JavaScript is disabled in your browser. Please enable JavaScript to view this website.
AB189347

Anti-SET7 antibody

1

(1 Review)

|

(2 Publications)

Rabbit Polyclonal SET7 antibody. Suitable for IHC-P, WB and reacts with Human samples. Cited in 2 publications. Immunogen corresponding to Synthetic Peptide within Human SETD7 aa 300 to C-terminus.

View Alternative Names

KIAA1717, KMT7, SET7, SET9, SETD7, Histone-lysine N-methyltransferase SETD7, Histone H3-K4 methyltransferase SETD7, Lysine N-methyltransferase 7, SET domain-containing protein 7, SET7/9, H3-K4-HMTase SETD7

2 Images
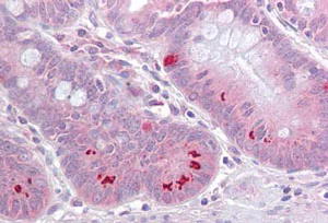
Immunohistochemistry (Formalin/PFA-fixed paraffin-embedded sections) - Anti-SET7 antibody (AB189347)
  • IHC-P

Supplier Data

Immunohistochemistry (Formalin/PFA-fixed paraffin-embedded sections) - Anti-SET7 antibody (AB189347)

Immunohistochemical analysis of formalin-fixed paraffin-embedded Human small intestine tissue labeling SET7 with ab189347 at 1/100 dilution.

Western blot - Anti-SET7 antibody (AB189347)
  • WB

Supplier Data

Western blot - Anti-SET7 antibody (AB189347)

All lanes:

Western blot - Anti-SET7 antibody (ab189347) at 1/500 dilution

All lanes:

HeLa whole cell lysate at 20 µg

Predicted band size: 41 kDa

false

Key facts

Host species

Rabbit

Clonality

Polyclonal

Isotype

IgG

Carrier free

No

Reacts with

Human

Applications

WB, IHC-P

applications

Immunogen

The exact immunogen used to generate this antibody is proprietary information.

Synthetic Peptide within Human SETD7 aa 100-150. Database link Q8WTS6

Reactivity data

{ "title": "Reactivity Data", "filters": { "stats": ["", "Species", "Dilution Info", "Notes"], "tabs": { "all-applications": {"fullname" : "All Applications", "shortname": "All Applications"}, "IHCP" : {"fullname" : "Immunohistochemistry (Formalin/PFA-fixed paraffin-embedded sections)", "shortname":"IHC-P"}, "WB" : {"fullname" : "Western blot", "shortname":"WB"} }, "product-promise": { "all": "all", "testedAndGuaranteed": "tested", "guaranteed": "expected", "predicted": "predicted", "notRecommended": "not-recommended" } }, "values": { "Human": { "IHCP-species-checked": "testedAndGuaranteed", "IHCP-species-dilution-info": "1/100", "IHCP-species-notes": "<p></p> Perform heat-mediated antigen retrieval before commencing with IHC staining protocol.", "WB-species-checked": "testedAndGuaranteed", "WB-species-dilution-info": "1/500 - 1/1000", "WB-species-notes": "<p></p>" }, "Mouse": { "IHCP-species-checked": "predicted", "IHCP-species-dilution-info": "", "IHCP-species-notes": "", "WB-species-checked": "predicted", "WB-species-dilution-info": "", "WB-species-notes": "" }, "Rat": { "IHCP-species-checked": "predicted", "IHCP-species-dilution-info": "", "IHCP-species-notes": "", "WB-species-checked": "predicted", "WB-species-dilution-info": "", "WB-species-notes": "" }, "Chicken": { "IHCP-species-checked": "predicted", "IHCP-species-dilution-info": "", "IHCP-species-notes": "", "WB-species-checked": "predicted", "WB-species-dilution-info": "", "WB-species-notes": "" }, "Cow": { "IHCP-species-checked": "predicted", "IHCP-species-dilution-info": "", "IHCP-species-notes": "", "WB-species-checked": "predicted", "WB-species-dilution-info": "", "WB-species-notes": "" }, "Dog": { "IHCP-species-checked": "predicted", "IHCP-species-dilution-info": "", "IHCP-species-notes": "", "WB-species-checked": "predicted", "WB-species-dilution-info": "", "WB-species-notes": "" }, "Gorilla": { "IHCP-species-checked": "predicted", "IHCP-species-dilution-info": "", "IHCP-species-notes": "", "WB-species-checked": "predicted", "WB-species-dilution-info": "", "WB-species-notes": "" }, "Hamster": { "IHCP-species-checked": "predicted", "IHCP-species-dilution-info": "", "IHCP-species-notes": "", "WB-species-checked": "predicted", "WB-species-dilution-info": "", "WB-species-notes": "" }, "Horse": { "IHCP-species-checked": "predicted", "IHCP-species-dilution-info": "", "IHCP-species-notes": "", "WB-species-checked": "predicted", "WB-species-dilution-info": "", "WB-species-notes": "" }, "Monkey": { "IHCP-species-checked": "predicted", "IHCP-species-dilution-info": "", "IHCP-species-notes": "", "WB-species-checked": "predicted", "WB-species-dilution-info": "", "WB-species-notes": "" }, "Rabbit": { "IHCP-species-checked": "predicted", "IHCP-species-dilution-info": "", "IHCP-species-notes": "", "WB-species-checked": "predicted", "WB-species-dilution-info": "", "WB-species-notes": "" }, "Turkey": { "IHCP-species-checked": "predicted", "IHCP-species-dilution-info": "", "IHCP-species-notes": "", "WB-species-checked": "predicted", "WB-species-dilution-info": "", "WB-species-notes": "" } } }

Properties and storage information

Form
Liquid
Purity
Whole antiserum
Storage buffer
Preservative: 0.05% Sodium azide Constituents: PBS, 0.2% Gelatin
Shipped at conditions
Blue Ice
Appropriate short-term storage duration
1-2 weeks
Appropriate short-term storage conditions
+4°C
Appropriate long-term storage conditions
-20°C
Aliquoting information
Upon delivery aliquot
Storage information
Avoid freeze / thaw cycle

Supplementary information

This supplementary information is collated from multiple sources and compiled automatically.

SET7 also known as SETD7 or KMT7 is a lysine methyltransferase that adds methyl groups to lysine residues on target proteins influencing their function and stability. This protein has a molecular mass of approximately 55 kDa. SET7 is expressed in a variety of tissues including the heart liver and pancreas suggesting its versatile role across different biological systems.
Biological function summary

SET7 contributes to gene regulation by methylating histone H3 at lysine 4 (H3K4) a mark generally associated with transcriptional activation. It also methylates non-histone proteins such as p53 TAF10 and STAT3 affecting their activity and interactions. SET7 operates distinctively and does not need to be part of any complex to fulfill its function effectively in diverse cellular processes.

Pathways

SET7 modulates transcriptional pathways such as the p53 signaling pathway and the NF-kB pathway. It interacts with the p53 protein affecting cell cycle regulation and the response to DNA damage. The modification of NF-kB by SET7 can influence inflammation and immune responses. Through these pathways SET7 plays a role in maintaining cellular homeostasis and response to stress.

SET7 is involved in conditions like cancer and cardiovascular diseases. Its methylation of p53 links it to tumor suppression activities while its impact on NF-kB relates to inflammatory responses. Dysregulation of SET7 activity can lead to abnormal cell proliferation and inflammation pointing to its potential as a target for therapeutic intervention.

Product protocols

For this product, it's our understanding that no specific protocols are required. You can visit:

Target data

Histone methyltransferase that specifically monomethylates 'Lys-4' of histone H3 (PubMed : 11779497, PubMed : 11850410, PubMed : 12540855, PubMed : 12588998, PubMed : 16141209). H3 'Lys-4' methylation represents a specific tag for epigenetic transcriptional activation (PubMed : 12540855, PubMed : 12588998, PubMed : 16141209). Plays a central role in the transcriptional activation of genes such as collagenase or insulin (PubMed : 12588998, PubMed : 16141209). Recruited by IPF1/PDX-1 to the insulin promoter, leading to activate transcription (PubMed : 16141209). Has also methyltransferase activity toward non-histone proteins such as CGAS, p53/TP53, TAF10, and possibly TAF7 by recognizing and binding the [KR]-[STA]-K in substrate proteins (PubMed : 15099517, PubMed : 15525938, PubMed : 16415881, PubMed : 35210392). Monomethylates 'Lys-189' of TAF10, leading to increase the affinity of TAF10 for RNA polymerase II (PubMed : 15099517, PubMed : 16415881). Monomethylates 'Lys-372' of p53/TP53, stabilizing p53/TP53 and increasing p53/TP53-mediated transcriptional activation (PubMed : 15525938, PubMed : 16415881, PubMed : 17108971). Monomethylates 'Lys-491' of CGAS, promoting interaction between SGF29 and CGAS (By similarity).
See full target information SETD7

Publications (2)

Recent publications for all applications. Explore the full list and refine your search

Histology and histopathology 37:1113-1125 PubMed35791576

2022

LncRNA SNHG15 regulates hypoxic-ischemic brain injury via miR-153-3p/SETD7 axis.

Applications

Unspecified application

Species

Unspecified reactive species

Jiding Fu,Yunbo Huang,Lewu Xian

Frontiers in cell and developmental biology 9:705182 PubMed34970537

2021

ATXN10 Is Required for Embryonic Heart Development and Maintenance of Epithelial Cell Phenotypes in the Adult Kidney and Pancreas.

Applications

Unspecified application

Species

Unspecified reactive species

Melissa R Bentley-Ford,Reagan S Andersen,Mandy J Croyle,Courtney J Haycraft,Kelsey R Clearman,Jeremy B Foote,Jeremy F Reiter,Bradley K Yoder
View all publications

Product promise

We are committed to supporting your work with high-quality reagents, and we're here for you every step of the way. In the unlikely event that one of our products does not perform as expected, you're protected by our Product Promise.
For full details, please see our Terms & Conditions

Please note: All products are 'FOR RESEARCH USE ONLY. NOT FOR USE IN DIAGNOSTIC OR THERAPEUTIC PROCEDURES'.

For licensing inquiries, please contact partnerships@abcam.com