JavaScript is disabled in your browser. Please enable JavaScript to view this website.
AB124708

Anti-SET7 antibody [EPR5574]

Be the first to review this product! Submit a review

|

(10 Publications)

Rabbit Recombinant Monoclonal SET7 antibody. Suitable for IP, WB and reacts with Human, Mouse, Rat samples. Cited in 10 publications.

View Alternative Names

KIAA1717, KMT7, SET7, SET9, SETD7, Histone-lysine N-methyltransferase SETD7, Histone H3-K4 methyltransferase SETD7, Lysine N-methyltransferase 7, SET domain-containing protein 7, SET7/9, H3-K4-HMTase SETD7

7 Images
Immunoprecipitation - Anti-SET7 antibody [EPR5574] (AB124708)
  • IP

Unknown

Immunoprecipitation - Anti-SET7 antibody [EPR5574] (AB124708)

ab124708 (purified) at 1/120 immunoprecipitating SET7 in Jurkat whole cell lysate. 10 ug of cell lysate was present in the input. For western blotting, a HRP-conjugated Veriblot for IP Detection Reagent (ab131366) (1/1,500) was used for detection. A rabbit monoclonal IgG (ab172730) was used intead of ab128913 as a negative control (Lane 3).

Blocking buffer and concentration : 5% NFDM/TBST.

Diluting buffer and concentration : 5% NFDM /TBST.

All lanes:

Immunoprecipitation - Anti-SET7 antibody [EPR5574] (ab124708)

Predicted band size: 41 kDa

false

Western blot - Anti-SET7 antibody [EPR5574] (AB124708)
  • WB

Unknown

Western blot - Anti-SET7 antibody [EPR5574] (AB124708)

Blocking buffer and concentration : 5% NFDM/TBST.
Diluting buffer and concentration : 5% NFDM /TBST.

All lanes:

Western blot - Anti-SET7 antibody [EPR5574] (ab124708) at 1/2000 dilution

Lane 1:

HeLa cell lysate at 20 µg

Lane 2:

Jurkat cell lysate at 20 µg

Secondary

All lanes:

Western blot - Goat Anti-Rabbit IgG H&L (HRP) (<a href='/en-us/products/secondary-antibodies/goat-rabbit-igg-h-l-hrp-ab97051'>ab97051</a>) at 1/1000 dilution

Predicted band size: 41 kDa

false

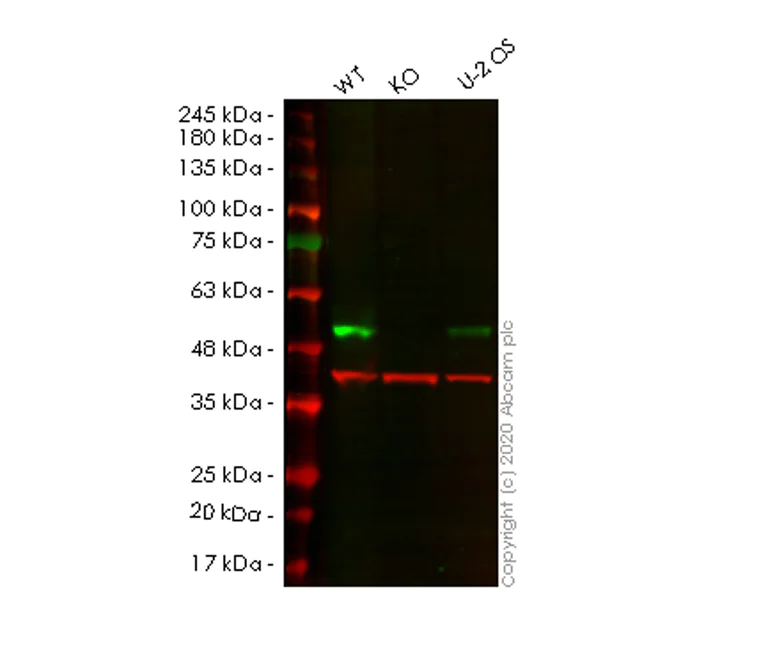
Western blot - Anti-SET7 antibody [EPR5574] (AB124708)
  • WB

Lab

Western blot - Anti-SET7 antibody [EPR5574] (AB124708)

Lanes 1-3 : Merged signal (red and green). Green - ab124708 observed at 50 kDa. Red - loading control ab8245 observed at 36 kDa.

ab124708 Anti-SET7 antibody [EPR5574] was shown to specifically react with SET7 in wild-type HeLa cells. Loss of signal was observed when knockout cell line ab265770 (knockout cell lysate ab257668) was used. Wild-type and SET7 knockout samples were subjected to SDS-PAGE. ab124708 and Anti-GAPDH antibody [6C5] - Loading Control (ab8245) were incubated at room temperature for 2. 5 hours at 1 in 1000 dilution and 1 in 20000 dilution respectively. Blots were developed with Goat anti-Rabbit IgG H&L (IRDye® 800CW) preadsorbed (ab216773) and Goat anti-Mouse IgG H&L (IRDye® 680RD) preadsorbed (ab216776) secondary antibodies at 1 in 20000 dilution for 1 hour at room temperature before imaging.

All lanes:

Western blot - Anti-SET7 antibody [EPR5574] (ab124708) at 1/1000 dilution

Lane 1:

Wild-type HeLa cell lysate at 20 µg

Lane 2:

SETD7 knockout HeLa cell lysate at 20 µg

Lane 2:

Western blot - Human SETD7 (SET7) knockout HeLa cell line (<a href='/en-us/products/cell-lines/human-setd7-set7-knockout-hela-cell-line-ab265770'>ab265770</a>)

Lane 3:

U-2 OS cell lysate at 20 µg

Secondary

All lanes:

Western blot - Goat anti-Rabbit IgG H&L (IRDye® 800CW) preadsorbed (<a href='/en-us/products/secondary-antibodies/goat-rabbit-igg-h-l-irdye-800cw-preadsorbed-ab216773'>ab216773</a>) at 1/10000 dilution

Predicted band size: 41 kDa

Observed band size: 50 kDa

false

Western blot - Anti-SET7 antibody [EPR5574] (AB124708)
  • WB

Unknown

Western blot - Anti-SET7 antibody [EPR5574] (AB124708)

All lanes:

Western blot - Anti-SET7 antibody [EPR5574] (ab124708) at 1/1000 dilution

Lane 1:

HeLa cell lysate at 10 µg

Lane 2:

BxPC-3 cell lysate at 10 µg

Lane 3:

Jurkat cell lysate at 10 µg

Lane 4:

MCF-7 cell lysate at 10 µg

Lane 5:

C6 cell lysate at 10 µg

Lane 6:

RAW264.7 cell lysate at 10 µg

Lane 7:

PC-12 cell lysate at 10 µg

Lane 8:

NIH/3T3 cell lysate at 10 µg

Predicted band size: 41 kDa

false

Western blot - Anti-SET7 antibody [EPR5574] (AB124708)
  • WB

Unknown

Western blot - Anti-SET7 antibody [EPR5574] (AB124708)

Blocking buffer and concentration : 5% NFDM/TBST.
Diluting buffer and concentration : 5% NFDM /TBST.

All lanes:

Western blot - Anti-SET7 antibody [EPR5574] (ab124708) at 1/5000 dilution

All lanes:

MCF-7 cell lysate at 20 µg

Secondary

All lanes:

Western blot - Goat Anti-Rabbit IgG H&L (HRP) (<a href='/en-us/products/secondary-antibodies/goat-rabbit-igg-h-l-hrp-ab97051'>ab97051</a>) at 1/1000 dilution

Predicted band size: 41 kDa

false

Western blot - Anti-SET7 antibody [EPR5574] (AB124708)
  • WB

Unknown

Western blot - Anti-SET7 antibody [EPR5574] (AB124708)

Blocking buffer and concentration : 5% NFDM/TBST.
Diluting buffer and concentration : 5% NFDM /TBST.

All lanes:

Western blot - Anti-SET7 antibody [EPR5574] (ab124708) at 1/5000 dilution

Lane 1:

PC-12 cell lysate at 20 µg

Lane 2:

NIH/3T3 cell lysate at 20 µg

Secondary

All lanes:

Western blot - Goat Anti-Rabbit IgG H&L (HRP) (<a href='/en-us/products/secondary-antibodies/goat-rabbit-igg-h-l-hrp-ab97051'>ab97051</a>) at 1/1000 dilution

Predicted band size: 41 kDa

false

OI-RD Scanning - Anti-SET7 antibody [EPR5574] (AB124708)
  • OI-RD Scanning

Unknown

OI-RD Scanning - Anti-SET7 antibody [EPR5574] (AB124708)

We have systematically measured KD (the equilibrium dissociation constant between the antibody and its antigen), of more than 840 recombinant antibodies to assess not only their individual KD values but also to see the average affinity of antibody. Based on the comparison with published literature values for mouse monoclonal antibodies, Recombinant antibodies appear to be on average 1-2 order of magnitude higher affinity.

  • Carrier free

    Anti-SET7 antibody [EPR5574] - BSA and Azide free

Key facts

Host species

Rabbit

Clonality

Monoclonal

Clone number

EPR5574

Isotype

IgG

Carrier free

No

Reacts with

Mouse, Rat, Human

Applications

WB, IP

applications

Immunogen

The exact immunogen used to generate this antibody is proprietary information.

Reactivity data

{ "title": "Reactivity Data", "filters": { "stats": ["", "Species", "Dilution Info", "Notes"], "tabs": { "all-applications": {"fullname" : "All Applications", "shortname": "All Applications"}, "IP" : {"fullname" : "Immunoprecipitation", "shortname":"IP"}, "WB" : {"fullname" : "Western blot", "shortname":"WB"} }, "product-promise": { "all": "all", "testedAndGuaranteed": "tested", "guaranteed": "expected", "predicted": "predicted", "notRecommended": "not-recommended" } }, "values": { "Human": { "IP-species-checked": "testedAndGuaranteed", "IP-species-dilution-info": "1/120", "IP-species-notes": "<p><strong>For unpurified use at 1/10 - 1/100.</strong></p>", "WB-species-checked": "testedAndGuaranteed", "WB-species-dilution-info": "1/1000 - 1/10000", "WB-species-notes": "<p></p>" }, "Mouse": { "IP-species-checked": "guaranteed", "IP-species-dilution-info": "", "IP-species-notes": "", "WB-species-checked": "testedAndGuaranteed", "WB-species-dilution-info": "1/1000 - 1/10000", "WB-species-notes": "<p></p>" }, "Rat": { "IP-species-checked": "guaranteed", "IP-species-dilution-info": "", "IP-species-notes": "", "WB-species-checked": "testedAndGuaranteed", "WB-species-dilution-info": "1/1000 - 1/10000", "WB-species-notes": "<p></p>" } } }

Product details

Patented technology
Our RabMAb® technology is a patented hybridoma-based technology for making rabbit monoclonal antibodies. For details on our patents, please refer to RabMAb® patents.

What are the advantages of a recombinant monoclonal antibody?
This product is a recombinant monoclonal antibody, which offers several advantages including:

  • - High batch-to-batch consistency and reproducibility
  • - Improved sensitivity and specificity
  • - Long-term security of supply
  • - Animal-free batch production

For more information, read more on recombinant antibodies.

Properties and storage information

Form
Liquid
Purification technique
Affinity purification Protein A
Storage buffer
pH: 7.2 - 7.4 Preservative: 0.01% Sodium azide Constituents: PBS, 40% Glycerol (glycerin, glycerine), 0.05% BSA
Shipped at conditions
Blue Ice
Appropriate short-term storage duration
1-2 weeks
Appropriate short-term storage conditions
+4°C
Appropriate long-term storage conditions
-20°C
Aliquoting information
Upon delivery aliquot
Storage information
Stable for 12 months at -20°C

Supplementary information

This supplementary information is collated from multiple sources and compiled automatically.

SET7 also known as SETD7 or KMT7 is a lysine methyltransferase that adds methyl groups to lysine residues on target proteins influencing their function and stability. This protein has a molecular mass of approximately 55 kDa. SET7 is expressed in a variety of tissues including the heart liver and pancreas suggesting its versatile role across different biological systems.
Biological function summary

SET7 contributes to gene regulation by methylating histone H3 at lysine 4 (H3K4) a mark generally associated with transcriptional activation. It also methylates non-histone proteins such as p53 TAF10 and STAT3 affecting their activity and interactions. SET7 operates distinctively and does not need to be part of any complex to fulfill its function effectively in diverse cellular processes.

Pathways

SET7 modulates transcriptional pathways such as the p53 signaling pathway and the NF-kB pathway. It interacts with the p53 protein affecting cell cycle regulation and the response to DNA damage. The modification of NF-kB by SET7 can influence inflammation and immune responses. Through these pathways SET7 plays a role in maintaining cellular homeostasis and response to stress.

SET7 is involved in conditions like cancer and cardiovascular diseases. Its methylation of p53 links it to tumor suppression activities while its impact on NF-kB relates to inflammatory responses. Dysregulation of SET7 activity can lead to abnormal cell proliferation and inflammation pointing to its potential as a target for therapeutic intervention.

Product protocols

For this product, it's our understanding that no specific protocols are required. You can visit:

Target data

Histone methyltransferase that specifically monomethylates 'Lys-4' of histone H3 (PubMed : 11779497, PubMed : 11850410, PubMed : 12540855, PubMed : 12588998, PubMed : 16141209). H3 'Lys-4' methylation represents a specific tag for epigenetic transcriptional activation (PubMed : 12540855, PubMed : 12588998, PubMed : 16141209). Plays a central role in the transcriptional activation of genes such as collagenase or insulin (PubMed : 12588998, PubMed : 16141209). Recruited by IPF1/PDX-1 to the insulin promoter, leading to activate transcription (PubMed : 16141209). Has also methyltransferase activity toward non-histone proteins such as CGAS, p53/TP53, TAF10, and possibly TAF7 by recognizing and binding the [KR]-[STA]-K in substrate proteins (PubMed : 15099517, PubMed : 15525938, PubMed : 16415881, PubMed : 35210392). Monomethylates 'Lys-189' of TAF10, leading to increase the affinity of TAF10 for RNA polymerase II (PubMed : 15099517, PubMed : 16415881). Monomethylates 'Lys-372' of p53/TP53, stabilizing p53/TP53 and increasing p53/TP53-mediated transcriptional activation (PubMed : 15525938, PubMed : 16415881, PubMed : 17108971). Monomethylates 'Lys-491' of CGAS, promoting interaction between SGF29 and CGAS (By similarity).
See full target information SETD7

Publications (10)

Recent publications for all applications. Explore the full list and refine your search

iScience 26:106917 PubMed37378343

2023

promotes lateral plate mesoderm formation by modulating the Wnt/β-catenin signaling pathway.

Applications

Unspecified application

Species

Unspecified reactive species

Ding Wang,Yapu Li,Changlu Xu,Hongtao Wang,Xin Huang,Xu Jin,Sirui Ren,Jie Gao,Jingyuan Tong,Jinhua Liu,Jiaxi Zhou,Lihong Shi

The Journal of biological chemistry 299:103054 PubMed36822329

2023

SET7 methylates the deubiquitinase OTUB1 at Lys to impair its binding to E2 enzyme UBC13 and relieve its suppressive role on ferroptosis.

Applications

Unspecified application

Species

Unspecified reactive species

Hongyan Deng,Shuke Jia,Jinhua Tang,Fangjing Rong,Chenxi Xu,Xiaoyun Chen,Zixuan Wang,Chunchun Zhu,Xueyi Sun,Qian Liao,Wen Liu,Wenhua Li,Wuhan Xiao,Xing Liu

The Journal of biological chemistry 298:101961 PubMed35452683

2022

EGLN1 prolyl hydroxylation of hypoxia-induced transcription factor HIF1α is repressed by SET7-catalyzed lysine methylation.

Applications

Unspecified application

Species

Unspecified reactive species

Jinhua Tang,Hongyan Deng,Zixuan Wang,Huangyuan Zha,Qian Liao,Chunchun Zhu,Xiaoyun Chen,Xueyi Sun,Shuke Jia,Gang Ouyang,Xing Liu,Wuhan Xiao

American journal of reproductive immunology (New York, N.Y. : 1989) 87:e13523 PubMed35137483

2022

Melatonin regulates trophoblast pyroptosis, invasion and migration in preeclampsia by inhibiting HtrA1 transcription through the microRNA-520c-3p/SETD7 axis.

Applications

Unspecified application

Species

Unspecified reactive species

Zhaochun Liu,Bin Chen,Jing Chang,Lulu Feng,Xia Zhao

Cellular and molecular gastroenterology and hepatology 13:949-973.e7 PubMed34737104

2021

Loss of SPTBN1 Suppresses Autophagy Via SETD7-mediated YAP Methylation in Hepatocellular Carcinoma Initiation and Development.

Applications

Unspecified application

Species

Unspecified reactive species

Shuyi Chen,Huijie Wu,Zhengyang Wang,Mengping Jia,Jieyu Guo,Jiayu Jin,Xiaobo Li,Dan Meng,Ling Lin,Aiwu Ruth He,Ping Zhou,Xiuling Zhi

Oral diseases 29:390-401 PubMed33914996

2021

SLCO4A1-AS1 regulates laryngeal squamous cell carcinoma cell phenotypes via the Wnt pathway.

Applications

Unspecified application

Species

Unspecified reactive species

Feng Zhang,Dehong Mao,Zhongmei He,Weichun Li,Xu Zhang,Linglong Li

Biochimica et biophysica acta. Molecular cell research 1867:118611 PubMed31751593

2019

SET7/9 interacts and methylates the ribosomal protein, eL42 and regulates protein synthesis.

Applications

Unspecified application

Species

Unspecified reactive species

Arun Mahesh,Mohd Imran K Khan,Gayathri Govindaraju,Mamta Verma,Sharad Awasthi,Pavithra L Chavali,Sreenivas Chavali,Arumugam Rajavelu,Arunkumar Dhayalan

Autophagy 14:825-844 PubMed29634390

2018

Crosstalk between lysine methylation and phosphorylation of ATG16L1 dictates the apoptosis of hypoxia/reoxygenation-induced cardiomyocytes.

Applications

Unspecified application

Species

Unspecified reactive species

Huiwen Song,Xing Feng,Min Zhang,Xian Jin,Xiangdong Xu,Lin Wang,Xue Ding,Yunmei Luo,Fengqin Lin,Qin Wu,Guiyou Liang,Tian Yu,Qigong Liu,Zhiyong Zhang

Cell stem cell 22:177-190.e7 PubMed29395054

2018

Inhibition of Methyltransferase Setd7 Allows the In Vitro Expansion of Myogenic Stem Cells with Improved Therapeutic Potential.

Applications

Unspecified application

Species

Unspecified reactive species

Robert N Judson,Marco Quarta,Menno J Oudhoff,Hesham Soliman,Lin Yi,Chih Kai Chang,Gloria Loi,Ryan Vander Werff,Alissa Cait,Mark Hamer,Justin Blonigan,Patrick Paine,Linda T N Doan,Elena Groppa,WenJun He,Le Su,Regan H Zhang,Peter Xu,Christine Eisner,Marcela Low,Ingrid Barta,Coral-Ann B Lewis,Colby Zaph,Mohammad M Karimi,Thomas A Rando,Fabio M Rossi

Nature communications 7:11688 PubMed27256596

2016

Rebalancing gene haploinsufficiency in vivo by targeting chromatin.

Applications

Unspecified application

Species

Unspecified reactive species

Filomena Gabriella Fulcoli,Monica Franzese,Xiangyang Liu,Zhen Zhang,Claudia Angelini,Antonio Baldini
View all publications

Product promise

We are committed to supporting your work with high-quality reagents, and we're here for you every step of the way. In the unlikely event that one of our products does not perform as expected, you're protected by our Product Promise.
For full details, please see our Terms & Conditions

Please note: All products are 'FOR RESEARCH USE ONLY. NOT FOR USE IN DIAGNOSTIC OR THERAPEUTIC PROCEDURES'.

For licensing inquiries, please contact partnerships@abcam.com