Doojin Kim,Kun-Woo Kim,Ji-Won Jung,In-Sun Hong
View all publications

Product promise

We are committed to supporting your work with high-quality reagents, and we're here for you every step of the way. In the unlikely event that one of our products does not perform as expected, you're protected by our Product Promise.
For full details, please see our Terms & Conditions

Please note: All products are 'FOR RESEARCH USE ONLY. NOT FOR USE IN DIAGNOSTIC OR THERAPEUTIC PROCEDURES'.

For licensing inquiries, please contact partnerships@abcam.com