JavaScript is disabled in your browser. Please enable JavaScript to view this website.
AB300479

Anti-SETD1B antibody [EPR25142-11]

Be the first to review this product! Submit a review

|

(0 Publication)

Rabbit Recombinant Monoclonal SETD1B antibody. Suitable for Flow Cyt (Intra), ICC/IF, IHC-P, WB and reacts with Mouse, Human, Rat samples.

View Alternative Names

KIAA1076, KMT2G, SET1B, SETD1B, Histone-lysine N-methyltransferase SETD1B, Lysine N-methyltransferase 2G, SET domain-containing protein 1B, hSET1B

10 Images
Flow Cytometry (Intracellular) - Anti-SETD1B antibody [EPR25142-11] (AB300479)
  • Flow Cyt (Intra)

Supplier Data

Flow Cytometry (Intracellular) - Anti-SETD1B antibody [EPR25142-11] (AB300479)

Flow cytometric analysis of 4% paraformaldehyde fixed 90% methanol permeabilized HeLa (human cervix adenocarcinoma epithelial cell) cells labelling SETD1B with ab300479 at 1/50 dilution (1ug) (Red) compared with a Rabbit monoclonal IgG (ab172730) (Black) isotype control and an unlabelled control (cells without incubation with primary antibody and secondary antibody) (Blue). A Goat Anti-Rabbit IgG (Alexa Fluor® 488, ab150081) at 1/2000 dilution was used as the secondary antibody.

Flow Cytometry (Intracellular) - Anti-SETD1B antibody [EPR25142-11] (AB300479)
  • Flow Cyt (Intra)

Supplier Data

Flow Cytometry (Intracellular) - Anti-SETD1B antibody [EPR25142-11] (AB300479)

Flow cytometric analysis of 4% paraformaldehyde fixed 90% methanol permeabilized F9 (mouse embryonal carcinoma epithelial cell) cells labelling SETD1B with ab300479 at 1/50 dilution (1ug) (Red) compared with a Rabbit monoclonal IgG (ab172730) (Black) isotype control and an unlabelled control (cells without incubation with primary antibody and secondary antibody) (Blue). A Goat Anti-Rabbit IgG (Alexa Fluor® 488, ab150081) at 1/2000 dilution was used as the secondary antibody.

Western blot - Anti-SETD1B antibody [EPR25142-11] (AB300479)
  • WB

Lab

Western blot - Anti-SETD1B antibody [EPR25142-11] (AB300479)

Blocking and diluting buffer and concentration : 5% NFDM/TBST.

Exposure time : Lane1 : 3 minutes, Lane 2 : 26 seconds.

The expression profile/ molecular weight observed is consistent with what has been described in the literature (PMID : 29138278).

Lysates were freshly made and used for Western blotting immediately to minimize protein degradation.

All lanes:

Western blot - Anti-SETD1B antibody [EPR25142-11] (ab300479) at 1/1000 dilution

Lane 1:

MCF7 (human breast adenocarcinoma epithelial cell) whole cell lysate at 20 µg

Lane 2:

F9 (mouse embryonal carcinoma epithelial cell) whole cell lysate at 20 µg

Secondary

All lanes:

Western blot - Goat Anti-Rabbit IgG H&L (HRP) (<a href='/en-us/products/secondary-antibodies/goat-rabbit-igg-h-l-hrp-ab97051'>ab97051</a>) at 1/20000 dilution

Predicted band size: 208 kDa

false

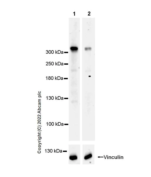
Western blot - Anti-SETD1B antibody [EPR25142-11] (AB300479)
  • WB

Lab

Western blot - Anti-SETD1B antibody [EPR25142-11] (AB300479)

Blocking and diluting buffer and concentration : 5% NFDM/TBST.

The expression profile/ molecular weight observed is consistent with what has been described in the literature (PMID : 29138278).

Lysates were freshly made and used for Western blotting immediately to minimize protein degradation.

All lanes:

Western blot - Anti-SETD1B antibody [EPR25142-11] (ab300479) at 1/1000 dilution

Lane 1:

HeLa (human cervix adenocarcinoma epithelial cell) transfected with scrambled siRNA control, whole cell lysate at 20 µg

Lane 2:

HeLa transfected with siRNA specifically targeting SETD1B, whole cell lysate at 20 µg

Secondary

All lanes:

Western blot - Goat Anti-Rabbit IgG H&L (HRP) (<a href='/en-us/products/secondary-antibodies/goat-rabbit-igg-h-l-hrp-ab97051'>ab97051</a>) at 1/20000 dilution

Predicted band size: 209 kDa

false

Exposure time: 3min

Western blot - Anti-SETD1B antibody [EPR25142-11] (AB300479)
  • WB

Lab

Western blot - Anti-SETD1B antibody [EPR25142-11] (AB300479)

Exposure time : Lane 1 - 3 minutes, Lane 2 : 26 seconds.

The expression profile/ molecular weight observed is consistent with what has been described in the literature (PMID : 29138278).

Lysates were freshly made and used for Western blotting immediately to minimize protein degradation.

An unknown band at ~115 kDa was detected in lane 3.

All lanes:

Western blot - Anti-SETD1B antibody [EPR25142-11] (ab300479) at 1/1000 dilution

Lane 1:

293T (human embryonic kidney epithelial cell) whole cell lysate at 20 µg

Lane 2:

NIH/3T3 (mouse embryonic fibroblast) whole cell lysate at 20 µg

Lane 3:

PC-12 (rat adrenal gland pheochromocytoma) whole cell lysate at 20 µg

Secondary

All lanes:

Western blot - Goat Anti-Rabbit IgG H&L (HRP) (<a href='/en-us/products/secondary-antibodies/goat-rabbit-igg-h-l-hrp-ab97051'>ab97051</a>) at 1/20000 dilution

Predicted band size: 209 kDa

false

Immunocytochemistry/ Immunofluorescence - Anti-SETD1B antibody [EPR25142-11] (AB300479)
  • ICC/IF

Supplier Data

Immunocytochemistry/ Immunofluorescence - Anti-SETD1B antibody [EPR25142-11] (AB300479)

Immunofluorescent analysis of 4% Paraformaldehyde-fixed, 0.1% TritonX-100 permeabilized HeLa (human cervix adenocarcinoma epithelial cell) cells labelling SETD1B with ab300479 at 1/100 (5.2 ug/ml) dilution, followed by ab150081 Goat Anti-Rabbit IgG H&L (Alexa Fluor® 488) preadsorbed antibody at 1/1000 2 ug/ml dilution (Green). Confocal image showing nuclear staining in HeLa cell line is observed. ab195889 Anti-alpha Tubulin mouse monoclonal antibody - Microtubule Marker (Alexa Fluor® 594) was used to counterstain tubulin at 1/200 2.5ug/ml dilution (Red). The Nuclear counterstain was DAPI (Blue). Secondary antibody only control : Secondary antibody is ab150081 Goat Anti-Rabbit IgG H&L (Alexa Fluor® 488) preadsorbed at 1/1000 2 ug/ml dilution.

Immunocytochemistry/ Immunofluorescence - Anti-SETD1B antibody [EPR25142-11] (AB300479)
  • ICC/IF

Supplier Data

Immunocytochemistry/ Immunofluorescence - Anti-SETD1B antibody [EPR25142-11] (AB300479)

Immunofluorescent analysis of 4% Paraformaldehyde-fixed, 0.1% TritonX-100 permeabilized F9 (mouse embryonal carcinoma epithelial cell) cells labelling SETD1B with ab300479 at 1/100 (5.2 ug/ml) dilution, followed by ab150081 Goat Anti-Rabbit IgG H&L (Alexa Fluor® 488) preadsorbed antibody at 1/1000 2 ug/ml dilution (Green). Confocal image showing nuclear staining in F9 cell line is observed. ab195889 Anti-alpha Tubulin mouse monoclonal antibody - Microtubule Marker (Alexa Fluor® 594) was used to counterstain tubulin at 1/200 2.5ug/ml dilution (Red). The Nuclear counterstain was DAPI (Blue). Secondary antibody only control : Secondary antibody is ab150081 Goat Anti-Rabbit IgG H&L (Alexa Fluor® 488) preadsorbed at 1/1000 2 ug/ml dilution.

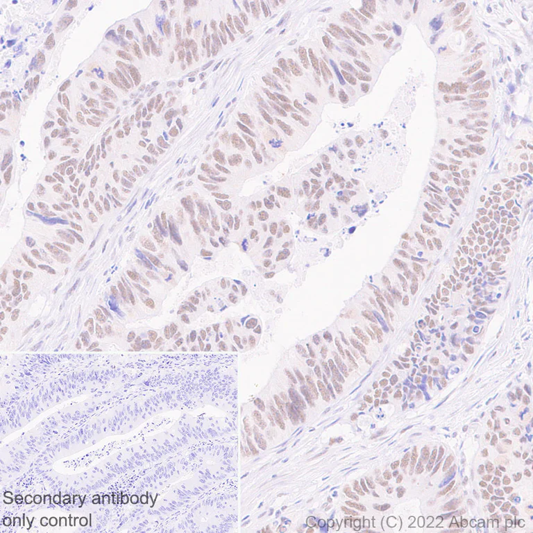
Immunohistochemistry (Formalin/PFA-fixed paraffin-embedded sections) - Anti-SETD1B antibody [EPR25142-11] (AB300479)
  • IHC-P

Supplier Data

Immunohistochemistry (Formalin/PFA-fixed paraffin-embedded sections) - Anti-SETD1B antibody [EPR25142-11] (AB300479)

Immunohistochemical analysis of paraffin-embedded Human colon tissue labeling SETD1B with ab300479 at 1/100 (5.2 ug/ml) followed by a ready to use Goat Anti-Rabbit IgG H&L (HRP polymer). Nuclear staining on human colon at a low level (PMID : 24925220). The section was incubated with ab300479 at 4°C overnight. Counterstained with Hematoxylin. Secondary antibody only control : Secondary antibody is a ready to use Goat Anti-Rabbit IgG H&L (HRP polymer).Heat mediated antigen retrieval using ab93684 (Tris/EDTA buffer, pH 9.0)

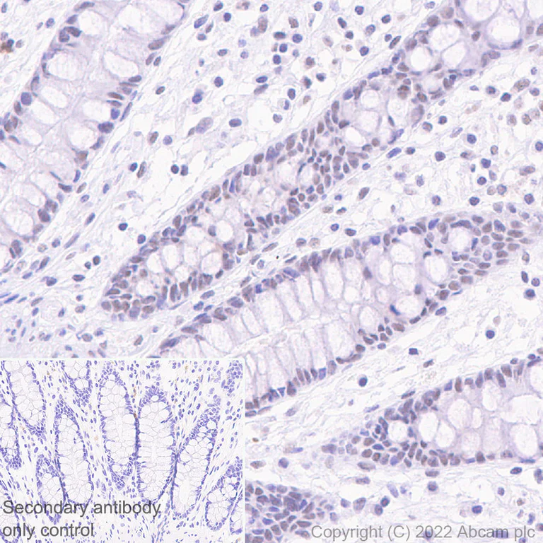
Immunohistochemistry (Formalin/PFA-fixed paraffin-embedded sections) - Anti-SETD1B antibody [EPR25142-11] (AB300479)
  • IHC-P

Supplier Data

Immunohistochemistry (Formalin/PFA-fixed paraffin-embedded sections) - Anti-SETD1B antibody [EPR25142-11] (AB300479)

Immunohistochemical analysis of paraffin-embedded Human colon cancer tissue labeling SETD1B with ab300479 at 1/100 (5.2 ug/ml) followed by a ready to use Goat Anti-Rabbit IgG H&L (HRP polymer). Nuclear staining on human colon cancer (PMID : 24925220). The section was incubated with ab300479 at 4°C overnight. Counterstained with Hematoxylin. Secondary antibody only control : Secondary antibody is a ready to use Goat Anti-Rabbit IgG H&L (HRP polymer).Heat mediated antigen retrieval using ab93684 (Tris/EDTA buffer, pH 9.0)

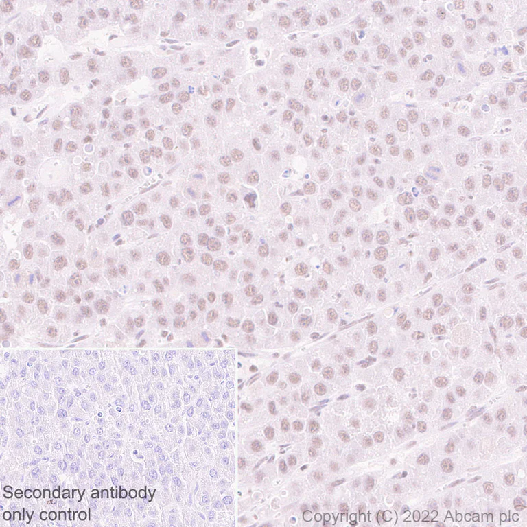
Immunohistochemistry (Formalin/PFA-fixed paraffin-embedded sections) - Anti-SETD1B antibody [EPR25142-11] (AB300479)
  • IHC-P

Supplier Data

Immunohistochemistry (Formalin/PFA-fixed paraffin-embedded sections) - Anti-SETD1B antibody [EPR25142-11] (AB300479)

Immunohistochemical analysis of paraffin-embedded Mouse liver cancer tissue labeling SETD1B with ab300479 at 1/100 (5.2 ug/ml) followed by a ready to use Goat Anti-Rabbit IgG H&L (HRP polymer). Nuclear staining on mouse liver cancer. The section was incubated with ab300479 at 4°C overnight. Counterstained with Hematoxylin. Secondary antibody only control : Secondary antibody is a ready to use Goat Anti-Rabbit IgG H&L (HRP polymer).Heat mediated antigen retrieval using ab93684 (Tris/EDTA buffer, pH 9.0)

  • Carrier free

    Anti-SETD1B antibody [EPR25142-11] (BSA and Azide free)

Key facts

Host species

Rabbit

Clonality

Monoclonal

Clone number

EPR25142-11

Isotype

IgG

Carrier free

No

Reacts with

Rat, Mouse, Human

Applications

ICC/IF, WB, IHC-P, Flow Cyt (Intra)

applications

Immunogen

The exact immunogen used to generate this antibody is proprietary information.

Reactivity data

{ "title": "Reactivity Data", "filters": { "stats": ["", "Species", "Dilution Info", "Notes"], "tabs": { "all-applications": {"fullname" : "All Applications", "shortname": "All Applications"}, "IP" : {"fullname" : "Immunoprecipitation", "shortname":"IP"}, "FlowCytIntra" : {"fullname" : "Flow Cytometry (Intracellular)", "shortname":"Flow Cyt (Intra)"}, "ICCIF" : {"fullname" : "Immunocytochemistry/ Immunofluorescence", "shortname":"ICC/IF"}, "IHCP" : {"fullname" : "Immunohistochemistry (Formalin/PFA-fixed paraffin-embedded sections)", "shortname":"IHC-P"}, "WB" : {"fullname" : "Western blot", "shortname":"WB"} }, "product-promise": { "all": "all", "testedAndGuaranteed": "tested", "guaranteed": "expected", "predicted": "predicted", "notRecommended": "not-recommended" } }, "values": { "Human": { "IP-species-checked": "notRecommended", "IP-species-dilution-info": "", "IP-species-notes": "<p></p>", "FlowCytIntra-species-checked": "testedAndGuaranteed", "FlowCytIntra-species-dilution-info": "1/50", "FlowCytIntra-species-notes": "<p></p>", "ICCIF-species-checked": "testedAndGuaranteed", "ICCIF-species-dilution-info": "1/100", "ICCIF-species-notes": "<p></p>", "IHCP-species-checked": "testedAndGuaranteed", "IHCP-species-dilution-info": "1/100", "IHCP-species-notes": "<p></p> Perform heat-mediated antigen retrieval with Tris/EDTA buffer pH 9.0 before commencing with IHC staining protocol.", "WB-species-checked": "testedAndGuaranteed", "WB-species-dilution-info": "1/1000", "WB-species-notes": "<p></p>" }, "Mouse": { "IP-species-checked": "notRecommended", "IP-species-dilution-info": "", "IP-species-notes": "", "FlowCytIntra-species-checked": "testedAndGuaranteed", "FlowCytIntra-species-dilution-info": "1/50", "FlowCytIntra-species-notes": "<p></p>", "ICCIF-species-checked": "testedAndGuaranteed", "ICCIF-species-dilution-info": "1/100", "ICCIF-species-notes": "<p></p>", "IHCP-species-checked": "testedAndGuaranteed", "IHCP-species-dilution-info": "1/100", "IHCP-species-notes": "<p></p> Perform heat-mediated antigen retrieval with Tris/EDTA buffer pH 9.0 before commencing with IHC staining protocol.", "WB-species-checked": "testedAndGuaranteed", "WB-species-dilution-info": "1/1000", "WB-species-notes": "<p></p>" }, "Rat": { "IP-species-checked": "notRecommended", "IP-species-dilution-info": "", "IP-species-notes": "", "FlowCytIntra-species-checked": "guaranteed", "FlowCytIntra-species-dilution-info": "", "FlowCytIntra-species-notes": "", "ICCIF-species-checked": "guaranteed", "ICCIF-species-dilution-info": "", "ICCIF-species-notes": "", "IHCP-species-checked": "notRecommended", "IHCP-species-dilution-info": "1/100", "IHCP-species-notes": "<p></p> Perform heat-mediated antigen retrieval with Tris/EDTA buffer pH 9.0 before commencing with IHC staining protocol.", "WB-species-checked": "testedAndGuaranteed", "WB-species-dilution-info": "1/1000", "WB-species-notes": "<p></p>" } } }

Product details

Patented technology
Our RabMAb® technology is a patented hybridoma-based technology for making rabbit monoclonal antibodies. For details on our patents, please refer to RabMAb® patents.

What are the advantages of a recombinant monoclonal antibody?
This product is a recombinant monoclonal antibody, which offers several advantages including:

  • - High batch-to-batch consistency and reproducibility
  • - Improved sensitivity and specificity
  • - Long-term security of supply
  • - Animal-free batch production

For more information, read more on recombinant antibodies.

Properties and storage information

Form
Liquid
Purification technique
Affinity purification Protein A
Storage buffer
pH: 7.2 - 7.4 Preservative: 0.01% Sodium azide Constituents: PBS, 40% Glycerol (glycerin, glycerine), 0.05% BSA
Shipped at conditions
Blue Ice
Appropriate short-term storage duration
1-2 weeks
Appropriate short-term storage conditions
+4°C
Appropriate long-term storage conditions
-20°C
Aliquoting information
Upon delivery aliquot
Storage information
Avoid freeze / thaw cycle

Supplementary information

This supplementary information is collated from multiple sources and compiled automatically.

SETD1B also known as KMT2G is a histone methyltransferase protein with a molecular mass of approximately 200 kDa. It functions mechanically by specifically methylating lysine 4 on histone H3 (H3K4) a critical action for chromatin modification. This methylation regulates gene transcription and the enzyme predominantly exerts its effects in the nucleus. SETD1B expresses across various tissues which suggests a broad regulatory role in different cellular environments.
Biological function summary

The role of SETD1B extends to functioning as part of the SET1/MLL complex which is responsible for the mono- di- and tri-methylation of histone H3 at lysine 4 (H3K4). The complex plays a significant role in transcriptional regulation influencing gene activation and silencing across different cellular processes. SETD1B's activity modulates the expression of genes involved in the regulation of development differentiation and cellular proliferation impacting numerous biological outcomes.

Pathways

The involvement of SETD1B in gene expression regulation positions it notably in the Wnt signaling pathway. This pathway is important for controlling cell fate and proliferation. Furthermore SETD1B interacts with other proteins like β-catenin enhancing transcription of Wnt target genes. Additionally SETD1B takes part in the regulation of pathways involving chromatin remodeling associating closely with proteins such as ASH2L which affects histone methylation states.

Alterations in SETD1B are linked to intellectual disability and autism spectrum disorders. Disruptions in the protein's methylation function can lead to improper gene expression patterns emphasizing its association with neurodevelopmental conditions. SETD1B also connects with the CBP protein in certain cancer pathways where abnormal histone modification can drive oncogenesis. These interactions highlight SETD1B's significance in maintaining regular cellular function and its potential impact when mutant or dysregulated.

Product protocols

For this product, it's our understanding that no specific protocols are required. You can visit:

Target data

Histone methyltransferase that catalyzes methyl group transfer from S-adenosyl-L-methionine to the epsilon-amino group of 'Lys-4' of histone H3 (H3K4) via a non-processive mechanism (PubMed : 17355966, PubMed : 25561738). Part of chromatin remodeling machinery, forms H3K4me1, H3K4me2 and H3K4me3 methylation marks at active chromatin sites where transcription and DNA repair take place (PubMed : 17355966, PubMed : 25561738). Plays an essential role in regulating the transcriptional programming of multipotent hematopoietic progenitor cells and lymphoid lineage specification during hematopoiesis (By similarity).
See full target information SETD1B

Product promise

We are committed to supporting your work with high-quality reagents, and we're here for you every step of the way. In the unlikely event that one of our products does not perform as expected, you're protected by our Product Promise.
For full details, please see our Terms & Conditions

Please note: All products are 'FOR RESEARCH USE ONLY. NOT FOR USE IN DIAGNOSTIC OR THERAPEUTIC PROCEDURES'.

For licensing inquiries, please contact partnerships@abcam.com