JavaScript is disabled in your browser. Please enable JavaScript to view this website.
AB181990

Anti-SET/TAF-I antibody [EPR12973]

5

(2 Reviews)

|

(11 Publications)

Rabbit Recombinant Monoclonal SET/TAF-I antibody. Suitable for IP, WB, ICC/IF, Flow Cyt (Intra), IHC-P and reacts with Human, Rat samples. Cited in 11 publications.

View Alternative Names

Protein SET, HLA-DR-associated protein II, Inhibitor of granzyme A-activated DNase, PHAPII, Phosphatase 2A inhibitor I2PP2A, Template-activating factor I, IGAAD, I-2PP2A, TAF-I, SET

7 Images
Immunocytochemistry/ Immunofluorescence - Anti-SET/TAF-I antibody [EPR12973] (AB181990)
  • ICC/IF

Unknown

Immunocytochemistry/ Immunofluorescence - Anti-SET/TAF-I antibody [EPR12973] (AB181990)

Immunocytochemistry/Immunofluorescence analysis of HeLa (Human epithelial cell line from cervix adenocarcinoma) labeling SET/TAF-I with Purified ab181990 at 1/500 dilution (5 μg/ml). Cells were fixed with 4% PFA and permeabilized with 0.1% tritonX-100. ab150077 Goat anti rabbit IgG(Alexa Fluor® 488) at 1/1000 dilution was used as the secondary antibody. Nuclei were counterstained with DAPI. PBS was used instead of the primary antibody as the negative control.

Flow Cytometry (Intracellular) - Anti-SET/TAF-I antibody [EPR12973] (AB181990)
  • Flow Cyt (Intra)

Supplier Data

Flow Cytometry (Intracellular) - Anti-SET/TAF-I antibody [EPR12973] (AB181990)

Intracellular flow cytometric analysis of 2% paraformaldehyde-fixed Hela cells labeling SET/TAF-I using ab181990at a 1/10 dilution, or a rabbit monoclonal IgG isotype control. Secondary antibody used was goat anti rabbit IgG (FITC) at a 1/150 dilution.

Immunocytochemistry/ Immunofluorescence - Anti-SET/TAF-I antibody [EPR12973] (AB181990)
  • ICC/IF

Supplier Data

Immunocytochemistry/ Immunofluorescence - Anti-SET/TAF-I antibody [EPR12973] (AB181990)

Immunofluorescent analysis of 4% paraformaldehyde fixed HepG2 cell line staining SET/TAF-I using ab181990 at 1/1000 dilution. A Dylight 555 conjugated Goat anti rabbit IgG at 1/200 dilution was used for secondary antibody detection. Counter stain : Dapi.

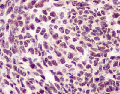
Immunohistochemistry (Formalin/PFA-fixed paraffin-embedded sections) - Anti-SET/TAF-I antibody [EPR12973] (AB181990)
  • IHC-P

Supplier Data

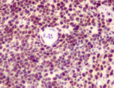
Immunohistochemistry (Formalin/PFA-fixed paraffin-embedded sections) - Anti-SET/TAF-I antibody [EPR12973] (AB181990)

Immunohistochemical analysis of paraffin-embedded Human nephroblastoma tissue labeling SET/TAF-I with ab181990 at a 1/250 dilution. Prediluted (ready to use) HRP Polymer for Rabbit IgG was used as a secondary antibody. Counter stain : Hematoxylin

Perform heat mediated antigen retrieval with EDTA buffer pH 9 before commencing with IHC staining protocol.

Immunoprecipitation - Anti-SET/TAF-I antibody [EPR12973] (AB181990)
  • IP

Supplier Data

Immunoprecipitation - Anti-SET/TAF-I antibody [EPR12973] (AB181990)

Immunoprecipitation of Jurkat cell lysate labeling SET/TAF-I using ab181990 at a 1/30 dilution (lane 1). A goat anti-rabbit IgG, (H+L), peroxidase conjugated secondary antibody was used at a dilution of 1/1000. Blocking/dilution buffer and concentration : 5% NFDM/TBST.

All lanes:

Immunoprecipitation - Anti-SET/TAF-I antibody [EPR12973] (ab181990)

Predicted band size: 33 kDa

false

Immunohistochemistry (Formalin/PFA-fixed paraffin-embedded sections) - Anti-SET/TAF-I antibody [EPR12973] (AB181990)
  • IHC-P

Supplier Data

Immunohistochemistry (Formalin/PFA-fixed paraffin-embedded sections) - Anti-SET/TAF-I antibody [EPR12973] (AB181990)

Immunohistochemical analysis of paraffin-embedded rat spleen tissue labeling SET/TAF-I with ab181990 at a 1/250 dilution. Prediluted (ready to use) HRP Polymer for Rabbit IgG was used as a secondary antibody. Counter stain : Hematoxylin

Perform heat mediated antigen retrieval with EDTA buffer pH 9 before commencing with IHC staining protocol.

Western blot - Anti-SET/TAF-I antibody [EPR12973] (AB181990)
  • WB

Supplier Data

Western blot - Anti-SET/TAF-I antibody [EPR12973] (AB181990)

Blocking/dilution buffer and concentration : 5% NFDM/TBST

All lanes:

Western blot - Anti-SET/TAF-I antibody [EPR12973] (ab181990) at 1/100000 dilution

Lane 1:

Jurkat cell lysate at 20 µg

Lane 2:

293T cell lysate at 20 µg

Lane 3:

Hela cell lysate at 20 µg

Lane 4:

HepG2 cell lysate at 20 µg

Secondary

All lanes:

Goat Anti-Rabbit IgG, (H+L), Peroxidase conjugated at 1/1000 dilution

Predicted band size: 33 kDa

false

  • 665 Alexa Fluor® 647

    Alexa Fluor® 647 Anti-SET/TAF-I antibody [EPR12973]

  • 578 PE

    PE Anti-SET/TAF-I antibody [EPR12973]

  • Carrier free

    Anti-SET/TAF-I antibody [EPR12973] - BSA and Azide free

  • 617 Alexa Fluor® 594

    Alexa Fluor® 594 Anti-SET/TAF-I antibody [EPR12973]

  • 660 APC

    APC Anti-SET/TAF-I antibody [EPR12973]

  • 565 Alexa Fluor® 555

    Alexa Fluor® 555 Anti-SET/TAF-I antibody [EPR12973]

  • 775 Alexa Fluor® 750

    Alexa Fluor® 750 Anti-SET/TAF-I antibody [EPR12973]

Key facts

Host species

Rabbit

Clonality

Monoclonal

Clone number

EPR12973

Isotype

IgG

Carrier free

No

Reacts with

Rat, Human

Applications

IHC-P, Flow Cyt (Intra), IP, WB, ICC/IF

applications

Immunogen

The exact immunogen used to generate this antibody is proprietary information.

Reactivity data

{ "title": "Reactivity Data", "filters": { "stats": ["", "Species", "Dilution Info", "Notes"], "tabs": { "all-applications": {"fullname" : "All Applications", "shortname": "All Applications"}, "IP" : {"fullname" : "Immunoprecipitation", "shortname":"IP"}, "WB" : {"fullname" : "Western blot", "shortname":"WB"}, "ICCIF" : {"fullname" : "Immunocytochemistry/ Immunofluorescence", "shortname":"ICC/IF"}, "FlowCytIntra" : {"fullname" : "Flow Cytometry (Intracellular)", "shortname":"Flow Cyt (Intra)"}, "IHCP" : {"fullname" : "Immunohistochemistry (Formalin/PFA-fixed paraffin-embedded sections)", "shortname":"IHC-P"} }, "product-promise": { "all": "all", "testedAndGuaranteed": "tested", "guaranteed": "expected", "predicted": "predicted", "notRecommended": "not-recommended" } }, "values": { "Human": { "IP-species-checked": "testedAndGuaranteed", "IP-species-dilution-info": "1/30", "IP-species-notes": "<p></p>", "WB-species-checked": "testedAndGuaranteed", "WB-species-dilution-info": "1/10000 - 1/100000", "WB-species-notes": "<p></p>", "ICCIF-species-checked": "testedAndGuaranteed", "ICCIF-species-dilution-info": "1/1000", "ICCIF-species-notes": "<p></p>", "FlowCytIntra-species-checked": "testedAndGuaranteed", "FlowCytIntra-species-dilution-info": "1/10", "FlowCytIntra-species-notes": "<p><a href='/en-us/products/primary-antibodies/rabbit-igg-monoclonal-epr25a-isotype-control-ab172730'>ab172730</a> - Rabbit monoclonal IgG, is suitable for use as an isotype control with this antibody.</p>", "IHCP-species-checked": "testedAndGuaranteed", "IHCP-species-dilution-info": "1/250", "IHCP-species-notes": "<p></p>" }, "Mouse": { "IP-species-checked": "predicted", "IP-species-dilution-info": "", "IP-species-notes": "", "WB-species-checked": "predicted", "WB-species-dilution-info": "", "WB-species-notes": "", "ICCIF-species-checked": "predicted", "ICCIF-species-dilution-info": "", "ICCIF-species-notes": "", "FlowCytIntra-species-checked": "predicted", "FlowCytIntra-species-dilution-info": "", "FlowCytIntra-species-notes": "", "IHCP-species-checked": "predicted", "IHCP-species-dilution-info": "", "IHCP-species-notes": "" }, "Rat": { "IP-species-checked": "guaranteed", "IP-species-dilution-info": "", "IP-species-notes": "", "WB-species-checked": "guaranteed", "WB-species-dilution-info": "", "WB-species-notes": "", "ICCIF-species-checked": "guaranteed", "ICCIF-species-dilution-info": "", "ICCIF-species-notes": "", "FlowCytIntra-species-checked": "guaranteed", "FlowCytIntra-species-dilution-info": "", "FlowCytIntra-species-notes": "", "IHCP-species-checked": "testedAndGuaranteed", "IHCP-species-dilution-info": "1/250", "IHCP-species-notes": "<p></p>" } } }

Product details

Patented technology
Our RabMAb® technology is a patented hybridoma-based technology for making rabbit monoclonal antibodies. For details on our patents, please refer to RabMAb® patents.

What are the advantages of a recombinant monoclonal antibody?
This product is a recombinant monoclonal antibody, which offers several advantages including:

  • - High batch-to-batch consistency and reproducibility
  • - Improved sensitivity and specificity
  • - Long-term security of supply
  • - Animal-free batch production

For more information, read more on recombinant antibodies.

Properties and storage information

Form
Liquid
Purification technique
Affinity purification Protein A
Storage buffer
Preservative: 0.01% Sodium azide Constituents: PBS, 40% Glycerol (glycerin, glycerine), 0.05% BSA
Shipped at conditions
Blue Ice
Appropriate short-term storage duration
1-2 weeks
Appropriate short-term storage conditions
+4°C
Appropriate long-term storage conditions
-20°C
Aliquoting information
Upon delivery aliquot
Storage information
Avoid freeze / thaw cycle

Supplementary information

This supplementary information is collated from multiple sources and compiled automatically.

SET/TAF-I also known as Inhibitor of Protein Phosphatase 2A (I2PP2A) is a multifunctional protein with an approximate mass of 39 kDa. It is ubiquitously expressed in various human tissues including the brain liver and testis. SET/TAF-I plays a role in chromatin remodeling and gene transcription regulation by inhibiting protein phosphatase 2A (PP2A) activity. The protein interacts with nucleosome assembly and in chromatin sliding affecting the overall structure and function of chromosomal material.
Biological function summary

In the context of cellular processes SET/TAF-I functions as a histone chaperone and is a part of the nucleosome assembly complex. This protein is involved in nucleosome disassembly and assembly during DNA replication and repair and it modulates transcriptional access for various transcription factors. It regulates the acetylation of histones influencing gene expression levels. The SET/TAF-I also participates in apoptosis and autophagy demonstrating its versatility in cellular control mechanisms.

Pathways

Studies show that SET/TAF-I engages in the MAPK/ERK signaling pathway which is critical for cell cycle progression and proliferation. It is linked with other proteins such as HMGN proteins and histone deacetylases playing a substantial role in chromatin dynamics and genomic stability. Furthermore SET/TAF-I is central to the signaling pathway that maintains normal cellular functions and responds to stress signals like oxidative stress demonstrating its importance in normal cell regulation.

Abnormalities in SET/TAF-I levels link to Alzheimer's disease and acute myeloid leukemia. In Alzheimer's the protein accumulation leads to tau hyperphosphorylation an important feature of neurodegeneration influencing PP2A's role in phosphatase activity. In acute myeloid leukemia SET/TAF-I dysregulation results in altered cell proliferation and survival signaling implicating proteins like BCL-2 and downstream apoptotic regulators. This demonstrates the protein's involvement in both neurological disorders and malignancies highlighting its broader clinical significance.

Product protocols

For this product, it's our understanding that no specific protocols are required. You can visit:

Target data

Multitasking protein, involved in apoptosis, transcription, nucleosome assembly and histone chaperoning. Isoform 2 anti-apoptotic activity is mediated by inhibition of the GZMA-activated DNase, NME1. In the course of cytotoxic T-lymphocyte (CTL)-induced apoptosis, GZMA cleaves SET, disrupting its binding to NME1 and releasing NME1 inhibition. Isoform 1 and isoform 2 are potent inhibitors of protein phosphatase 2A. Isoform 1 and isoform 2 inhibit EP300/CREBBP and PCAF-mediated acetylation of histones (HAT) and nucleosomes, most probably by masking the accessibility of lysines of histones to the acetylases. The predominant target for inhibition is histone H4. HAT inhibition leads to silencing of HAT-dependent transcription and prevents active demethylation of DNA. Both isoforms stimulate DNA replication of the adenovirus genome complexed with viral core proteins; however, isoform 2 specific activity is higher.
See full target information SET

Publications (11)

Recent publications for all applications. Explore the full list and refine your search

Journal of virology 99:e0146224 PubMed39745448

2025

Post-translational modifications on protein VII are important during the early stages of adenovirus infection.

Applications

Unspecified application

Species

Unspecified reactive species

Edward A Arnold,Julian R Smith,Katie Leung,Daniel H Nguyen,Laurel E Kelnhofer-Millevolte,Monica S Guo,Jason G Smith,Daphne C Avgousti

Nucleic acids research 50:6687-6701 PubMed35713529

2022

Genome-wide CRISPR/Cas9 transcriptional activation screen identifies a histone acetyltransferase inhibitor complex as a regulator of HIV-1 integration.

Applications

Unspecified application

Species

Unspecified reactive species

Qiong Zhang,Shaobo Wang,Wanyu Li,Edwin Yau,Hui Hui,Parmit Kumar Singh,Vasudevan Achuthan,Maile Ann Young Karris,Alan N Engelman,Tariq M Rana

Nature communications 12:7297 PubMed34911954

2021

Protein phosphatase 2A inactivation induces microsatellite instability, neoantigen production and immune response.

Applications

Unspecified application

Species

Unspecified reactive species

Yu-Ting Yen,May Chien,Pei-Yi Wu,Chi-Chang Ho,Chun-Te Ho,Kevin Chih-Yang Huang,Shu-Fen Chiang,K S Clifford Chao,William Tzu-Liang Chen,Shih-Chieh Hung

Molecular cell 81:2944-2959.e10 PubMed34166609

2021

Nascent RNA antagonizes the interaction of a set of regulatory proteins with chromatin.

Applications

Unspecified application

Species

Unspecified reactive species

Lenka Skalska,Victoria Begley,Manuel Beltran,Saulius Lukauskas,Garima Khandelwal,Peter Faull,Amandeep Bhamra,Manuel Tavares,Rachel Wellman,Andrey Tvardovskiy,Benjamin M Foster,Igor Ruiz de Los Mozos,Javier Herrero,Silvia Surinova,Ambrosius P Snijders,Till Bartke,Richard G Jenner

Nature communications 12:3497 PubMed34108453

2021

Site-specific ubiquitylation acts as a regulator of linker histone H1.

Applications

Unspecified application

Species

Unspecified reactive species

Eva Höllmüller,Simon Geigges,Marie L Niedermeier,Kai-Michael Kammer,Simon M Kienle,Daniel Rösner,Martin Scheffner,Andreas Marx,Florian Stengel

Journal of cell science 133: PubMed32184266

2020

Histone H1 eviction by the histone chaperone SET reduces cell survival following DNA damage.

Applications

Unspecified application

Species

Unspecified reactive species

Imke K Mandemaker,Di Zhou,Serena T Bruens,Dick H Dekkers,Pernette J Verschure,Raghu R Edupuganti,Eran Meshorer,Jeroen A A Demmers,Jurgen A Marteijn

Experimental and therapeutic medicine 18:3801-3808 PubMed31611934

2019

TAF-Iβ deficiency inhibits proliferation and promotes apoptosis by rescuing PP2A and inhibiting the AKT/GSK-3β pathway in leukemic cells.

Applications

Unspecified application

Species

Unspecified reactive species

Yanfeng Liu,Yan Jia,Xiao Fu,Pengcheng He

Chemosphere 231:151-160 PubMed31129395

2019

A pilot study on polycystic ovarian syndrome caused by neonatal exposure to tributyltin and bisphenol A in rats.

Applications

Unspecified application

Species

Unspecified reactive species

Zhibing Yang,Junxia Shi,Zhizhun Guo,Mingyue Chen,Chonggang Wang,Chengyong He,Zhenghong Zuo

Cell 175:1492-1506.e19 PubMed30449617

2018

A Membraneless Organelle Associated with the Endoplasmic Reticulum Enables 3'UTR-Mediated Protein-Protein Interactions.

Applications

Unspecified application

Species

Unspecified reactive species

Weirui Ma,Christine Mayr

International journal of molecular medicine 40:1869-1880 PubMed29039441

2017

Rivaroxaban attenuates thrombosis by targeting the NF-κB signaling pathway in a rat model of deep venous thrombus.

Applications

Unspecified application

Species

Unspecified reactive species

Junhao Ma,Xinxi Li,Yang Wang,Zhenwei Yang,Jun Luo
View all publications

Product promise

We are committed to supporting your work with high-quality reagents, and we're here for you every step of the way. In the unlikely event that one of our products does not perform as expected, you're protected by our Product Promise.
For full details, please see our Terms & Conditions

Please note: All products are 'FOR RESEARCH USE ONLY. NOT FOR USE IN DIAGNOSTIC OR THERAPEUTIC PROCEDURES'.

For licensing inquiries, please contact partnerships@abcam.com