JavaScript is disabled in your browser. Please enable JavaScript to view this website.
AB255272

Anti-SerpinB3/SCCA + SerpinB4/SCCA-2 antibody [EPR22455-57] - BSA and Azide free

Be the first to review this product! Submit a review

|

(0 Publication)

Rabbit Recombinant Monoclonal SerpinB3/SCCA antibody. Carrier free. Suitable for WB, IHC-P and reacts with Human, Recombinant fragment - Human samples.

View Alternative Names

SCCA, SCCA1, SERPINB3, Serpin B3, Protein T4-A, Squamous cell carcinoma antigen 1, SCCA-1

2 Images
Immunohistochemistry (Formalin/PFA-fixed paraffin-embedded sections) - Anti-SerpinB3/SCCA + SerpinB4/SCCA-2 antibody [EPR22455-57] - BSA and Azide free (AB255272)
  • IHC-P

Unknown

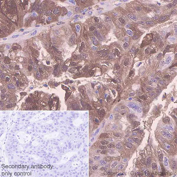
Immunohistochemistry (Formalin/PFA-fixed paraffin-embedded sections) - Anti-SerpinB3/SCCA + SerpinB4/SCCA-2 antibody [EPR22455-57] - BSA and Azide free (AB255272)

Immunohistochemical analysis of paraffin-embedded human ovarian cancer labeling SerpinB3/SCCA with ab254255 at 1/500 dilution, followed by ready to use Rabbit specific IHC polymer detection kit HRP/DAB (ab209101). Positive staining on ovarian cancer (PMID : 23185467) is observed. Counterstained with hematoxylin.

Secondary antibody only control : Used PBS instead of primary antibody, secondary antibody is ready to use Rabbit specific IHC polymer detection kit HRP/DAB (ab209101).

Heat mediated antigen retrieval with Tris-EDTA buffer (pH 9.0, epitope retrieval solution 2) for 20 mins.

The section was incubated with ab254255 for 30 mins at RT.

The immunostaining was performed on a Leica Biosystems BOND® RX instrument.

This data was developed using the same antibody clone in a different buffer formulation containing PBS, BSA, glycerol, and sodium azide (ab254255).

Immunohistochemistry (Formalin/PFA-fixed paraffin-embedded sections) - Anti-SerpinB3/SCCA + SerpinB4/SCCA-2 antibody [EPR22455-57] - BSA and Azide free (AB255272)
  • IHC-P

Unknown

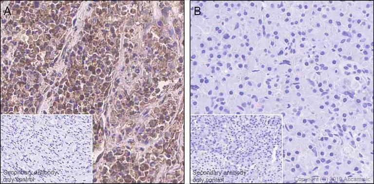
Immunohistochemistry (Formalin/PFA-fixed paraffin-embedded sections) - Anti-SerpinB3/SCCA + SerpinB4/SCCA-2 antibody [EPR22455-57] - BSA and Azide free (AB255272)

Immunohistochemical analysis of paraffin-embedded human pancreatic carcinoma and the paired adjacent pancreas labeling SerpinB3/SCCA with ab254255 at 1/500 dilution, followed by ready to use Rabbit specific IHC polymer detection kit HRP/DAB (ab209101). Positive staining on human pancreatic carcinoma (panel A) and no staining on the paired adjacent pancreas (panel B, PMID : 24759783) is observed. Counterstained with hematoxylin.

Secondary antibody only control : Used PBS instead of primary antibody, secondary antibody is ready to use Rabbit specific IHC polymer detection kit HRP/DAB (ab209101).

Heat mediated antigen retrieval with Tris-EDTA buffer (pH 9.0, epitope retrieval solution 2) for 20 mins.

The section was incubated with ab254255 for 30 mins at RT. The immunostaining was performed on a Leica Biosystems BOND® RX instrument.

This data was developed using the same antibody clone in a different buffer formulation containing PBS, BSA, glycerol, and sodium azide (ab254255).

  • Unconjugated

    Anti-SerpinB3/SCCA + SerpinB4/SCCA-2 antibody [EPR22455-57]

Key facts

Host species

Rabbit

Clonality

Monoclonal

Clone number

EPR22455-57

Isotype

IgG

Carrier free

Yes

Reacts with

Human

Applications

IHC-P, WB

applications

Immunogen

The exact immunogen used to generate this antibody is proprietary information.

Reactivity data

{ "title": "Reactivity Data", "filters": { "stats": ["", "Species", "Dilution Info", "Notes"], "tabs": { "all-applications": {"fullname" : "All Applications", "shortname": "All Applications"}, "WB" : {"fullname" : "Western blot", "shortname":"WB"}, "IHCP" : {"fullname" : "Immunohistochemistry (Formalin/PFA-fixed paraffin-embedded sections)", "shortname":"IHC-P"}, "ICCIF" : {"fullname" : "Immunocytochemistry/ Immunofluorescence", "shortname":"ICC/IF"}, "FlowCyt" : {"fullname" : "Flow Cytometry", "shortname":"Flow Cyt"}, "IP" : {"fullname" : "Immunoprecipitation", "shortname":"IP"} }, "product-promise": { "all": "all", "testedAndGuaranteed": "tested", "guaranteed": "expected", "predicted": "predicted", "notRecommended": "not-recommended" } }, "values": { "Human": { "WB-species-checked": "testedAndGuaranteed", "WB-species-dilution-info": "", "WB-species-notes": "<p></p>", "IHCP-species-checked": "testedAndGuaranteed", "IHCP-species-dilution-info": "1/500", "IHCP-species-notes": "<p></p>", "ICCIF-species-checked": "notRecommended", "ICCIF-species-dilution-info": "", "ICCIF-species-notes": "<p></p>", "FlowCyt-species-checked": "notRecommended", "FlowCyt-species-dilution-info": "", "FlowCyt-species-notes": "<p></p>", "IP-species-checked": "notRecommended", "IP-species-dilution-info": "", "IP-species-notes": "<p></p>" }, "Recombinant fragment - Human": { "WB-species-checked": "testedAndGuaranteed", "WB-species-dilution-info": "", "WB-species-notes": "<p></p>", "IHCP-species-checked": "notRecommended", "IHCP-species-dilution-info": "", "IHCP-species-notes": "", "ICCIF-species-checked": "notRecommended", "ICCIF-species-dilution-info": "", "ICCIF-species-notes": "", "FlowCyt-species-checked": "notRecommended", "FlowCyt-species-dilution-info": "", "FlowCyt-species-notes": "", "IP-species-checked": "notRecommended", "IP-species-dilution-info": "", "IP-species-notes": "" } } }

Product details

ab255272 is the carrier-free version of ab254255.

Patented technology
Our RabMAb® technology is a patented hybridoma-based technology for making rabbit monoclonal antibodies. For details on our patents, please refer to RabMAb® patents.

What are the advantages of a recombinant monoclonal antibody?
This product is a recombinant monoclonal antibody, which offers several advantages including:

  • - High batch-to-batch consistency and reproducibility
  • - Improved sensitivity and specificity
  • - Long-term security of supply
  • - Animal-free batch production

For more information, read more on recombinant antibodies.

Conjugation ready
Our carrier-free antibodies are typically supplied in a PBS-only formulation, purified and free of BSA, sodium azide and glycerol. This conjugation-ready format is designed for use with fluorochromes, metal isotopes, oligonucleotides, and enzymes, which makes them ideal for antibody labelling, functional and cell-based assays, flow-based assays (e.g. mass cytometry) and Multiplex Imaging applications.

Use our conjugation kits for antibody conjugates that are ready-to-use in as little as 20 minutes with 1 minute hands-on-time and 100% antibody recovery: available for fluorescent dyes, HRP, biotin and gold.

Compatibility
This product is compatible with the Maxpar® Antibody Labeling Kit from Fluidigm, without the need for antibody preparation. Maxpar® is a trademark of Fluidigm Canada Inc.

Properties and storage information

Form
Liquid
Purification technique
Affinity purification Protein A
Storage buffer
pH: 7.2 - 7.4 Constituents: PBS
Shipped at conditions
Blue Ice
Appropriate short-term storage conditions
+4°C
Appropriate long-term storage conditions
+4°C
Storage information
Do Not Freeze

Supplementary information

This supplementary information is collated from multiple sources and compiled automatically.

SerpinB3 also known as Squamous Cell Carcinoma Antigen-1 (SCCA-1) and SerpinB4 or SCCA-2 belong to the serpin family of proteins. These proteins operate as intracellular protease inhibitors. They play a role in regulating the proteolytic activities within cells. SerpinB3 has a molecular mass of approximately 45 kDa while SerpinB4 is slightly larger around 49 kDa. You will find these proteins primarily expressed in normal squamous epithelium and tissues such as the skin lung and liver.
Biological function summary

Serpins act as inhibitors of serine proteases preventing unwanted proteolysis that could lead to cellular damage. They interact with various proteases to control processes like inflammation immune response and apoptosis. These proteins do not typically form part of a larger multi-protein complex but exert their effects individually within the cell. Their regulation of proteases helps maintain cellular function and structural integrity.

Pathways

Serpins interact within inflammation and apoptosis pathways. In the inflammatory pathway their inhibitory action on proteases helps modulate the inflammatory response. In apoptosis SerpinB3 can regulate proteases involved in cell death helping control cellular turnover. They relate to other proteins such as cathepsins and caspases through these pathways playing a part in keeping a balance between cell survival and death.

SerpinB3 and SerpinB4 closely associate with various cancers especially squamous cell carcinomas where their expression often increases. This elevated expression can help tumor cells evade apoptosis. Additionally they relate to chronic liver diseases such as liver fibrosis where they might contribute to disease progression through their ability to inhibit apoptosis. These proteins are connected to other markers of these conditions like alpha-fetoprotein in liver disease and can serve as potential biomarkers or therapeutic targets.

Product protocols

For this product, it's our understanding that no specific protocols are required. You can visit:

Target data

May act as a papain-like cysteine protease inhibitor to modulate the host immune response against tumor cells. Also functions as an inhibitor of UV-induced apoptosis via suppression of the activity of c-Jun NH(2)-terminal kinase (JNK1).
See full target information SERPINB3

Additional targets

SERPINB4

Product promise

We are committed to supporting your work with high-quality reagents, and we're here for you every step of the way. In the unlikely event that one of our products does not perform as expected, you're protected by our Product Promise.
For full details, please see our Terms & Conditions

Please note: All products are 'FOR RESEARCH USE ONLY. NOT FOR USE IN DIAGNOSTIC OR THERAPEUTIC PROCEDURES'.

For licensing inquiries, please contact partnerships@abcam.com