JavaScript is disabled in your browser. Please enable JavaScript to view this website.
AB224456

Anti-SerpinB7 antibody

Be the first to review this product! Submit a review

|

(2 Publications)

Rabbit Polyclonal SerpinB7 antibody. Suitable for IHC-P and reacts with Human samples. Cited in 2 publications. Immunogen corresponding to Recombinant Fragment Protein within Human Serpin B7 aa 200-350.

View Alternative Names

Serpin B7, Megsin, TP55, SERPINB7

1 Images
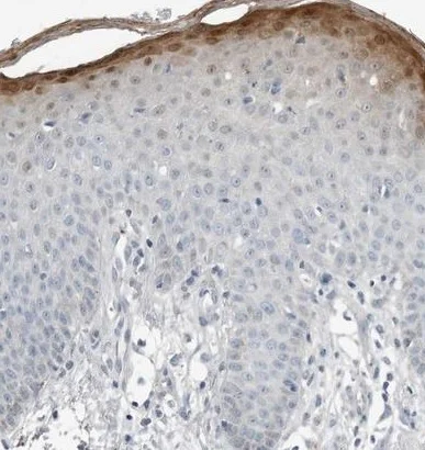
Immunohistochemistry (Formalin/PFA-fixed paraffin-embedded sections) - Anti-SerpinB7 antibody (AB224456)
  • IHC-P

Supplier Data

Immunohistochemistry (Formalin/PFA-fixed paraffin-embedded sections) - Anti-SerpinB7 antibody (AB224456)

Paraffin-embedded human skin tissue stained for SerpinB7 using ab224456 at 1/200 dilution in immunohistochemical analysis.

Key facts

Host species

Rabbit

Clonality

Polyclonal

Isotype

IgG

Carrier free

No

Reacts with

Human

Applications

IHC-P

applications

Immunogen

Recombinant Fragment Protein within Human Serpin B7 aa 200-350. The exact immunogen used to generate this antibody is proprietary information.

O75635

Reactivity data

{ "title": "Reactivity Data", "filters": { "stats": ["", "Species", "Dilution Info", "Notes"], "tabs": { "all-applications": {"fullname" : "All Applications", "shortname": "All Applications"}, "IHCP" : {"fullname" : "Immunohistochemistry (Formalin/PFA-fixed paraffin-embedded sections)", "shortname":"IHC-P"} }, "product-promise": { "all": "all", "testedAndGuaranteed": "tested", "guaranteed": "expected", "predicted": "predicted", "notRecommended": "not-recommended" } }, "values": { "Human": { "IHCP-species-checked": "testedAndGuaranteed", "IHCP-species-dilution-info": "1/200 - 1/500", "IHCP-species-notes": "<p></p> Perform heat-mediated antigen retrieval with citrate buffer pH 6 before commencing with IHC staining protocol." } } }

Properties and storage information

Form
Liquid
Purification technique
Affinity purification Immunogen
Storage buffer
pH: 7.2 Preservative: 0.02% Sodium azide Constituents: PBS, 40% Glycerol (glycerin, glycerine)
Shipped at conditions
Blue Ice
Appropriate short-term storage duration
1-2 weeks
Appropriate short-term storage conditions
+4°C
Appropriate long-term storage conditions
-20°C
Aliquoting information
Upon delivery aliquot
Storage information
Avoid freeze / thaw cycle

Supplementary information

This supplementary information is collated from multiple sources and compiled automatically.

SerpinB7 also known as Megsin is a serine protease inhibitor that plays roles in cellular processes by inhibiting proteases. This protein has a molecular mass of approximately 44 kDa. SerpinB7 is primarily found in kidney mesangial cells where it demonstrates a specific expression pattern. It is also expressed in other tissues such as skin and lung pointing to its diverse functions in different tissues.
Biological function summary

SerpinB7 regulates tissue remodeling and maintains cellular integrity by preventing excess proteolytic activity. It is involved in cellular responses to stress and tissue injury suggesting its participation in protective mechanisms. While SerpinB7 functions independently it interacts with other serine proteases to modulate their activity maintaining homeostasis in tissue environments.

Pathways

SerpinB7 integrates into processes like inflammation and tissue repair. It takes part in the extracellular matrix organization pathways regulating components such as Matrix Metalloproteinases (MMPs) which are essential in remodeling tissue during wound healing. SerpinB7 might also play a role in the TGF-beta signaling pathway known for regulating cell growth and differentiation where its interaction with proteins like plasminogen reinforces these pathways' regulatory balance.

Mutations and altered expressions of SerpinB7 associate with conditions like IgA nephropathy and nephrotic syndrome. These conditions affect kidney function and are linked to excess mesangial cell proliferation and matrix expansion possibly due to disrupted inhibition of proteases by SerpinB7. In some skin disorders SerpinB7 connects with proteins involved in wound healing highlighting the importance of controlled protease activity in disease pathology.

Product protocols

For this product, it's our understanding that no specific protocols are required. You can visit:

Target data

Might function as an inhibitor of Lys-specific proteases. Might influence the maturation of megakaryocytes via its action as a serpin.
See full target information Serpin B7

Publications (2)

Recent publications for all applications. Explore the full list and refine your search

Experimental dermatology 32:766-776 PubMed36772997

2023

SERPINB7 mutation causes Nagashima-type palmoplantar keratosis and its spatiotemporal expression in zebrafish.

Applications

Unspecified application

Species

Unspecified reactive species

Chen Lyu,Fan Zhang,Tingting Liu,Gongqi Yu,Kangkang Ge,Shengli Chen,Donglai Sheng,Yonghu Sun

Oxidative medicine and cellular longevity 2022:7041739 PubMed35633887

2022

The Prostate-Associated Gene 4 (PAGE4) Could Play a Role in the Development of Benign Prostatic Hyperplasia under Oxidative Stress.

Applications

Unspecified application

Species

Unspecified reactive species

Yan Li,Jianmin Liu,Daoquan Liu,Zhen Wang,Yongying Zhou,Shu Yang,Feng Guo,Liang Yang,Xinhua Zhang
View all publications

Product promise

We are committed to supporting your work with high-quality reagents, and we're here for you every step of the way. In the unlikely event that one of our products does not perform as expected, you're protected by our Product Promise.
For full details, please see our Terms & Conditions

Please note: All products are 'FOR RESEARCH USE ONLY. NOT FOR USE IN DIAGNOSTIC OR THERAPEUTIC PROCEDURES'.

For licensing inquiries, please contact partnerships@abcam.com