JavaScript is disabled in your browser. Please enable JavaScript to view this website.
AB92872

Anti-SET/TAF-I antibody

5

(3 Reviews)

|

(2 Publications)

Rabbit Polyclonal SET/TAF-I antibody. Suitable for IHC-P, IP, WB and reacts with Mouse, Human samples. Cited in 2 publications. Immunogen corresponding to Synthetic Peptide within Human SET aa 100-200.

View Alternative Names

Protein SET, HLA-DR-associated protein II, Inhibitor of granzyme A-activated DNase, PHAPII, Phosphatase 2A inhibitor I2PP2A, Template-activating factor I, IGAAD, I-2PP2A, TAF-I, SET

5 Images
Immunohistochemistry (Formalin/PFA-fixed paraffin-embedded sections) - Anti-SET/TAF-I antibody (AB92872)
  • IHC-P

Supplier Data

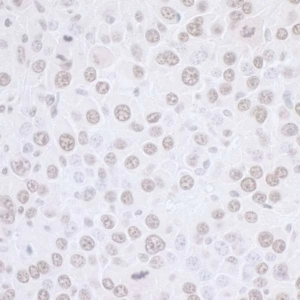
Immunohistochemistry (Formalin/PFA-fixed paraffin-embedded sections) - Anti-SET/TAF-I antibody (AB92872)

Immunohistochemical analysis of formalin-fixed, paraffin-embedded human ovarian carcinoma tissue, labeling SET/TAF-I with ab92872 at 1/1000 (0.2 μg/mL) dilution. Detection : DAB.

Immunoprecipitation - Anti-SET/TAF-I antibody (AB92872)
  • IP

Unknown

Immunoprecipitation - Anti-SET/TAF-I antibody (AB92872)

3μg ab92872 were used to immunoprecipitate SET/TAF-I from 1mg HeLa whole cell lysate. 20% IP was loaded and probed with ab92872 at 1μg/ml.

All lanes:

Immunoprecipitation - Anti-SET/TAF-I antibody (ab92872)

Predicted band size: 33 kDa

false

Immunohistochemistry (Formalin/PFA-fixed paraffin-embedded sections) - Anti-SET/TAF-I antibody (AB92872)
  • IHC-P

Supplier Data

Immunohistochemistry (Formalin/PFA-fixed paraffin-embedded sections) - Anti-SET/TAF-I antibody (AB92872)

Immunohistochemical analysis of formalin-fixed, paraffin-embedded mouse renal cell carcinoma tissue, labeling SET/TAF-I with ab92872 at 1/1000 (0.2 μg/mL) dilution. Detection : DAB.

Western blot - Anti-SET/TAF-I antibody (AB92872)
  • WB

Supplier Data

Western blot - Anti-SET/TAF-I antibody (AB92872)

Detection : Chemiluminescence.

Lysates prepared using NETN lysis buffer.

All lanes:

Western blot - Anti-SET/TAF-I antibody (ab92872) at 0.1 µg/mL

Lane 1:

HeLa whole cell lysate at 50 µg

Lane 2:

HEK293T whole cell lysate at 50 µg

Lane 3:

Mouse NIH3T3 whole cell lysate at 50 µg

Predicted band size: 33 kDa

false

Exposure time: 30s

Western blot - Anti-SET/TAF-I antibody (AB92872)
  • WB

AbReview18927****

Western blot - Anti-SET/TAF-I antibody (AB92872)

Blocking Step : 5% Milk for 30 minutes at room temperature.

ab92872 recognises both isoforms of human SET/TAF-I.

All lanes:

Western blot - Anti-SET/TAF-I antibody (ab92872) at 1/2000 dilution

All lanes:

Lysate of the soluble fraction of HeLa or U20S cells at 30 µg

Secondary

All lanes:

An HRP polymer Goat anti-rabbit IgG polyclonal at 1/10000 dilution

Predicted band size: 33 kDa

Observed band size: ~37 kDa,~40 kDa

true

Exposure time: 1min

This image is courtesy of an anonymous Abreview

Key facts

Host species

Rabbit

Clonality

Polyclonal

Isotype

IgG

Carrier free

No

Reacts with

Human, Mouse

Applications

IP, WB, IHC-P

applications

Immunogen

Synthetic Peptide within Human SET aa 100-200. The exact immunogen used to generate this antibody is proprietary information.

Q01105

Reactivity data

{ "title": "Reactivity Data", "filters": { "stats": ["", "Species", "Dilution Info", "Notes"], "tabs": { "all-applications": {"fullname" : "All Applications", "shortname": "All Applications"}, "IHCP" : {"fullname" : "Immunohistochemistry (Formalin/PFA-fixed paraffin-embedded sections)", "shortname":"IHC-P"}, "IP" : {"fullname" : "Immunoprecipitation", "shortname":"IP"}, "WB" : {"fullname" : "Western blot", "shortname":"WB"} }, "product-promise": { "all": "all", "testedAndGuaranteed": "tested", "guaranteed": "expected", "predicted": "predicted", "notRecommended": "not-recommended" } }, "values": { "Human": { "IHCP-species-checked": "testedAndGuaranteed", "IHCP-species-dilution-info": "1/1000", "IHCP-species-notes": "<p></p> Perform heat-mediated antigen retrieval with citrate buffer pH 6 before commencing with IHC staining protocol.", "IP-species-checked": "testedAndGuaranteed", "IP-species-dilution-info": "3-5 µg/mg of lysate", "IP-species-notes": "<p></p>", "WB-species-checked": "testedAndGuaranteed", "WB-species-dilution-info": "0.1 µg/mL", "WB-species-notes": "<p></p>" }, "Mouse": { "IHCP-species-checked": "testedAndGuaranteed", "IHCP-species-dilution-info": "1/1000", "IHCP-species-notes": "<p></p> Perform heat-mediated antigen retrieval with citrate buffer pH 6 before commencing with IHC staining protocol.", "IP-species-checked": "guaranteed", "IP-species-dilution-info": "", "IP-species-notes": "", "WB-species-checked": "testedAndGuaranteed", "WB-species-dilution-info": "0.1 µg/mL", "WB-species-notes": "<p></p>" }, "Rat": { "IHCP-species-checked": "predicted", "IHCP-species-dilution-info": "", "IHCP-species-notes": "", "IP-species-checked": "predicted", "IP-species-dilution-info": "", "IP-species-notes": "", "WB-species-checked": "predicted", "WB-species-dilution-info": "", "WB-species-notes": "" } } }

Properties and storage information

Form
Liquid
Purification technique
Affinity purification Immunogen
Storage buffer
pH: 6.8 - 7.4 Preservative: 0.09% Sodium azide Constituents: Tris buffered saline, 0.1% BSA
Shipped at conditions
Blue Ice
Appropriate short-term storage conditions
+4°C
Appropriate long-term storage conditions
+4°C
Aliquoting information
Upon delivery aliquot
Storage information
Avoid freeze / thaw cycle|Do Not Freeze

Supplementary information

This supplementary information is collated from multiple sources and compiled automatically.

SET/TAF-I also known as Inhibitor of Protein Phosphatase 2A (I2PP2A) is a multifunctional protein with an approximate mass of 39 kDa. It is ubiquitously expressed in various human tissues including the brain liver and testis. SET/TAF-I plays a role in chromatin remodeling and gene transcription regulation by inhibiting protein phosphatase 2A (PP2A) activity. The protein interacts with nucleosome assembly and in chromatin sliding affecting the overall structure and function of chromosomal material.
Biological function summary

In the context of cellular processes SET/TAF-I functions as a histone chaperone and is a part of the nucleosome assembly complex. This protein is involved in nucleosome disassembly and assembly during DNA replication and repair and it modulates transcriptional access for various transcription factors. It regulates the acetylation of histones influencing gene expression levels. The SET/TAF-I also participates in apoptosis and autophagy demonstrating its versatility in cellular control mechanisms.

Pathways

Studies show that SET/TAF-I engages in the MAPK/ERK signaling pathway which is critical for cell cycle progression and proliferation. It is linked with other proteins such as HMGN proteins and histone deacetylases playing a substantial role in chromatin dynamics and genomic stability. Furthermore SET/TAF-I is central to the signaling pathway that maintains normal cellular functions and responds to stress signals like oxidative stress demonstrating its importance in normal cell regulation.

Abnormalities in SET/TAF-I levels link to Alzheimer's disease and acute myeloid leukemia. In Alzheimer's the protein accumulation leads to tau hyperphosphorylation an important feature of neurodegeneration influencing PP2A's role in phosphatase activity. In acute myeloid leukemia SET/TAF-I dysregulation results in altered cell proliferation and survival signaling implicating proteins like BCL-2 and downstream apoptotic regulators. This demonstrates the protein's involvement in both neurological disorders and malignancies highlighting its broader clinical significance.

Product protocols

For this product, it's our understanding that no specific protocols are required. You can visit:

Target data

Multitasking protein, involved in apoptosis, transcription, nucleosome assembly and histone chaperoning. Isoform 2 anti-apoptotic activity is mediated by inhibition of the GZMA-activated DNase, NME1. In the course of cytotoxic T-lymphocyte (CTL)-induced apoptosis, GZMA cleaves SET, disrupting its binding to NME1 and releasing NME1 inhibition. Isoform 1 and isoform 2 are potent inhibitors of protein phosphatase 2A. Isoform 1 and isoform 2 inhibit EP300/CREBBP and PCAF-mediated acetylation of histones (HAT) and nucleosomes, most probably by masking the accessibility of lysines of histones to the acetylases. The predominant target for inhibition is histone H4. HAT inhibition leads to silencing of HAT-dependent transcription and prevents active demethylation of DNA. Both isoforms stimulate DNA replication of the adenovirus genome complexed with viral core proteins; however, isoform 2 specific activity is higher.
See full target information SET

Publications (2)

Recent publications for all applications. Explore the full list and refine your search

Cell death discovery 7:13 PubMed33454721

2021

22(R)-hydroxycholesterol for dopaminergic neuronal specification of MSCs and amelioration of Parkinsonian symptoms in rats.

Applications

Unspecified application

Species

Unspecified reactive species

Manisha Singh,Manish Jain,Samrat Bose,Ashutosh Halder,Tapas Chandra Nag,Amit Kumar Dinda,Sujata Mohanty

Molecular medicine reports 13:4329-34 PubMed27035430

2016

Construction of SET overexpression vector and its effects on the proliferation and apoptosis of 293T cells.

Applications

Unspecified application

Species

Unspecified reactive species

Yuan Wang,Peng-Cheng He,Yan-Feng Liu,Jun Qi,Mei Zhang
View all publications

Product promise

We are committed to supporting your work with high-quality reagents, and we're here for you every step of the way. In the unlikely event that one of our products does not perform as expected, you're protected by our Product Promise.
For full details, please see our Terms & Conditions

Please note: All products are 'FOR RESEARCH USE ONLY. NOT FOR USE IN DIAGNOSTIC OR THERAPEUTIC PROCEDURES'.

For licensing inquiries, please contact partnerships@abcam.com