JavaScript is disabled in your browser. Please enable JavaScript to view this website.
AB272000

Anti-SETBP1 antibody [SP312] - BSA and Azide free

Be the first to review this product! Submit a review

|

(0 Publication)

Rabbit Recombinant Monoclonal SETBP1 antibody. Carrier free. Suitable for IHC-P and reacts with Human samples.

View Alternative Names

KIAA0437, SETBP1, SET-binding protein, SEB

10 Images
Immunohistochemistry (Formalin/PFA-fixed paraffin-embedded sections) - Anti-SETBP1 antibody [SP312] - BSA and Azide free (AB272000)
  • IHC-P

Supplier Data

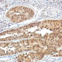
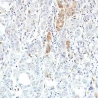
Immunohistochemistry (Formalin/PFA-fixed paraffin-embedded sections) - Anti-SETBP1 antibody [SP312] - BSA and Azide free (AB272000)

Immunohistochemical analysis of formalin-fixed, paraffin-embedded human urinary bladder transitional cell carcinoma tissue labeling SETBP1 with ab216603 at 1/100 dilution.

This data was developed using the same antibody clone in a different buffer formulation containing PBS, BSA, glycerol, and sodium azide (ab216603).

Immunohistochemistry (Formalin/PFA-fixed paraffin-embedded sections) - Anti-SETBP1 antibody [SP312] - BSA and Azide free (AB272000)
  • IHC-P

Supplier Data

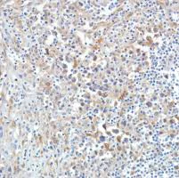
Immunohistochemistry (Formalin/PFA-fixed paraffin-embedded sections) - Anti-SETBP1 antibody [SP312] - BSA and Azide free (AB272000)

Immunohistochemical analysis of formalin-fixed, paraffin-embedded human HK lymphoma tissue labeling SETBP1 with ab216603 at 1/100 dilution.

This data was developed using the same antibody clone in a different buffer formulation containing PBS, BSA, glycerol, and sodium azide (ab216603).

Immunohistochemistry (Formalin/PFA-fixed paraffin-embedded sections) - Anti-SETBP1 antibody [SP312] - BSA and Azide free (AB272000)
  • IHC-P

Supplier Data

Immunohistochemistry (Formalin/PFA-fixed paraffin-embedded sections) - Anti-SETBP1 antibody [SP312] - BSA and Azide free (AB272000)

Immunohistochemical analysis of formalin-fixed, paraffin-embedded human urinary bladder tissue labeling SETBP1 with ab216603 at 1/100 dilution.

This data was developed using the same antibody clone in a different buffer formulation containing PBS, BSA, glycerol, and sodium azide (ab216603).

Immunohistochemistry (Formalin/PFA-fixed paraffin-embedded sections) - Anti-SETBP1 antibody [SP312] - BSA and Azide free (AB272000)
  • IHC-P

Unknown

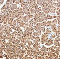
Immunohistochemistry (Formalin/PFA-fixed paraffin-embedded sections) - Anti-SETBP1 antibody [SP312] - BSA and Azide free (AB272000)

Immunohistochemical analysis of formalin-fixed, paraffin-embedded human pancreas tissue labeling SETBP1 with ab216603 at 1/100 dilution.

This data was developed using the same antibody clone in a different buffer formulation containing PBS, BSA, glycerol, and sodium azide (ab216603).

Immunohistochemistry (Formalin/PFA-fixed paraffin-embedded sections) - Anti-SETBP1 antibody [SP312] - BSA and Azide free (AB272000)
  • IHC-P

Supplier Data

Immunohistochemistry (Formalin/PFA-fixed paraffin-embedded sections) - Anti-SETBP1 antibody [SP312] - BSA and Azide free (AB272000)

Immunohistochemical analysis of formalin-fixed, paraffin-embedded human pancreatic adenocarcinoma tissue labeling SETBP1 with ab216603 at 1/100 dilution.

This data was developed using the same antibody clone in a different buffer formulation containing PBS, BSA, glycerol, and sodium azide (ab216603).

Immunohistochemistry (Formalin/PFA-fixed paraffin-embedded sections) - Anti-SETBP1 antibody [SP312] - BSA and Azide free (AB272000)
  • IHC-P

Unknown

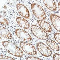
Immunohistochemistry (Formalin/PFA-fixed paraffin-embedded sections) - Anti-SETBP1 antibody [SP312] - BSA and Azide free (AB272000)

Immunohistochemical analysis of formalin-fixed, paraffin-embedded human colon adenocarcinoma tissue labeling SETBP1 with ab216603 at 1/100 dilution.

This data was developed using the same antibody clone in a different buffer formulation containing PBS, BSA, glycerol, and sodium azide (ab216603).

Immunohistochemistry (Formalin/PFA-fixed paraffin-embedded sections) - Anti-SETBP1 antibody [SP312] - BSA and Azide free (AB272000)
  • IHC-P

Supplier Data

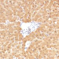
Immunohistochemistry (Formalin/PFA-fixed paraffin-embedded sections) - Anti-SETBP1 antibody [SP312] - BSA and Azide free (AB272000)

Immunohistochemical analysis of formalin-fixed, paraffin-embedded human liver tissue labeling SETBP1 with ab216603 at 1/100 dilution.

This data was developed using the same antibody clone in a different buffer formulation containing PBS, BSA, glycerol, and sodium azide (ab216603).

Immunohistochemistry (Formalin/PFA-fixed paraffin-embedded sections) - Anti-SETBP1 antibody [SP312] - BSA and Azide free (AB272000)
  • IHC-P

Supplier Data

Immunohistochemistry (Formalin/PFA-fixed paraffin-embedded sections) - Anti-SETBP1 antibody [SP312] - BSA and Azide free (AB272000)

Immunohistochemical analysis of formalin-fixed, paraffin-embedded human lymph node tissue labeling SETBP1 with ab216603 at 1/100 dilution.

This data was developed using the same antibody clone in a different buffer formulation containing PBS, BSA, glycerol, and sodium azide (ab216603).

Immunohistochemistry (Formalin/PFA-fixed paraffin-embedded sections) - Anti-SETBP1 antibody [SP312] - BSA and Azide free (AB272000)
  • IHC-P

Supplier Data

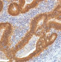
Immunohistochemistry (Formalin/PFA-fixed paraffin-embedded sections) - Anti-SETBP1 antibody [SP312] - BSA and Azide free (AB272000)

Immunohistochemical analysis of formalin-fixed, paraffin-embedded human colon tissue labeling SETBP1 with ab216603 at 1/100 dilution.

This data was developed using the same antibody clone in a different buffer formulation containing PBS, BSA, glycerol, and sodium azide (ab216603).

Immunohistochemistry (Formalin/PFA-fixed paraffin-embedded sections) - Anti-SETBP1 antibody [SP312] - BSA and Azide free (AB272000)
  • IHC-P

Supplier Data

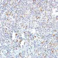
Immunohistochemistry (Formalin/PFA-fixed paraffin-embedded sections) - Anti-SETBP1 antibody [SP312] - BSA and Azide free (AB272000)

Immunohistochemical analysis of formalin-fixed, paraffin-embedded human B cell lymphoma tissue labeling SETBP1 with ab216603 at 1/100 dilution.

This data was developed using the same antibody clone in a different buffer formulation containing PBS, BSA, glycerol, and sodium azide (ab216603).

Key facts

Host species

Rabbit

Clonality

Monoclonal

Clone number

SP312

Isotype

IgG

Carrier free

Yes

Reacts with

Human

Applications

IHC-P

applications

Immunogen

The exact immunogen used to generate this antibody is proprietary information.

Reactivity data

{ "title": "Reactivity Data", "filters": { "stats": ["", "Species", "Dilution Info", "Notes"], "tabs": { "all-applications": {"fullname" : "All Applications", "shortname": "All Applications"}, "IHCP" : {"fullname" : "Immunohistochemistry (Formalin/PFA-fixed paraffin-embedded sections)", "shortname":"IHC-P"} }, "product-promise": { "all": "all", "testedAndGuaranteed": "tested", "guaranteed": "expected", "predicted": "predicted", "notRecommended": "not-recommended" } }, "values": { "Human": { "IHCP-species-checked": "testedAndGuaranteed", "IHCP-species-dilution-info": "", "IHCP-species-notes": "<p>Boil tissue section in EDTA buffer, pH 8.0 for 10 min followed by cooling at room temperature for 20 min. Primary incubation for 10 minutes at room temperature.</p>" } } }

Product details

ab272000 is the carrier-free version of ab216603.

Patented technology
Our RabMAb® technology is a patented hybridoma-based technology for making rabbit monoclonal antibodies. For details on our patents, please refer to RabMAb® patents.

What are the advantages of a recombinant monoclonal antibody?
This product is a recombinant monoclonal antibody, which offers several advantages including:

  • - High batch-to-batch consistency and reproducibility
  • - Improved sensitivity and specificity
  • - Long-term security of supply
  • - Animal-free batch production

For more information, read more on recombinant antibodies.

Conjugation ready
Our carrier-free antibodies are typically supplied in a PBS-only formulation, purified and free of BSA, sodium azide and glycerol. This conjugation-ready format is designed for use with fluorochromes, metal isotopes, oligonucleotides, and enzymes, which makes them ideal for antibody labelling, functional and cell-based assays, flow-based assays (e.g. mass cytometry) and Multiplex Imaging applications.

Use our conjugation kits for antibody conjugates that are ready-to-use in as little as 20 minutes with 1 minute hands-on-time and 100% antibody recovery: available for fluorescent dyes, HRP, biotin and gold.

Compatibility
This product is compatible with the Maxpar® Antibody Labeling Kit from Fluidigm, without the need for antibody preparation. Maxpar® is a trademark of Fluidigm Canada Inc.

Properties and storage information

Form
Liquid
Purification technique
Affinity purification Protein A/G
Storage buffer
pH: 7.2 - 7.4 Constituents: PBS
Shipped at conditions
Blue Ice
Appropriate short-term storage conditions
+4°C
Appropriate long-term storage conditions
+4°C
Storage information
Do Not Freeze

Supplementary information

This supplementary information is collated from multiple sources and compiled automatically.

SETBP1 also known as SET Binding Protein 1 is a protein encoded by the SETBP1 gene. It has a mass of approximately 170 kDa. SETBP1 binds to SET a protein involved in regulation of cell cycle and apoptosis. It is mainly expressed in the nucleus of cells particularly in tissues such as brain heart liver and muscle. Its localization in the nucleus indicates its role in gene regulation and chromatin organization.
Biological function summary

SETBP1 impacts transcriptional regulation by interacting with other proteins and modifying chromatin structure. While it is not a part of a classic multi-protein complex it influences the function of complexes involved in DNA repair and replication. This protein has a regulatory effect on pathways influencing cell maturation and proliferation making its role significant in cellular homeostasis.

Pathways

SETBP1 plays important roles in intracellular signaling specifically the PI3K/AKT pathway and the Wnt signaling pathway. In these pathways it modulates cell growth survival and differentiation by interacting with proteins like AKT and beta-catenin. These interactions help balance cell processes like apoptosis and proliferation essential for normal development and function.

SETBP1 alterations are linked to Schinzel-Giedion syndrome and some leukemias. Mutations in SETBP1 can affect DNA repair mechanisms leading to disorders related to impaired genomic stability. In leukemia SETBP1 mutations often associate with overexpression of proteins such as SET which drive disease progression by disrupting normal cell cycle regulation. Understanding SETBP1's roles and interactions can aid in developing therapies targeting these mutations.

Product protocols

For this product, it's our understanding that no specific protocols are required. You can visit:

Product promise

We are committed to supporting your work with high-quality reagents, and we're here for you every step of the way. In the unlikely event that one of our products does not perform as expected, you're protected by our Product Promise.
For full details, please see our Terms & Conditions

Please note: All products are 'FOR RESEARCH USE ONLY. NOT FOR USE IN DIAGNOSTIC OR THERAPEUTIC PROCEDURES'.

For licensing inquiries, please contact partnerships@abcam.com