JavaScript is disabled in your browser. Please enable JavaScript to view this website.
AB251508

Anti-SF3B3 antibody [EPR18441] - BSA and Azide free

Be the first to review this product! Submit a review

|

(1 Publication)

Rabbit Recombinant Monoclonal SF3B3 antibody. Carrier free. Suitable for ICC/IF, IP, WB, IHC-P and reacts with Mouse, Rat, Human samples. Cited in 1 publication.

View Alternative Names

KIAA0017, SAP130, SF3B3, Splicing factor 3B subunit 3, Pre-mRNA-splicing factor SF3b 130 kDa subunit, STAF130, Spliceosome-associated protein 130, SF3b130, SAP 130

12 Images
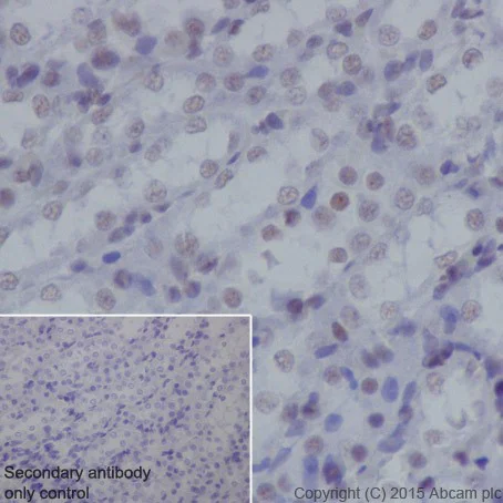
Immunohistochemistry (Formalin/PFA-fixed paraffin-embedded sections) - Anti-SF3B3 antibody [EPR18441] - BSA and Azide free (AB251508)
  • IHC-P

Supplier Data

Immunohistochemistry (Formalin/PFA-fixed paraffin-embedded sections) - Anti-SF3B3 antibody [EPR18441] - BSA and Azide free (AB251508)

This data was developed using ab209403, the same antibody clone in a different buffer formulation.

Immunohistochemical analysis of paraffin-embedded Human breast cancer (ER-) tissue labeling SF3B3 with ab209403 at 1/250 dilution, followed by Goat Anti-Rabbit IgG H&L (HRP) (ab97051) at 1/500 dilution.

Weak nucleus staining on ER- breast cancer is observed.

Counter stained with Hematoxylin.

Secondary antibody only control : Used PBS instead of primary antibody, secondary antibody is Goat Anti-Rabbit IgG H&L (HRP) (ab97051) at 1/500 dilution.

Perform heat mediated antigen retrieval with Tris/EDTA buffer pH 9.0 before commencing with IHC staining protocol.

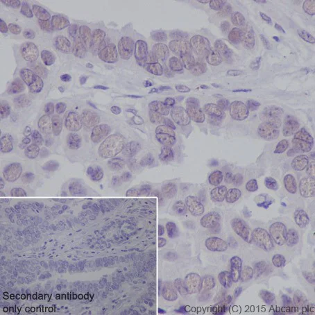
Immunohistochemistry (Formalin/PFA-fixed paraffin-embedded sections) - Anti-SF3B3 antibody [EPR18441] - BSA and Azide free (AB251508)
  • IHC-P

Supplier Data

Immunohistochemistry (Formalin/PFA-fixed paraffin-embedded sections) - Anti-SF3B3 antibody [EPR18441] - BSA and Azide free (AB251508)

This data was developed using ab209403, the same antibody clone in a different buffer formulation.

Immunohistochemical analysis of paraffin-embedded Human breast cancer (ER+) tissue labeling SF3B3 with ab209403 at 1/250 dilution, followed by Goat Anti-Rabbit IgG H&L (HRP) (ab97051) at 1/500 dilution.

Nucleus staining on ER+ breast cancer is observed.

Counter stained with Hematoxylin.

Secondary antibody only control : Used PBS instead of primary antibody, secondary antibody is Goat Anti-Rabbit IgG H&L (HRP) (ab97051) at 1/500 dilution.

Immunocytochemistry/ Immunofluorescence - Anti-SF3B3 antibody [EPR18441] - BSA and Azide free (AB251508)
  • ICC/IF

Supplier Data

Immunocytochemistry/ Immunofluorescence - Anti-SF3B3 antibody [EPR18441] - BSA and Azide free (AB251508)

This data was developed using ab209403, the same antibody clone in a different buffer formulation.

Immunofluorescent analysis of 4% paraformaldehyde-fixed, 0.1% Triton X-100 permeabilized C6 (Rat glial tumor cell line) cells labeling SF3B3 with ab209403 at 1/500 dilution, followed by Goat Anti-Rabbit IgG (Alexa Fluor® 488) (ab150077) secondary antibody at 1/1000 dilution (green).

Confocal image showing nuclear staining on C6 cell line.

The nuclear counterstain is DAPI (blue).

Tubulin is detected with Anti-alpha Tubulin antibody - Loading Control (ab7291) at 1/1000 dilution and Goat Anti-Mouse IgG (AlexaFluor®594) preadsorbed (ab150120) at 1/1000 dilution (red).

The negative controls are as follows : -

-ve control 1 : ab209403 at 1/500 dilution followed by ab150120 at 1/1000 dilution.

-ve control 2 : ab7291 at 1/1000 dilution followed by ab150077 at 1/1000 dilution.

Immunohistochemistry (Formalin/PFA-fixed paraffin-embedded sections) - Anti-SF3B3 antibody [EPR18441] - BSA and Azide free (AB251508)
  • IHC-P

Supplier Data

Immunohistochemistry (Formalin/PFA-fixed paraffin-embedded sections) - Anti-SF3B3 antibody [EPR18441] - BSA and Azide free (AB251508)

This data was developed using ab209403, the same antibody clone in a different buffer formulation.

Immunohistochemical analysis of paraffin-embedded mouse cerebral cortex tissue labeling SF3B3 with ab209403 at 1/250 dilution, followed by Goat Anti-Rabbit IgG H&L (HRP) (ab97051) at 1/500 dilution.

Nucleus staining on mouse cerebral cortex is observed.

Counter stained with Hematoxylin.

Secondary antibody only control : Used PBS instead of primary antibody, secondary antibody is Goat Anti-Rabbit IgG H&L (HRP) (ab97051) at 1/500 dilution.

Perform heat mediated antigen retrieval with Tris/EDTA buffer pH 9.0 before commencing with IHC staining protocol.

Immunocytochemistry/ Immunofluorescence - Anti-SF3B3 antibody [EPR18441] - BSA and Azide free (AB251508)
  • ICC/IF

Supplier Data

Immunocytochemistry/ Immunofluorescence - Anti-SF3B3 antibody [EPR18441] - BSA and Azide free (AB251508)

This data was developed using ab209403, the same antibody clone in a different buffer formulation.

Immunofluorescent analysis of 4% paraformaldehyde-fixed, 0.1% Triton X-100 permeabilized RAW 264.7 (Mouse macrophage cell line transformed with Abelson murine leukemia virus) cells labeling SF3B3 with ab209403 at 1/500 dilution, followed by Goat Anti-Rabbit IgG (Alexa Fluor® 488) (ab150077) secondary antibody at 1/1000 dilution (green).

Confocal image showing nuclear staining on RAW 264.7 cell line.

The nuclear counterstain is DAPI (blue).

Tubulin is detected with Anti-alpha Tubulin antibody- Loading Control (ab7291) at 1/1000 dilution and Goat Anti-Mouse IgG(AlexaFluor®594) preadsorbed (ab150120) at 1/1000 dilution (red).

The negative controls are as follows : -

-ve control 1 : ab209403 at 1/500 dilution followed by ab150120 at 1/1000 dilution.

-ve control 2 : ab7291 at 1/1000 dilution followed by ab150077 at 1/1000 dilution.

Immunohistochemistry (Formalin/PFA-fixed paraffin-embedded sections) - Anti-SF3B3 antibody [EPR18441] - BSA and Azide free (AB251508)
  • IHC-P

Supplier Data

Immunohistochemistry (Formalin/PFA-fixed paraffin-embedded sections) - Anti-SF3B3 antibody [EPR18441] - BSA and Azide free (AB251508)

This data was developed using ab209403, the same antibody clone in a different buffer formulation.

Immunohistochemical analysis of paraffin-embedded Rat kidney tissue labeling SF3B3 with ab209403 at 1/250 dilution, followed by Goat Anti-Rabbit IgG H&L (HRP) (ab97051) at 1/500 dilution.

Nucleus staining on rat kidney is observed.

Counter stained with Hematoxylin.

Secondary antibody only control : Used PBS instead of primary antibody, secondary antibody is Goat Anti-Rabbit IgG H&L (HRP) (ab97051) at 1/500 dilution.

Perform heat mediated antigen retrieval with Tris/EDTA buffer pH 9.0 before commencing with IHC staining protocol.

Western blot - Anti-SF3B3 antibody [EPR18441] - BSA and Azide free (AB251508)
  • WB

Lab

Western blot - Anti-SF3B3 antibody [EPR18441] - BSA and Azide free (AB251508)

This data was developed using ab209403, the same antibody clone in a different buffer formulation.

Blocking and diluting buffer and concentration : 5% NFDM/TBST.

We recommend not to boil the sample after lysis to get desired WB bands.

Lanes 1 - 4:

Western blot - Anti-SF3B3 antibody [EPR18441] (<a href='/en-us/products/primary-antibodies/sf3b3-antibody-epr18441-ab209403'>ab209403</a>) at 1/10000 dilution

Lanes 1 - 4:

Western blot - Anti-SF3B3 antibody [EPR18441] - BSA and Azide free (ab251508) at 1/10000 dilution

Lane 1:

HeLa (Human cervix adenocarcinoma epithelial cell) whole cell lysate boiled at 20 µg

Lane 2:

HeLa (Human cervix adenocarcinoma epithelial cell) whole cell lysate unboiled at 20 µg

Lane 3:

Jurkat (Human T cell leukemia T lymphocyte) whole lysate boiled at 20 µg

Lane 4:

Jurkat (Human T cell leukemia T lymphocyte) whole lysate unboiled at 20 µg

Secondary

All lanes:

Western blot - Goat Anti-Rabbit IgG H&L (HRP) (<a href='/en-us/products/secondary-antibodies/goat-rabbit-igg-h-l-hrp-ab97051'>ab97051</a>) at 1/20000 dilution

Predicted band size: 136 kDa

Observed band size: 136 kDa

false

Exposure time: 5s

Western blot - Anti-SF3B3 antibody [EPR18441] - BSA and Azide free (AB251508)
  • WB

Supplier Data

Western blot - Anti-SF3B3 antibody [EPR18441] - BSA and Azide free (AB251508)

This data was developed using ab209403, the same antibody clone in a different buffer formulation.

Blocking and dilution buffer : 5% NFDM/TBST.

All lanes:

Western blot - Anti-SF3B3 antibody [EPR18441] (<a href='/en-us/products/primary-antibodies/sf3b3-antibody-epr18441-ab209403'>ab209403</a>) at 1/2000 dilution

Lane 1:

Human fetal liver lysate at 10 µg

Lane 2:

Human fetal heart lysate at 10 µg

Secondary

All lanes:

Goat Anti-Rabbit IgG Peroxidase Conjugate, specific to the non-reduced form of IgG at 1/10000 dilution

Predicted band size: 136 kDa

Observed band size: 136 kDa

false

Exposure time: 3min

Immunohistochemistry (Formalin/PFA-fixed paraffin-embedded sections) - Anti-SF3B3 antibody [EPR18441] - BSA and Azide free (AB251508)
  • IHC-P

Supplier Data

Immunohistochemistry (Formalin/PFA-fixed paraffin-embedded sections) - Anti-SF3B3 antibody [EPR18441] - BSA and Azide free (AB251508)

This data was developed using ab209403, the same antibody clone in a different buffer formulation.

Immunohistochemical analysis of paraffin-embedded Human colon tissue labeling SF3B3 with ab209403 at 1/250 dilution, followed by Goat Anti-Rabbit IgG H&L (HRP) (ab97051) at 1/500 dilution.

Nucleus staining on Human colon is observed.

Counter stained with Hematoxylin.

Secondary antibody only control : Used PBS instead of primary antibody, secondary antibody is Goat Anti-Rabbit IgG H&L (HRP) (ab97051) at 1/500 dilution.

Immunoprecipitation - Anti-SF3B3 antibody [EPR18441] - BSA and Azide free (AB251508)
  • IP

Supplier Data

Immunoprecipitation - Anti-SF3B3 antibody [EPR18441] - BSA and Azide free (AB251508)

This data was developed using ab209403, the same antibody clone in a different buffer formulation.

SF3B3 was immunoprecipitated from 1mg / 300μl of HeLa (Human epithelial cell line from cervix adenocarcinoma) whole cell lysate with ab209403 at 1/60 dilution (5μg/ 1mg of lysate).

Western blot was performed from the immunoprecipitate using ab209403 at 1/1000 dilution.

VeriBlot for IP Detection Reagent (HRP) (ab131366), was used for detection at 1/10000 dilution.

Lane 1 : HeLa whole cell lysate, 10ug (Input).
Lane 2 : ab209403 IP in HeLa whole cell lysate.
Lane 3 : Rabbit IgG,monoclonal - Isotype Control (ab172730) instead of ab209403 in HeLa whole cell lysate.

Blocking and dilution buffer and concentration : 5% NFDM/TBST.

Exposure time : 1 second.

All lanes:

Immunoprecipitation - Anti-SF3B3 antibody [EPR18441] (<a href='/en-us/products/primary-antibodies/sf3b3-antibody-epr18441-ab209403'>ab209403</a>)

Predicted band size: 136 kDa

false

Immunoprecipitation - Anti-SF3B3 antibody [EPR18441] - BSA and Azide free (AB251508)
  • IP

Unknown

Immunoprecipitation - Anti-SF3B3 antibody [EPR18441] - BSA and Azide free (AB251508)

This data was developed using ab209403, the same antibody clone in a different buffer formulation.

SF3B3 was immunoprecipitated from 1mg / 300μl of C6 (Rat glial tumor cell line) whole cell lysate with ab209403 at 1/60 dilution (5μg / 1mg of lysate).

Western blot was performed from the immunoprecipitate using ab209403 at 1/1000 dilution.

VeriBlot for IP Detection Reagent (HRP) (ab131366), was used for detection at 1/10000 dilution.

Lane 1 : C6 whole cell lysate, 10ug (Input).
Lane 2 : ab209403 IP in C6 whole cell lysate.
Lane 3 : Rabbit IgG,monoclonal - Isotype Control (ab172730) instead of ab209403 in HeLa whole cell lysate.

Blocking and dilution buffer and concentration : 5% NFDM/TBST.

Exposure time : 1 second.

All lanes:

Immunoprecipitation - Anti-SF3B3 antibody [EPR18441] (<a href='/en-us/products/primary-antibodies/sf3b3-antibody-epr18441-ab209403'>ab209403</a>)

Predicted band size: 136 kDa

false

Western blot - Anti-SF3B3 antibody [EPR18441] - BSA and Azide free (AB251508)
  • WB

Supplier Data

Western blot - Anti-SF3B3 antibody [EPR18441] - BSA and Azide free (AB251508)

This data was developed using ab209403, the same antibody clone in a different buffer formulation.

Blocking and dilution buffer : 5% NFDM/TBST.

Exposure time : Lanes 1, 2 and 4 : 3 minutes; Lanes 3 and 5 : 30 seconds; Lanes 6-9 : 8 seconds.

All lanes:

Western blot - Anti-SF3B3 antibody [EPR18441] (<a href='/en-us/products/primary-antibodies/sf3b3-antibody-epr18441-ab209403'>ab209403</a>) at 1/2000 dilution

Lane 1:

Mouse brain lysate at 10 µg

Lane 2:

Mouse kidney lysate at 10 µg

Lane 3:

Mouse spleen lysate at 10 µg

Lane 4:

Rat kidney lysate at 10 µg

Lane 5:

Rat spleen lysate at 10 µg

Lane 6:

C6 (Rat glial tumor cell line) whole cell lysate at 10 µg

Lane 7:

RAW 264.7 (Mouse macrophage cell line transformed with Abelson murine leukemia virus) whole cell lysate at 10 µg

Lane 8:

PC-12 (Rat adrenal gland pheochromocytoma cell line) whole cell lysate at 10 µg

Lane 9:

NIH/3T3 (Mouse embryonic fibroblast cell line) whole cell lysate at 10 µg

Secondary

All lanes:

Western blot - Goat Anti-Rabbit IgG H&L (HRP) (<a href='/en-us/products/secondary-antibodies/goat-rabbit-igg-h-l-hrp-ab97051'>ab97051</a>) at 1/100000 dilution

Predicted band size: 136 kDa

Observed band size: 136 kDa

false

Key facts

Host species

Rabbit

Clonality

Monoclonal

Clone number

EPR18441

Isotype

IgG

Carrier free

Yes

Reacts with

Mouse, Rat, Human

Applications

WB, IHC-P, ICC/IF, IP

applications

Immunogen

The exact immunogen used to generate this antibody is proprietary information.

Reactivity data

{ "title": "Reactivity Data", "filters": { "stats": ["", "Species", "Dilution Info", "Notes"], "tabs": { "all-applications": {"fullname" : "All Applications", "shortname": "All Applications"}, "ICCIF" : {"fullname" : "Immunocytochemistry/ Immunofluorescence", "shortname":"ICC/IF"}, "IP" : {"fullname" : "Immunoprecipitation", "shortname":"IP"}, "WB" : {"fullname" : "Western blot", "shortname":"WB"}, "IHCP" : {"fullname" : "Immunohistochemistry (Formalin/PFA-fixed paraffin-embedded sections)", "shortname":"IHC-P"} }, "product-promise": { "all": "all", "testedAndGuaranteed": "tested", "guaranteed": "expected", "predicted": "predicted", "notRecommended": "not-recommended" } }, "values": { "Human": { "ICCIF-species-checked": "guaranteed", "ICCIF-species-dilution-info": "", "ICCIF-species-notes": "", "IP-species-checked": "testedAndGuaranteed", "IP-species-dilution-info": "", "IP-species-notes": "<p></p> Perform heat-mediated antigen retrieval with Tris/EDTA buffer pH 9.0 before commencing with IHC staining protocol.", "WB-species-checked": "testedAndGuaranteed", "WB-species-dilution-info": "", "WB-species-notes": "<p></p>", "IHCP-species-checked": "testedAndGuaranteed", "IHCP-species-dilution-info": "", "IHCP-species-notes": "<p></p> Perform heat-mediated antigen retrieval with Tris/EDTA buffer pH 9.0 before commencing with IHC staining protocol." }, "Mouse": { "ICCIF-species-checked": "testedAndGuaranteed", "ICCIF-species-dilution-info": "", "ICCIF-species-notes": "<p></p> Perform heat-mediated antigen retrieval with Tris/EDTA buffer pH 9.0 before commencing with IHC staining protocol.", "IP-species-checked": "guaranteed", "IP-species-dilution-info": "", "IP-species-notes": "", "WB-species-checked": "testedAndGuaranteed", "WB-species-dilution-info": "", "WB-species-notes": "<p></p>", "IHCP-species-checked": "testedAndGuaranteed", "IHCP-species-dilution-info": "", "IHCP-species-notes": "<p></p> Perform heat-mediated antigen retrieval with Tris/EDTA buffer pH 9.0 before commencing with IHC staining protocol." }, "Rat": { "ICCIF-species-checked": "testedAndGuaranteed", "ICCIF-species-dilution-info": "", "ICCIF-species-notes": "<p></p> Perform heat-mediated antigen retrieval with Tris/EDTA buffer pH 9.0 before commencing with IHC staining protocol.", "IP-species-checked": "guaranteed", "IP-species-dilution-info": "", "IP-species-notes": "", "WB-species-checked": "testedAndGuaranteed", "WB-species-dilution-info": "", "WB-species-notes": "<p></p>", "IHCP-species-checked": "testedAndGuaranteed", "IHCP-species-dilution-info": "", "IHCP-species-notes": "<p></p> Perform heat-mediated antigen retrieval with Tris/EDTA buffer pH 9.0 before commencing with IHC staining protocol." } } }

Product details

ab251508 is the carrier-free version of ab209403.

Patented technology
Our RabMAb® technology is a patented hybridoma-based technology for making rabbit monoclonal antibodies. For details on our patents, please refer to RabMAb® patents.

What are the advantages of a recombinant monoclonal antibody?
This product is a recombinant monoclonal antibody, which offers several advantages including:

  • - High batch-to-batch consistency and reproducibility
  • - Improved sensitivity and specificity
  • - Long-term security of supply
  • - Animal-free batch production

For more information, read more on recombinant antibodies.

Conjugation ready
Our carrier-free antibodies are typically supplied in a PBS-only formulation, purified and free of BSA, sodium azide and glycerol. This conjugation-ready format is designed for use with fluorochromes, metal isotopes, oligonucleotides, and enzymes, which makes them ideal for antibody labelling, functional and cell-based assays, flow-based assays (e.g. mass cytometry) and Multiplex Imaging applications.

Use our conjugation kits for antibody conjugates that are ready-to-use in as little as 20 minutes with 1 minute hands-on-time and 100% antibody recovery: available for fluorescent dyes, HRP, biotin and gold.

Compatibility
This product is compatible with the Maxpar® Antibody Labeling Kit from Fluidigm, without the need for antibody preparation. Maxpar® is a trademark of Fluidigm Canada Inc.

Properties and storage information

Form
Liquid
Purification technique
Affinity purification Protein A
Storage buffer
pH: 7.2 - 7.4 Constituents: PBS
Shipped at conditions
Blue Ice
Appropriate short-term storage conditions
+4°C
Appropriate long-term storage conditions
+4°C
Storage information
Do Not Freeze

Supplementary information

This supplementary information is collated from multiple sources and compiled automatically.

SF3B3 also known as SAP130 is a component of the splicing factor 3b complex vital for pre-mRNA processing. It is approximately 130 kDa in mass and prominently expressed across various tissue types including the liver lungs and heart. SF3B3 functions in the spliceosome a complex machinery essential for the removal of introns from pre-mRNA transcripts.
Biological function summary

SF3B3 participates in the assembly and stabilization of the functional spliceosomal complex. It is a part of the larger SF3b complex which is critical for recognizing the branch point sequence in RNA during splicing. This recognition influences the selection of splice sites and impacts the regulation of alternative splicing events. The SF3b complex works with the U2 small nuclear ribonucleoprotein (snRNP) during the splicing process to ensure accurate and efficient mRNA maturation.

Pathways

SF3B3 plays a significant role in the splicing pathway and impacts gene expression regulation through alternative splicing. It works alongside proteins such as SF3B1 and other splicing factors maintaining proper cellular function by influencing transcript variants. Another important pathway involving SF3B3 is RNA transport where it assists in the export of mature and correctly processed mRNA from the nucleus to the cytoplasm.

SF3B3 is closely linked to myelodysplastic syndromes and certain types of cancer such as breast cancer. Mutations or dysregulation of SF3B3 can result in aberrant splicing patterns contributing to tumorigenesis and disease progression. The protein is often studied along with SF3B1 as both are part of the splicing machinery and have been implicated in splicing-related genetic abnormalities that drive these disorders.

Product protocols

For this product, it's our understanding that no specific protocols are required. You can visit:

Target data

Component of the 17S U2 SnRNP complex of the spliceosome, a large ribonucleoprotein complex that removes introns from transcribed pre-mRNAs (PubMed : 10490618, PubMed : 10882114, PubMed : 12234937, PubMed : 27720643, PubMed : 28781166, PubMed : 32494006, PubMed : 34822310). The 17S U2 SnRNP complex (1) directly participates in early spliceosome assembly and (2) mediates recognition of the intron branch site during pre-mRNA splicing by promoting the selection of the pre-mRNA branch-site adenosine, the nucleophile for the first step of splicing (PubMed : 12234937, PubMed : 32494006, PubMed : 34822310). Within the 17S U2 SnRNP complex, SF3B3 is part of the SF3B subcomplex, which is required for 'A' complex assembly formed by the stable binding of U2 snRNP to the branchpoint sequence in pre-mRNA (PubMed : 12234937, PubMed : 27720643). Sequence independent binding of SF3A and SF3B subcomplexes upstream of the branch site is essential, it may anchor U2 snRNP to the pre-mRNA (PubMed : 12234937). May also be involved in the assembly of the 'E' complex (PubMed : 10882114). Also acts as a component of the minor spliceosome, which is involved in the splicing of U12-type introns in pre-mRNAs (PubMed : 15146077, PubMed : 33509932).
See full target information SF3B3

Publications (1)

Recent publications for all applications. Explore the full list and refine your search

Oncology letters 18:545-552 PubMed31289526

2019

Lymphoepithelioma-like gastric carcinoma treated with partial gastrectomy: Two case reports.

Applications

Unspecified application

Species

Unspecified reactive species

Huihua Cao,Jun Xie,Yongxiang Qian,Yugang Wu,Zhaoqing Tang
View all publications

Product promise

We are committed to supporting your work with high-quality reagents, and we're here for you every step of the way. In the unlikely event that one of our products does not perform as expected, you're protected by our Product Promise.
For full details, please see our Terms & Conditions

Please note: All products are 'FOR RESEARCH USE ONLY. NOT FOR USE IN DIAGNOSTIC OR THERAPEUTIC PROCEDURES'.

For licensing inquiries, please contact partnerships@abcam.com