JavaScript is disabled in your browser. Please enable JavaScript to view this website.
AB229209

Anti-SERPING1 antibody

Be the first to review this product! Submit a review

|

(3 Publications)

Rabbit Polyclonal SERPING1 antibody. Suitable for WB, IHC-P and reacts with Mouse, Rat, Human samples. Cited in 3 publications. Immunogen corresponding to Recombinant Fragment Protein within Human SERPING1.

View Alternative Names

C1IN, C1NH, SERPING1, Plasma protease C1 inhibitor, C1 Inh, C1Inh, C1 esterase inhibitor, C1-inhibiting factor, Serpin G1

4 Images
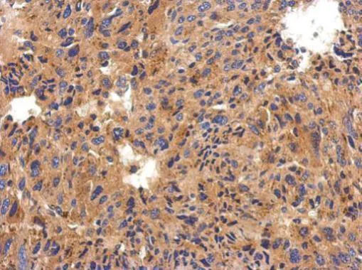
Immunohistochemistry (Formalin/PFA-fixed paraffin-embedded sections) - Anti-SERPING1 antibody (AB229209)
  • IHC-P

Supplier Data

Immunohistochemistry (Formalin/PFA-fixed paraffin-embedded sections) - Anti-SERPING1 antibody (AB229209)

Paraffin-embedded human hepatoma tissue stained for SERPING1 using ab229209 at 1/500 dilution in immunohistochemical analysis.

Western blot - Anti-SERPING1 antibody (AB229209)
  • WB

Supplier Data

Western blot - Anti-SERPING1 antibody (AB229209)

7.5% SDS-PAGE gel.

All lanes:

Western blot - Anti-SERPING1 antibody (ab229209) at 1/5000 dilution

All lanes:

Human plasma at 30 µg

Predicted band size: 55 kDa,69 kDa

Observed band size: 100 kDa,22 kDa

false

Western blot - Anti-SERPING1 antibody (AB229209)
  • WB

Supplier Data

Western blot - Anti-SERPING1 antibody (AB229209)

10% SDS-PAGE gel.

All lanes:

Western blot - Anti-SERPING1 antibody (ab229209) at 1/1000 dilution

All lanes:

Mouse plasma at 50 µg

Predicted band size: 55 kDa

false

Western blot - Anti-SERPING1 antibody (AB229209)
  • WB

Supplier Data

Western blot - Anti-SERPING1 antibody (AB229209)

10% SDS-PAGE gel.

All lanes:

Western blot - Anti-SERPING1 antibody (ab229209) at 1/1000 dilution

All lanes:

Rat plasma at 50 µg

Predicted band size: 55 kDa

false

Key facts

Host species

Rabbit

Clonality

Polyclonal

Isotype

IgG

Carrier free

No

Reacts with

Mouse, Rat, Human

Applications

IHC-P, WB

applications

Immunogen

Recombinant Fragment Protein within Human SERPING1. The exact immunogen used to generate this antibody is proprietary information.

P05155

Reactivity data

{ "title": "Reactivity Data", "filters": { "stats": ["", "Species", "Dilution Info", "Notes"], "tabs": { "all-applications": {"fullname" : "All Applications", "shortname": "All Applications"}, "WB" : {"fullname" : "Western blot", "shortname":"WB"}, "IHCP" : {"fullname" : "Immunohistochemistry (Formalin/PFA-fixed paraffin-embedded sections)", "shortname":"IHC-P"} }, "product-promise": { "all": "all", "testedAndGuaranteed": "tested", "guaranteed": "expected", "predicted": "predicted", "notRecommended": "not-recommended" } }, "values": { "Human": { "WB-species-checked": "testedAndGuaranteed", "WB-species-dilution-info": "1/500 - 1/10000", "WB-species-notes": "<p></p>", "IHCP-species-checked": "testedAndGuaranteed", "IHCP-species-dilution-info": "1/100 - 1/1000", "IHCP-species-notes": "<p></p>" }, "Mouse": { "WB-species-checked": "testedAndGuaranteed", "WB-species-dilution-info": "1/500 - 1/10000", "WB-species-notes": "<p></p>", "IHCP-species-checked": "guaranteed", "IHCP-species-dilution-info": "", "IHCP-species-notes": "" }, "Rat": { "WB-species-checked": "testedAndGuaranteed", "WB-species-dilution-info": "1/500 - 1/10000", "WB-species-notes": "<p></p>", "IHCP-species-checked": "guaranteed", "IHCP-species-dilution-info": "", "IHCP-species-notes": "" } } }

Properties and storage information

Form
Liquid
Purification technique
Affinity purification Immunogen
Storage buffer
pH: 7 Preservative: 0.025% Proclin 300 Constituents: PBS, 20% Glycerol (glycerin, glycerine)
Shipped at conditions
Blue Ice
Appropriate short-term storage duration
1-2 weeks
Appropriate short-term storage conditions
+4°C
Appropriate long-term storage conditions
-20°C
Aliquoting information
Upon delivery aliquot
Storage information
Avoid freeze / thaw cycle

Supplementary information

This supplementary information is collated from multiple sources and compiled automatically.

SERPING1 also known as C1 inhibitor or C1-inactivator is a protein that plays an important mechanical role in the regulation of the complement system. It is a member of the serpin superfamily and has a molecular mass of approximately 105-110 kDa. This protein is mainly expressed in the liver but also present in other tissues such as monocytes and epithelial cells. As an inhibitor SERPING1 effectively regulates the activity of the complement subcomponents C1r and C1s plasmin and kallikrein by inhibiting their protease activity preventing unwanted activation of the complement cascade.
Biological function summary

The protein acts as a critical control point in the complement and contact activation system. It is part of the C1 complex which includes the proteins C1q C1r and C1s. The regulation extends to pathways that involve the breakdown of plasma proteins and prevention of spontaneous inflammatory reactions. By controlling these pathways the protein prevents excessive inflammation and tissue damage which can occur during immune responses. Its involvement extends to the regulation of the complement system and maintenance of vascular permeability.

Pathways

SERPING1 interacts closely with mechanisms involved in the complement cascade and the kinin-kallikrein pathways. It associates with proteins like MASP-1 and MASP-2 important in the complement and lectin pathways. These pathways are important for innate immunity and influence factors like inflammation and blood pressure. SERPING1 modulates these pathways by inhibiting key enzymes and ensuring controlled responses therefore maintaining systemic balance within the immune system.

The malfunction or deficiency of SERPING1 has direct links to hereditary angioedema a condition marked by severe and rapid swelling episodes. The disorder results from inadequate inhibition of bradykinin emphasizing the protein's role in vascular regulation. Additionally the protein has implications in autoimmune diseases such as systemic lupus erythematosus where complement regulation is disrupted. The interplay between SERPING1 and other proteins such as bradykinin receptor B2 remains significant in understanding disease mechanisms and developing therapeutic interventions.

Product protocols

For this product, it's our understanding that no specific protocols are required. You can visit:

Target data

Activation of the C1 complex is under control of the C1-inhibitor. It forms a proteolytically inactive stoichiometric complex with the C1r or C1s proteases. May play a potentially crucial role in regulating important physiological pathways including complement activation, blood coagulation, fibrinolysis and the generation of kinins. Very efficient inhibitor of FXIIa. Inhibits chymotrypsin and kallikrein.
See full target information SERPING1

Publications (3)

Recent publications for all applications. Explore the full list and refine your search

The journal of gene medicine 25:e3469 PubMed36511295

2023

Inhibition of HIST1H2AB suppresses the proliferation of lung adenocarcinoma.

Applications

Unspecified application

Species

Unspecified reactive species

Xiaojun Chai,Guangxue Wang,Xuan Hong,Minghao Feng,He Wang,Fabing Liu,Wei Yao,Dongyi Zhu,Qinchuan Li

International journal of biological sciences 18:5168-5184 PubMed35982894

2022

Tubule-mitophagic secretion of SerpinG1 reprograms macrophages to instruct anti-septic acute kidney injury efficacy of high-dose ascorbate mediated by NRF2 transactivation.

Applications

Unspecified application

Species

Unspecified reactive species

Yin Ni,Guo-Hua Wu,Juan-Juan Cai,Run Zhang,Yang Zheng,Jing-Quan Liu,Xiang-Hong Yang,Xue Yang,Ye Shen,Jun-Mei Lai,Xiang-Ming Ye,Shi-Jing Mo

Antioxidants (Basel, Switzerland) 11: PubMed35204200

2022

The Influence of Coronary Artery Disease in the Development of Aortic Stenosis and the Importance of the Albumin Redox State.

Applications

Unspecified application

Species

Unspecified reactive species

Tamara Sastre-Oliva,Nerea Corbacho-Alonso,Diego Albo-Escalona,Juan A Lopez,Luis F Lopez-Almodovar,Jesús Vázquez,Luis R Padial,Laura Mourino-Alvarez,Maria G Barderas
View all publications

Product promise

We are committed to supporting your work with high-quality reagents, and we're here for you every step of the way. In the unlikely event that one of our products does not perform as expected, you're protected by our Product Promise.
For full details, please see our Terms & Conditions

Please note: All products are 'FOR RESEARCH USE ONLY. NOT FOR USE IN DIAGNOSTIC OR THERAPEUTIC PROCEDURES'.

For licensing inquiries, please contact partnerships@abcam.com