JavaScript is disabled in your browser. Please enable JavaScript to view this website.
AB216603

Anti-SETBP1 antibody [SP312]

Be the first to review this product! Submit a review

|

(1 Publication)

Rabbit Recombinant Monoclonal SETBP1 antibody. Suitable for IHC-P and reacts with Human samples. Cited in 1 publication.

View Alternative Names

KIAA0437, SETBP1, SET-binding protein, SEB

10 Images
Immunohistochemistry (Formalin/PFA-fixed paraffin-embedded sections) - Anti-SETBP1 antibody [SP312] (AB216603)
  • IHC-P

Supplier Data

Immunohistochemistry (Formalin/PFA-fixed paraffin-embedded sections) - Anti-SETBP1 antibody [SP312] (AB216603)

Immunohistochemical analysis of formalin-fixed paraffin-embedded human urinary bladder transitional cell carcinoma tissue labeling SETBP1 with ab216603 at 1/100 dilution.

Immunohistochemistry (Formalin/PFA-fixed paraffin-embedded sections) - Anti-SETBP1 antibody [SP312] (AB216603)
  • IHC-P

Supplier Data

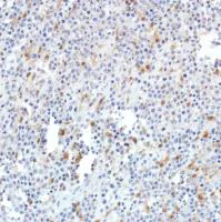
Immunohistochemistry (Formalin/PFA-fixed paraffin-embedded sections) - Anti-SETBP1 antibody [SP312] (AB216603)

Immunohistochemical analysis of formalin-fixed paraffin-embedded human HK lymphoma tissue labeling SETBP1 with ab216603 at 1/100 dilution.

Immunohistochemistry (Formalin/PFA-fixed paraffin-embedded sections) - Anti-SETBP1 antibody [SP312] (AB216603)
  • IHC-P

Supplier Data

Immunohistochemistry (Formalin/PFA-fixed paraffin-embedded sections) - Anti-SETBP1 antibody [SP312] (AB216603)

Immunohistochemical analysis of formalin-fixed paraffin-embedded human urinary bladder tissue labeling SETBP1 with ab216603 at 1/100 dilution.

Immunohistochemistry (Formalin/PFA-fixed paraffin-embedded sections) - Anti-SETBP1 antibody [SP312] (AB216603)
  • IHC-P

Unknown

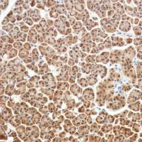
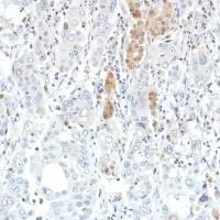
Immunohistochemistry (Formalin/PFA-fixed paraffin-embedded sections) - Anti-SETBP1 antibody [SP312] (AB216603)

Immunohistochemical analysis of formalin-fixed paraffin-embedded human pancreas tissue labeling SETBP1 with ab216603 at 1/100 dilution.

Immunohistochemistry (Formalin/PFA-fixed paraffin-embedded sections) - Anti-SETBP1 antibody [SP312] (AB216603)
  • IHC-P

Supplier Data

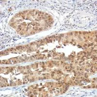
Immunohistochemistry (Formalin/PFA-fixed paraffin-embedded sections) - Anti-SETBP1 antibody [SP312] (AB216603)

Immunohistochemical analysis of formalin-fixed paraffin-embedded human pancreatic adenocarcinoma tissue labeling SETBP1 with ab216603 at 1/100 dilution.

Immunohistochemistry (Formalin/PFA-fixed paraffin-embedded sections) - Anti-SETBP1 antibody [SP312] (AB216603)
  • IHC-P

Unknown

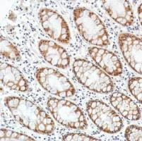
Immunohistochemistry (Formalin/PFA-fixed paraffin-embedded sections) - Anti-SETBP1 antibody [SP312] (AB216603)

Immunohistochemical analysis of formalin-fixed paraffin-embedded human colon adenocarcinoma tissue labeling SETBP1 with ab216603 at 1/100 dilution.

Immunohistochemistry (Formalin/PFA-fixed paraffin-embedded sections) - Anti-SETBP1 antibody [SP312] (AB216603)
  • IHC-P

Supplier Data

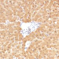
Immunohistochemistry (Formalin/PFA-fixed paraffin-embedded sections) - Anti-SETBP1 antibody [SP312] (AB216603)

Immunohistochemical analysis of formalin-fixed paraffin-embedded human liver tissue labeling SETBP1 with ab216603 at 1/100 dilution.

Immunohistochemistry (Formalin/PFA-fixed paraffin-embedded sections) - Anti-SETBP1 antibody [SP312] (AB216603)
  • IHC-P

Supplier Data

Immunohistochemistry (Formalin/PFA-fixed paraffin-embedded sections) - Anti-SETBP1 antibody [SP312] (AB216603)

Immunohistochemical analysis of formalin-fixed paraffin-embedded human lymph node tissue labeling SETBP1 with ab216603 at 1/100 dilution.

Immunohistochemistry (Formalin/PFA-fixed paraffin-embedded sections) - Anti-SETBP1 antibody [SP312] (AB216603)
  • IHC-P

Supplier Data

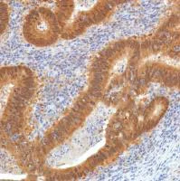
Immunohistochemistry (Formalin/PFA-fixed paraffin-embedded sections) - Anti-SETBP1 antibody [SP312] (AB216603)

Immunohistochemical analysis of formalin-fixed paraffin-embedded human colon tissue labeling SETBP1 with ab216603 at 1/100 dilution.

Immunohistochemistry (Formalin/PFA-fixed paraffin-embedded sections) - Anti-SETBP1 antibody [SP312] (AB216603)
  • IHC-P

Supplier Data

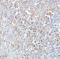
Immunohistochemistry (Formalin/PFA-fixed paraffin-embedded sections) - Anti-SETBP1 antibody [SP312] (AB216603)

Immunohistochemical analysis of formalin-fixed paraffin-embedded human B cell lymphoma tissue labeling SETBP1 with ab216603 at 1/100 dilution.

  • Carrier free

    Anti-SETBP1 antibody [SP312] - BSA and Azide free

Key facts

Host species

Rabbit

Clonality

Monoclonal

Clone number

SP312

Isotype

IgG

Carrier free

No

Reacts with

Human

Applications

IHC-P

applications

Immunogen

The exact immunogen used to generate this antibody is proprietary information.

Reactivity data

{ "title": "Reactivity Data", "filters": { "stats": ["", "Species", "Dilution Info", "Notes"], "tabs": { "all-applications": {"fullname" : "All Applications", "shortname": "All Applications"}, "IHCP" : {"fullname" : "Immunohistochemistry (Formalin/PFA-fixed paraffin-embedded sections)", "shortname":"IHC-P"} }, "product-promise": { "all": "all", "testedAndGuaranteed": "tested", "guaranteed": "expected", "predicted": "predicted", "notRecommended": "not-recommended" } }, "values": { "Human": { "IHCP-species-checked": "testedAndGuaranteed", "IHCP-species-dilution-info": "1/100", "IHCP-species-notes": "<p>Boil tissue section in EDTA buffer, pH 8.0 for 10 min followed by cooling at room temperature for 20 min. Primary incubation for 10 minutes at room temperature.</p>" } } }

Properties and storage information

Form
Liquid
Purification technique
Affinity purification Protein A/G
Purification notes
Purified from TCS by protein A/G.
Storage buffer
pH: 7.6 Preservative: 0.099% Sodium azide Constituents: PBS, 1% BSA
Shipped at conditions
Blue Ice
Appropriate short-term storage duration
1-2 weeks
Appropriate short-term storage conditions
+4°C
Appropriate long-term storage conditions
-20°C
Aliquoting information
Upon delivery aliquot
Storage information
Avoid freeze / thaw cycle

Supplementary information

This supplementary information is collated from multiple sources and compiled automatically.

SETBP1 also known as SET Binding Protein 1 is a protein encoded by the SETBP1 gene. It has a mass of approximately 170 kDa. SETBP1 binds to SET a protein involved in regulation of cell cycle and apoptosis. It is mainly expressed in the nucleus of cells particularly in tissues such as brain heart liver and muscle. Its localization in the nucleus indicates its role in gene regulation and chromatin organization.
Biological function summary

SETBP1 impacts transcriptional regulation by interacting with other proteins and modifying chromatin structure. While it is not a part of a classic multi-protein complex it influences the function of complexes involved in DNA repair and replication. This protein has a regulatory effect on pathways influencing cell maturation and proliferation making its role significant in cellular homeostasis.

Pathways

SETBP1 plays important roles in intracellular signaling specifically the PI3K/AKT pathway and the Wnt signaling pathway. In these pathways it modulates cell growth survival and differentiation by interacting with proteins like AKT and beta-catenin. These interactions help balance cell processes like apoptosis and proliferation essential for normal development and function.

SETBP1 alterations are linked to Schinzel-Giedion syndrome and some leukemias. Mutations in SETBP1 can affect DNA repair mechanisms leading to disorders related to impaired genomic stability. In leukemia SETBP1 mutations often associate with overexpression of proteins such as SET which drive disease progression by disrupting normal cell cycle regulation. Understanding SETBP1's roles and interactions can aid in developing therapies targeting these mutations.

Product protocols

For this product, it's our understanding that no specific protocols are required. You can visit:

Publications (1)

Recent publications for all applications. Explore the full list and refine your search

Biology open 12: PubMed37670689

2023

CRISPR/Cas9-mediated knockout of the ubiquitin variant UbKEKS reveals a role in regulating nucleolar structures and composition.

Applications

Unspecified application

Species

Unspecified reactive species

Julie Frion,Anna Meller,Gwendoline Marbach,Dominique Lévesque,Xavier Roucou,François-Michel Boisvert
View all publications

Product promise

We are committed to supporting your work with high-quality reagents, and we're here for you every step of the way. In the unlikely event that one of our products does not perform as expected, you're protected by our Product Promise.
For full details, please see our Terms & Conditions

Please note: All products are 'FOR RESEARCH USE ONLY. NOT FOR USE IN DIAGNOSTIC OR THERAPEUTIC PROCEDURES'.

For licensing inquiries, please contact partnerships@abcam.com