JavaScript is disabled in your browser. Please enable JavaScript to view this website.
AB248306

Anti-SF2 antibody [EPR8239] - BSA and Azide free

Be the first to review this product! Submit a review

|

(1 Publication)

Rabbit Recombinant Monoclonal SF2 antibody. Carrier free. Suitable for IHC-P, WB, ICC/IF, Flow Cyt (Intra) and reacts with Mouse, Rat, Human samples. Cited in 1 publication.

View Alternative Names

ASF, SF2, SF2P33, SFRS1, OK/SW-cl.3, SRSF1, Serine/arginine-rich splicing factor 1, Alternative-splicing factor 1, ASF-1

9 Images
Immunohistochemistry (Formalin/PFA-fixed paraffin-embedded sections) - Anti-SF2 antibody [EPR8239] - BSA and Azide free (AB248306)
  • IHC-P

Lab

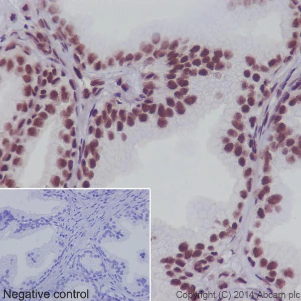
Immunohistochemistry (Formalin/PFA-fixed paraffin-embedded sections) - Anti-SF2 antibody [EPR8239] - BSA and Azide free (AB248306)

This data was developed using ab129108, the same antibody clone in a different buffer formulation.

Immunohistochemistry (Formalin/PFA-fixed paraffin-embedded sections) analysis of human prostatic hyperplasia tissue labelling SF2 with purified ab129108 at 1/800. Heat mediated antigen retrieval was performed using Tris/EDTA buffer, pH 9. ab97051, a HRP-conjugated goat anti-rabbit IgG (H+L) was used as the secondary antibody (1/500). Negative control using PBS instead of primary antibody. Counterstained with hematoxylin.

Immunohistochemistry (Formalin/PFA-fixed paraffin-embedded sections) - Anti-SF2 antibody [EPR8239] - BSA and Azide free (AB248306)
  • IHC-P

Unknown

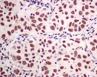
Immunohistochemistry (Formalin/PFA-fixed paraffin-embedded sections) - Anti-SF2 antibody [EPR8239] - BSA and Azide free (AB248306)

This data was developed using ab129108, the same antibody clone in a different buffer formulation.

Immunohistochemistry (Formalin/PFA-fixed paraffin-embedded sections) analysis of human breast carcinoma tissue labelling SF2 with unpurified ab129108 at 1/100.

Perform heat mediated antigen retrieval before commencing with IHC staining protocol.

Flow Cytometry (Intracellular) - Anti-SF2 antibody [EPR8239] - BSA and Azide free (AB248306)
  • Flow Cyt (Intra)

Lab

Flow Cytometry (Intracellular) - Anti-SF2 antibody [EPR8239] - BSA and Azide free (AB248306)

This data was developed using ab129108, the same antibody clone in a different buffer formulation.

Intracellular Flow Cytometry analysis of HeLa cells labelling SF2 with purified ab129108 at a dilution of 1/70 (red). Cells were fixed with 4% paraformaldehyde and permeabilized with 90% methanol. An Alexa Flour® 488-conjugated goat anti-rabbit IgG (1/2000) was used as the secondary antibody. Black - Isotype control, rabbit monoclonal IgG. Blue - Unlabelled control, cells without incubation with primary and secondary antibodies.

Immunocytochemistry/ Immunofluorescence - Anti-SF2 antibody [EPR8239] - BSA and Azide free (AB248306)
  • ICC/IF

Lab

Immunocytochemistry/ Immunofluorescence - Anti-SF2 antibody [EPR8239] - BSA and Azide free (AB248306)

This data was developed using ab129108, the same antibody clone in a different buffer formulation.

Immunocytochemistry/Immunofluorescence analysis of HeLa cells labelling SF2 with purified ab129108 at 1/150. Cells were fixed with 4% paraformaldehyde and permeabilized with 0.1% Triton X-100. ab150077, an Alexa Fluor® 488-conjugated goat anti-rabbit IgG (1/500) was used as the secondary antibody. Counterstained with DAPI.

Control - primary antibody (1/150), secondary antibody ab150120 an Alexa Fluor® 594-conjugate goat anti-mouse IgG (1/500).

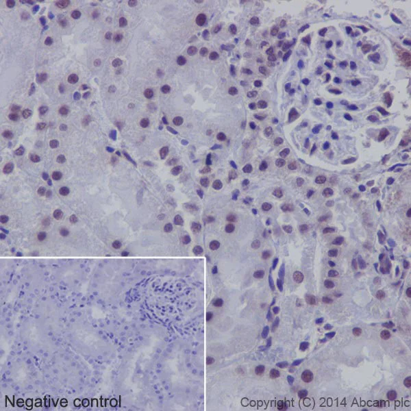
Immunohistochemistry (Formalin/PFA-fixed paraffin-embedded sections) - Anti-SF2 antibody [EPR8239] - BSA and Azide free (AB248306)
  • IHC-P

Lab

Immunohistochemistry (Formalin/PFA-fixed paraffin-embedded sections) - Anti-SF2 antibody [EPR8239] - BSA and Azide free (AB248306)

This data was developed using ab129108, the same antibody clone in a different buffer formulation.

Immunohistochemistry (Formalin/PFA-fixed paraffin-embedded sections) analysis of rat kidney tissue labelling SF2 with purified ab129108 at 1/800. Heat mediated antigen retrieval was performed using Tris/EDTA buffer, pH 9. ab97051, a HRP-conjugated goat anti-rabbit IgG (H+L) was used as the secondary antibody (1/500). Negative control using PBS instead of primary antibody. Counterstained with hematoxylin.

Immunohistochemistry (Formalin/PFA-fixed paraffin-embedded sections) - Anti-SF2 antibody [EPR8239] - BSA and Azide free (AB248306)
  • IHC-P

Lab

Immunohistochemistry (Formalin/PFA-fixed paraffin-embedded sections) - Anti-SF2 antibody [EPR8239] - BSA and Azide free (AB248306)

This data was developed using ab129108, the same antibody clone in a different buffer formulation.

Immunohistochemistry (Formalin/PFA-fixed paraffin-embedded sections) analysis of mouse cerebral cortex tissue labelling SF2 with purified ab129108 at 1/800. Heat mediated antigen retrieval was performed using Tris/EDTA buffer, pH 9. ab97051, a HRP-conjugated goat anti-rabbit IgG (H+L) was used as the secondary antibody (1/500). Negative control using PBS instead of primary antibody. Counterstained with hematoxylin.

Western blot - Anti-SF2 antibody [EPR8239] - BSA and Azide free (AB248306)
  • WB

Lab

Western blot - Anti-SF2 antibody [EPR8239] - BSA and Azide free (AB248306)

This data was developed using ab129108, the same antibody clone in a different buffer formulation.

Blocking and dilution buffer : 5% NFDM/TBST.

All lanes:

Western blot - Anti-SF2 antibody [EPR8239] (<a href='/en-us/products/primary-antibodies/sf2-antibody-epr8239-ab129108'>ab129108</a>) at 1/10000 dilution

Lane 1:

HepG2 cell lysate at 20 µg

Lane 2:

Raji cell lysate at 20 µg

Lane 3:

HeLa cell lysate at 20 µg

Lane 4:

293T cell lysate at 20 µg

Secondary

All lanes:

Peroxidase conjugated goat anti-rabbit IgG (H+L) at 1/1000 dilution

Predicted band size: 28 kDa

false

Western blot - Anti-SF2 antibody [EPR8239] - BSA and Azide free (AB248306)
  • WB

Lab

Western blot - Anti-SF2 antibody [EPR8239] - BSA and Azide free (AB248306)

This data was developed using ab129108, the same antibody clone in a different buffer formulation.

Blocking and dilution buffer : 5% NFDM/TBST.

All lanes:

Western blot - Anti-SF2 antibody [EPR8239] (<a href='/en-us/products/primary-antibodies/sf2-antibody-epr8239-ab129108'>ab129108</a>) at 1/10000 dilution

All lanes:

Mouse spleen tissue at 20 µg

Secondary

All lanes:

Peroxidase-conjugated goat anti-rabbit IgG (H+L) at 1/1000 dilution

Predicted band size: 28 kDa

false

OI-RD Scanning - Anti-SF2 antibody [EPR8239] - BSA and Azide free (AB248306)
  • OI-RD Scanning

Unknown

OI-RD Scanning - Anti-SF2 antibody [EPR8239] - BSA and Azide free (AB248306)

We have systematically measured KD (the equilibrium dissociation constant between the antibody and its antigen), of more than 840 recombinant antibodies to assess not only their individual KD values but also to see the average affinity of antibody. Based on the comparison with published literature values for mouse monoclonal antibodies, Recombinant antibodies appear to be on average 1-2 order of magnitude higher affinity.

Key facts

Host species

Rabbit

Clonality

Monoclonal

Clone number

EPR8239

Isotype

IgG

Carrier free

Yes

Reacts with

Mouse, Rat, Human

Applications

ICC/IF, Flow Cyt (Intra), IHC-P, WB

applications

Immunogen

The exact immunogen used to generate this antibody is proprietary information.

Reactivity data

{ "title": "Reactivity Data", "filters": { "stats": ["", "Species", "Dilution Info", "Notes"], "tabs": { "all-applications": {"fullname" : "All Applications", "shortname": "All Applications"}, "IHCP" : {"fullname" : "Immunohistochemistry (Formalin/PFA-fixed paraffin-embedded sections)", "shortname":"IHC-P"}, "WB" : {"fullname" : "Western blot", "shortname":"WB"}, "ICCIF" : {"fullname" : "Immunocytochemistry/ Immunofluorescence", "shortname":"ICC/IF"}, "FlowCytIntra" : {"fullname" : "Flow Cytometry (Intracellular)", "shortname":"Flow Cyt (Intra)"} }, "product-promise": { "all": "all", "testedAndGuaranteed": "tested", "guaranteed": "expected", "predicted": "predicted", "notRecommended": "not-recommended" } }, "values": { "Human": { "IHCP-species-checked": "testedAndGuaranteed", "IHCP-species-dilution-info": "", "IHCP-species-notes": "<p></p>", "WB-species-checked": "testedAndGuaranteed", "WB-species-dilution-info": "", "WB-species-notes": "<p></p>", "ICCIF-species-checked": "testedAndGuaranteed", "ICCIF-species-dilution-info": "", "ICCIF-species-notes": "<p></p>", "FlowCytIntra-species-checked": "testedAndGuaranteed", "FlowCytIntra-species-dilution-info": "", "FlowCytIntra-species-notes": "<p></p>" }, "Mouse": { "IHCP-species-checked": "testedAndGuaranteed", "IHCP-species-dilution-info": "", "IHCP-species-notes": "<p></p>", "WB-species-checked": "testedAndGuaranteed", "WB-species-dilution-info": "", "WB-species-notes": "<p></p>", "ICCIF-species-checked": "guaranteed", "ICCIF-species-dilution-info": "", "ICCIF-species-notes": "", "FlowCytIntra-species-checked": "guaranteed", "FlowCytIntra-species-dilution-info": "", "FlowCytIntra-species-notes": "" }, "Rat": { "IHCP-species-checked": "testedAndGuaranteed", "IHCP-species-dilution-info": "", "IHCP-species-notes": "<p></p>", "WB-species-checked": "guaranteed", "WB-species-dilution-info": "", "WB-species-notes": "", "ICCIF-species-checked": "guaranteed", "ICCIF-species-dilution-info": "", "ICCIF-species-notes": "", "FlowCytIntra-species-checked": "guaranteed", "FlowCytIntra-species-dilution-info": "", "FlowCytIntra-species-notes": "" } } }

Product details

ab248306 is the carrier-free version of ab129108.

Patented technology
Our RabMAb® technology is a patented hybridoma-based technology for making rabbit monoclonal antibodies. For details on our patents, please refer to RabMAb® patents.

What are the advantages of a recombinant monoclonal antibody?
This product is a recombinant monoclonal antibody, which offers several advantages including:

  • - High batch-to-batch consistency and reproducibility
  • - Improved sensitivity and specificity
  • - Long-term security of supply
  • - Animal-free batch production

For more information, read more on recombinant antibodies.

Conjugation ready
Our carrier-free antibodies are typically supplied in a PBS-only formulation, purified and free of BSA, sodium azide and glycerol. This conjugation-ready format is designed for use with fluorochromes, metal isotopes, oligonucleotides, and enzymes, which makes them ideal for antibody labelling, functional and cell-based assays, flow-based assays (e.g. mass cytometry) and Multiplex Imaging applications.

Use our conjugation kits for antibody conjugates that are ready-to-use in as little as 20 minutes with 1 minute hands-on-time and 100% antibody recovery: available for fluorescent dyes, HRP, biotin and gold.

Compatibility
This product is compatible with the Maxpar® Antibody Labeling Kit from Fluidigm, without the need for antibody preparation. Maxpar® is a trademark of Fluidigm Canada Inc.

Properties and storage information

Form
Liquid
Purification technique
Affinity purification Protein A
Storage buffer
pH: 7.2 - 7.4 Constituents: PBS
Shipped at conditions
Blue Ice
Appropriate short-term storage conditions
+4°C
Appropriate long-term storage conditions
+4°C
Storage information
Do Not Freeze

Supplementary information

This supplementary information is collated from multiple sources and compiled automatically.

SF2 also known as Splicing Factor 2 or Alternative Splicing Factor 1 (ASF1) is a prototypical member of the SR protein family involved in mRNA splicing. It is approximately 33 kDa in mass. SF2 is expressed ubiquitously in the nucleus of eukaryotic cells where it plays a central role in the regulation of constitutive and alternative splicing processes.
Biological function summary

SF2 acts as an important regulator of gene expression by facilitating the splicing of pre-mRNA participating in spliceosome assembly. It interacts with other splicing factors and RNA to form spliceosomal complexes essential for splicing fidelity and efficiency. The precise modulation of splicing by SF2 allows for the generation of diverse protein isoforms from a single gene contributing to protein diversity within the cell.

Pathways

SF2 integrates into the RNA splicing pathway and is critical for splice site selection. It interacts with proteins such as U1 snRNP and U2AF65 influencing their binding to pre-mRNA. SF2 also plays roles in other key pathways like mRNA transport and translation thereby linking the splicing machinery with nuclear export and protein synthesis processes.

Abnormalities in SF2 levels or functions have been linked to various cancers and spinal muscular atrophy (SMA). Cancer cells often show altered SF2 expression leading to splicing anomalies that promote tumorigenesis. Additionally SF2's interaction with proteins like hnRNP A1 influences disease mechanisms as splicing factor dysregulation can disrupt normal cellular processes and facilitate the progression of disorders such as SMA.

Product protocols

For this product, it's our understanding that no specific protocols are required. You can visit:

Target data

Plays a role in preventing exon skipping, ensuring the accuracy of splicing and regulating alternative splicing. Interacts with other spliceosomal components, via the RS domains, to form a bridge between the 5'- and 3'-splice site binding components, U1 snRNP and U2AF. Can stimulate binding of U1 snRNP to a 5'-splice site-containing pre-mRNA. Binds to purine-rich RNA sequences, either the octamer, 5'-RGAAGAAC-3' (r=A or G) or the decamers, AGGACAGAGC/AGGACGAAGC. Binds preferentially to the 5'-CGAGGCG-3' motif in vitro. Three copies of the octamer constitute a powerful splicing enhancer in vitro, the ASF/SF2 splicing enhancer (ASE) which can specifically activate ASE-dependent splicing. Isoform ASF-2 and isoform ASF-3 act as splicing repressors. May function as export adapter involved in mRNA nuclear export through the TAP/NXF1 pathway.
See full target information SRSF1

Publications (1)

Recent publications for all applications. Explore the full list and refine your search

Cell proliferation 56:e13400 PubMed36642844

2023

Non-SMC condensin I complex subunit H participates in anti-programmed cell death-1 resistance of clear cell renal cell carcinomas.

Applications

Unspecified application

Species

Unspecified reactive species

Zhi Chen,Weiqiang Ruan,Chunhao Guo,Ke Chen,Le Li,Jihua Tian,Zhiquan Hu,Dan Peng,Xing Zeng
View all publications

Product promise

We are committed to supporting your work with high-quality reagents, and we're here for you every step of the way. In the unlikely event that one of our products does not perform as expected, you're protected by our Product Promise.
For full details, please see our Terms & Conditions

Please note: All products are 'FOR RESEARCH USE ONLY. NOT FOR USE IN DIAGNOSTIC OR THERAPEUTIC PROCEDURES'.

For licensing inquiries, please contact partnerships@abcam.com