JavaScript is disabled in your browser. Please enable JavaScript to view this website.
AB77800

Anti-SF3a66 antibody [4G8]

Be the first to review this product! Submit a review

|

(5 Publications)

Mouse Monoclonal SF3a66 antibody. Suitable for IHC-P, Flow Cyt (Intra), ICC/IF and reacts with Human samples. Cited in 5 publications.

View Alternative Names

Splicing factor 3A subunit 2

3 Images
Immunocytochemistry/ Immunofluorescence - Anti-SF3a66 antibody [4G8] (AB77800)
  • ICC/IF

Unknown

Immunocytochemistry/ Immunofluorescence - Anti-SF3a66 antibody [4G8] (AB77800)

ICC/IF image of ab77800 stained Hek293 cells. The cells were 4% PFA fixed (10 min) and then incubated in 1%BSA / 10% normal gost serum / 0.3M glycine in 0.1% PBS-Tween for 1h to permeabilise the cells and block non-specific protein-protein interactions. The cells were then incubated with the antibody (ab77800, 5µg/ml) overnight at +4°C. The secondary antibody (green) was Alexa Fluor® 488 goat anti-mouse IgG (H+L) used at a 1/1000 dilution for 1h. Alexa Fluor® 594 WGA was used to label plasma membranes (red) at a 1/200 dilution for 1h. DAPI was used to stain the cell nuclei (blue) at a concentration of 1.43µM. This antibody also gave a positive result in 4% PFA fixed (10 min) HeLa, HepG2 and MCF7 cells at 5µg/ml, and in 100% methanol fixed (5 min) HeLa, Hek293, HepG2 and MCF7 cells at 5µg/ml.

Flow Cytometry (Intracellular) - Anti-SF3a66 antibody [4G8] (AB77800)
  • Flow Cyt (Intra)

Unknown

Flow Cytometry (Intracellular) - Anti-SF3a66 antibody [4G8] (AB77800)

Overlay histogram showing HeLa cells stained with ab77800 (red line). The cells were fixed with 80% methanol (5 min) and then permeabilized with 0.1% PBS-Tween for 20 min. The cells were then incubated in 1x PBS / 10% normal goat serum / 0.3M glycine to block non-specific protein-protein interactions followed by the antibody (ab77800, 1μg/1x106 cells) for 30 min at 22°C. The secondary antibody used was DyLight® 488 goat anti-mouse IgG (H+L) (ab96879) at 1/500 dilution for 30 min at 22°C. Isotype control antibody (black line) was mouse IgG1 [ICIGG1] (ab91353, 2μg/1x106 cells) used under the same conditions. Acquisition of >5,000 events was performed. This antibody gave a positive signal in HeLa cells fixed with 4% paraformaldehyde (10 min)/permeabilized with 0.1% PBS-Tween for 20 min used under the same conditions.

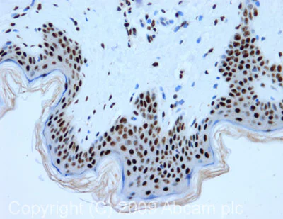
Immunohistochemistry (Formalin/PFA-fixed paraffin-embedded sections) - Anti-SF3a66 antibody [4G8] (AB77800)
  • IHC-P

Unknown

Immunohistochemistry (Formalin/PFA-fixed paraffin-embedded sections) - Anti-SF3a66 antibody [4G8] (AB77800)

IHC image of ab77800 staining in human normal skin formalin fixed paraffin embedded tissue section, performed on a Leica BondTM system using the standard protocol F. The section was pre-treated using heat mediated antigen retrieval with sodium citrate buffer (pH6, epitope retrieval solution 1) for 20 mins. The section was then incubated with ab77800, 1μg/ml, for 15 mins at room temperature and detected using an HRP conjugated compact polymer system. DAB was used as the chromogen. The section was then counterstained with haematoxylin and mounted with DPX.

Key facts

Host species

Mouse

Clonality

Monoclonal

Clone number

4G8

Isotype

IgG1

Carrier free

No

Reacts with

Human

Applications

Flow Cyt (Intra), IHC-P, ICC/IF

applications

Immunogen

The exact immunogen used to generate this antibody is proprietary information.

Epitope

C-terminal, amino acids 212-464.

Reactivity data

{ "title": "Reactivity Data", "filters": { "stats": ["", "Species", "Dilution Info", "Notes"], "tabs": { "all-applications": {"fullname" : "All Applications", "shortname": "All Applications"}, "IHCP" : {"fullname" : "Immunohistochemistry (Formalin/PFA-fixed paraffin-embedded sections)", "shortname":"IHC-P"}, "FlowCytIntra" : {"fullname" : "Flow Cytometry (Intracellular)", "shortname":"Flow Cyt (Intra)"}, "WB" : {"fullname" : "Western blot", "shortname":"WB"}, "ICCIF" : {"fullname" : "Immunocytochemistry/ Immunofluorescence", "shortname":"ICC/IF"} }, "product-promise": { "all": "all", "testedAndGuaranteed": "tested", "guaranteed": "expected", "predicted": "predicted", "notRecommended": "not-recommended" } }, "values": { "Human": { "IHCP-species-checked": "testedAndGuaranteed", "IHCP-species-dilution-info": "1 µg/mL", "IHCP-species-notes": "<p></p> Perform heat-mediated antigen retrieval before commencing with IHC staining protocol.", "FlowCytIntra-species-checked": "testedAndGuaranteed", "FlowCytIntra-species-dilution-info": "1-2 µg for 10^6 Cells", "FlowCytIntra-species-notes": "<p><a href='/en-us/products/primary-antibodies/mouse-igg1-kappa-monoclonal-15-6e10a7-isotype-control-ab170190'>ab170190</a> - Mouse monoclonal IgG1, is suitable for use as an isotype control with this antibody.</p>", "WB-species-checked": "notRecommended", "WB-species-dilution-info": "", "WB-species-notes": "<p></p>", "ICCIF-species-checked": "testedAndGuaranteed", "ICCIF-species-dilution-info": "5 µg/mL", "ICCIF-species-notes": "<p></p>" }, "Rat": { "IHCP-species-checked": "predicted", "IHCP-species-dilution-info": "", "IHCP-species-notes": "", "FlowCytIntra-species-checked": "predicted", "FlowCytIntra-species-dilution-info": "", "FlowCytIntra-species-notes": "", "WB-species-checked": "notRecommended", "WB-species-dilution-info": "", "WB-species-notes": "", "ICCIF-species-checked": "predicted", "ICCIF-species-dilution-info": "", "ICCIF-species-notes": "" }, "Monkey": { "IHCP-species-checked": "predicted", "IHCP-species-dilution-info": "", "IHCP-species-notes": "", "FlowCytIntra-species-checked": "predicted", "FlowCytIntra-species-dilution-info": "", "FlowCytIntra-species-notes": "", "WB-species-checked": "notRecommended", "WB-species-dilution-info": "", "WB-species-notes": "", "ICCIF-species-checked": "predicted", "ICCIF-species-dilution-info": "", "ICCIF-species-notes": "" } } }

Product details

Want a custom formulation?
This antibody clone is manufactured by Abcam. If you require a custom buffer formulation or conjugation for your experiments, please contact orders@abcam.com

Properties and storage information

Form
Liquid
Purification technique
Affinity purification
Storage buffer
pH: 7.4 Preservative: 0.02% Sodium azide Constituents: PBS, 6.97% L-Arginine
Shipped at conditions
Blue Ice
Appropriate short-term storage duration
1-2 weeks
Appropriate short-term storage conditions
+4°C
Appropriate long-term storage conditions
-20°C
Aliquoting information
Upon delivery aliquot
Storage information
Avoid freeze / thaw cycle

Supplementary information

This supplementary information is collated from multiple sources and compiled automatically.

SF3a66 also known as SAP62 is a component of the SF3a complex and plays a role in pre-mRNA splicing. This protein has a mass of approximately 66 kDa. SF3a66 is expressed in various tissues and it is a subunit of the larger spliceosome machinery which is essential for the accurate removal of introns from pre-mRNA. Additionally SF3a66 interacts with other spliceosome components assisting in the assembly and stability of the spliceosome.
Biological function summary

SF3a66 functions as part of the SF3a complex which also includes SF3a120 and SF3a60. This protein complex binds to the U2 small nuclear ribonucleoprotein (snRNP) to stabilize the interaction with pre-mRNA branchpoint sequences. SF3a66 modulates the splicing accuracy and participates in splice site selection which is a critical step for mRNA maturation and translation. The role of SF3a66 in this process emphasizes its function in gene expression regulation.

Pathways

SF3a66 is an important factor in the mRNA splicing pathway. It interacts with the SUPT6H and SF3b subunits also components of the spliceosome to mediate spliceosome assembly and catalysis. The proper function of SF3a66 influences the expression of genes involved in vital pathways such as the cell cycle and DNA damage response. Through its interactions within these pathways SF3a66 helps coordinate gene expression with cellular responses to internal and external stimuli.

SF3a66 has been implicated in cancer and neurodegenerative diseases. Mutations or aberrant expression of SF3a66 can lead to mis-splicing events and oncogenesis. For instance abnormal SF3a66 function has been linked with breast cancer where it may alter the expression of tumor suppressor genes by improper splicing. In the context of neurodegenerative diseases SF3a66's association with the TDP-43 protein points to its involvement in disorders such as amyotrophic lateral sclerosis (ALS) where RNA metabolism is disrupted.

Product protocols

For this product, it's our understanding that no specific protocols are required. You can visit:

Target data

Component of the 17S U2 SnRNP complex of the spliceosome, a large ribonucleoprotein complex that removes introns from transcribed pre-mRNAs. The 17S U2 SnRNP complex (1) directly participates in early spliceosome assembly and (2) mediates recognition of the intron branch site during pre-mRNA splicing by promoting the selection of the pre-mRNA branch-site adenosine, the nucleophile for the first step of splicing. Within the 17S U2 SnRNP complex, SF3A2 is part of the SF3A subcomplex that contributes to the assembly of the 17S U2 snRNP, and the subsequent assembly of the pre-spliceosome 'E' complex and the pre-catalytic spliceosome 'A' complex. Involved in pre-mRNA splicing as a component of pre-catalytic spliceosome 'B' complexes, including the Bact complex. Interacts directly with the duplex formed by U2 snRNA and the intron.
See full target information Sf3a2

Publications (5)

Recent publications for all applications. Explore the full list and refine your search

Biology open 14: PubMed40353744

2025

Reorganization of the heterochromatin-associated gene-dense subcompartment in early neuronal development.

Applications

Unspecified application

Species

Unspecified reactive species

Nicolas J Scrutton Alvarado,Ziyu Zhao,Tomoko Yamada,Yue Yang

Journal of advanced research 65:365-379 PubMed38101749

2023

Ginsenoside Rb2 inhibits p300-mediated SF3A2 acetylation at lysine 10 to promote Fscn1 alternative splicing against myocardial ischemic/reperfusion injury.

Applications

Unspecified application

Species

Unspecified reactive species

Qingxia Huang,Yao Yao,Yisa Wang,Jing Li,Jinjin Chen,Mingxia Wu,Chen Guo,Jia Lou,Wenzhi Yang,Linhua Zhao,Xiaolin Tong,Daqing Zhao,Xiangyan Li

Nature 590:344-350 PubMed33505024

2021

Integrated spatial genomics reveals global architecture of single nuclei.

Applications

Unspecified application

Species

Unspecified reactive species

Yodai Takei,Jina Yun,Shiwei Zheng,Noah Ollikainen,Nico Pierson,Jonathan White,Sheel Shah,Julian Thomassie,Shengbao Suo,Chee-Huat Linus Eng,Mitchell Guttman,Guo-Cheng Yuan,Long Cai

The Journal of biological chemistry 288:33361-75 PubMed24078636

2013

Nuclear ALG-2 protein interacts with Ca2+ homeostasis endoplasmic reticulum protein (CHERP) Ca2+-dependently and participates in regulation of alternative splicing of inositol trisphosphate receptor type 1 (IP3R1) pre-mRNA.

Applications

Unspecified application

Species

Unspecified reactive species

Kanae Sasaki-Osugi,Chiaki Imoto,Terunao Takahara,Hideki Shibata,Masatoshi Maki

Nucleic acids research 25:354-61 PubMed9016565

1997

Association of U2 snRNP with the spliceosomal complex E.

Applications

Unspecified application

Species

Unspecified reactive species

W Hong,M Bennett,Y Xiao,R Feld Kramer,C Wang,R Reed
View all publications

Product promise

We are committed to supporting your work with high-quality reagents, and we're here for you every step of the way. In the unlikely event that one of our products does not perform as expected, you're protected by our Product Promise.
For full details, please see our Terms & Conditions

Please note: All products are 'FOR RESEARCH USE ONLY. NOT FOR USE IN DIAGNOSTIC OR THERAPEUTIC PROCEDURES'.

For licensing inquiries, please contact partnerships@abcam.com