JavaScript is disabled in your browser. Please enable JavaScript to view this website.
AB251371

Anti-SET5 antibody [EPR20102] - BSA and Azide free

Be the first to review this product! Submit a review

|

(1 Publication)

Rabbit Recombinant Monoclonal SET5 antibody. Carrier free. Suitable for WB and reacts with Saccharomyces cerevisiae samples. Cited in 1 publication.

View Alternative Names

YHR207C, SET5, Histone-lysine N-methyltransferase SET5, SET domain-containing protein 5

2 Images
Western blot - Anti-SET5 antibody [EPR20102] - BSA and Azide free (AB251371)
  • WB

Supplier Data

Western blot - Anti-SET5 antibody [EPR20102] - BSA and Azide free (AB251371)

This data was developed using ab202437, the same antibody clone in a different buffer formulation.

Blocking and dilution buffer : 5% NFDM/TBST.

All lanes:

Western blot - Anti-SET5 antibody [EPR20102] (<a href='/en-us/products/primary-antibodies/set5-antibody-epr20102-ab202437'>ab202437</a>) at 1/5000 dilution

All lanes:

Saccharomyces cerevisiae whole cell lysate at 10 µg

Secondary

All lanes:

Western blot - Goat Anti-Rabbit IgG H&L (HRP) (<a href='/en-us/products/secondary-antibodies/goat-rabbit-igg-h-l-hrp-ab97051'>ab97051</a>) at 1/100000 dilution

Predicted band size: 61 kDa

Observed band size: 61 kDa

true

Exposure time: 3s

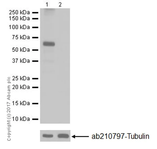
Western blot - Anti-SET5 antibody [EPR20102] - BSA and Azide free (AB251371)
  • WB

Supplier Data

Western blot - Anti-SET5 antibody [EPR20102] - BSA and Azide free (AB251371)

This data was developed using ab202437, the same antibody clone in a different buffer formulation.

Blocking and dilution buffer : 5% NFDM/TBST.

Set5 KO strain (Y02901) was purchased from Euroscarf.

All lanes:

Western blot - Anti-SET5 antibody [EPR20102] (<a href='/en-us/products/primary-antibodies/set5-antibody-epr20102-ab202437'>ab202437</a>) at 1/5000 dilution

Lane 1:

Saccharomyces cerevisiae (WT) whole cell lysate at 10 µg

Lane 2:

Saccharomyces cerevisiae (SET5 KO) whole cell lysate at 10 µg

Secondary

All lanes:

Western blot - Goat Anti-Rabbit IgG H&L (HRP) (<a href='/en-us/products/secondary-antibodies/goat-rabbit-igg-h-l-hrp-ab97051'>ab97051</a>) at 1/100000 dilution

Predicted band size: 61 kDa

Observed band size: 61 kDa

true

Exposure time: 30s

Key facts

Host species

Rabbit

Clonality

Monoclonal

Clone number

EPR20102

Isotype

IgG

Carrier free

Yes

Reacts with

Saccharomyces cerevisiae

Applications

WB

applications

Immunogen

The exact immunogen used to generate this antibody is proprietary information.

Reactivity data

{ "title": "Reactivity Data", "filters": { "stats": ["", "Species", "Dilution Info", "Notes"], "tabs": { "all-applications": {"fullname" : "All Applications", "shortname": "All Applications"}, "WB" : {"fullname" : "Western blot", "shortname":"WB"} }, "product-promise": { "all": "all", "testedAndGuaranteed": "tested", "guaranteed": "expected", "predicted": "predicted", "notRecommended": "not-recommended" } }, "values": { "Saccharomyces cerevisiae": { "WB-species-checked": "testedAndGuaranteed", "WB-species-dilution-info": "", "WB-species-notes": "<p></p>" } } }

Product details

ab251371 is the carrier-free version of ab202437.

Patented technology
Our RabMAb® technology is a patented hybridoma-based technology for making rabbit monoclonal antibodies. For details on our patents, please refer to RabMAb® patents.

What are the advantages of a recombinant monoclonal antibody?
This product is a recombinant monoclonal antibody, which offers several advantages including:

  • - High batch-to-batch consistency and reproducibility
  • - Improved sensitivity and specificity
  • - Long-term security of supply
  • - Animal-free batch production

For more information, read more on recombinant antibodies.

Conjugation ready
Our carrier-free antibodies are typically supplied in a PBS-only formulation, purified and free of BSA, sodium azide and glycerol. This conjugation-ready format is designed for use with fluorochromes, metal isotopes, oligonucleotides, and enzymes, which makes them ideal for antibody labelling, functional and cell-based assays, flow-based assays (e.g. mass cytometry) and Multiplex Imaging applications.

Use our conjugation kits for antibody conjugates that are ready-to-use in as little as 20 minutes with 1 minute hands-on-time and 100% antibody recovery: available for fluorescent dyes, HRP, biotin and gold.

Compatibility
This product is compatible with the Maxpar® Antibody Labeling Kit from Fluidigm, without the need for antibody preparation. Maxpar® is a trademark of Fluidigm Canada Inc.

Properties and storage information

Form
Liquid
Storage buffer
pH: 7.2 - 7.4 Constituents: PBS
Shipped at conditions
Blue Ice
Appropriate short-term storage conditions
+4°C
Appropriate long-term storage conditions
+4°C
Storage information
Do Not Freeze

Supplementary information

This supplementary information is collated from multiple sources and compiled automatically.

SET5 also known as lysine methyltransferase 5 (KMT5) is a histone methyltransferase enzyme with a role in epigenetic regulation. It weighs approximately 46 kDa and localizes predominantly in the nucleus. SET5 selectively methylates histone H4 at specific lysine residues which affects chromatin structure and gene expression. The expression of SET5 occurs in diverse tissues with notable activity in cells undergoing high rates of division.
Biological function summary

SET5 influences gene expression by modulating chromatin accessibility. This methyltransferase enzyme adds methyl groups to histone proteins leading to changes in chromatin compaction and transcriptional activity. SET5 does not form part of a larger protein complex but directly interacts with histone substrates to exert its effects. Its activity links to cellular processes that drive proliferation and differentiation.

Pathways

SET5 integrates into epigenetic signaling that govern transcription. It contributes to the regulation of the MAPK signaling pathway influencing cell growth and differentiation. SET5 activity also interfaces with the mitogen-activated protein kinase (MAPK) pathway where its function may interact with proteins like ERK2 in the context of gene regulation. Through these interactions SET5 plays a role in fine-tuning the cellular response to external and internal cues intended for growth and proliferation.

Alterations in SET5 function associate with cancer and developmental disorders. In cancers aberrant SET5 activity may lead to uncontrolled cellular proliferation through dysregulated transcription of key growth-related genes. Disorders such as Kabuki syndrome have connections to dysregulation in histone methylation machinery with SET5 possibly linking with MLL2 another methyltransferase implicated in the disorder. Understanding SET5's role in these conditions helps guide potential therapeutic approaches targeting chromatin modifiers.

Product protocols

For this product, it's our understanding that no specific protocols are required. You can visit:

Target data

Histone methyltransferase that monomethylates 'Lys-5', 'Lys-8' and 'Lys-12' of histone H4 (H4K5me1, H4K8me1 and H4K12me1, respectively), thereby controlling gene expression and remodeling chromatin structures (PubMed : 22343720). Functions together with the chromatin-modifying complexes COMPASS and NuA4 to regulate cell growth and stress responses (PubMed : 22343720).. (Microbial infection) Acts as a virus host factor involved in the replication of positive-strand RNA viruses like the MBV.
See full target information SET5

Publications (1)

Recent publications for all applications. Explore the full list and refine your search

Journal of nanobiotechnology 22:800 PubMed39731111

2024

Role of PCBP2 in regulating nanovesicles loaded with curcumin to mitigate neuroferroptosis in neural damage caused by heat stroke.

Applications

Unspecified application

Species

Unspecified reactive species

Fei Guo,Yizhan Wu,Guangjun Wang,Jiangwei Liu
View all publications

Product promise

We are committed to supporting your work with high-quality reagents, and we're here for you every step of the way. In the unlikely event that one of our products does not perform as expected, you're protected by our Product Promise.
For full details, please see our Terms & Conditions

Please note: All products are 'FOR RESEARCH USE ONLY. NOT FOR USE IN DIAGNOSTIC OR THERAPEUTIC PROCEDURES'.

For licensing inquiries, please contact partnerships@abcam.com