JavaScript is disabled in your browser. Please enable JavaScript to view this website.
AB252868

Anti-Serum Response Factor SRF antibody [2C5]

Be the first to review this product! Submit a review

|

(5 Publications)

Rat Recombinant Monoclonal Serum Response Factor SRF antibody. Suitable for IP, WB, IHC-P and reacts with Mouse, Human, Rat samples. Cited in 5 publications.

View Alternative Names

Serum response factor, SRF

7 Images
Immunoprecipitation - Anti-Serum Response Factor SRF antibody [2C5] (AB252868)
  • IP

Lab

Immunoprecipitation - Anti-Serum Response Factor SRF antibody [2C5] (AB252868)

Serum Response Factor SRF was immunoprecipitated from HeLa (human cervix adenocarcinoma epithelial cell), whole cell lysate with ab252868 at 1/30 dilution (2μg in 0.35mg lysates) (36.067μg/ml). Western blot was performed on the immunoprecipitate using ab252868 at 1/1000 dilution. Goat Anti-rat IgG (H+L), HRP) (ab205720) was used at 1/10000 dilution.

Lane 1 : HeLa whole cell lysate 10μg.

Lane 2 : ab252868 IP in HeLa whole cell lysate.

Lane 3 : Rat monoclonal IgG2a (ab18450) instead of ab252868 in HeLa whole cell lysate.

Blocking/Dilution buffer : 5% NFDM/TBST.

Exposure time : 10 seconds.

The expression profile/ molecular weight observed is consistent with what has been described in the literature (PMID : 11893590and PMID : 10642500).

All lanes:

Immunoprecipitation - Anti-Serum Response Factor SRF antibody [2C5] (ab252868) at 1/1000 dilution

Predicted band size: 52 kDa

Observed band size: 57 kDa,67 kDa

false

Exposure time: 6s

Immunohistochemistry (Formalin/PFA-fixed paraffin-embedded sections) - Anti-Serum Response Factor SRF antibody [2C5] (AB252868)
  • IHC-P

Unknown

Immunohistochemistry (Formalin/PFA-fixed paraffin-embedded sections) - Anti-Serum Response Factor SRF antibody [2C5] (AB252868)

Immunohistochemical analysis of paraffin-embedded mouse skeletal muscle tissue labeling Serum Response Factor SRF with ab252868 at 1/1000 dilution (1.082μg/ml) followed by ready to use Goat Anti-rat IgG H&L (HRP polymer) (ab214882). Nuclear staining on mouse skeletal muscle tissue. The section was incubated with ab252868 for 30 mins at room temperature. The immunostaining was performed on a Leica Biosystems BOND® RX instrument. Counterstained with Hematoxylin.

Secondary antibody only control : Secondary antibody is ready to use Goat Anti-rat IgG H&L (HRP polymer) (ab214882).

Heat mediated antigen retrieval with Tris-EDTA buffer (pH 9.0, epitope retrieval solution2) for 20 mins.

Immunohistochemistry (Formalin/PFA-fixed paraffin-embedded sections) - Anti-Serum Response Factor SRF antibody [2C5] (AB252868)
  • IHC-P

Unknown

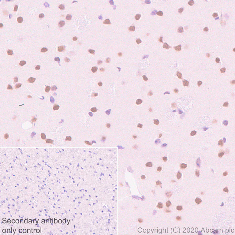
Immunohistochemistry (Formalin/PFA-fixed paraffin-embedded sections) - Anti-Serum Response Factor SRF antibody [2C5] (AB252868)

Immunohistochemical analysis of paraffin-embedded mouse cerebrum tissue labeling Serum Response Factor SRF with ab252868 at 1/1000 dilution (1.082μg/ml) followed by ready to use Goat Anti-rat IgG H&L (HRP polymer) (ab214882). Nuclear staining on mouse cerebrum. The section was incubated with ab252868 for 30 mins at room temperature. The immunostaining was performed on a Leica Biosystems BOND® RX instrument. Counterstained with Hematoxylin.

Secondary antibody only control : Secondary antibody is ready to use Goat Anti-rat IgG H&L (HRP polymer) (ab214882).

Heat mediated antigen retrieval with Tris-EDTA buffer (pH 9.0, epitope retrieval solution2) for 20 mins.

Immunohistochemistry (Formalin/PFA-fixed paraffin-embedded sections) - Anti-Serum Response Factor SRF antibody [2C5] (AB252868)
  • IHC-P

Unknown

Immunohistochemistry (Formalin/PFA-fixed paraffin-embedded sections) - Anti-Serum Response Factor SRF antibody [2C5] (AB252868)

Immunohistochemical analysis of paraffin-embedded rat skeletal muscle tissue labeling Serum Response Factor SRF with ab252868 at 1/1000 dilution (1.082μg/ml) followed by ready to use Goat Anti-rat IgG H&L (HRP polymer) (ab214882). Nuclear staining on rat skeletal muscle tissue. The section was incubated with ab252868 for 30 mins at room temperature. The immunostaining was performed on a Leica Biosystems BOND® RX instrument. Counterstained with Hematoxylin.

Secondary antibody only control : Secondary antibody is ready to use Goat Anti-rat IgG H&L (HRP polymer) (ab214882).

Heat mediated antigen retrieval with Tris-EDTA buffer (pH 9.0, epitope retrieval solution2) for 20 mins.

Immunoprecipitation - Anti-Serum Response Factor SRF antibody [2C5] (AB252868)
  • IP

Lab

Immunoprecipitation - Anti-Serum Response Factor SRF antibody [2C5] (AB252868)

Serum Response Factor SRF was immunoprecipitated from C2C12 (mouse myoblasts myoblast), whole cell lysate with ab252868 at 1/30 dilution (2μg in 0.35mg lysates) (36.067μg/ml). Western blot was performed on the immunoprecipitate using ab252868 at 1/1000 dilution. Goat Anti-rat IgG (H+L), HRP) (ab205720) was used at 1/10000 dilution.

Lane 1 : C2C12 whole cell lysate 10μg.

Lane 2 : ab252868 IP in C2C12 whole cell lysate.

Lane 3 : Rat monoclonal IgG2a (ab18450) instead of ab252868 in C2C12 whole cell lysate.

Blocking/Dilution buffer : 5% NFDM/TBST.

Exposure time : 6 seconds.

The expression profile/ molecular weight observed is consistent with what has been described in the literature (PMID : 11893590 and PMID : 10642500).

All lanes:

Immunoprecipitation - Anti-Serum Response Factor SRF antibody [2C5] (ab252868) at 1/1000 dilution

Predicted band size: 52 kDa

Observed band size: 57 kDa,67 kDa

false

Exposure time: 6s

Western blot - Anti-Serum Response Factor SRF antibody [2C5] (AB252868)
  • WB

Lab

Western blot - Anti-Serum Response Factor SRF antibody [2C5] (AB252868)

Blocking/Dilution buffer : 5% NFDM/TBST.

The expression profile/ molecular weight observed is consistent with what has been described in the literature (PMID : 11893590 and PMID : 10642500).

All lanes:

Western blot - Anti-Serum Response Factor SRF antibody [2C5] (ab252868) at 1.082 µg/mL

Lane 1:

HeLa (human cervix adenocarcinoma epithelial cell), whole cell lysate at 10 µg

Lane 2:

HEK-293 (human embryonic kidney epithelial cell), whole cell lysate at 10 µg

Lane 3:

K562 (human chronic myelogenous leukemia lymphoblast), whole cell lysate at 10 µg

Lane 4:

C2C12 (mouse myoblasts myoblast), whole cell lysate at 10 µg

Secondary

All lanes:

Western blot - Goat Anti-Rat IgG H&L (HRP) (<a href='/en-us/products/secondary-antibodies/goat-rat-igg-h-l-hrp-ab205720'>ab205720</a>) at 1/5000 dilution

Predicted band size: 52 kDa

Observed band size: 52 kDa,57 kDa,67 kDa

false

Exposure time: 20s

Western blot - Anti-Serum Response Factor SRF antibody [2C5] (AB252868)
  • WB

Lab

Western blot - Anti-Serum Response Factor SRF antibody [2C5] (AB252868)

Blocking/Dilution buffer : 5% NFDM/TBST.

Exposure times : Lane 1 : 26 seconds; Lane 2 : 3 minutes.

The expression profile/ molecular weight observed is consistent with what has been described in the literature (PMID : 11893590 and PMID : 10642500).

All lanes:

Western blot - Anti-Serum Response Factor SRF antibody [2C5] (ab252868) at 0.082 µg/mL

Lane 1:

NIH/3T3 (mouse embryonic fibroblast), whole cell lysate at 10 µg

Lane 2:

PC-12 (rat adrenal gland pheochromocytoma), whole cell lysate at 10 µg

Secondary

All lanes:

Western blot - Goat Anti-Rat IgG H&L (HRP) (<a href='/en-us/products/secondary-antibodies/goat-rat-igg-h-l-hrp-ab205720'>ab205720</a>) at 1/5000 dilution

Predicted band size: 52 kDa

Observed band size: 52 kDa,57 kDa,67 kDa

false

  • Carrier free

    Anti-Serum Response Factor SRF antibody [2C5] - BSA and Azide free

Key facts

Host species

Rat

Clonality

Monoclonal

Clone number

2C5

Isotype

IgG2a

Light chain type

kappa

Carrier free

No

Reacts with

Mouse, Rat, Human

Applications

IP, WB, IHC-P

applications

Immunogen

The exact immunogen used to generate this antibody is proprietary information.

Reactivity data

{ "title": "Reactivity Data", "filters": { "stats": ["", "Species", "Dilution Info", "Notes"], "tabs": { "all-applications": {"fullname" : "All Applications", "shortname": "All Applications"}, "IP" : {"fullname" : "Immunoprecipitation", "shortname":"IP"}, "WB" : {"fullname" : "Western blot", "shortname":"WB"}, "IHCP" : {"fullname" : "Immunohistochemistry (Formalin/PFA-fixed paraffin-embedded sections)", "shortname":"IHC-P"} }, "product-promise": { "all": "all", "testedAndGuaranteed": "tested", "guaranteed": "expected", "predicted": "predicted", "notRecommended": "not-recommended" } }, "values": { "Human": { "IP-species-checked": "testedAndGuaranteed", "IP-species-dilution-info": "36.067 µg/mL", "IP-species-notes": "<p></p>", "WB-species-checked": "testedAndGuaranteed", "WB-species-dilution-info": "1.082 µg/mL", "WB-species-notes": "<p></p>", "IHCP-species-checked": "notRecommended", "IHCP-species-dilution-info": "1.082 µg/mL", "IHCP-species-notes": "<p></p>" }, "Mouse": { "IP-species-checked": "testedAndGuaranteed", "IP-species-dilution-info": "36.067 µg/mL", "IP-species-notes": "<p></p>", "WB-species-checked": "testedAndGuaranteed", "WB-species-dilution-info": "1.082 µg/mL", "WB-species-notes": "<p></p>", "IHCP-species-checked": "testedAndGuaranteed", "IHCP-species-dilution-info": "1.082 µg/mL", "IHCP-species-notes": "<p></p>" }, "Rat": { "IP-species-checked": "guaranteed", "IP-species-dilution-info": "", "IP-species-notes": "", "WB-species-checked": "testedAndGuaranteed", "WB-species-dilution-info": "1.082 µg/mL", "WB-species-notes": "<p></p>", "IHCP-species-checked": "testedAndGuaranteed", "IHCP-species-dilution-info": "1.082 µg/mL", "IHCP-species-notes": "<p></p>" } } }

Product details

What are the advantages of a recombinant monoclonal antibody?
This product is a recombinant monoclonal antibody, which offers several advantages including:

  • - High batch-to-batch consistency and reproducibility
  • - Improved sensitivity and specificity
  • - Long-term security of supply
  • - Animal-free batch production

For more information, read more on recombinant antibodies.

Want a custom formulation?
This antibody clone is manufactured by Abcam. If you require a custom buffer formulation or conjugation for your experiments, please contact orders@abcam.com

Properties and storage information

Form
Liquid
Purification technique
Ion exchange chromatography
Storage buffer
pH: 7.2 - 7.4 Preservative: 0.01% Sodium azide Constituents: PBS, 40% Glycerol (glycerin, glycerine), 0.05% BSA
Shipped at conditions
Blue Ice
Appropriate short-term storage duration
1-2 weeks
Appropriate short-term storage conditions
+4°C
Appropriate long-term storage conditions
-20°C
Aliquoting information
Upon delivery aliquot
Storage information
Avoid freeze / thaw cycle

Supplementary information

This supplementary information is collated from multiple sources and compiled automatically.

Serum Response Factor (SRF) also known as serum response element-binding protein is a transcription factor with a mass of around 67 kDa. SRF regulates gene expression by binding to the serum response element (SRE) found in the promoter region of target genes. It is widely expressed across multiple tissues including muscle brain and epithelial cells. SRF plays a critical role in various cellular functions due to its ability to control the transcription of immediate-early genes in response to a range of extracellular signals.
Biological function summary

SRF influences cellular processes such as growth differentiation and migration. SRF often functions as a part of a transcriptional complex interacting with co-factors like the ternary complex factor (TCF) from the ETS domain family of transcription factors. This interaction modulates the expression of genes involved in cytoskeletal organization and cell cycle regulation. By doing so SRF coordinates complex cellular activities that are essential for normal development and response to environmental changes.

Pathways

SRF plays a significant role in the mitogen-activated protein kinase (MAPK) pathway and the RhoA pathway. In the MAPK pathway SRF acts downstream to mediate the response of cells to growth stimuli working closely with MAPK-regulated kinases. Through the RhoA pathway SRF regulates changes in cytoskeletal dynamics and cell movement with the involvement of proteins such as Rho-associated coiled-coil containing protein kinase (ROCK) and myocardin-related transcription factors (MRTFs).

SRF has a strong connection to cardiovascular diseases and certain types of cancer. Alterations in SRF expression or function can contribute to the development of atherosclerosis and myocardial hypertrophy. Additionally dysregulation in SRF activity has been observed in some cancers where it associates with aberrant cell proliferation and migration. In these contexts proteins such as connective tissue growth factor (CTGF) can interact with SRF further impacting disease progression and severity.

Product protocols

For this product, it's our understanding that no specific protocols are required. You can visit:

Target data

SRF is a transcription factor that binds to the serum response element (SRE), a short sequence of dyad symmetry located 300 bp to the 5' of the site of transcription initiation of some genes (such as FOS). Together with MRTFA transcription coactivator, controls expression of genes regulating the cytoskeleton during development, morphogenesis and cell migration. The SRF-MRTFA complex activity responds to Rho GTPase-induced changes in cellular globular actin (G-actin) concentration, thereby coupling cytoskeletal gene expression to cytoskeletal dynamics. Required for cardiac differentiation and maturation.
See full target information Serum response factor

Publications (5)

Recent publications for all applications. Explore the full list and refine your search

NPJ precision oncology 8:231 PubMed39402170

2024

Prediction of homologous recombination deficiency identifies colorectal tumors sensitive to PARP inhibition.

Applications

Unspecified application

Species

Unspecified reactive species

Giorgio Corti,Kristi Buzo,Enrico Berrino,Martina Miotto,Maria Costanza Aquilano,Marilena Lentini,Sara Erika Bellomo,Annalisa Lorenzato,Alice Bartolini,Gianluca Mauri,Luca Lazzari,Mariangela Russo,Federica Di Nicolantonio,Salvatore Siena,Silvia Marsoni,Caterina Marchiò,Alberto Bardelli,Sabrina Arena

Journal of pineal research 76:e12988 PubMed38982751

2024

Melatonin Ameliorates Atherosclerotic Plaque Vulnerability by Regulating PPARδ-Associated Smooth Muscle Cell Phenotypic Switching.

Applications

Unspecified application

Species

Unspecified reactive species

Sy-Jou Chen,Hung-Che Chien,Shih-Hung Tsai,Yu-Sin Jheng,Yi Chen,Po-Shiuan Hsieh,Pi-Fen Tsui,Shu Chien,Min-Chien Tsai

Molecular medicine reports 25: PubMed35475577

2022

Atorvastatin regulates vascular smooth muscle cell phenotypic transformation by epigenetically modulating contractile proteins and mediating Akt/FOXO4 axis.

Applications

Unspecified application

Species

Unspecified reactive species

Xinping Du,Zhiyuan Sun,Zhongnan Cao,Xiuhong Zhou,Dong Wang,Kuan Wang,Xuebin Li,Guoxing Zuo

Cell & bioscience 11:132 PubMed34266473

2021

YTHDF2 alleviates cardiac hypertrophy via regulating Myh7 mRNA decoy.

Applications

Unspecified application

Species

Unspecified reactive species

Hongfei Xu,Zhen Wang,Miao Chen,Wenting Zhao,Tingting Tao,Liang Ma,Yiming Ni,Weidong Li

The Journal of clinical investigation 119:899-910 PubMed19307725

2009

Loss of serum response factor in keratinocytes results in hyperproliferative skin disease in mice.

Applications

Unspecified application

Species

Unspecified reactive species

Heidi Koegel,Lukas von Tobel,Matthias Schäfer,Siegfried Alberti,Elisabeth Kremmer,Cornelia Mauch,Daniel Hohl,Xiao-Jing Wang,Hans-Dietmar Beer,Wilhelm Bloch,Alfred Nordheim,Sabine Werner
View all publications

Product promise

We are committed to supporting your work with high-quality reagents, and we're here for you every step of the way. In the unlikely event that one of our products does not perform as expected, you're protected by our Product Promise.
For full details, please see our Terms & Conditions

Please note: All products are 'FOR RESEARCH USE ONLY. NOT FOR USE IN DIAGNOSTIC OR THERAPEUTIC PROCEDURES'.

For licensing inquiries, please contact partnerships@abcam.com