JavaScript is disabled in your browser. Please enable JavaScript to view this website.
AB239434

Anti-SET7 antibody [EPR5574] - BSA and Azide free

Be the first to review this product! Submit a review

|

(1 Publication)

Rabbit Recombinant Monoclonal SET7 antibody. Carrier free. Suitable for IP, WB and reacts with Human, Mouse, Rat samples. Cited in 1 publication.

View Alternative Names

KIAA1717, KMT7, SET7, SET9, SETD7, Histone-lysine N-methyltransferase SETD7, Histone H3-K4 methyltransferase SETD7, Lysine N-methyltransferase 7, SET domain-containing protein 7, SET7/9, H3-K4-HMTase SETD7

3 Images
Immunoprecipitation - Anti-SET7 antibody [EPR5574] - BSA and Azide free (AB239434)
  • IP

Unknown

Immunoprecipitation - Anti-SET7 antibody [EPR5574] - BSA and Azide free (AB239434)

ab124708 (purified) at 1/120 immunoprecipitating SET7 in Jurkat whole cell lysate. 10 ug of cell lysate was present in the input. For western blotting, a HRP-conjugated Veriblot for IP Detection Reagent (ab131366) was used for detection at 1/1,500 dilution. A rabbit monoclonal IgG (ab172730) was used intead of ab128913 as a negative control (Lane 3).

Blocking buffer and concentration : 5% NFDM/TBST.

Diluting buffer and concentration : 5% NFDM /TBST.

This data was developed using the same antibody clone in a different buffer formulation containing PBS, BSA, glycerol, and sodium azide (ab124708).

All lanes:

Immunoprecipitation - Anti-SET7 antibody [EPR5574] (<a href='/en-us/products/primary-antibodies/set7-antibody-epr5574-ab124708'>ab124708</a>)

Predicted band size: 41 kDa

false

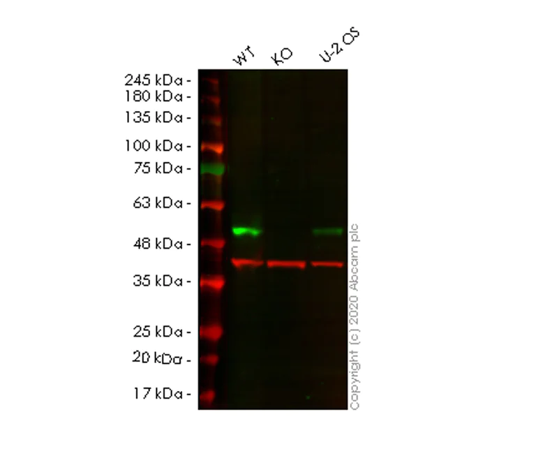
Western blot - Anti-SET7 antibody [EPR5574] - BSA and Azide free (AB239434)
  • WB

Lab

Western blot - Anti-SET7 antibody [EPR5574] - BSA and Azide free (AB239434)

This data was developed using the same antibody clone in a different buffer formulation (ab124708).

Lanes 1-3 : Merged signal (red and green). Green - ab124708 observed at 50 kDa. Red - loading control ab8245 observed at 36 kDa.

ab124708 Anti-SET7 antibody [EPR5574] was shown to specifically react with SET7 in wild-type HeLa cells. Loss of signal was observed when knockout cell line ab265770 (knockout cell lysate ab257668) was used. Wild-type and SET7 knockout samples were subjected to SDS-PAGE. ab124708 and Anti-GAPDH antibody [6C5] - Loading Control (ab8245) were incubated at room temperature for 2. 5 hours at 1 in 1000 dilution and 1 in 20000 dilution respectively. Blots were developed with Goat anti-Rabbit IgG H&L (IRDye® 800CW) preadsorbed (ab216773) and Goat anti-Mouse IgG H&L (IRDye® 680RD) preadsorbed (ab216776) secondary antibodies at 1 in 20000 dilution for 1 hour at room temperature before imaging.

All lanes:

Western blot - Anti-SET7 antibody [EPR5574] (<a href='/en-us/products/primary-antibodies/set7-antibody-epr5574-ab124708'>ab124708</a>) at 1/1000 dilution

Lane 1:

Wild-type HeLa cell lysate at 20 µg

Lane 2:

SETD7 knockout HeLa cell lysate at 20 µg

Lane 2:

Western blot - Human SETD7 (SET7) knockout HeLa cell line (<a href='/en-us/products/cell-lines/human-setd7-set7-knockout-hela-cell-line-ab265770'>ab265770</a>)

Lane 3:

U-2 OS cell lysate at 20 µg

Secondary

All lanes:

Western blot - Goat anti-Rabbit IgG H&L (IRDye® 800CW) preadsorbed (<a href='/en-us/products/secondary-antibodies/goat-rabbit-igg-h-l-irdye-800cw-preadsorbed-ab216773'>ab216773</a>) at 1/10000 dilution

Predicted band size: 41 kDa

Observed band size: 50 kDa

false

OI-RD Scanning - Anti-SET7 antibody [EPR5574] - BSA and Azide free (AB239434)
  • OI-RD Scanning

Unknown

OI-RD Scanning - Anti-SET7 antibody [EPR5574] - BSA and Azide free (AB239434)

We have systematically measured KD (the equilibrium dissociation constant between the antibody and its antigen), of more than 840 recombinant antibodies to assess not only their individual KD values but also to see the average affinity of antibody. Based on the comparison with published literature values for mouse monoclonal antibodies, Recombinant antibodies appear to be on average 1-2 order of magnitude higher affinity.

Key facts

Host species

Rabbit

Clonality

Monoclonal

Clone number

EPR5574

Isotype

IgG

Carrier free

Yes

Reacts with

Mouse, Rat, Human

Applications

IP, WB

applications

Immunogen

The exact immunogen used to generate this antibody is proprietary information.

Reactivity data

{ "title": "Reactivity Data", "filters": { "stats": ["", "Species", "Dilution Info", "Notes"], "tabs": { "all-applications": {"fullname" : "All Applications", "shortname": "All Applications"}, "IP" : {"fullname" : "Immunoprecipitation", "shortname":"IP"}, "WB" : {"fullname" : "Western blot", "shortname":"WB"} }, "product-promise": { "all": "all", "testedAndGuaranteed": "tested", "guaranteed": "expected", "predicted": "predicted", "notRecommended": "not-recommended" } }, "values": { "Human": { "IP-species-checked": "testedAndGuaranteed", "IP-species-dilution-info": "", "IP-species-notes": "<p></p>", "WB-species-checked": "testedAndGuaranteed", "WB-species-dilution-info": "", "WB-species-notes": "<p></p>" }, "Mouse": { "IP-species-checked": "guaranteed", "IP-species-dilution-info": "", "IP-species-notes": "<p></p>", "WB-species-checked": "guaranteed", "WB-species-dilution-info": "", "WB-species-notes": "<p></p>" }, "Rat": { "IP-species-checked": "guaranteed", "IP-species-dilution-info": "", "IP-species-notes": "<p></p>", "WB-species-checked": "guaranteed", "WB-species-dilution-info": "", "WB-species-notes": "<p></p>" } } }

Product details

ab239434 is the carrier-free version of ab124708.

Patented technology
Our RabMAb® technology is a patented hybridoma-based technology for making rabbit monoclonal antibodies. For details on our patents, please refer to RabMAb® patents.

What are the advantages of a recombinant monoclonal antibody?
This product is a recombinant monoclonal antibody, which offers several advantages including:

  • - High batch-to-batch consistency and reproducibility
  • - Improved sensitivity and specificity
  • - Long-term security of supply
  • - Animal-free batch production

For more information, read more on recombinant antibodies.

Conjugation ready
Our carrier-free antibodies are typically supplied in a PBS-only formulation, purified and free of BSA, sodium azide and glycerol. This conjugation-ready format is designed for use with fluorochromes, metal isotopes, oligonucleotides, and enzymes, which makes them ideal for antibody labelling, functional and cell-based assays, flow-based assays (e.g. mass cytometry) and Multiplex Imaging applications.

Use our conjugation kits for antibody conjugates that are ready-to-use in as little as 20 minutes with 1 minute hands-on-time and 100% antibody recovery: available for fluorescent dyes, HRP, biotin and gold.

Compatibility
This product is compatible with the Maxpar® Antibody Labeling Kit from Fluidigm, without the need for antibody preparation. Maxpar® is a trademark of Fluidigm Canada Inc.

Properties and storage information

Form
Liquid
Purification technique
Affinity purification Protein A
Storage buffer
pH: 7.2 - 7.4 Constituents: PBS
Shipped at conditions
Blue Ice
Appropriate short-term storage conditions
+4°C
Appropriate long-term storage conditions
+4°C
Storage information
Do Not Freeze

Supplementary information

This supplementary information is collated from multiple sources and compiled automatically.

SET7 also known as SETD7 or KMT7 is a lysine methyltransferase that adds methyl groups to lysine residues on target proteins influencing their function and stability. This protein has a molecular mass of approximately 55 kDa. SET7 is expressed in a variety of tissues including the heart liver and pancreas suggesting its versatile role across different biological systems.
Biological function summary

SET7 contributes to gene regulation by methylating histone H3 at lysine 4 (H3K4) a mark generally associated with transcriptional activation. It also methylates non-histone proteins such as p53 TAF10 and STAT3 affecting their activity and interactions. SET7 operates distinctively and does not need to be part of any complex to fulfill its function effectively in diverse cellular processes.

Pathways

SET7 modulates transcriptional pathways such as the p53 signaling pathway and the NF-kB pathway. It interacts with the p53 protein affecting cell cycle regulation and the response to DNA damage. The modification of NF-kB by SET7 can influence inflammation and immune responses. Through these pathways SET7 plays a role in maintaining cellular homeostasis and response to stress.

SET7 is involved in conditions like cancer and cardiovascular diseases. Its methylation of p53 links it to tumor suppression activities while its impact on NF-kB relates to inflammatory responses. Dysregulation of SET7 activity can lead to abnormal cell proliferation and inflammation pointing to its potential as a target for therapeutic intervention.

Product protocols

For this product, it's our understanding that no specific protocols are required. You can visit:

Target data

Histone methyltransferase that specifically monomethylates 'Lys-4' of histone H3 (PubMed : 11779497, PubMed : 11850410, PubMed : 12540855, PubMed : 12588998, PubMed : 16141209). H3 'Lys-4' methylation represents a specific tag for epigenetic transcriptional activation (PubMed : 12540855, PubMed : 12588998, PubMed : 16141209). Plays a central role in the transcriptional activation of genes such as collagenase or insulin (PubMed : 12588998, PubMed : 16141209). Recruited by IPF1/PDX-1 to the insulin promoter, leading to activate transcription (PubMed : 16141209). Has also methyltransferase activity toward non-histone proteins such as CGAS, p53/TP53, TAF10, and possibly TAF7 by recognizing and binding the [KR]-[STA]-K in substrate proteins (PubMed : 15099517, PubMed : 15525938, PubMed : 16415881, PubMed : 35210392). Monomethylates 'Lys-189' of TAF10, leading to increase the affinity of TAF10 for RNA polymerase II (PubMed : 15099517, PubMed : 16415881). Monomethylates 'Lys-372' of p53/TP53, stabilizing p53/TP53 and increasing p53/TP53-mediated transcriptional activation (PubMed : 15525938, PubMed : 16415881, PubMed : 17108971). Monomethylates 'Lys-491' of CGAS, promoting interaction between SGF29 and CGAS (By similarity).
See full target information SETD7

Publications (1)

Recent publications for all applications. Explore the full list and refine your search

International journal of veterinary science and medicine 13:1-9 PubMed40290667

2025

Post-operative supplementation with vitamin D after mucogingival surgery significantly enhances autophagy and improves life quality following feline chronic gingivostomatitis.

Applications

Unspecified application

Species

Unspecified reactive species

Yung-Kai Huang,Chung-Wei Chen,Ting-Yi Renn,Ming-Yi Shen,Igor V Klimenkov,Nikolay P Sudakov,Sandeep Kumar Singh,Hung-Ming Chang
View all publications

Product promise

We are committed to supporting your work with high-quality reagents, and we're here for you every step of the way. In the unlikely event that one of our products does not perform as expected, you're protected by our Product Promise.
For full details, please see our Terms & Conditions

Please note: All products are 'FOR RESEARCH USE ONLY. NOT FOR USE IN DIAGNOSTIC OR THERAPEUTIC PROCEDURES'.

For licensing inquiries, please contact partnerships@abcam.com