JavaScript is disabled in your browser. Please enable JavaScript to view this website.
AB183025

Anti-Seryl-tRNA synthetase/SERS antibody [EPR10685]

Be the first to review this product! Submit a review

|

(2 Publications)

Rabbit Recombinant Monoclonal Seryl-tRNA synthetase/SERS antibody. Suitable for IP, WB, IHC-P and reacts with Human, Rat, Mouse samples. Cited in 2 publications.

View Alternative Names

SARS, SERS, SARS1, Seryl-tRNA synthetase, Seryl-tRNA(Ser/Sec) synthetase, SerRS

4 Images
Immunohistochemistry (Formalin/PFA-fixed paraffin-embedded sections) - Anti-Seryl-tRNA synthetase/SERS antibody [EPR10685] (AB183025)
  • IHC-P

Supplier Data

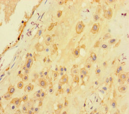
Immunohistochemistry (Formalin/PFA-fixed paraffin-embedded sections) - Anti-Seryl-tRNA synthetase/SERS antibody [EPR10685] (AB183025)

Immunohistochemical analysis of paraffin-embedded Human endometrium tissue labeling Seryl-tRNA synthetase/SERS with ab183025 at 1/100 dilution followed by pre-diluted HRP-conjugated secondary antibody and counter-stained with Hematoxylin.

Perform heat mediated antigen retrieval with EDTA buffer pH 9 before commencing with IHC staining protocol.

Immunoprecipitation - Anti-Seryl-tRNA synthetase/SERS antibody [EPR10685] (AB183025)
  • IP

Supplier Data

Immunoprecipitation - Anti-Seryl-tRNA synthetase/SERS antibody [EPR10685] (AB183025)

Western blot analysis of immunoprecipitation pellet from Human K562 cell lysate immunoprecipitated using ab183025 at 1/50 dilution (lane 1) or a negative control (lane 2).
Secondary : Anti-Rabbit IgG (HRP), specific to the non-reduced form of IgG at 1/1500 dilution.

All lanes:

Immunoprecipitation - Anti-Seryl-tRNA synthetase/SERS antibody [EPR10685] (ab183025)

Predicted band size: 59 kDa

false

Western blot - Anti-Seryl-tRNA synthetase/SERS antibody [EPR10685] (AB183025)
  • WB

Supplier Data

Western blot - Anti-Seryl-tRNA synthetase/SERS antibody [EPR10685] (AB183025)

All lanes:

Western blot - Anti-Seryl-tRNA synthetase/SERS antibody [EPR10685] (ab183025) at 1/20000 dilution

Lane 1:

HT29 cell lysate at 20 µg

Lane 2:

293T cell lysate at 20 µg

Lane 3:

K562 cell lysate at 20 µg

Lane 4:

Jurkat cell lysate at 20 µg

Secondary

All lanes:

Goat Anti-Rabbit IgG, (H+L), Peroxidase conjugated at 1/1000 dilution

Predicted band size: 59 kDa

false

Western blot - Anti-Seryl-tRNA synthetase/SERS antibody [EPR10685] (AB183025)
  • WB

Supplier Data

Western blot - Anti-Seryl-tRNA synthetase/SERS antibody [EPR10685] (AB183025)

All lanes:

Western blot - Anti-Seryl-tRNA synthetase/SERS antibody [EPR10685] (ab183025) at 1/5000 dilution

Lane 1:

PC12 cell lysate at 10 µg

Lane 2:

NIH3T3 cell lysate at 10 µg

Secondary

All lanes:

Goat Anti-Rabbit IgG, (H+L), Peroxidase conjugated at 1/1000 dilution

Predicted band size: 59 kDa

false

  • Carrier free

    Anti-Seryl-tRNA synthetase/SERS antibody [EPR10685] - BSA and Azide free

Key facts

Host species

Rabbit

Clonality

Monoclonal

Clone number

EPR10685

Isotype

IgG

Carrier free

No

Reacts with

Mouse, Rat, Human

Applications

WB, IP, IHC-P

applications

Immunogen

The exact immunogen used to generate this antibody is proprietary information.

Reactivity data

{ "title": "Reactivity Data", "filters": { "stats": ["", "Species", "Dilution Info", "Notes"], "tabs": { "all-applications": {"fullname" : "All Applications", "shortname": "All Applications"}, "IP" : {"fullname" : "Immunoprecipitation", "shortname":"IP"}, "WB" : {"fullname" : "Western blot", "shortname":"WB"}, "IHCP" : {"fullname" : "Immunohistochemistry (Formalin/PFA-fixed paraffin-embedded sections)", "shortname":"IHC-P"} }, "product-promise": { "all": "all", "testedAndGuaranteed": "tested", "guaranteed": "expected", "predicted": "predicted", "notRecommended": "not-recommended" } }, "values": { "Human": { "IP-species-checked": "testedAndGuaranteed", "IP-species-dilution-info": "1/40 - 1/60", "IP-species-notes": "<p></p>", "WB-species-checked": "testedAndGuaranteed", "WB-species-dilution-info": "1/1000 - 1/10000", "WB-species-notes": "<p></p>", "IHCP-species-checked": "testedAndGuaranteed", "IHCP-species-dilution-info": "1/50 - 1/100", "IHCP-species-notes": "<p></p>" }, "Mouse": { "IP-species-checked": "guaranteed", "IP-species-dilution-info": "", "IP-species-notes": "", "WB-species-checked": "testedAndGuaranteed", "WB-species-dilution-info": "1/1000 - 1/10000", "WB-species-notes": "<p></p>", "IHCP-species-checked": "guaranteed", "IHCP-species-dilution-info": "", "IHCP-species-notes": "" }, "Rat": { "IP-species-checked": "guaranteed", "IP-species-dilution-info": "", "IP-species-notes": "", "WB-species-checked": "testedAndGuaranteed", "WB-species-dilution-info": "1/1000 - 1/10000", "WB-species-notes": "<p></p>", "IHCP-species-checked": "guaranteed", "IHCP-species-dilution-info": "", "IHCP-species-notes": "" } } }

Product details

Patented technology
Our RabMAb® technology is a patented hybridoma-based technology for making rabbit monoclonal antibodies. For details on our patents, please refer to RabMAb® patents.

What are the advantages of a recombinant monoclonal antibody?
This product is a recombinant monoclonal antibody, which offers several advantages including:

  • - High batch-to-batch consistency and reproducibility
  • - Improved sensitivity and specificity
  • - Long-term security of supply
  • - Animal-free batch production

For more information, read more on recombinant antibodies.

Properties and storage information

Form
Liquid
Purification technique
Affinity purification Protein A
Storage buffer
pH: 7.2 Preservative: 0.01% Sodium azide Constituents: PBS, 40% Glycerol (glycerin, glycerine), 0.05% BSA
Shipped at conditions
Blue Ice
Appropriate short-term storage duration
1-2 weeks
Appropriate short-term storage conditions
+4°C
Appropriate long-term storage conditions
-20°C
Aliquoting information
Upon delivery aliquot
Storage information
Avoid freeze / thaw cycle

Supplementary information

This supplementary information is collated from multiple sources and compiled automatically.

The Seryl-tRNA synthetase also known as SERS is an enzyme responsible for catalyzing the attachment of serine to its corresponding tRNA molecule a process known as aminoacylation. SERS with a molecular mass of approximately 55 kDa finds its expression in various tissues and cell types where it plays a role in protein synthesis. It operates by ensuring that genetic information is translated accurately from nucleic acid sequences to protein sequences important in maintaining the fidelity of protein biosynthesis.
Biological function summary

Through its function of aminoacylating serine to tRNA SERS contributes to the synthesis of proteins by enabling the incorporation of serine residues into polypeptides. SERS does not act alone; instead it operates as a part of the multi-tRNA synthetase complex enhancing its enzymatic efficiency and aiding in the coordination of protein synthesis. Beyond catalysis SERS also participates in cellular response to stress and has non-canonical roles that extend its function beyond tRNA charging.

Pathways

The role of SERS in translation aligns it with pathways involving protein synthesis and amino acid metabolism. One such pathway is the mTOR signaling pathway which SERS influences indirectly through its role in the availability of serine-loaded tRNAs for protein synthesis. Additionally SERS is linked to serine biosynthesis pathways interconnected with proteins like PHGDH which catalyzes the first step in the serine biosynthesis from 3-phosphoglycerate.

The malfunction or aberrant expression of SERS associates with Charcot-Marie-Tooth disease a neuropathy affecting peripheral nerves. Mutations in SERS can disrupt normal nerve function leading to symptoms associated with this disorder. Furthermore SERS links to cancerous processes as its non-canonical functions may influence tumor progression. In cancer SERS interacts with proteins such as oncogenes or tumor suppressors affecting cellular proliferation and survival.

Product protocols

For this product, it's our understanding that no specific protocols are required. You can visit:

Target data

Catalyzes the attachment of serine to tRNA(Ser) in a two-step reaction : serine is first activated by ATP to form Ser-AMP and then transferred to the acceptor end of tRNA(Ser) (PubMed : 22353712, PubMed : 24095058, PubMed : 26433229, PubMed : 28236339, PubMed : 34570399, PubMed : 36041817, PubMed : 9431993). Is probably also able to aminoacylate tRNA(Sec) with serine, to form the misacylated tRNA L-seryl-tRNA(Sec), which will be further converted into selenocysteinyl-tRNA(Sec) (PubMed : 26433229, PubMed : 28236339, PubMed : 34570399, PubMed : 9431993). In the nucleus, binds to the VEGFA core promoter and prevents MYC binding and transcriptional activation by MYC (PubMed : 24940000). Recruits SIRT2 to the VEGFA promoter, promoting deacetylation of histone H4 at 'Lys-16' (H4K16). Thereby, inhibits the production of VEGFA and sprouting angiogenesis mediated by VEGFA (PubMed : 19423847, PubMed : 19423848, PubMed : 24940000).
See full target information SARS1

Publications (2)

Recent publications for all applications. Explore the full list and refine your search

Nature communications 16:1542 PubMed39966351

2025

A humanized NOVA1 splicing factor alters mouse vocal communications.

Applications

Unspecified application

Species

Unspecified reactive species

Yoko Tajima,César D M Vargas,Keiichi Ito,Wei Wang,Ji-Dung Luo,Jiawei Xing,Nurdan Kuru,Luiz Carlos Machado,Adam Siepel,Thomas S Carroll,Erich D Jarvis,Robert B Darnell

Journal of medical genetics 59:1227-1233 PubMed36041817

2022

Loss of seryl-tRNA synthetase () causes complex spastic paraplegia and cellular senescence.

Applications

Unspecified application

Species

Unspecified reactive species

Edgard Verdura,Bruno Senger,Miquel Raspall-Chaure,Agatha Schlüter,Nathalie Launay,Montserrat Ruiz,Carlos Casasnovas,Agustí Rodriguez-Palmero,Alfons Macaya,Hubert Dominique Becker,Aurora Pujol
View all publications

Product promise

We are committed to supporting your work with high-quality reagents, and we're here for you every step of the way. In the unlikely event that one of our products does not perform as expected, you're protected by our Product Promise.
For full details, please see our Terms & Conditions

Please note: All products are 'FOR RESEARCH USE ONLY. NOT FOR USE IN DIAGNOSTIC OR THERAPEUTIC PROCEDURES'.

For licensing inquiries, please contact partnerships@abcam.com