JavaScript is disabled in your browser. Please enable JavaScript to view this website.
AB248619

Anti-SF2 antibody [EPR8240] - BSA and Azide free

Be the first to review this product! Submit a review

|

(1 Publication)

Rabbit Recombinant Monoclonal SF2 antibody. Carrier free. Suitable for IHC-P, WB, ICC/IF, Flow Cyt (Intra) and reacts with Human, Mouse, Rat samples. Cited in 1 publication.

View Alternative Names

ASF, SF2, SF2P33, SFRS1, OK/SW-cl.3, SRSF1, Serine/arginine-rich splicing factor 1, Alternative-splicing factor 1, ASF-1

3 Images
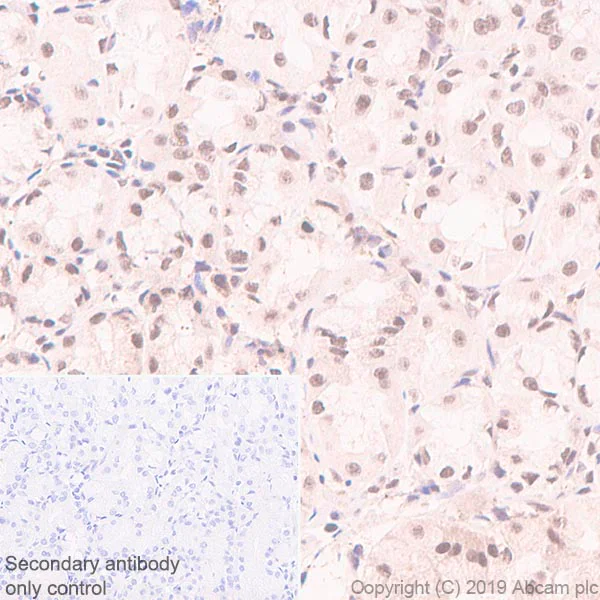
Immunohistochemistry (Formalin/PFA-fixed paraffin-embedded sections) - Anti-SF2 antibody [EPR8240] - BSA and Azide free (AB248619)
  • IHC-P

Unknown

Immunohistochemistry (Formalin/PFA-fixed paraffin-embedded sections) - Anti-SF2 antibody [EPR8240] - BSA and Azide free (AB248619)

Immunohistochemistry (Formalin/PFA-fixed paraffin-embedded sections) analysis of human stomach tissue sections labeling SF2 with Purified ab133689 at 1/100 dilution (4.16 μg/ml). Heat mediated antigen retrieval was performed perform heat mediated antigen retrieval using Citrate buffer, pH 6.0. ImmunoHistoProbe one step HRP Polymer (ready to use) was used as the secondary antibody. Negative control : PBS instead of the primary antibody. Hematoxylin was used as a counterstain.

This data was developed using the same antibody clone in a different buffer formulation containing PBS, BSA, glycerol, and sodium azide (ab133689)

Flow Cytometry (Intracellular) - Anti-SF2 antibody [EPR8240] - BSA and Azide free (AB248619)
  • Flow Cyt (Intra)

Unknown

Flow Cytometry (Intracellular) - Anti-SF2 antibody [EPR8240] - BSA and Azide free (AB248619)

Intracellular Flow Cytometry analysis of HeLa (Human cervix adenocarcinoma epithelial cell) cells labeling SF2 with purified ab133689 at 1/40 dilution (10μg/ml) (Red). Cells were fixed with 4% Paraformaldehyde and permeabilised with 90% Methanol. A Goat anti rabbit IgG (Alexa Fluor® 488, ab150077) secondary antibody was used at 1/2000. Isotype control - Rabbit monoclonal IgG (Black). Unlabeled control - Cell without incubation with primary antibody and secondary antibody (Blue).

This data was developed using the same antibody clone in a different buffer formulation containing PBS, BSA, glycerol, and sodium azide (ab133689)

Immunocytochemistry/ Immunofluorescence - Anti-SF2 antibody [EPR8240] - BSA and Azide free (AB248619)
  • ICC/IF

Unknown

Immunocytochemistry/ Immunofluorescence - Anti-SF2 antibody [EPR8240] - BSA and Azide free (AB248619)

Immunocytochemistry/ Immunofluorescence analysis of HeLa (Human cervix adenocarcinoma epithelial cell) cells labeling SF2 with purified ab133689 at 1/50 dilution (8.3 μg/ml). Cells were fixed in 4% Paraformaldehyde and permeabilized with 0.1% tritonX-100. Cells were counterstained with ab195889 Anti-alpha Tubulin antibody [DM1A] - Microtubule Marker (Alexa Fluor® 594) 1/200 (2.5 μg/ml). Goat anti rabbit IgG (Alexa Fluor® 488, ab150077) was used as the secondary antibody at 1/1000 (2 μg/ml) dilution. DAPI (blue) was used as nuclear counterstain. PBS instead of the primary antibody was used as the secondary antibody only control.
This data was developed using the same antibody clone in a different buffer formulation containing PBS, BSA, glycerol, and sodium azide (anti sf2 antibody epr8240 immunocytochemistry hela human)

Key facts

Host species

Rabbit

Clonality

Monoclonal

Clone number

EPR8240

Isotype

IgG

Carrier free

Yes

Reacts with

Mouse, Rat, Human

Applications

ICC/IF, WB, Flow Cyt (Intra), IHC-P

applications

Immunogen

The exact immunogen used to generate this antibody is proprietary information.

Specificity

The mouse and rat recommendation is based on the WB results. We do not guarantee IHC-P for mouse and rat.

Reactivity data

{ "title": "Reactivity Data", "filters": { "stats": ["", "Species", "Dilution Info", "Notes"], "tabs": { "all-applications": {"fullname" : "All Applications", "shortname": "All Applications"}, "IHCP" : {"fullname" : "Immunohistochemistry (Formalin/PFA-fixed paraffin-embedded sections)", "shortname":"IHC-P"}, "IP" : {"fullname" : "Immunoprecipitation", "shortname":"IP"}, "WB" : {"fullname" : "Western blot", "shortname":"WB"}, "ICCIF" : {"fullname" : "Immunocytochemistry/ Immunofluorescence", "shortname":"ICC/IF"}, "FlowCytIntra" : {"fullname" : "Flow Cytometry (Intracellular)", "shortname":"Flow Cyt (Intra)"} }, "product-promise": { "all": "all", "testedAndGuaranteed": "tested", "guaranteed": "expected", "predicted": "predicted", "notRecommended": "not-recommended" } }, "values": { "Human": { "IHCP-species-checked": "testedAndGuaranteed", "IHCP-species-dilution-info": "", "IHCP-species-notes": "<p>The mouse and rat recommendation is based on the WB results. We do not guarantee IHC-P for mouse and rat.</p>", "IP-species-checked": "notRecommended", "IP-species-dilution-info": "", "IP-species-notes": "<p></p>", "WB-species-checked": "guaranteed", "WB-species-dilution-info": "", "WB-species-notes": "<p></p>", "ICCIF-species-checked": "testedAndGuaranteed", "ICCIF-species-dilution-info": "", "ICCIF-species-notes": "<p></p>", "FlowCytIntra-species-checked": "testedAndGuaranteed", "FlowCytIntra-species-dilution-info": "", "FlowCytIntra-species-notes": "<p></p>" }, "Mouse": { "IHCP-species-checked": "predicted", "IHCP-species-dilution-info": "", "IHCP-species-notes": "", "IP-species-checked": "notRecommended", "IP-species-dilution-info": "", "IP-species-notes": "<p></p>", "WB-species-checked": "guaranteed", "WB-species-dilution-info": "", "WB-species-notes": "<p></p>", "ICCIF-species-checked": "predicted", "ICCIF-species-dilution-info": "", "ICCIF-species-notes": "", "FlowCytIntra-species-checked": "predicted", "FlowCytIntra-species-dilution-info": "", "FlowCytIntra-species-notes": "" }, "Rat": { "IHCP-species-checked": "predicted", "IHCP-species-dilution-info": "", "IHCP-species-notes": "", "IP-species-checked": "notRecommended", "IP-species-dilution-info": "", "IP-species-notes": "<p></p>", "WB-species-checked": "guaranteed", "WB-species-dilution-info": "", "WB-species-notes": "<p></p>", "ICCIF-species-checked": "predicted", "ICCIF-species-dilution-info": "", "ICCIF-species-notes": "", "FlowCytIntra-species-checked": "predicted", "FlowCytIntra-species-dilution-info": "", "FlowCytIntra-species-notes": "" } } }

Product details

ab248619 is the carrier-free version of ab133689.

Patented technology
Our RabMAb® technology is a patented hybridoma-based technology for making rabbit monoclonal antibodies. For details on our patents, please refer to RabMAb® patents.

What are the advantages of a recombinant monoclonal antibody?
This product is a recombinant monoclonal antibody, which offers several advantages including:

  • - High batch-to-batch consistency and reproducibility
  • - Improved sensitivity and specificity
  • - Long-term security of supply
  • - Animal-free batch production

For more information, read more on recombinant antibodies.

Conjugation ready
Our carrier-free antibodies are typically supplied in a PBS-only formulation, purified and free of BSA, sodium azide and glycerol. This conjugation-ready format is designed for use with fluorochromes, metal isotopes, oligonucleotides, and enzymes, which makes them ideal for antibody labelling, functional and cell-based assays, flow-based assays (e.g. mass cytometry) and Multiplex Imaging applications.

Use our conjugation kits for antibody conjugates that are ready-to-use in as little as 20 minutes with 1 minute hands-on-time and 100% antibody recovery: available for fluorescent dyes, HRP, biotin and gold.

Compatibility
This product is compatible with the Maxpar® Antibody Labeling Kit from Fluidigm, without the need for antibody preparation. Maxpar® is a trademark of Fluidigm Canada Inc.

Properties and storage information

Form
Liquid
Purification technique
Affinity purification Protein A
Storage buffer
pH: 7.2 - 7.4 Constituents: PBS
Shipped at conditions
Blue Ice
Appropriate short-term storage conditions
+4°C
Appropriate long-term storage conditions
+4°C
Storage information
Do Not Freeze

Supplementary information

This supplementary information is collated from multiple sources and compiled automatically.

SF2 also known as Splicing Factor 2 or Alternative Splicing Factor 1 (ASF1) is a prototypical member of the SR protein family involved in mRNA splicing. It is approximately 33 kDa in mass. SF2 is expressed ubiquitously in the nucleus of eukaryotic cells where it plays a central role in the regulation of constitutive and alternative splicing processes.
Biological function summary

SF2 acts as an important regulator of gene expression by facilitating the splicing of pre-mRNA participating in spliceosome assembly. It interacts with other splicing factors and RNA to form spliceosomal complexes essential for splicing fidelity and efficiency. The precise modulation of splicing by SF2 allows for the generation of diverse protein isoforms from a single gene contributing to protein diversity within the cell.

Pathways

SF2 integrates into the RNA splicing pathway and is critical for splice site selection. It interacts with proteins such as U1 snRNP and U2AF65 influencing their binding to pre-mRNA. SF2 also plays roles in other key pathways like mRNA transport and translation thereby linking the splicing machinery with nuclear export and protein synthesis processes.

Abnormalities in SF2 levels or functions have been linked to various cancers and spinal muscular atrophy (SMA). Cancer cells often show altered SF2 expression leading to splicing anomalies that promote tumorigenesis. Additionally SF2's interaction with proteins like hnRNP A1 influences disease mechanisms as splicing factor dysregulation can disrupt normal cellular processes and facilitate the progression of disorders such as SMA.

Product protocols

For this product, it's our understanding that no specific protocols are required. You can visit:

Target data

Plays a role in preventing exon skipping, ensuring the accuracy of splicing and regulating alternative splicing. Interacts with other spliceosomal components, via the RS domains, to form a bridge between the 5'- and 3'-splice site binding components, U1 snRNP and U2AF. Can stimulate binding of U1 snRNP to a 5'-splice site-containing pre-mRNA. Binds to purine-rich RNA sequences, either the octamer, 5'-RGAAGAAC-3' (r=A or G) or the decamers, AGGACAGAGC/AGGACGAAGC. Binds preferentially to the 5'-CGAGGCG-3' motif in vitro. Three copies of the octamer constitute a powerful splicing enhancer in vitro, the ASF/SF2 splicing enhancer (ASE) which can specifically activate ASE-dependent splicing. Isoform ASF-2 and isoform ASF-3 act as splicing repressors. May function as export adapter involved in mRNA nuclear export through the TAP/NXF1 pathway.
See full target information SRSF1

Publications (1)

Recent publications for all applications. Explore the full list and refine your search

Immunity, inflammation and disease 10:e727 PubMed36301031

2022

Forkhead box M1 recruits FoxP3 Treg cells to induce immune escape in hilar cholangiocarcinoma.

Applications

Unspecified application

Species

Unspecified reactive species

Kai Ma,Zhaowei Sun,Xueliang Li,Jingyun Guo,Qinlei Wang,Mujian Teng
View all publications

Product promise

We are committed to supporting your work with high-quality reagents, and we're here for you every step of the way. In the unlikely event that one of our products does not perform as expected, you're protected by our Product Promise.
For full details, please see our Terms & Conditions

Please note: All products are 'FOR RESEARCH USE ONLY. NOT FOR USE IN DIAGNOSTIC OR THERAPEUTIC PROCEDURES'.

For licensing inquiries, please contact partnerships@abcam.com