JavaScript is disabled in your browser. Please enable JavaScript to view this website.
AB238523

Anti-SF2 antibody

Be the first to review this product! Submit a review

|

(1 Publication)

Rabbit Polyclonal SF2 antibody. Suitable for WB, IHC-P, ICC/IF and reacts with Mouse, Human, Rat samples. Cited in 1 publication. Immunogen corresponding to Recombinant Full Length Protein corresponding to Human SRSF1.

View Alternative Names

ASF, SF2, SF2P33, SFRS1, OK/SW-cl.3, SRSF1, Serine/arginine-rich splicing factor 1, Alternative-splicing factor 1, ASF-1

5 Images
Immunocytochemistry/ Immunofluorescence - Anti-SF2 antibody (AB238523)
  • ICC/IF

Supplier Data

Immunocytochemistry/ Immunofluorescence - Anti-SF2 antibody (AB238523)

U-2 OS (Human bone osteosarcoma epithelial cell line) cells stained for SF2 using ab238523 (Top panel, red) at a 1/50 dilution in ICC/IF. Counterstained with DAPI (Bottom panel, merge).

Immunohistochemistry (Formalin/PFA-fixed paraffin-embedded sections) - Anti-SF2 antibody (AB238523)
  • IHC-P

Supplier Data

Immunohistochemistry (Formalin/PFA-fixed paraffin-embedded sections) - Anti-SF2 antibody (AB238523)

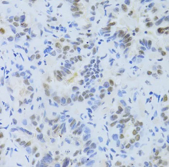
Paraffin-embedded human lung cancer tissue stained for SF2 with ab238523 at a 1/200 dilution in immunohistochemical analysis.

Immunohistochemistry (Formalin/PFA-fixed paraffin-embedded sections) - Anti-SF2 antibody (AB238523)
  • IHC-P

Supplier Data

Immunohistochemistry (Formalin/PFA-fixed paraffin-embedded sections) - Anti-SF2 antibody (AB238523)

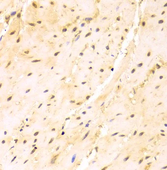
Paraffin-embedded mouse esophagus tissue stained for SF2 with ab238523 at a 1/100 dilution in immunohistochemical analysis.

Immunohistochemistry (Formalin/PFA-fixed paraffin-embedded sections) - Anti-SF2 antibody (AB238523)
  • IHC-P

Supplier Data

Immunohistochemistry (Formalin/PFA-fixed paraffin-embedded sections) - Anti-SF2 antibody (AB238523)

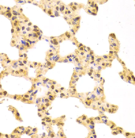
Paraffin-embedded rat lung tissue stained for SF2 with ab238523 at a 1/100 dilution in immunohistochemical analysis.

Western blot - Anti-SF2 antibody (AB238523)
  • WB

Supplier Data

Western blot - Anti-SF2 antibody (AB238523)

Blocking buffer : 3% non-fat dry milk in TBST.

All lanes:

Western blot - Anti-SF2 antibody (ab238523) at 1/1000 dilution

Lane 1:

HeLa (Human epithelial cell line from cervix adenocarcinoma) cell extract at 25 µg

Lane 2:

MCF7 (Human breast adenocarcinoma cell line) cell extract at 25 µg

Lane 3:

DU 145 (Human prostate carcinoma cell line) cell extract at 25 µg

Lane 4:

Mouse thymus extract at 25 µg

Lane 5:

Mouse spleen extract at 25 µg

Secondary

All lanes:

HRP Goat Anti-Rabbit IgG (H+L) at 1/10000 dilution

Predicted band size: 28 kDa

false

Key facts

Host species

Rabbit

Clonality

Polyclonal

Isotype

IgG

Carrier free

No

Reacts with

Mouse, Rat, Human

Applications

IHC-P, ICC/IF, WB

applications

Immunogen

Recombinant Full Length Protein corresponding to Human SRSF1.

Q07955

Reactivity data

{ "title": "Reactivity Data", "filters": { "stats": ["", "Species", "Dilution Info", "Notes"], "tabs": { "all-applications": {"fullname" : "All Applications", "shortname": "All Applications"}, "WB" : {"fullname" : "Western blot", "shortname":"WB"}, "IHCP" : {"fullname" : "Immunohistochemistry (Formalin/PFA-fixed paraffin-embedded sections)", "shortname":"IHC-P"}, "ICCIF" : {"fullname" : "Immunocytochemistry/ Immunofluorescence", "shortname":"ICC/IF"} }, "product-promise": { "all": "all", "testedAndGuaranteed": "tested", "guaranteed": "expected", "predicted": "predicted", "notRecommended": "not-recommended" } }, "values": { "Human": { "WB-species-checked": "testedAndGuaranteed", "WB-species-dilution-info": "1/500 - 1/2000", "WB-species-notes": "<p></p>", "IHCP-species-checked": "testedAndGuaranteed", "IHCP-species-dilution-info": "1/50 - 1/200", "IHCP-species-notes": "<p></p>", "ICCIF-species-checked": "testedAndGuaranteed", "ICCIF-species-dilution-info": "1/50 - 1/200", "ICCIF-species-notes": "<p></p>" }, "Mouse": { "WB-species-checked": "testedAndGuaranteed", "WB-species-dilution-info": "1/500 - 1/2000", "WB-species-notes": "<p></p>", "IHCP-species-checked": "testedAndGuaranteed", "IHCP-species-dilution-info": "1/50 - 1/200", "IHCP-species-notes": "<p></p>", "ICCIF-species-checked": "guaranteed", "ICCIF-species-dilution-info": "", "ICCIF-species-notes": "" }, "Rat": { "WB-species-checked": "guaranteed", "WB-species-dilution-info": "", "WB-species-notes": "", "IHCP-species-checked": "testedAndGuaranteed", "IHCP-species-dilution-info": "1/50 - 1/200", "IHCP-species-notes": "<p></p>", "ICCIF-species-checked": "guaranteed", "ICCIF-species-dilution-info": "", "ICCIF-species-notes": "" }, "Cow": { "WB-species-checked": "predicted", "WB-species-dilution-info": "", "WB-species-notes": "", "IHCP-species-checked": "predicted", "IHCP-species-dilution-info": "", "IHCP-species-notes": "", "ICCIF-species-checked": "predicted", "ICCIF-species-dilution-info": "", "ICCIF-species-notes": "" }, "Pig": { "WB-species-checked": "predicted", "WB-species-dilution-info": "", "WB-species-notes": "", "IHCP-species-checked": "predicted", "IHCP-species-dilution-info": "", "IHCP-species-notes": "", "ICCIF-species-checked": "predicted", "ICCIF-species-dilution-info": "", "ICCIF-species-notes": "" } } }

Properties and storage information

Form
Liquid
Purification technique
Affinity purification
Storage buffer
pH: 7.3 Preservative: 0.02% Sodium azide Constituents: PBS, 50% Glycerol (glycerin, glycerine)
Shipped at conditions
Blue Ice
Appropriate short-term storage duration
1-2 weeks
Appropriate short-term storage conditions
+4°C
Appropriate long-term storage conditions
-20°C
Aliquoting information
Upon delivery aliquot
Storage information
Avoid freeze / thaw cycle

Supplementary information

This supplementary information is collated from multiple sources and compiled automatically.

SF2 also known as Splicing Factor 2 or Alternative Splicing Factor 1 (ASF1) is a prototypical member of the SR protein family involved in mRNA splicing. It is approximately 33 kDa in mass. SF2 is expressed ubiquitously in the nucleus of eukaryotic cells where it plays a central role in the regulation of constitutive and alternative splicing processes.
Biological function summary

SF2 acts as an important regulator of gene expression by facilitating the splicing of pre-mRNA participating in spliceosome assembly. It interacts with other splicing factors and RNA to form spliceosomal complexes essential for splicing fidelity and efficiency. The precise modulation of splicing by SF2 allows for the generation of diverse protein isoforms from a single gene contributing to protein diversity within the cell.

Pathways

SF2 integrates into the RNA splicing pathway and is critical for splice site selection. It interacts with proteins such as U1 snRNP and U2AF65 influencing their binding to pre-mRNA. SF2 also plays roles in other key pathways like mRNA transport and translation thereby linking the splicing machinery with nuclear export and protein synthesis processes.

Abnormalities in SF2 levels or functions have been linked to various cancers and spinal muscular atrophy (SMA). Cancer cells often show altered SF2 expression leading to splicing anomalies that promote tumorigenesis. Additionally SF2's interaction with proteins like hnRNP A1 influences disease mechanisms as splicing factor dysregulation can disrupt normal cellular processes and facilitate the progression of disorders such as SMA.

Product protocols

For this product, it's our understanding that no specific protocols are required. You can visit:

Target data

Plays a role in preventing exon skipping, ensuring the accuracy of splicing and regulating alternative splicing. Interacts with other spliceosomal components, via the RS domains, to form a bridge between the 5'- and 3'-splice site binding components, U1 snRNP and U2AF. Can stimulate binding of U1 snRNP to a 5'-splice site-containing pre-mRNA. Binds to purine-rich RNA sequences, either the octamer, 5'-RGAAGAAC-3' (r=A or G) or the decamers, AGGACAGAGC/AGGACGAAGC. Binds preferentially to the 5'-CGAGGCG-3' motif in vitro. Three copies of the octamer constitute a powerful splicing enhancer in vitro, the ASF/SF2 splicing enhancer (ASE) which can specifically activate ASE-dependent splicing. Isoform ASF-2 and isoform ASF-3 act as splicing repressors. May function as export adapter involved in mRNA nuclear export through the TAP/NXF1 pathway.
See full target information SRSF1

Publications (1)

Recent publications for all applications. Explore the full list and refine your search

Journal of inflammation research 17:11505-11527 PubMed39735897

2024

Astragalus Polysaccharide Mitigates Rhabdomyolysis-Induced Acute Kidney Injury via Inhibition of M1 Macrophage Polarization and the cGAS-STING Pathway.

Applications

Unspecified application

Species

Unspecified reactive species

Chuanchuan Sun,Xinhai Zhao,Xianghong Wang,Yeye Yu,Heng Shi,Jun Tang,Shengyun Sun,Shiping Zhu
View all publications

Product promise

We are committed to supporting your work with high-quality reagents, and we're here for you every step of the way. In the unlikely event that one of our products does not perform as expected, you're protected by our Product Promise.
For full details, please see our Terms & Conditions

Please note: All products are 'FOR RESEARCH USE ONLY. NOT FOR USE IN DIAGNOSTIC OR THERAPEUTIC PROCEDURES'.

For licensing inquiries, please contact partnerships@abcam.com