JavaScript is disabled in your browser. Please enable JavaScript to view this website.
AB178518

Anti-SESN2/Sestrin-2 antibody [EPR18907]

Be the first to review this product! Submit a review

|

(28 Publications)

Anti-SESN2/Sestrin-2 antibody [EPR18907] (ab178518) is a rabbit monoclonal antibody detecting SESN2/Sestrin-2 in Western Blot, Flow Cytometry (Intra), Flow Cytometry, IP, ICC/IF. Suitable for Human, Mouse, Rat.

- KO validated for confirmed specificity
- Biophysical QC for unrivalled batch-batch consistency
- Over 20 publications

View Alternative Names

Hi95, SEST2, SESN2, Sestrin-2, Hypoxia-induced gene

11 Images
Immunocytochemistry/ Immunofluorescence - Anti-SESN2/Sestrin-2 antibody [EPR18907] (AB178518)
  • ICC/IF

Supplier Data

Immunocytochemistry/ Immunofluorescence - Anti-SESN2/Sestrin-2 antibody [EPR18907] (AB178518)

Immunofluorescent analysis of 4% paraformaldehyde-fixed, 0.1% Triton X-100 permeabilized HCT 116 (Human colorectal carcinoma cell line) cells labeling SESN2/Sestrin-2 with ab178518 at 1/100 dilution, followed by Goat anti-rabbit IgG (Alexa Fluor® 488) (ab150077) secondary antibody at 1/1000 dilution (green). Confocal image showing cytoplasmic staining on HCT116 cells. The nuclear counter stain is DAPI (blue). Tubulin is detected with ab195889 Anti-alpha Tubulin antibody [DM1A] - Microtubule Marker (Alexa Fluor® 594) at 1/250 dilution (red).

Secondary antibody only control : Used PBS instead of primary antibody, secondary antibody is Goat anti-rabbit IgG (Alexa Fluor® 488) (ab150077) secondary antibody at 1/1000 dilution.

Flow Cytometry (Intracellular) - Anti-SESN2/Sestrin-2 antibody [EPR18907] (AB178518)
  • Flow Cyt (Intra)

Supplier Data

Flow Cytometry (Intracellular) - Anti-SESN2/Sestrin-2 antibody [EPR18907] (AB178518)

Intracellular flow cytometric analysis of 4% paraformaldehyde-fixed HCT 116 (Human colorectal carcinoma cell line) cells labeling SESN2/Sestrin-2 with ab178518 at 1/60 dilution (red) compared with a rabbit monoclonal IgG isotype control (ab172730; black) and an unlabelled control (cells without incubation with primary antibody and secondary antibody; blue). Goat anti rabbit IgG (Alexa Fluor® 488) at 1/2000 dilution was used as the secondary antibody.

Immunoprecipitation - Anti-SESN2/Sestrin-2 antibody [EPR18907] (AB178518)
  • IP

Supplier Data

Immunoprecipitation - Anti-SESN2/Sestrin-2 antibody [EPR18907] (AB178518)

SESN2/Sestrin-2 was immunoprecipitated from 0.35 mg of HeLa (Human epithelial cell line from cervix adenocarcinoma) whole cell lysate with ab178518 at 1/30 dilution. Western blot was performed from the immunoprecipitate using ab178518 at 1/1000 dilution. VeriBlot for IP Detection Reagent (HRP) (ab131366), was used for detection at 1/10000 dilution.

Lane 1 : HeLa whole cell lysate, 10μg (Input).

Lane 2 : ab178518 IP in HeLa whole cell lysate.

Lane 3 : Rabbit IgG,monoclonal [EPR25A] - Isotype Control (ab172730) instead of ab178518 in HeLa whole cell lysate.

Blocking and dilution buffer and concentration : 5% NFDM/TBST.

Exposure time : 3 minutes.

SESN2/Sestrin-2 expression is low in HeLa cells and can be enriched through immunoprecipitation.

All lanes:

Immunoprecipitation - Anti-SESN2/Sestrin-2 antibody [EPR18907] (ab178518)

Predicted band size: 54 kDa

false

Flow Cytometry (Intracellular) - Anti-SESN2/Sestrin-2 antibody [EPR18907] (AB178518)
  • Flow Cyt (Intra)

Supplier Data

Flow Cytometry (Intracellular) - Anti-SESN2/Sestrin-2 antibody [EPR18907] (AB178518)

Intracellular flow cytometric analysis of 4% paraformaldehyde-fixed NIH/3T3 (Mouse embryonic fibroblast cell line) cells labeling SESN2/Sestrin-2 with ab178518 at 1/60 dilution (red) compared with a Rabbit IgG,monoclonal[EPR25A]-Isotype control (ab172730) (black) and an unlabelled control (cells without incubation with primary antibody and secondary antibody) (blue). Goat anti Rabbit IgG (Alexa Fluor® 488) at 1/2000 dilution was used as the secondary antibody.

Western blot - Anti-SESN2/Sestrin-2 antibody [EPR18907] (AB178518)
  • WB

Supplier Data

Western blot - Anti-SESN2/Sestrin-2 antibody [EPR18907] (AB178518)

Blocking/Dilution buffer : 5% NFDM/TBST.

Sestrin expression is induced by H2O2 treatment, which is consistent with what has been described in the literature (PMID : 25337554).

Exposure time : 3 minutes

All lanes:

Western blot - Anti-SESN2/Sestrin-2 antibody [EPR18907] (ab178518) at 1/1000 dilution

Lane 1:

Untreated HeLa (Human epithelial cell line from cervix adenocarcinoma) whole cell lysate at 20 µg

Lane 2:

HeLa (Human epithelial cell line from cervix adenocarcinoma) whole cell lysate treated with 10 mM H2O2 for 1 hour at 20 µg

Lane 3:

LoVo (Human colorectal adenocarcinoma cell line) whole cell lysate at 20 µg

Lane 4:

293T (Human epithelial cell line from embryonic kidney) whole cell lysate at 20 µg

Lane 5:

NIH/3T3 (Mouse embryonic fibroblast cell line) whole cell lysate at 20 µg

Secondary

All lanes:

Western blot - Goat Anti-Rabbit IgG H&L (HRP) (<a href='/en-us/products/secondary-antibodies/goat-rabbit-igg-h-l-hrp-ab97051'>ab97051</a>) at 1/100000 dilution

Predicted band size: 54 kDa

Observed band size: 54 kDa

false

Exposure time: 3min

Western blot - Anti-SESN2/Sestrin-2 antibody [EPR18907] (AB178518)
  • WB

Supplier Data

Western blot - Anti-SESN2/Sestrin-2 antibody [EPR18907] (AB178518)

Blocking/Dilution buffer : 5% NFDM/TBST.

Exposure times : Lane 1, 2, 3, 4 and 5 : 3 minutes; Lane 6 : 30 seconds.

All lanes:

Western blot - Anti-SESN2/Sestrin-2 antibody [EPR18907] (ab178518) at 1/1000 dilution

Lane 1:

HCT 116 (Human colorectal carcinoma cell line) whole cell lysate at 20 µg

Lane 2:

Rat1 (Rat fibroblast cell line) whole cell lysate at 20 µg

Lane 3:

C6 (Rat glial tumor cell line) whole cell lysate at 20 µg

Lane 4:

RAW 264.7 (Mouse macrophage cell line transformed with Abelson murine leukemia virus) whole cell lysate at 20 µg

Lane 5:

Mouse spleen lysate at 20 µg

Lane 6:

PC-12 (Rat adrenal gland pheochromocytoma cell line) whole cell lysate at 20 µg

Secondary

All lanes:

Western blot - Goat Anti-Rabbit IgG H&L (HRP) (<a href='/en-us/products/secondary-antibodies/goat-rabbit-igg-h-l-hrp-ab97051'>ab97051</a>) at 1/100000 dilution

Predicted band size: 54 kDa

Observed band size: 54 kDa

false

Western blot - Anti-SESN2/Sestrin-2 antibody [EPR18907] (AB178518)
  • WB

Supplier Data

Western blot - Anti-SESN2/Sestrin-2 antibody [EPR18907] (AB178518)

Blocking/Dilution buffer : 5% NFDM/TBST.

Exposure time : 3 minutes

All lanes:

Western blot - Anti-SESN2/Sestrin-2 antibody [EPR18907] (ab178518) at 1/1000 dilution

Lane 1:

Human colon lysate at 20 µg

Lane 2:

Human fetal liver lysate at 20 µg

Lane 3:

Human testis lysate at 20 µg

Lane 4:

Human fetal kidney lysate at 20 µg

Secondary

All lanes:

Goat Anti-Rabbit IgG Peroxidase Conjugate, specific to the non-reduced form of IgG at 1/10000 dilution

Predicted band size: 54 kDa

Observed band size: 54 kDa

false

Exposure time: 3min

Western blot - Anti-SESN2/Sestrin-2 antibody [EPR18907] (AB178518)
  • WB

Lab

Western blot - Anti-SESN2/Sestrin-2 antibody [EPR18907] (AB178518)

Lanes 1-4 : Merged signal (red and green). Green - ab178518 observed at 54 kDa. Red - loading control ab8245 observed at 36 kDa.

ab178518 Anti-SESN2/Sestrin-2 antibody [EPR18907] was shown to specifically react with SESN2/Sestrin-2 in wild-type HeLa cells. Loss of signal was observed when knockout cell line ab265669 (knockout lysate ab257665) was used. Wild-type and SESN2/Sestrin-2 knockout samples were subjected to SDS-PAGE. ab178518 and Anti-GAPDH antibody [6C5] - Loading Control (ab8245) were incubated at room temperature for 2.5 hours at 1 in 1000 dilution and 1 in 20000 dilution respectively. Blots were developed with Goat anti-Rabbit IgG H&L (IRDye® 800CW) preadsorbed (ab216773) and Goat anti-Mouse IgG H&L (IRDye® 680RD) preadsorbed (ab216776) secondary antibodies at 1 in 20000 dilution for 1 hour at room temperature before imaging.

All lanes:

Western blot - Anti-SESN2/Sestrin-2 antibody [EPR18907] (ab178518) at 1/1000 dilution

Lane 1:

Wild-type HeLa cell lysate at 20 µg

Lane 2:

SESN2 knockout HeLa cell lysate at 20 µg

Lane 2:

Western blot - Human SESN2 (Sestrin-2) knockout HeLa cell line (<a href='/en-us/products/cell-lines/human-sesn2-sestrin-2-knockout-hela-cell-line-ab265669'>ab265669</a>)

Lane 3:

LoVo cell lysate at 20 µg

Lane 4:

HEK-293T cell lysate at 20 µg

Secondary

All lanes:

Western blot - Goat anti-Rabbit IgG H&L (IRDye® 800CW) preadsorbed (<a href='/en-us/products/secondary-antibodies/goat-rabbit-igg-h-l-irdye-800cw-preadsorbed-ab216773'>ab216773</a>) at 1/10000 dilution

Predicted band size: 38 kDa,54 kDa

Observed band size: 48 kDa,54 kDa

false

Western blot - Anti-SESN2/Sestrin-2 antibody [EPR18907] (AB178518)
  • WB

Lab

Western blot - Anti-SESN2/Sestrin-2 antibody [EPR18907] (AB178518)

False colour image of Western blot : Anti-SESN2/Sestrin-2 antibody [EPR18907] staining at 1/1000 dilution, shown in green; Mouse anti-GAPDH antibody [6C5] (ab8245) loading control staining at 1/20000 dilution, shown in red. In Western blot, ab178518 was shown to bind specifically to SESN2/Sestrin-2. A band was observed at 54 kDa in wild-type HEK-293 cell lysates with no signal observed at this size in SESN2 knockout cell line ab269486 (knockout cell lysate ab269650). To generate this image, wild-type and SESN2 knockout HEK-293 cell lysates were analysed. First, samples were run on an SDS-PAGE gel then transferred onto a nitrocellulose membrane. Membranes were blocked in 3 % milk in TBS-0.1 % Tween® 20 (TBS-T) before incubation with primary antibodies overnight at 4°C. Blots were washed four times in TBS-T, incubated with secondary antibodies for 1 h at room temperature, washed again four times then imaged.Secondary antibodies used were Goat anti-Rabbit IgG H&L (IRDye® 800CW) preabsorbed (ab216773) and Goat anti-Mouse IgG H&L (IRDye® 680RD) preabsorbed (ab216776) at 1/20000 dilution.

All lanes:

Western blot - Anti-SESN2/Sestrin-2 antibody [EPR18907] (ab178518) at 1/1000 dilution

Lane 1:

Wild-type HEK-293 cell lysate at 20 µg

Lane 2:

SESN2 knockout HEK-293 cell lysate at 20 µg

Lane 2:

Western blot - Human SESN2 (Sestrin-2) knockout HEK-293 cell line (<a href='/en-us/products/cell-lines/human-sesn2-sestrin-2-knockout-hek-293-cell-line-ab269486'>ab269486</a>)

Predicted band size: 54 kDa

Observed band size: 54 kDa

false

Western blot - Anti-SESN2/Sestrin-2 antibody [EPR18907] (AB178518)
  • WB

Lab

Western blot - Anti-SESN2/Sestrin-2 antibody [EPR18907] (AB178518)

Lanes 1-3 : Merged signal (red and green). Green - ab178518 observed at 54 kDa. Red - loading control ab8245 observed at 36 kDa.

ab178518 Anti-SESN2/Sestrin-2 antibody [EPR18907] was shown to specifically react with 2 in wild-type HeLa cells. Loss of signal was observed when knockout sample ab257665 was used. Wild-type and 2 knockout samples were subjected to SDS-PAGE. ab178518 and Anti-GAPDH antibody [6C5] - Loading Control (ab8245) were incubated overnight at 4°C at 1 in 1000 dilution and 1 in 20000 dilution respectively. Blots were developed with Goat anti-Rabbit IgG H&L (IRDye® 800CW) preadsorbed (ab216773) and Goat anti-Mouse IgG H&L (IRDye® 680RD) preadsorbed (ab216776) secondary antibodies at 1 in 20000 dilution for 1 hour at room temperature before imaging.

All lanes:

Western blot - Anti-SESN2/Sestrin-2 antibody [EPR18907] (ab178518) at 1/1000 dilution

Lane 1:

Wild-type HeLa cell lysate at 20 µg

Lane 2:

SESN2 knockout HeLa cell lysate at 20 µg

Lane 2:

Western blot - Human SESN2 (Sestrin-2) knockout HeLa cell line (<a href='/en-us/products/cell-lines/human-sesn2-sestrin-2-knockout-hela-cell-line-ab265669'>ab265669</a>)

Lane 3:

HeLa cell lysate at 20 µg

Secondary

All lanes:

Western blot - Goat anti-Rabbit IgG H&L (IRDye® 800CW) preadsorbed (<a href='/en-us/products/secondary-antibodies/goat-rabbit-igg-h-l-irdye-800cw-preadsorbed-ab216773'>ab216773</a>) at 1/10000 dilution

Predicted band size: 54 kDa

Observed band size: 54 kDa

false

Western blot - Anti-SESN2/Sestrin-2 antibody [EPR18907] (AB178518)
  • WB

CiteAb

Western blot - Anti-SESN2/Sestrin-2 antibody [EPR18907] (AB178518)

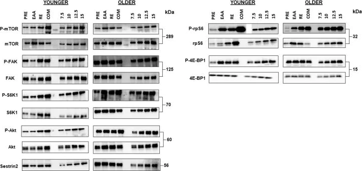
SESN2/Sestrin-2 western blot using anti-SESN2/Sestrin-2 antibody [EPR18907] ab178518. Publication image and figure legend from Lees, M. J., Wilson, O. J., et al., 2020, Nutrients, PubMed 32664648.

ab178518 was used in this publication in western blot. This may not be the same as the application(s) guaranteed by Abcam. For a full list of applications guaranteed by Abcam for ab178518 please see the product overview.

Representative blots for each total and phosphoprotein. Blots are in the following order : baseline, EAA, RE, and COM. The fifth lane is occupied by the protein ladder. To the right of the experimental blots, the loading controls (calibration curves) are shown (i.e., 7.5, 10, 12.5, and 15 µL of protein).

false

  • 665 Alexa Fluor® 647

    Alexa Fluor® 647 Anti-SESN2/Sestrin-2 antibody [EPR18907]

  • 578 PE

    PE Anti-SESN2/Sestrin-2 antibody [EPR18907]

  • Carrier free

    Anti-SESN2/Sestrin-2 antibody [EPR18907] - BSA and Azide free

Key facts

Host species

Rabbit

Clonality

Monoclonal

Clone number

EPR18907

Isotype

IgG

Carrier free

No

Reacts with

Mouse, Rat, Human

Applications

IP, Flow Cyt (Intra), WB, ICC/IF

applications

Immunogen

The exact immunogen used to generate this antibody is proprietary information.

Reactivity data

{ "title": "Reactivity Data", "filters": { "stats": ["", "Species", "Dilution Info", "Notes"], "tabs": { "all-applications": {"fullname" : "All Applications", "shortname": "All Applications"}, "IP" : {"fullname" : "Immunoprecipitation", "shortname":"IP"}, "WB" : {"fullname" : "Western blot", "shortname":"WB"}, "ICCIF" : {"fullname" : "Immunocytochemistry/ Immunofluorescence", "shortname":"ICC/IF"}, "FlowCytIntra" : {"fullname" : "Flow Cytometry (Intracellular)", "shortname":"Flow Cyt (Intra)"} }, "product-promise": { "all": "all", "testedAndGuaranteed": "tested", "guaranteed": "expected", "predicted": "predicted", "notRecommended": "not-recommended" } }, "values": { "Human": { "IP-species-checked": "testedAndGuaranteed", "IP-species-dilution-info": "1/30", "IP-species-notes": "<p></p>", "WB-species-checked": "testedAndGuaranteed", "WB-species-dilution-info": "1/1000", "WB-species-notes": "<p></p>", "ICCIF-species-checked": "testedAndGuaranteed", "ICCIF-species-dilution-info": "1/100", "ICCIF-species-notes": "<p>ICC/IF is recommended for human and rat only.</p>", "FlowCytIntra-species-checked": "testedAndGuaranteed", "FlowCytIntra-species-dilution-info": "1/60", "FlowCytIntra-species-notes": "<p></p>" }, "Mouse": { "IP-species-checked": "guaranteed", "IP-species-dilution-info": "", "IP-species-notes": "", "WB-species-checked": "testedAndGuaranteed", "WB-species-dilution-info": "1/1000", "WB-species-notes": "<p></p>", "ICCIF-species-checked": "guaranteed", "ICCIF-species-dilution-info": "", "ICCIF-species-notes": "", "FlowCytIntra-species-checked": "testedAndGuaranteed", "FlowCytIntra-species-dilution-info": "1/60", "FlowCytIntra-species-notes": "<p></p>" }, "Rat": { "IP-species-checked": "guaranteed", "IP-species-dilution-info": "", "IP-species-notes": "", "WB-species-checked": "testedAndGuaranteed", "WB-species-dilution-info": "1/1000", "WB-species-notes": "<p></p>", "ICCIF-species-checked": "guaranteed", "ICCIF-species-dilution-info": "", "ICCIF-species-notes": "", "FlowCytIntra-species-checked": "guaranteed", "FlowCytIntra-species-dilution-info": "", "FlowCytIntra-species-notes": "" } } }

Product details

What is this antibody validated in?
Anti-SESN2/Sestrin-2 antibody [EPR18907] (ab178518) is a rabbit recombinant monoclonal antibody and is validated for use in Western Blot (WB), Flow Cytometry (Intra), Flow Cytometry (Flow Cyt), Immunoprecipitation (IP), Immunocytochemistry/immunofluorescence (ICC/IF) in Human, Mouse, Rat samples.

What is the molecular weight of SESN2/Sestrin-2?
Anti-SESN2/Sestrin-2 [EPR18907] (ab178518) specifically detects a band for SESN2/Sestrin-2 (UniProt: P58004) at a molecular weight of 54kDa.

Trusted by the scientific community
Anti-SESN2/Sestrin-2 [EPR18907] (ab178518) was first used in a scientific publication in 2016 and has been cited over 20 times in peer-reviewed journals.

Trial sizes available!
Test your antibody or perform pre-screening before committing to a larger quantity. Sold in 10µl. Discover our selection of trial-size antibodies.

Specificity confirmed
The specificity of Anti-SESN2/Sestrin-2 antibody [EPR18907] (ab178518) has been confirmed by Western blot testing in SESN2 Knockout HeLa cell line, ab269486.

Other related products
We have a range of other formats of antibody clone [EPR18907] also available for your convenience: ab178518, Alexa Fluor® 647 - ab225258, PE - ab225259, Carrier free - ab236025

Patented technology
Our RabMAb® technology is a patented hybridoma-based technology for making rabbit monoclonal antibodies. For details on our patents, please refer to RabMAb® patents.

What are the advantages of a recombinant monoclonal antibody?
This product is a recombinant monoclonal antibody, which offers several advantages including:

  • - High batch-to-batch consistency and reproducibility
  • - Improved sensitivity and specificity
  • - Long-term security of supply
  • - Animal-free batch production

For more information, read more on recombinant antibodies.

Properties and storage information

Form
Liquid
Purification technique
Affinity purification Protein A
Storage buffer
Preservative: 0.01% Sodium azide Constituents: PBS, 40% Glycerol (glycerin, glycerine), 0.05% BSA
Shipped at conditions
Blue Ice
Appropriate short-term storage duration
1-2 weeks
Appropriate short-term storage conditions
+4°C
Appropriate long-term storage conditions
-20°C
Aliquoting information
Upon delivery aliquot
Storage information
Avoid freeze / thaw cycle

Supplementary information

This supplementary information is collated from multiple sources and compiled automatically.

SESN2 also known as Sestrin-2 or Hi95 is a stress-inducible protein that plays a role in cellular responses to oxidative stress. It has a molecular mass of approximately 60 kDa and is expressed in various tissues including the liver heart and muscle. Sestrin-2 acts as an antioxidant protein that helps reduce reactive oxygen species (ROS) and maintains cellular redox balance. It contains domains that directly interact with target proteins to regulate cellular activity enabling cells to respond efficiently to stress signals.
Biological function summary

Sestrin-2 regulates cell survival and homeostasis during oxidative stress conditions. It modulates the activity of key signaling pathways that control autophagy and cell growth. Sestrin-2 does not function alone but interacts with other proteins to form functional complexes. This allows it to fine-tune cellular processes and contributes to its role in promoting cell repair mechanisms. Its induction during stress conditions demonstrates its engagement in promoting cellular adaptation and resistance to damage.

Pathways

Sestrin-2 engages in signaling networks such as the AMPK and mTOR pathways. Its interaction with AMP-activated protein kinase (AMPK) triggers energy homeostasis and metabolic stress responses. It also negatively regulates the mammalian target of rapamycin (mTOR) to support autophagy and inhibit cell growth when necessary. Sestrin-2 therefore plays an important role in coordinating responses between these pathways ensuring optimal cellular function during periods of environmental stress or nutrient deprivation.

SESN2 is implicated in conditions related to oxidative stress and metabolic dysregulation such as cancer and type 2 diabetes. Its involvement in cancer is connected to its regulatory role on the mTOR pathway often overactive in tumor growth. The protein's modulation of AMPK-mTOR signaling can impact cancer cell survival and response to treatment. Additionally in diabetes Sestrin-2 plays a part in maintaining insulin sensitivity and glucose metabolism often disrupted in diabetic patients. Its ability to regulate oxidative stress and cellular metabolism draws a link between Sestrin-2 and these complex disorders emphasizing its potential as a therapeutic target.

Product protocols

For this product, it's our understanding that no specific protocols are required. You can visit:

Target data

Functions as an intracellular leucine sensor that negatively regulates the mTORC1 signaling pathway through the GATOR complex (PubMed : 18692468, PubMed : 25263562, PubMed : 25457612, PubMed : 26449471, PubMed : 26586190, PubMed : 26612684, PubMed : 31586034, PubMed : 35114100, PubMed : 35831510, PubMed : 36528027). In absence of leucine, binds the GATOR subcomplex GATOR2 and prevents mTORC1 signaling (PubMed : 18692468, PubMed : 25263562, PubMed : 25457612, PubMed : 26449471, PubMed : 26586190, PubMed : 26612684, PubMed : 31586034, PubMed : 35114100, PubMed : 35831510, PubMed : 36528027). Binding of leucine to SESN2 disrupts its interaction with GATOR2 thereby activating the TORC1 signaling pathway (PubMed : 26449471, PubMed : 26586190, PubMed : 35114100, PubMed : 35831510, PubMed : 36528027). This stress-inducible metabolic regulator also plays a role in protection against oxidative and genotoxic stresses. May negatively regulate protein translation in response to endoplasmic reticulum stress, via mTORC1 (PubMed : 24947615). May positively regulate the transcription by NFE2L2 of genes involved in the response to oxidative stress by facilitating the SQSTM1-mediated autophagic degradation of KEAP1 (PubMed : 23274085). May also mediate TP53 inhibition of TORC1 signaling upon genotoxic stress (PubMed : 18692468). Moreover, may prevent the accumulation of reactive oxygen species (ROS) through the alkylhydroperoxide reductase activity born by the N-terminal domain of the protein (PubMed : 26612684). Was originally reported to contribute to oxidative stress resistance by reducing PRDX1 (PubMed : 15105503). However, this could not be confirmed (PubMed : 19113821).
See full target information SESN2

Publications (28)

Recent publications for all applications. Explore the full list and refine your search

Cell division 20:20 PubMed40751214

2025

SMAD3 orchestrates RNF167 and STAMBPL1-mediated Sestrin2 ubiquitination to drive gastric cancer progression.

Applications

Unspecified application

Species

Unspecified reactive species

Ning Zhang,Na Zhao,Hainan Zhang,Le Yao,Hongtao Si

iScience 28:112972 PubMed40686605

2025

Artemisinin synergizes with CCCP in autophagic cell death induction via ER stress in uveal melanoma.

Applications

Unspecified application

Species

Unspecified reactive species

Minyue Xie,Xiang Gu,Zheng Zhao,Yu Hua,Qianru Wu,Yizhen Tang,Ai Zhuang,Shengfang Ge,Renbing Jia,Jie Yu,Jing Ruan,Xianqun Fan

Frontiers in genetics 15:1504114 PubMed39944356

2025

Based on bioinformatics, SESN2 negatively regulates ferroptosis induced by ischemia reperfusion via the System Xc-/GPX4 pathway.

Applications

Unspecified application

Species

Unspecified reactive species

Jiejie Hu,Lijun Qin,Guoqiang Zhu,Jingjing Ren,Hongxia Wang,Jing Jin,Haixue Zheng,Dan Li,Zhaoming Ge

Molecular biomedicine 5:31 PubMed39117956

2024

Inhibition of Sesn2 has negative regulatory effects on the myogenic differentiation of C2C12 myoblasts.

Applications

Unspecified application

Species

Unspecified reactive species

Zubiao Song,Qing Lin,Jiahui Liang,Weixi Zhang

Cell biochemistry and function 42:e4024 PubMed38666564

2024

The impact of sestrin2 on reactive oxygen species in diabetic retinopathy.

Applications

Unspecified application

Species

Unspecified reactive species

Xueli Yang,Xiaoli Wu

BMC cardiovascular disorders 23:571 PubMed37986153

2023

The promotion of sestrin2/AMPK signaling by HIF-1α overexpression enhances the damage caused by acute myocardial infarction.

Applications

Unspecified application

Species

Unspecified reactive species

Jie Wang,Honglei Du,Qing Sun,Weiping Wan,Haifeng Zhang

Journal of immunology research 2023:9439536 PubMed38023615

2023

Sestrin2 Regulates Endoplasmic Reticulum Stress-Dependent Ferroptosis to Engage Pulmonary Fibrosis by Nuclear Factor Erythroid 2-Related Factor 2/Activating Transcription Factor 4 (NRF2/ATF4).

Applications

Unspecified application

Species

Unspecified reactive species

Zhaoxing Dong,Ting Li,Cenli Wang,Yong Zhou,Zhongkai Tong,Xuekui Du

Cell 186:5068-5083.e23 PubMed37804830

2023

Arginine reprograms metabolism in liver cancer via RBM39.

Applications

Unspecified application

Species

Unspecified reactive species

Dirk Mossmann,Christoph Müller,Sujin Park,Brendan Ryback,Marco Colombi,Nathalie Ritter,Diana Weißenberger,Eva Dazert,Mairene Coto-Llerena,Sandro Nuciforo,Lauriane Blukacz,Caner Ercan,Veronica Jimenez,Salvatore Piscuoglio,Fatima Bosch,Luigi M Terracciano,Uwe Sauer,Markus H Heim,Michael N Hall

Cells 12: PubMed36980186

2023

Sestrin2 Mediates Metformin Rescued the Age-Related Cardiac Dysfunctions of Cardiorenal Syndrome Type 3.

Applications

Unspecified application

Species

Unspecified reactive species

Migdalia Iglesias,Hao Wang,Meredith Krause-Hauch,Di Ren,Linda Ines Zoungrana,Zehui Li,Jie Zhang,Jin Wei,Nikita Yadav,Kshama Patel,Mohammad Kasim Fatmi,Ruisheng Liu,Edward J Lesnefsky,Ji Li

Neoplasma 70:46-57 PubMed36620877

2023

Sestrin2 mediates FOXM1 expression to block the EMT process in non-small cell lung cancer through the AMPK/YAP pathway.

Applications

Unspecified application

Species

Unspecified reactive species

Yuan-Li Wang,Qi Wang,Hua Li,Cai-Chun Wang,Yan-Lin Ma,Zhong Han
View all publications

Product promise

We are committed to supporting your work with high-quality reagents, and we're here for you every step of the way. In the unlikely event that one of our products does not perform as expected, you're protected by our Product Promise.
For full details, please see our Terms & Conditions

Please note: All products are 'FOR RESEARCH USE ONLY. NOT FOR USE IN DIAGNOSTIC OR THERAPEUTIC PROCEDURES'.

For licensing inquiries, please contact partnerships@abcam.com