JavaScript is disabled in your browser. Please enable JavaScript to view this website.
AB264196

Anti-SFPQ antibody

Be the first to review this product! Submit a review

|

(0 Publication)

Rabbit Polyclonal SFPQ antibody. Suitable for IHC-P, IP, WB and reacts with Human samples. Immunogen corresponding to Synthetic Peptide within Human SFPQ aa 1-50.

View Alternative Names

PSF, SFPQ, 100 kDa DNA-pairing protein, Polypyrimidine tract-binding protein-associated-splicing factor, hPOMp100, PTB-associated-splicing factor

3 Images
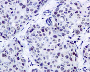
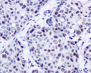
Immunohistochemistry (Formalin/PFA-fixed paraffin-embedded sections) - Anti-SFPQ antibody (AB264196)
  • IHC-P

Unknown

Immunohistochemistry (Formalin/PFA-fixed paraffin-embedded sections) - Anti-SFPQ antibody (AB264196)

Immunohistochemical analysis of formalin/PFA-fixed, paraffin-embedded human colon carcinoma tissue labeling SFPQ with ab264196 at 1/200 dilution. Detection : DAB.

Western blot - Anti-SFPQ antibody (AB264196)
  • WB

Supplier Data

Western blot - Anti-SFPQ antibody (AB264196)

Detected with chemilimuniscence with exposure time of 5 seconds.

4-8% SDS-PAGE.

Secondary : Goat anti-Rabbit Light Chain HRP Conjugate.

All lanes:

Western blot - Anti-SFPQ antibody (ab264196) at 0.04 µg/mL

Lane 1:

HeLa whole cell lysates at 50 µg

Lane 2:

HeLa whole cell lysates at 15 µg

Lane 3:

HeLa whole cell lysates at 5 µg

Lane 4:

HEK-293T whole cell lysates at 50 µg

Predicted band size: 76 kDa

false

Immunoprecipitation - Anti-SFPQ antibody (AB264196)
  • IP

Supplier Data

Immunoprecipitation - Anti-SFPQ antibody (AB264196)

SFPQ was immunoprecipitated from 1mg of HeLa (Human epithelial cell line from cervix adenocarcinoma) whole cell lysate with ab264196 at 3 μg/mg lysate. Western blot was performed from the immunoprecipitate using ab264196 at 1 μg/ml.
Lane 1 : ab264196 IP in HeLa whole cell lysate.
Lane 2 : Control IgG.

Exposure time : 30 secs.

All lanes:

Immunoprecipitation - Anti-SFPQ antibody (ab264196)

Predicted band size: 76 kDa

false

Key facts

Host species

Rabbit

Clonality

Polyclonal

Isotype

IgG

Carrier free

No

Reacts with

Human

Applications

IP, WB, IHC-P

applications

Immunogen

Synthetic Peptide within Human SFPQ aa 1-50. The exact immunogen used to generate this antibody is proprietary information.

P23246

Reactivity data

{ "title": "Reactivity Data", "filters": { "stats": ["", "Species", "Dilution Info", "Notes"], "tabs": { "all-applications": {"fullname" : "All Applications", "shortname": "All Applications"}, "IHCP" : {"fullname" : "Immunohistochemistry (Formalin/PFA-fixed paraffin-embedded sections)", "shortname":"IHC-P"}, "IP" : {"fullname" : "Immunoprecipitation", "shortname":"IP"}, "WB" : {"fullname" : "Western blot", "shortname":"WB"} }, "product-promise": { "all": "all", "testedAndGuaranteed": "tested", "guaranteed": "expected", "predicted": "predicted", "notRecommended": "not-recommended" } }, "values": { "Human": { "IHCP-species-checked": "testedAndGuaranteed", "IHCP-species-dilution-info": "1/100 - 1/500", "IHCP-species-notes": "<p></p> Perform heat-mediated antigen retrieval with citrate buffer pH 6 before commencing with IHC staining protocol.", "IP-species-checked": "testedAndGuaranteed", "IP-species-dilution-info": "2-5 µg/mg of lysate", "IP-species-notes": "<p></p>", "WB-species-checked": "testedAndGuaranteed", "WB-species-dilution-info": "1/2000 - 1/10000", "WB-species-notes": "<p></p>" }, "Mouse": { "IHCP-species-checked": "predicted", "IHCP-species-dilution-info": "", "IHCP-species-notes": "", "IP-species-checked": "predicted", "IP-species-dilution-info": "", "IP-species-notes": "", "WB-species-checked": "predicted", "WB-species-dilution-info": "", "WB-species-notes": "" } } }

Properties and storage information

Form
Liquid
Purification technique
Affinity purification Immunogen
Storage buffer
pH: 6.8 - 7.4 Preservative: 0.09% Sodium azide Constituents: Tris buffered saline, 0.1% BSA
Shipped at conditions
Blue Ice
Appropriate short-term storage duration
1-2 weeks
Appropriate short-term storage conditions
+4°C
Appropriate long-term storage conditions
-20°C
Aliquoting information
Upon delivery aliquot
Storage information
Avoid freeze / thaw cycle

Supplementary information

This supplementary information is collated from multiple sources and compiled automatically.

SFPQ also known as splicing factor proline and glutamine-rich (PSF) is a multifunctional protein serving in various cellular processes. The protein weighs approximately 76 kDa and is ubiquitously expressed across different tissues. It mainly localizes in the nucleus where it interacts with RNA and other proteins. SFPQ plays essential roles in RNA splicing and transcription regulation among others.
Biological function summary

SFPQ takes part in multiple cellular processes including RNA processing gene expression regulation and DNA repair. SFPQ forms complexes with other proteins such as NONO which enhances its ability in transcriptional control and RNA splicing. By binding to DNA and RNA SFPQ acts as a bridge that connects various molecular events important for cell function and survival.

Pathways

The protein is actively involved in the modulation of RNA metabolic pathways and signal transduction. In particular SFPQ participates in the regulation of alternative splicing processes which can influence the diversity of the proteome. Functionally related proteins like FUS show interactions with SFPQ within these pathways jointly affecting gene expression dynamics.

Aberrations in SFPQ expression or function associate with neurodegenerative diseases and cancers. Mislocalization of SFPQ and its altered expression have been observed in conditions like amyotrophic lateral sclerosis (ALS) and certain leukemia types. In these disorders proteins like TDP-43 have shown associations with SFPQ contributing to the pathology through disrupted RNA processing and cellular stress responses.

Product protocols

For this product, it's our understanding that no specific protocols are required. You can visit:

Target data

DNA- and RNA binding protein, involved in several nuclear processes. Essential pre-mRNA splicing factor required early in spliceosome formation and for splicing catalytic step II, probably as a heteromer with NONO. Binds to pre-mRNA in spliceosome C complex, and specifically binds to intronic polypyrimidine tracts. Involved in regulation of signal-induced alternative splicing. During splicing of PTPRC/CD45, a phosphorylated form is sequestered by THRAP3 from the pre-mRNA in resting T-cells; T-cell activation and subsequent reduced phosphorylation is proposed to lead to release from THRAP3 allowing binding to pre-mRNA splicing regulatotry elements which represses exon inclusion. Interacts with U5 snRNA, probably by binding to a purine-rich sequence located on the 3' side of U5 snRNA stem 1b. May be involved in a pre-mRNA coupled splicing and polyadenylation process as component of a snRNP-free complex with SNRPA/U1A. The SFPQ-NONO heteromer associated with MATR3 may play a role in nuclear retention of defective RNAs. SFPQ may be involved in homologous DNA pairing; in vitro, promotes the invasion of ssDNA between a duplex DNA and produces a D-loop formation. The SFPQ-NONO heteromer may be involved in DNA unwinding by modulating the function of topoisomerase I/TOP1; in vitro, stimulates dissociation of TOP1 from DNA after cleavage and enhances its jumping between separate DNA helices. The SFPQ-NONO heteromer binds DNA (PubMed : 25765647). The SFPQ-NONO heteromer may be involved in DNA non-homologous end joining (NHEJ) required for double-strand break repair and V(D)J recombination and may stabilize paired DNA ends; in vitro, the complex strongly stimulates DNA end joining, binds directly to the DNA substrates and cooperates with the Ku70/G22P1-Ku80/XRCC5 (Ku) dimer to establish a functional preligation complex. SFPQ is involved in transcriptional regulation. Functions as a transcriptional activator (PubMed : 25765647). Transcriptional repression is mediated by an interaction of SFPQ with SIN3A and subsequent recruitment of histone deacetylases (HDACs). The SFPQ-NONO-NR5A1 complex binds to the CYP17 promoter and regulates basal and cAMP-dependent transcriptional activity. SFPQ isoform Long binds to the DNA binding domains (DBD) of nuclear hormone receptors, like RXRA and probably THRA, and acts as a transcriptional corepressor in absence of hormone ligands. Binds the DNA sequence 5'-CTGAGTC-3' in the insulin-like growth factor response element (IGFRE) and inhibits IGF1-stimulated transcriptional activity. Regulates the circadian clock by repressing the transcriptional activator activity of the CLOCK-BMAL1 heterodimer. Required for the transcriptional repression of circadian target genes, such as PER1, mediated by the large PER complex through histone deacetylation (By similarity). Required for the assembly of nuclear speckles (PubMed : 25765647). Plays a role in the regulation of DNA virus-mediated innate immune response by assembling into the HDP-RNP complex, a complex that serves as a platform for IRF3 phosphorylation and subsequent innate immune response activation through the cGAS-STING pathway (PubMed : 28712728).
See full target information SFPQ

Product promise

We are committed to supporting your work with high-quality reagents, and we're here for you every step of the way. In the unlikely event that one of our products does not perform as expected, you're protected by our Product Promise.
For full details, please see our Terms & Conditions

Please note: All products are 'FOR RESEARCH USE ONLY. NOT FOR USE IN DIAGNOSTIC OR THERAPEUTIC PROCEDURES'.

For licensing inquiries, please contact partnerships@abcam.com