JavaScript is disabled in your browser. Please enable JavaScript to view this website.
AB255859

Anti-Sez6 antibody [14E5] - BSA and Azide free

Be the first to review this product! Submit a review

|

(1 Publication)

Rat Recombinant Monoclonal SEZ6 antibody. Carrier free. Suitable for WB, IHC-P and reacts with Mouse, Rat samples. Cited in 1 publication.

View Alternative Names

Kiaa4158, Sez6, Seizure protein 6, SEZ-6, Brain-specific receptor-like protein C, BSRP-C

5 Images
Immunohistochemistry (Formalin/PFA-fixed paraffin-embedded sections) - Anti-Sez6 antibody [14E5] - BSA and Azide free (AB255859)
  • IHC-P

Unknown

Immunohistochemistry (Formalin/PFA-fixed paraffin-embedded sections) - Anti-Sez6 antibody [14E5] - BSA and Azide free (AB255859)

Immunohistochemical analysis of paraffin-embedded rat hippocampus tissue labeling Sez6 with ab252863 at 1/500 dilution followed by a ready to use Goat Anti-rat IgG H&L (HRP polymer) (ab214882). Positive staining on the rat hippocampus. The section was incubated with ab252863 for 30 mins at room temperature. The immunostaining was performed on a Leica Biosystems BOND® RX instrument. Counterstained with Hematoxylin.

Secondary antibody only control : Secondary antibody is a ready to use Goat Anti-rat IgG H&L (HRP polymer) (ab214882).

Heat mediated antigen retrieval with Tris-EDTA buffer (pH 9.0, epitope retrieval solution2) for 20 mins.

This data was developed using the same antibody clone in a different buffer formulation containing PBS, BSA, glycerol, and sodium azide (ab252863).

Immunohistochemistry (Formalin/PFA-fixed paraffin-embedded sections) - Anti-Sez6 antibody [14E5] - BSA and Azide free (AB255859)
  • IHC-P

Unknown

Immunohistochemistry (Formalin/PFA-fixed paraffin-embedded sections) - Anti-Sez6 antibody [14E5] - BSA and Azide free (AB255859)

Immunohistochemical analysis of paraffin-embedded mouse hippocampus tissue labeling Sez6 with ab252863 at 1/500 dilution followed by a ready to use Goat Anti-rat IgG H&L (HRP polymer) (ab214882). Positive staining on the mouse hippocampus. The section was incubated with ab252863 for 30 mins at room temperature. The immunostaining was performed on a Leica Biosystems BOND® RX instrument. Counterstained with Hematoxylin.

Secondary antibody only control : Secondary antibody is a ready to use Goat Anti-rat IgG H&L (HRP polymer) (ab214882).

Heat mediated antigen retrieval with Tris-EDTA buffer (pH 9.0, epitope retrieval solution2) for 20 mins.

This data was developed using the same antibody clone in a different buffer formulation containing PBS, BSA, glycerol, and sodium azide (ab252863).

Immunohistochemistry (Formalin/PFA-fixed paraffin-embedded sections) - Anti-Sez6 antibody [14E5] - BSA and Azide free (AB255859)
  • IHC-P

Unknown

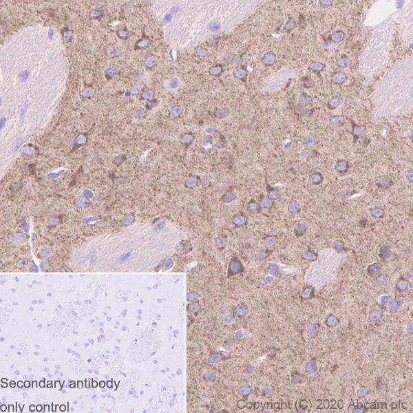
Immunohistochemistry (Formalin/PFA-fixed paraffin-embedded sections) - Anti-Sez6 antibody [14E5] - BSA and Azide free (AB255859)

Immunohistochemical analysis of paraffin-embedded mouse cerebrum tissue labeling Sez6 with ab252863 at 1/500 dilution followed by a ready to use Goat Anti-rat IgG H&L (HRP polymer) (ab214882). Positive staining on the mouse cerebrum. The section was incubated with ab252863 for 30 mins at room temperature. The immunostaining was performed on a Leica Biosystems BOND® RX instrument. Counterstained with Hematoxylin.

Secondary antibody only control : Secondary antibody is a ready to use Goat Anti-rat IgG H&L (HRP polymer) (ab214882).

Heat mediated antigen retrieval with Tris-EDTA buffer (pH 9.0, epitope retrieval solution2) for 20 mins.

This data was developed using the same antibody clone in a different buffer formulation containing PBS, BSA, glycerol, and sodium azide (ab252863).

Immunohistochemistry (Formalin/PFA-fixed paraffin-embedded sections) - Anti-Sez6 antibody [14E5] - BSA and Azide free (AB255859)
  • IHC-P

Unknown

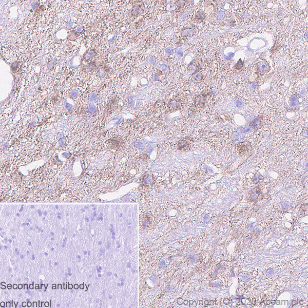
Immunohistochemistry (Formalin/PFA-fixed paraffin-embedded sections) - Anti-Sez6 antibody [14E5] - BSA and Azide free (AB255859)

Immunohistochemical analysis of paraffin-embedded rat cerebrum tissue labeling Sez6 with ab252863 at 1/500 dilution followed by a ready to use Goat Anti-rat IgG H&L (HRP polymer) (ab214882). Positive staining on the rat cerebrum. The section was incubated with ab252863 for 30 mins at room temperature. The immunostaining was performed on a Leica Biosystems BOND® RX instrument. Counterstained with Hematoxylin.

Secondary antibody only control : Secondary antibody is a ready to use Goat Anti-rat IgG H&L (HRP polymer) (ab214882).

Heat mediated antigen retrieval with Tris-EDTA buffer (pH 9.0, epitope retrieval solution2) for 20 mins.

This data was developed using the same antibody clone in a different buffer formulation containing PBS, BSA, glycerol, and sodium azide (ab252863).

Western blot - Anti-Sez6 antibody [14E5] - BSA and Azide free (AB255859)
  • WB

Lab

Western blot - Anti-Sez6 antibody [14E5] - BSA and Azide free (AB255859)

Blocking and diluting buffer and concentration : 5% NFDM/TBST.

The molecular weight observed was in consistent with the literature (PMID : 27716410).

Exposure time : 180 seconds.

This data was developed using the same antibody clone in a different buffer formulation containing PBS, BSA, glycerol, and sodium azide (ab252863).

All lanes:

Western blot - Anti-Sez6 antibody [14E5] (<a href='/en-us/products/primary-antibodies/sez6-antibody-14e5-ab252863'>ab252863</a>) at 1/1000 dilution

Lane 1:

Mouse brain tissue lysate at 20 µg

Lane 2:

Rat brain tissue lysate at 20 µg

Secondary

All lanes:

Goat Anti-Rat IgG (H+L), HRP) (<a href='/en-us/products/secondary-antibodies/goat-rat-igg-h-l-hrp-ab205720'>ab205720</a>) at 1/10000 dilution

Predicted band size: 107 kDa

Observed band size: 170 kDa

false

Key facts

Host species

Rat

Clonality

Monoclonal

Clone number

14E5

Isotype

IgG1

Light chain type

kappa

Carrier free

Yes

Reacts with

Mouse, Rat

Applications

WB, IHC-P

applications

Immunogen

The exact immunogen used to generate this antibody is proprietary information.

Reactivity data

{ "title": "Reactivity Data", "filters": { "stats": ["", "Species", "Dilution Info", "Notes"], "tabs": { "all-applications": {"fullname" : "All Applications", "shortname": "All Applications"}, "WB" : {"fullname" : "Western blot", "shortname":"WB"}, "IHCP" : {"fullname" : "Immunohistochemistry (Formalin/PFA-fixed paraffin-embedded sections)", "shortname":"IHC-P"} }, "product-promise": { "all": "all", "testedAndGuaranteed": "tested", "guaranteed": "expected", "predicted": "predicted", "notRecommended": "not-recommended" } }, "values": { "Human": { "WB-species-checked": "notRecommended", "WB-species-dilution-info": "1/1000", "WB-species-notes": "<p></p>", "IHCP-species-checked": "notRecommended", "IHCP-species-dilution-info": "1/500", "IHCP-species-notes": "<p></p>" }, "Mouse": { "WB-species-checked": "testedAndGuaranteed", "WB-species-dilution-info": "1/1000", "WB-species-notes": "<p></p>", "IHCP-species-checked": "testedAndGuaranteed", "IHCP-species-dilution-info": "1/500", "IHCP-species-notes": "<p></p>" }, "Rat": { "WB-species-checked": "testedAndGuaranteed", "WB-species-dilution-info": "1/1000", "WB-species-notes": "<p></p>", "IHCP-species-checked": "testedAndGuaranteed", "IHCP-species-dilution-info": "1/500", "IHCP-species-notes": "<p></p>" } } }

Product details

ab255859 is the carrier-free version of ab252863.

What are the advantages of a recombinant monoclonal antibody?
This product is a recombinant monoclonal antibody, which offers several advantages including:

  • - High batch-to-batch consistency and reproducibility
  • - Improved sensitivity and specificity
  • - Long-term security of supply
  • - Animal-free batch production

For more information, read more on recombinant antibodies.

Want a custom formulation?
This antibody clone is manufactured by Abcam. If you require a custom buffer formulation or conjugation for your experiments, please contact orders@abcam.com

Conjugation ready
Our carrier-free antibodies are typically supplied in a PBS-only formulation, purified and free of BSA, sodium azide and glycerol. This conjugation-ready format is designed for use with fluorochromes, metal isotopes, oligonucleotides, and enzymes, which makes them ideal for antibody labelling, functional and cell-based assays, flow-based assays (e.g. mass cytometry) and Multiplex Imaging applications.

Use our conjugation kits for antibody conjugates that are ready-to-use in as little as 20 minutes with 1 minute hands-on-time and 100% antibody recovery: available for fluorescent dyes, HRP, biotin and gold.

Compatibility
This product is compatible with the Maxpar® Antibody Labeling Kit from Fluidigm, without the need for antibody preparation. Maxpar® is a trademark of Fluidigm Canada Inc.

Properties and storage information

Form
Liquid
Purification technique
Affinity purification Protein A
Storage buffer
pH: 7.2 - 7.4 Constituents: PBS
Shipped at conditions
Blue Ice
Appropriate short-term storage conditions
+4°C
Appropriate long-term storage conditions
+4°C
Storage information
Do Not Freeze

Supplementary information

This supplementary information is collated from multiple sources and compiled automatically.

Sez6 also known as seizure-related gene 6 protein plays an important role in the nervous system. It has a mass of about 110 kDa and is mostly expressed in the brain. Sez6 is part of a family of proteins that includes Sez6L and Sez6L2. This protein contains multiple complement control protein (CCP) domains which are important for its function in modulating neural activities.
Biological function summary

Sez6 modulates synaptic transmission by regulating AMPA receptor trafficking at the synapse. This protein participates in the complex of proteins involved in synaptic maintenance and plasticity. Through its effect on synaptic receptors Sez6 influences calcium influx and neurotransmitter release important processes for proper neural signaling and cognitive functions.

Pathways

Sez6 influences synaptic signaling and neuronal plasticity pathways. It particularly affects the glutamatergic signaling pathway altering the function of AMPA receptors. Sez6 interacts with other synaptic proteins like PSD-95 and glutamate receptors which mediate communication between neurons and adjust synaptic strength.

Sez6 has been linked to neurodevelopmental disorders such as autism spectrum disorder. It is also associated with epilepsy as disruptions in synaptic regulation could lead to seizures. The connection to these disorders often involves altered interactions with proteins like NRXN and NLGN which are vital for synaptic formation and maintenance.

Product protocols

For this product, it's our understanding that no specific protocols are required. You can visit:

Target data

May play a role in cell-cell recognition and in neuronal membrane signaling. Seems to be important for the achievement of the necessary balance between dendrite elongation and branching during the elaboration of a complex dendritic arbor. Involved in the development of appropriate excitatory synaptic connectivity.
See full target information Sez6

Publications (1)

Recent publications for all applications. Explore the full list and refine your search

Molecular neurodegeneration 11:67 PubMed27716410

2016

Seizure protein 6 and its homolog seizure 6-like protein are physiological substrates of BACE1 in neurons.

Applications

Unspecified application

Species

Unspecified reactive species

Martina Pigoni,Johanna Wanngren,Peer-Hendrik Kuhn,Kathryn M Munro,Jenny M Gunnersen,Hiroshi Takeshima,Regina Feederle,Iryna Voytyuk,Bart De Strooper,Mikail D Levasseur,Brian J Hrupka,Stephan A Müller,Stefan F Lichtenthaler
View all publications

Product promise

We are committed to supporting your work with high-quality reagents, and we're here for you every step of the way. In the unlikely event that one of our products does not perform as expected, you're protected by our Product Promise.
For full details, please see our Terms & Conditions

Please note: All products are 'FOR RESEARCH USE ONLY. NOT FOR USE IN DIAGNOSTIC OR THERAPEUTIC PROCEDURES'.

For licensing inquiries, please contact partnerships@abcam.com