JavaScript is disabled in your browser. Please enable JavaScript to view this website.
AB170854

Anti-SF3B1 antibody [EPR11987(B)]

Be the first to review this product! Submit a review

|

(13 Publications)

Rabbit Recombinant Monoclonal SF3B1 antibody. Suitable for IHC-P, WB, ICC/IF and reacts with Human samples. Cited in 13 publications.

View Alternative Names

SAP155, SF3B1, Splicing factor 3B subunit 1, Pre-mRNA-splicing factor SF3b 155 kDa subunit, Spliceosome-associated protein 155, SF3b155, SAP 155

4 Images
Immunocytochemistry/ Immunofluorescence - Anti-SF3B1 antibody [EPR11987(B)] (AB170854)
  • ICC/IF

Supplier Data

Immunocytochemistry/ Immunofluorescence - Anti-SF3B1 antibody [EPR11987(B)] (AB170854)

Immunofluorescent analysis of HeLa cells labeling SF3B1 with ab170854 at 1/100 dilution.

Immunohistochemistry (Formalin/PFA-fixed paraffin-embedded sections) - Anti-SF3B1 antibody [EPR11987(B)] (AB170854)
  • IHC-P

Supplier Data

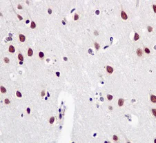
Immunohistochemistry (Formalin/PFA-fixed paraffin-embedded sections) - Anti-SF3B1 antibody [EPR11987(B)] (AB170854)

Immunohistochemical analysis of formalin-fixed paraffin-embedded Human brain tissue labeling SF3B1 with ab170854 at 1/100 dilution.

Perform heat mediated antigen retrieval before commencing with IHC staining protocol.

Immunohistochemistry (Formalin/PFA-fixed paraffin-embedded sections) - Anti-SF3B1 antibody [EPR11987(B)] (AB170854)
  • IHC-P

Supplier Data

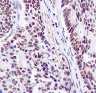
Immunohistochemistry (Formalin/PFA-fixed paraffin-embedded sections) - Anti-SF3B1 antibody [EPR11987(B)] (AB170854)

Immunohistochemical analysis of formalin-fixed paraffin-embedded Human colonic carcinoma tissue labeling SF3B1 with ab170854 at 1/100 dilution.

Perform heat mediated antigen retrieval before commencing with IHC staining protocol.

Western blot - Anti-SF3B1 antibody [EPR11987(B)] (AB170854)
  • WB

Supplier Data

Western blot - Anti-SF3B1 antibody [EPR11987(B)] (AB170854)

All lanes:

Western blot - Anti-SF3B1 antibody [EPR11987(B)] (ab170854) at 1/1000 dilution

Lane 1:

HeLa cell lysate at 10 µg

Lane 2:

K562 cell lysate at 10 µg

Lane 3:

Ramos cell lysate at 10 µg

Predicted band size: 146 kDa

false

  • Carrier free

    Anti-SF3B1 antibody [EPR11987(B)] - BSA and Azide free

Key facts

Host species

Rabbit

Clonality

Monoclonal

Clone number

EPR11987(B)

Isotype

IgG

Carrier free

No

Reacts with

Human

Applications

WB, IHC-P, ICC/IF

applications

Immunogen

The exact immunogen used to generate this antibody is proprietary information.

Reactivity data

{ "title": "Reactivity Data", "filters": { "stats": ["", "Species", "Dilution Info", "Notes"], "tabs": { "all-applications": {"fullname" : "All Applications", "shortname": "All Applications"}, "IHCP" : {"fullname" : "Immunohistochemistry (Formalin/PFA-fixed paraffin-embedded sections)", "shortname":"IHC-P"}, "IP" : {"fullname" : "Immunoprecipitation", "shortname":"IP"}, "FlowCyt" : {"fullname" : "Flow Cytometry", "shortname":"Flow Cyt"}, "WB" : {"fullname" : "Western blot", "shortname":"WB"}, "ICCIF" : {"fullname" : "Immunocytochemistry/ Immunofluorescence", "shortname":"ICC/IF"} }, "product-promise": { "all": "all", "testedAndGuaranteed": "tested", "guaranteed": "expected", "predicted": "predicted", "notRecommended": "not-recommended" } }, "values": { "Human": { "IHCP-species-checked": "testedAndGuaranteed", "IHCP-species-dilution-info": "1/100 - 1/250", "IHCP-species-notes": "<p></p>", "IP-species-checked": "notRecommended", "IP-species-dilution-info": "", "IP-species-notes": "<p></p>", "FlowCyt-species-checked": "notRecommended", "FlowCyt-species-dilution-info": "", "FlowCyt-species-notes": "<p></p>", "WB-species-checked": "testedAndGuaranteed", "WB-species-dilution-info": "1/1000 - 1/10000", "WB-species-notes": "<p></p>", "ICCIF-species-checked": "testedAndGuaranteed", "ICCIF-species-dilution-info": "1/100 - 1/250", "ICCIF-species-notes": "<p></p>" }, "Mouse": { "IHCP-species-checked": "notRecommended", "IHCP-species-dilution-info": "1/100 - 1/250", "IHCP-species-notes": "<p></p>", "IP-species-checked": "notRecommended", "IP-species-dilution-info": "", "IP-species-notes": "<p></p>", "FlowCyt-species-checked": "notRecommended", "FlowCyt-species-dilution-info": "", "FlowCyt-species-notes": "<p></p>", "WB-species-checked": "notRecommended", "WB-species-dilution-info": "1/1000 - 1/10000", "WB-species-notes": "<p></p>", "ICCIF-species-checked": "notRecommended", "ICCIF-species-dilution-info": "1/100 - 1/250", "ICCIF-species-notes": "<p></p>" }, "Rat": { "IHCP-species-checked": "notRecommended", "IHCP-species-dilution-info": "1/100 - 1/250", "IHCP-species-notes": "<p></p>", "IP-species-checked": "notRecommended", "IP-species-dilution-info": "", "IP-species-notes": "<p></p>", "FlowCyt-species-checked": "notRecommended", "FlowCyt-species-dilution-info": "", "FlowCyt-species-notes": "<p></p>", "WB-species-checked": "notRecommended", "WB-species-dilution-info": "1/1000 - 1/10000", "WB-species-notes": "<p></p>", "ICCIF-species-checked": "notRecommended", "ICCIF-species-dilution-info": "1/100 - 1/250", "ICCIF-species-notes": "<p></p>" } } }

Product details

Patented technology
Our RabMAb® technology is a patented hybridoma-based technology for making rabbit monoclonal antibodies. For details on our patents, please refer to RabMAb® patents.

What are the advantages of a recombinant monoclonal antibody?
This product is a recombinant monoclonal antibody, which offers several advantages including:

  • - High batch-to-batch consistency and reproducibility
  • - Improved sensitivity and specificity
  • - Long-term security of supply
  • - Animal-free batch production

For more information, read more on recombinant antibodies.

Properties and storage information

Form
Liquid
Purity
Tissue culture supernatant
Storage buffer
pH: 7.2 - 7.4 Preservative: 0.01% Sodium azide Constituents: PBS, 50% Tissue culture supernatant, 40% Glycerol (glycerin, glycerine), 0.05% BSA
Shipped at conditions
Blue Ice
Appropriate short-term storage duration
1-2 weeks
Appropriate short-term storage conditions
+4°C
Appropriate long-term storage conditions
-20°C
Aliquoting information
Upon delivery aliquot
Storage information
Avoid freeze / thaw cycle

Supplementary information

This supplementary information is collated from multiple sources and compiled automatically.

SF3B1 also known as Splicing Factor 3B subunit 1 plays an important role in the mRNA splicing process. This protein participates in the splicing machinery as part of the spliceosome contributing to the removal of introns from pre-mRNA. SF3B1 has a molecular weight of approximately 160 kDa. It is ubiquitously expressed yet shows a high level of activity in tissues with rapid cell division such as the bone marrow and lymphatic tissue reflecting its central involvement in gene expression regulation.
Biological function summary

SF3B1 is an essential component of the spliceosomal complex specifically the U2 snRNP component. It helps establish the branchpoint recognition complex ensuring accurate RNA splicing necessary for producing functional mRNA molecules. This process is important for the expression of diverse protein-coding genes affecting multiple aspects of cellular function and identity. The protein interacts with other spliceosomal proteins like SF3A and U2AF to guide the precise removal of non-coding sequences enabling proper translation into proteins.

Pathways

SF3B1 is involved in the mRNA processing pathway and influences the cell cycle pathway. During mRNA processing SF3B1 aids in assembling the spliceosome facilitating the excision of introns. The protein interacts with components like SF3B2 in coordinating splicing with other RNA processing events. In the cell cycle pathway SF3B1 indirectly affects gene expression and stability influencing cell cycle progression and serving as a regulatory node by modulating the splicing of key regulators active during cell division.

Several studies associate SF3B1 mutations with certain types of cancer including myelodysplastic syndrome and chronic lymphocytic leukemia. These mutations often result in aberrant splicing events leading to altered gene expression profiles that can promote tumorigenesis. Within these disease contexts SF3B1 abnormalities can influence interactions with related proteins like SRSF2 contributing to misregulated splicing patterns of genes that drive cancerous transformations and affect patient prognosis.

Product protocols

For this product, it's our understanding that no specific protocols are required. You can visit:

Target data

Component of the 17S U2 SnRNP complex of the spliceosome, a large ribonucleoprotein complex that removes introns from transcribed pre-mRNAs (PubMed : 12234937, PubMed : 27720643, PubMed : 32494006, PubMed : 34822310). The 17S U2 SnRNP complex (1) directly participates in early spliceosome assembly and (2) mediates recognition of the intron branch site during pre-mRNA splicing by promoting the selection of the pre-mRNA branch-site adenosine, the nucleophile for the first step of splicing (PubMed : 32494006, PubMed : 34822310). Within the 17S U2 SnRNP complex, SF3B1 is part of the SF3B subcomplex, which is required for 'A' complex assembly formed by the stable binding of U2 snRNP to the branchpoint sequence in pre-mRNA (PubMed : 12234937). Sequence independent binding of SF3A and SF3B subcomplexes upstream of the branch site is essential, it may anchor U2 snRNP to the pre-mRNA (PubMed : 12234937). May also be involved in the assembly of the 'E' complex (PubMed : 10882114). Also acts as a component of the minor spliceosome, which is involved in the splicing of U12-type introns in pre-mRNAs (PubMed : 15146077, PubMed : 33509932). Together with other U2 snRNP complex components may also play a role in the selective processing of microRNAs (miRNAs) from the long primary miRNA transcript, pri-miR-17-92 (By similarity).
See full target information SF3B1

Publications (13)

Recent publications for all applications. Explore the full list and refine your search

Reproduction (Cambridge, England) 169: PubMed40378395

2025

Extracellular vesicles, syntaxin 2 and SNAP23 in the uterine microenvironment of the rat.

Applications

Unspecified application

Species

Unspecified reactive species

Sadaf N Kalam,Samson N Dowland,Louise Cole,Laura A Lindsay,Christopher R Murphy

Nucleic acids research 53: PubMed40207633

2025

High-throughput screen of 100 000 small molecules in C9ORF72 ALS neurons identifies spliceosome modulators that mobilize G4C2 repeat RNA into nuclear export and repeat associated non-canonical translation.

Applications

Unspecified application

Species

Unspecified reactive species

Maartje J Luteijn,Varun Bhaskar,Dominic Trojer,Melanie Schürz,Hicham Mahboubi,Cornelia Handl,Nicolas Pizzato,Martin Pfeifer,Ruxandra Dafinca,Hans Voshol,Elisa Giorgetti,Carole Manneville,Isabelle P M Garnier,Matthias Müller,Fanning Zeng,Kathrin Buntin,Roger Markwalder,Harald Schröder,Jan Weiler,Dora Khar,Tim Schuhmann,Paul J Groot-Kormelink,Caroline Gubser Keller,Pierre Farmer,Angela MacKay,Martin Beibel,Guglielmo Roma,Giovanni D'Ario,Claudia Merkl,Michael Schebesta,Marc Hild,Fiona Elwood,Björn F Vahsen,Nina Ripin,Antoine Clery,Frederic Allain,Mark Labow,Daniela Gabriel,Jeffrey A Chao,Kevin Talbot,Mark Nash,Jürg Hunziker,Nicole C Meisner-Kober

Nature communications 15:5237 PubMed38898005

2024

Therapy-induced secretion of spliceosomal components mediates pro-survival crosstalk between ovarian cancer cells.

Applications

Unspecified application

Species

Unspecified reactive species

Victoria O Shender,Ksenia S Anufrieva,Polina V Shnaider,Georgij P Arapidi,Marat S Pavlyukov,Olga M Ivanova,Irina K Malyants,Grigory A Stepanov,Evgenii Zhuravlev,Rustam H Ziganshin,Ivan O Butenko,Olga N Bukato,Ksenia M Klimina,Vladimir A Veselovsky,Tatiana V Grigorieva,Sergey Y Malanin,Olga I Aleshikova,Andrey V Slonov,Nataliya A Babaeva,Lev A Ashrafyan,Elena Khomyakova,Evgeniy G Evtushenko,Maria M Lukina,Zixiang Wang,Artemiy S Silantiev,Anna A Nushtaeva,Daria D Kharlampieva,Vassili N Lazarev,Arseniy I Lashkin,Lorine K Arzumanyan,Irina Yu Petrushanko,Alexander A Makarov,Olga S Lebedeva,Alexandra N Bogomazova,Maria A Lagarkova,Vadim M Govorun

Molecular cell 84:1475-1495.e18 PubMed38521065

2024

Transcription elongation defects link oncogenic SF3B1 mutations to targetable alterations in chromatin landscape.

Applications

Unspecified application

Species

Unspecified reactive species

Prajwal C Boddu,Abhishek K Gupta,Rahul Roy,Bárbara De La Peña Avalos,Anne Olazabal-Herrero,Nils Neuenkirchen,Joshua T Zimmer,Namrata S Chandhok,Darren King,Yasuhito Nannya,Seishi Ogawa,Haifan Lin,Matthew D Simon,Eloise Dray,Gary M Kupfer,Amit Verma,Karla M Neugebauer,Manoj M Pillai

Nucleic acids research 52:5356-5375 PubMed38366783

2024

Nuclear RNA-related processes modulate the assembly of cytoplasmic RNA granules.

Applications

Unspecified application

Species

Unspecified reactive species

Mor Angel,Eden Fleshler,Mohammad Khaled Atrash,Noa Kinor,Jennifer I C Benichou,Yaron Shav-Tal

Cell reports 42:113223 PubMed37805921

2023

Splicing quality control mediated by DHX15 and its G-patch activator SUGP1.

Applications

Unspecified application

Species

Unspecified reactive species

Qing Feng,Keegan Krick,Jennifer Chu,Christopher B Burge

The Journal of biological chemistry 298:102224 PubMed35780835

2022

A UHM-ULM interface with unusual structural features contributes to U2AF2 and SF3B1 association for pre-mRNA splicing.

Applications

Unspecified application

Species

Unspecified reactive species

Justin W Galardi,Victoria N Bela,Nazish Jeffery,Xueyang He,Eliezra Glasser,Sarah Loerch,Jermaine L Jenkins,Mary J Pulvino,Paul L Boutz,Clara L Kielkopf

Cells 10: PubMed34831035

2021

Towards Splicing Therapy for Lysosomal Storage Disorders: Methylxanthines and Luteolin Ameliorate Splicing Defects in Aspartylglucosaminuria and Classic Late Infantile Neuronal Ceroid Lipofuscinosis.

Applications

Unspecified application

Species

Unspecified reactive species

Antje Banning,Ritva Tikkanen

Computational and structural biotechnology journal 19:1361-1370 PubMed33777335

2021

Functional and conformational impact of cancer-associated mutations depends on the position and the charge of amino acid substitution.

Applications

Unspecified application

Species

Unspecified reactive species

Christine Canbezdi,Malcy Tarin,Alexandre Houy,Dorine Bellanger,Tatiana Popova,Marc-Henri Stern,Sergio Roman-Roman,Samar Alsafadi

Genes & development : PubMed33060135

2020

Selective inhibition of CDK7 reveals high-confidence targets and new models for TFIIH function in transcription.

Applications

Unspecified application

Species

Unspecified reactive species

Jenna K Rimel,Zachary C Poss,Benjamin Erickson,Zachary L Maas,Christopher C Ebmeier,Jared L Johnson,Tim-Michael Decker,Tomer M Yaron,Michael J Bradley,Kristin B Hamman,Shanhu Hu,Goran Malojcic,Jason J Marineau,Peter W White,Martine Brault,Limei Tao,Patrick DeRoy,Christian Clavette,Shraddha Nayak,Leah J Damon,Ines H Kaltheuner,Heeyoun Bunch,Lewis C Cantley,Matthias Geyer,Janet Iwasa,Robin D Dowell,David L Bentley,William M Old,Dylan J Taatjes
View all publications

Product promise

We are committed to supporting your work with high-quality reagents, and we're here for you every step of the way. In the unlikely event that one of our products does not perform as expected, you're protected by our Product Promise.
For full details, please see our Terms & Conditions

Please note: All products are 'FOR RESEARCH USE ONLY. NOT FOR USE IN DIAGNOSTIC OR THERAPEUTIC PROCEDURES'.

For licensing inquiries, please contact partnerships@abcam.com