JavaScript is disabled in your browser. Please enable JavaScript to view this website.
AB129108

Anti-SF2 antibody [EPR8239]

2

(2 Reviews)

|

(18 Publications)

Rabbit Recombinant Monoclonal SF2 antibody. Suitable for IHC-P, WB, ICC/IF, Flow Cyt (Intra) and reacts with Mouse, Rat, Human samples. Cited in 18 publications.

View Alternative Names

ASF, SF2, SF2P33, SFRS1, OK/SW-cl.3, SRSF1, Serine/arginine-rich splicing factor 1, Alternative-splicing factor 1, ASF-1

9 Images
Immunohistochemistry (Formalin/PFA-fixed paraffin-embedded sections) - Anti-SF2 antibody [EPR8239] (AB129108)
  • IHC-P

Lab

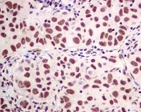
Immunohistochemistry (Formalin/PFA-fixed paraffin-embedded sections) - Anti-SF2 antibody [EPR8239] (AB129108)

Immunohistochemistry (Formalin/PFA-fixed paraffin-embedded sections) analysis of human prostatic hyperplasia tissue labelling SF2 with purified ab129108 at 1/800. Heat mediated antigen retrieval was performed using Tris/EDTA buffer pH 9. ab97051 a HRP-conjugated goat anti-rabbit IgG (H+L) was used as the secondary antibody (1/500). Negative control using PBS instead of primary antibody. Counterstained with hematoxylin.

Immunohistochemistry (Formalin/PFA-fixed paraffin-embedded sections) - Anti-SF2 antibody [EPR8239] (AB129108)
  • IHC-P

Unknown

Immunohistochemistry (Formalin/PFA-fixed paraffin-embedded sections) - Anti-SF2 antibody [EPR8239] (AB129108)

Immunohistochemistry (Formalin/PFA-fixed paraffin-embedded sections) analysis of human breast carcinoma tissue labelling SF2 with unpurified ab129108 at 1/100.

Perform heat mediated antigen retrieval before commencing with IHC staining protocol.

Flow Cytometry (Intracellular) - Anti-SF2 antibody [EPR8239] (AB129108)
  • Flow Cyt (Intra)

Lab

Flow Cytometry (Intracellular) - Anti-SF2 antibody [EPR8239] (AB129108)

Intracellular Flow Cytometry analysis of HeLa cells labelling SF2 with purified ab129108 at a dilution of 1/70 (red). Cells were fixed with 4% paraformaldehyde and permeabilized with 90% methanol. An Alexa Flour® 488-conjugated goat anti-rabbit IgG (1/2000) was used as the secondary antibody. Black - Isotype control, rabbit monoclonal IgG. Blue - Unlabelled control, cells without incubation with primary and secondary antibodies.

Immunocytochemistry/ Immunofluorescence - Anti-SF2 antibody [EPR8239] (AB129108)
  • ICC/IF

Lab

Immunocytochemistry/ Immunofluorescence - Anti-SF2 antibody [EPR8239] (AB129108)

Immunocytochemistry/Immunofluorescence analysis of HeLa cells labelling SF2 with purified ab129108 at 1/150. Cells were fixed with 4% paraformaldehyde and permeabilized with 0.1% Triton X-100. ab150077 an Alexa Fluor® 488-conjugated goat anti-rabbit IgG (1/500) was used as the secondary antibody. Counterstained with DAPI.

Control - primary antibody (1/150) secondary antibody ab150120 an Alexa Fluor® 594-conjugate goat anti-mouse IgG (1/500).

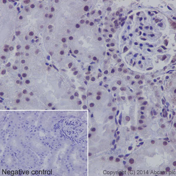
Immunohistochemistry (Formalin/PFA-fixed paraffin-embedded sections) - Anti-SF2 antibody [EPR8239] (AB129108)
  • IHC-P

Lab

Immunohistochemistry (Formalin/PFA-fixed paraffin-embedded sections) - Anti-SF2 antibody [EPR8239] (AB129108)

Immunohistochemistry (Formalin/PFA-fixed paraffin-embedded sections) analysis of rat kidney tissue labelling SF2 with purified ab129108 at 1/800. Heat mediated antigen retrieval was performed using Tris/EDTA buffer pH 9. ab97051 a HRP-conjugated goat anti-rabbit IgG (H+L) was used as the secondary antibody (1/500). Negative control using PBS instead of primary antibody. Counterstained with hematoxylin.

Immunohistochemistry (Formalin/PFA-fixed paraffin-embedded sections) - Anti-SF2 antibody [EPR8239] (AB129108)
  • IHC-P

Lab

Immunohistochemistry (Formalin/PFA-fixed paraffin-embedded sections) - Anti-SF2 antibody [EPR8239] (AB129108)

Immunohistochemistry (Formalin/PFA-fixed paraffin-embedded sections) analysis of mouse cerebral cortex tissue labelling SF2 with purified ab129108 at 1/800. Heat mediated antigen retrieval was performed using Tris/EDTA buffer pH 9. ab97051 a HRP-conjugated goat anti-rabbit IgG (H+L) was used as the secondary antibody (1/500). Negative control using PBS instead of primary antibody. Counterstained with hematoxylin.

Western blot - Anti-SF2 antibody [EPR8239] (AB129108)
  • WB

Lab

Western blot - Anti-SF2 antibody [EPR8239] (AB129108)

Blocking buffer and concentration : 5% NFDM/TBST.

Diluting buffer and concentration : 5% NFDM /TBST.

All lanes:

Western blot - Anti-SF2 antibody [EPR8239] (ab129108) at 1/10000 dilution

Lane 1:

HepG2 cell lysate at 20 µg

Lane 2:

Raji cell lysate at 20 µg

Lane 3:

HeLa cell lysate at 20 µg

Lane 4:

293T cell lysate at 20 µg

Secondary

All lanes:

Peroxidase conjugated goat anti-rabbit IgG (H+L) at 1/1000 dilution

Predicted band size: 28 kDa

false

Western blot - Anti-SF2 antibody [EPR8239] (AB129108)
  • WB

Lab

Western blot - Anti-SF2 antibody [EPR8239] (AB129108)

Blocking buffer and concentration : 5% NFDM/TBST.

Diluting buffer and concentration : 5% NFDM /TBST.

All lanes:

Western blot - Anti-SF2 antibody [EPR8239] (ab129108) at 1/10000 dilution

All lanes:

Mouse spleen tissue at 20 µg

Secondary

All lanes:

Peroxidase-conjugated goat anti-rabbit IgG (H+L) at 1/1000 dilution

Predicted band size: 28 kDa

false

OI-RD Scanning - Anti-SF2 antibody [EPR8239] (AB129108)
  • OI-RD Scanning

Unknown

OI-RD Scanning - Anti-SF2 antibody [EPR8239] (AB129108)

We have systematically measured KD (the equilibrium dissociation constant between the antibody and its antigen), of more than 840 recombinant antibodies to assess not only their individual KD values but also to see the average affinity of antibody. Based on the comparison with published literature values for mouse monoclonal antibodies, Recombinant antibodies appear to be on average 1-2 order of magnitude higher affinity.

Key facts

Host species

Rabbit

Clonality

Monoclonal

Clone number

EPR8239

Isotype

IgG

Carrier free

No

Reacts with

Mouse, Rat, Human

Applications

Flow Cyt (Intra), WB, ICC/IF, IHC-P

applications

Immunogen

The exact immunogen used to generate this antibody is proprietary information.

Reactivity data

{ "title": "Reactivity Data", "filters": { "stats": ["", "Species", "Dilution Info", "Notes"], "tabs": { "all-applications": {"fullname" : "All Applications", "shortname": "All Applications"}, "IHCP" : {"fullname" : "Immunohistochemistry (Formalin/PFA-fixed paraffin-embedded sections)", "shortname":"IHC-P"}, "WB" : {"fullname" : "Western blot", "shortname":"WB"}, "ICCIF" : {"fullname" : "Immunocytochemistry/ Immunofluorescence", "shortname":"ICC/IF"}, "FlowCytIntra" : {"fullname" : "Flow Cytometry (Intracellular)", "shortname":"Flow Cyt (Intra)"} }, "product-promise": { "all": "all", "testedAndGuaranteed": "tested", "guaranteed": "expected", "predicted": "predicted", "notRecommended": "not-recommended" } }, "values": { "Human": { "IHCP-species-checked": "testedAndGuaranteed", "IHCP-species-dilution-info": "1/800 - 1/1500", "IHCP-species-notes": "<p><strong>For unpurified use at 1/100 - 1/250.</strong></p> Perform heat-mediated antigen retrieval before commencing with IHC staining protocol.", "WB-species-checked": "testedAndGuaranteed", "WB-species-dilution-info": "1/10000", "WB-species-notes": "<p></p>", "ICCIF-species-checked": "testedAndGuaranteed", "ICCIF-species-dilution-info": "1/150 - 1/500", "ICCIF-species-notes": "<p></p>", "FlowCytIntra-species-checked": "testedAndGuaranteed", "FlowCytIntra-species-dilution-info": "", "FlowCytIntra-species-notes": "<p></p>" }, "Mouse": { "IHCP-species-checked": "testedAndGuaranteed", "IHCP-species-dilution-info": "1/800 - 1/1500", "IHCP-species-notes": "<p><strong>For unpurified use at 1/100 - 1/250.</strong></p> Perform heat-mediated antigen retrieval before commencing with IHC staining protocol.", "WB-species-checked": "testedAndGuaranteed", "WB-species-dilution-info": "1/10000", "WB-species-notes": "<p></p>", "ICCIF-species-checked": "guaranteed", "ICCIF-species-dilution-info": "", "ICCIF-species-notes": "", "FlowCytIntra-species-checked": "guaranteed", "FlowCytIntra-species-dilution-info": "", "FlowCytIntra-species-notes": "" }, "Rat": { "IHCP-species-checked": "testedAndGuaranteed", "IHCP-species-dilution-info": "1/800 - 1/1500", "IHCP-species-notes": "<p><strong>For unpurified use at 1/100 - 1/250.</strong></p> Perform heat-mediated antigen retrieval before commencing with IHC staining protocol.", "WB-species-checked": "guaranteed", "WB-species-dilution-info": "", "WB-species-notes": "", "ICCIF-species-checked": "guaranteed", "ICCIF-species-dilution-info": "", "ICCIF-species-notes": "", "FlowCytIntra-species-checked": "guaranteed", "FlowCytIntra-species-dilution-info": "", "FlowCytIntra-species-notes": "" } } }

Product details

Patented technology
Our RabMAb® technology is a patented hybridoma-based technology for making rabbit monoclonal antibodies. For details on our patents, please refer to RabMAb® patents.

What are the advantages of a recombinant monoclonal antibody?
This product is a recombinant monoclonal antibody, which offers several advantages including:

  • - High batch-to-batch consistency and reproducibility
  • - Improved sensitivity and specificity
  • - Long-term security of supply
  • - Animal-free batch production

For more information, read more on recombinant antibodies.

Properties and storage information

Form
Liquid
Purification technique
Affinity purification Protein A
Storage buffer
pH: 7.2 - 7.4 Preservative: 0.01% Sodium azide Constituents: PBS, 40% Glycerol (glycerin, glycerine), 0.05% BSA
Shipped at conditions
Blue Ice
Appropriate short-term storage duration
1-2 weeks
Appropriate short-term storage conditions
+4°C
Appropriate long-term storage conditions
-20°C
Aliquoting information
Upon delivery aliquot
Storage information
Stable for 12 months at -20°C

Supplementary information

This supplementary information is collated from multiple sources and compiled automatically.

SF2 also known as Splicing Factor 2 or Alternative Splicing Factor 1 (ASF1) is a prototypical member of the SR protein family involved in mRNA splicing. It is approximately 33 kDa in mass. SF2 is expressed ubiquitously in the nucleus of eukaryotic cells where it plays a central role in the regulation of constitutive and alternative splicing processes.
Biological function summary

SF2 acts as an important regulator of gene expression by facilitating the splicing of pre-mRNA participating in spliceosome assembly. It interacts with other splicing factors and RNA to form spliceosomal complexes essential for splicing fidelity and efficiency. The precise modulation of splicing by SF2 allows for the generation of diverse protein isoforms from a single gene contributing to protein diversity within the cell.

Pathways

SF2 integrates into the RNA splicing pathway and is critical for splice site selection. It interacts with proteins such as U1 snRNP and U2AF65 influencing their binding to pre-mRNA. SF2 also plays roles in other key pathways like mRNA transport and translation thereby linking the splicing machinery with nuclear export and protein synthesis processes.

Abnormalities in SF2 levels or functions have been linked to various cancers and spinal muscular atrophy (SMA). Cancer cells often show altered SF2 expression leading to splicing anomalies that promote tumorigenesis. Additionally SF2's interaction with proteins like hnRNP A1 influences disease mechanisms as splicing factor dysregulation can disrupt normal cellular processes and facilitate the progression of disorders such as SMA.

Product protocols

For this product, it's our understanding that no specific protocols are required. You can visit:

Target data

Plays a role in preventing exon skipping, ensuring the accuracy of splicing and regulating alternative splicing. Interacts with other spliceosomal components, via the RS domains, to form a bridge between the 5'- and 3'-splice site binding components, U1 snRNP and U2AF. Can stimulate binding of U1 snRNP to a 5'-splice site-containing pre-mRNA. Binds to purine-rich RNA sequences, either the octamer, 5'-RGAAGAAC-3' (r=A or G) or the decamers, AGGACAGAGC/AGGACGAAGC. Binds preferentially to the 5'-CGAGGCG-3' motif in vitro. Three copies of the octamer constitute a powerful splicing enhancer in vitro, the ASF/SF2 splicing enhancer (ASE) which can specifically activate ASE-dependent splicing. Isoform ASF-2 and isoform ASF-3 act as splicing repressors. May function as export adapter involved in mRNA nuclear export through the TAP/NXF1 pathway.
See full target information SRSF1

Publications (18)

Recent publications for all applications. Explore the full list and refine your search

Signal transduction and targeted therapy 10:25 PubMed39837814

2025

Targeting SRSF1 improves cancer immunotherapy by dually acting on CD8T and tumor cells.

Applications

Unspecified application

Species

Unspecified reactive species

Gui-Qi Zhu,Zheng Tang,Tian-Hao Chu,Biao Wang,Shi-Ping Chen,Chen-Yang Tao,Jia-Liang Cai,Rui Yang,Wei-Feng Qu,Yi Wang,Qian-Fu Zhao,Run Huang,Meng-Xin Tian,Yuan Fang,Jun Gao,Xiao-Ling Wu,Jian Zhou,Wei-Ren Liu,Zhi Dai,Ying-Hong Shi,Jia Fan

Cytotechnology 76:313-327 PubMed38736729

2024

LncRNA MIR181A2HG negatively regulates human keratinocytes proliferation by binding SRSF1.

Applications

Unspecified application

Species

Unspecified reactive species

Xiaomei Fan,Mingzhao Li,Mutian Niu,Fangru Chen,Zhijing Mo,Pengpeng Yue,Mengjiao Wang,Qingbo Liu,Bin Liang,Shaoqin Gan,Chengke Weng,Jintao Gao

Nature structural & molecular biology 31:1341-1354 PubMed38658621

2024

Alternative splicing of CARM1 regulated by LincGET-guided paraspeckles biases the first cell fate in mammalian early embryos.

Applications

Unspecified application

Species

Unspecified reactive species

Jiaqiang Wang,Yiwei Zhang,Jiaze Gao,Guihai Feng,Chao Liu,Xueke Li,Pengcheng Li,Zhonghua Liu,Falong Lu,Leyun Wang,Wei Li,Qi Zhou,Yusheng Liu

Advanced science (Weinheim, Baden-Wurttemberg, Germany) 10:e2301107 PubMed37097746

2023

Ultrasound Responsive Nanovaccine Armed with Engineered Cancer Cell Membrane and RNA to Prevent Foreseeable Metastasis.

Applications

Unspecified application

Species

Unspecified reactive species

Wenqi Sun,Panpan Ji,Tian Zhou,Zhelong Li,Changyang Xing,Liang Zhang,Mengying Wei,Guodong Yang,Lijun Yuan

Aging 15:1025-1038 PubMed36800233

2023

Circ_0001052 promotes cardiac hypertrophy via elevating Hipk3.

Applications

Unspecified application

Species

Unspecified reactive species

Mengyue Yang,Weichen Wang,Longlong Wang,Yuze Li

American journal of physiology. Heart and circulatory physiology 322:H1014-H1027 PubMed35302878

2022

Serine-arginine-rich protein kinase-1 inhibition for the treatment of diabetic retinopathy.

Applications

Unspecified application

Species

Unspecified reactive species

Naseeb K Malhi,Claire L Allen,Elizabeth Stewart,Katherine L Horton,Federica Riu,Jennifer Batson,Winfried Amoaku,Jonathan C Morris,Kenton P Arkill,David O Bates

Nature communications 12:4980 PubMed34404792

2021

Spatiotemporally-resolved mapping of RNA binding proteins via functional proximity labeling reveals a mitochondrial mRNA anchor promoting stress recovery.

Applications

Unspecified application

Species

Unspecified reactive species

Wei Qin,Samuel A Myers,Dominique K Carey,Steven A Carr,Alice Y Ting

Neuron 109:1675-1691.e9 PubMed33848474

2021

Tau aggregates are RNA-protein assemblies that mislocalize multiple nuclear speckle components.

Applications

Unspecified application

Species

Unspecified reactive species

Evan Lester,Felicia K Ooi,Nadine Bakkar,Jacob Ayers,Amanda L Woerman,Joshua Wheeler,Robert Bowser,George A Carlson,Stanley B Prusiner,Roy Parker

American journal of physiology. Lung cellular and molecular physiology 320:L726-L738 PubMed33565360

2021

Matrix stiffening induces a pathogenic QKI-miR-7-SRSF1 signaling axis in pulmonary arterial endothelial cells.

Applications

Unspecified application

Species

Unspecified reactive species

Chen-Shan Chen Woodcock,Neha Hafeez,Adam Handen,Ying Tang,Lloyd D Harvey,Leonard E Estephan,Gil Speyer,Seungchan Kim,Thomas Bertero,Stephen Y Chan

Molecular cancer 17:157 PubMed30419914

2018

Sunitinib-suppressed miR-452-5p facilitates renal cancer cell invasion and metastasis through modulating SMAD4/SMAD7 signals.

Applications

Unspecified application

Species

Unspecified reactive species

Wei Zhai,Saiyang Li,Jin Zhang,Yonghui Chen,Junjie Ma,Wen Kong,Dongkui Gong,Junhua Zheng,Wei Xue,Yunfei Xu
View all publications

Product promise

We are committed to supporting your work with high-quality reagents, and we're here for you every step of the way. In the unlikely event that one of our products does not perform as expected, you're protected by our Product Promise.
For full details, please see our Terms & Conditions

Please note: All products are 'FOR RESEARCH USE ONLY. NOT FOR USE IN DIAGNOSTIC OR THERAPEUTIC PROCEDURES'.

For licensing inquiries, please contact partnerships@abcam.com