JavaScript is disabled in your browser. Please enable JavaScript to view this website.
AB240023

Anti-SFRP1 antibody [EPR7003] - BSA and Azide free

2

(1 Review)

|

(1 Publication)

Knockout Tested Rabbit Recombinant Monoclonal SFRP1 antibody. Carrier free. Suitable for IHC-P, WB and reacts with Human samples. Cited in 1 publication.

View Alternative Names

FRP, FRP1, SARP2, SFRP1, Secreted frizzled-related protein 1, FRP-1, sFRP-1, Secreted apoptosis-related protein 2, SARP-2

4 Images
Immunohistochemistry (Formalin/PFA-fixed paraffin-embedded sections) - Anti-SFRP1 antibody [EPR7003] - BSA and Azide free (AB240023)
  • IHC-P

Unknown

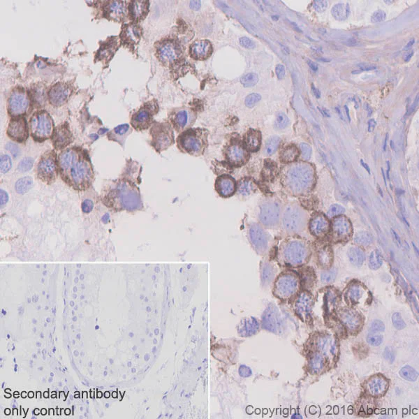
Immunohistochemistry (Formalin/PFA-fixed paraffin-embedded sections) - Anti-SFRP1 antibody [EPR7003] - BSA and Azide free (AB240023)

Immunohistochemistry (Formalin/PFA-fixed paraffin-embedded sections) analysis of Human testis tissue sections labeling SFRP1 with Purified ab126613 at 1 : 50 dilution (8 μg/ml). Heat mediated antigen retrieval was performed using ab93684 (Tris/EDTA buffer, pH 9.0). Tissue was counterstained with Hematoxylin. ImmunoHistoProbe one step HRP Polymer (ready to use) secondary antibody was used at 1 : 0 dilution. PBS instead of the primary antibody was used as the negative control.

This data was developed using the same antibody clone in a different buffer formulation containing PBS, BSA, glycerol, and sodium azide (ab126613).

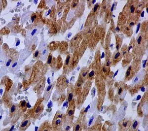
Immunohistochemistry (Formalin/PFA-fixed paraffin-embedded sections) - Anti-SFRP1 antibody [EPR7003] - BSA and Azide free (AB240023)
  • IHC-P

Unknown

Immunohistochemistry (Formalin/PFA-fixed paraffin-embedded sections) - Anti-SFRP1 antibody [EPR7003] - BSA and Azide free (AB240023)

Unpurified ab126613, at 1/50 dilution, staining SFRP1 in Formalin-fixed, Paraffin-embedded Human heart muscle tissue by Immunohistochemistry.

This data was developed using the same antibody clone in a different buffer formulation containing PBS, BSA, glycerol, and sodium azide (ab126613).

Perform heat mediated antigen retrieval before commencing with IHC staining protocol.

Western blot - Anti-SFRP1 antibody [EPR7003] - BSA and Azide free (AB240023)
  • WB

Lab

Western blot - Anti-SFRP1 antibody [EPR7003] - BSA and Azide free (AB240023)

ab126613 was shown to react with SFRP1 in wild-type A549 cells in Western blot with loss of signal observed in SFRP1 knockout cell line ab277906. Wild-type A549 and SFRP1 knockout cell lysates were subjected to SDS-PAGE. Membranes were blocked in 5% milk in TBST for 1 hr before incubation with ab126613 overnight at 4 °C at a 1/1000 dilution. Blots were incubated with secondary antibodies at 0.2ug/mL before imaging.

These data were provided by YCharOS Inc., an open science company with the mission of characterizing commercially available antibody reagents for all human proteins. Abcam and YCharOS are working together to help address the reproducibility crisis by enabling the life science community to better evaluate commercially available antibodies.

All lanes:

Western blot - Anti-SFRP1 antibody [EPR7003] (<a href='/en-us/products/primary-antibodies/sfrp1-antibody-epr7003-ab126613'>ab126613</a>) at 1/1000 dilution

Lanes 1 - 2:

Western blot - Human SFRP1 knockout A549 cell line (<a href='/en-us/products/cell-lines/human-sfrp1-knockout-a549-cell-line-ab277906'>ab277906</a>)

Lane 1:

Wild-type A549 lysate at 20 µg

Lane 2:

SFRP1 Knockout A549 lysate at 20 µg

Observed band size: 35 kDa

false

OI-RD Scanning - Anti-SFRP1 antibody [EPR7003] - BSA and Azide free (AB240023)
  • OI-RD Scanning

Unknown

OI-RD Scanning - Anti-SFRP1 antibody [EPR7003] - BSA and Azide free (AB240023)

We have systematically measured KD (the equilibrium dissociation constant between the antibody and its antigen), of more than 840 recombinant antibodies to assess not only their individual KD values but also to see the average affinity of antibody. Based on the comparison with published literature values for mouse monoclonal antibodies, Recombinant antibodies appear to be on average 1-2 order of magnitude higher affinity.

Key facts

Host species

Rabbit

Clonality

Monoclonal

Clone number

EPR7003

Isotype

IgG

Carrier free

Yes

Reacts with

Human

Applications

IHC-P, WB

applications

Immunogen

The exact immunogen used to generate this antibody is proprietary information.

Reactivity data

{ "title": "Reactivity Data", "filters": { "stats": ["", "Species", "Dilution Info", "Notes"], "tabs": { "all-applications": {"fullname" : "All Applications", "shortname": "All Applications"}, "IHCP" : {"fullname" : "Immunohistochemistry (Formalin/PFA-fixed paraffin-embedded sections)", "shortname":"IHC-P"}, "FlowCyt" : {"fullname" : "Flow Cytometry", "shortname":"Flow Cyt"}, "WB" : {"fullname" : "Western blot", "shortname":"WB"} }, "product-promise": { "all": "all", "testedAndGuaranteed": "tested", "guaranteed": "expected", "predicted": "predicted", "notRecommended": "not-recommended" } }, "values": { "Human": { "IHCP-species-checked": "testedAndGuaranteed", "IHCP-species-dilution-info": "", "IHCP-species-notes": "<p></p>", "FlowCyt-species-checked": "notRecommended", "FlowCyt-species-dilution-info": "", "FlowCyt-species-notes": "<p></p>", "WB-species-checked": "testedAndGuaranteed", "WB-species-dilution-info": "", "WB-species-notes": "<p></p>" } } }

Product details

ab240023 is the carrier-free version of ab126613.

Species reactivity
Mouse, Rat: We have preliminary internal testing data to indicate this antibody may not react with these species.
Please contact us for more information.

Patented technology
Our RabMAb® technology is a patented hybridoma-based technology for making rabbit monoclonal antibodies. For details on our patents, please refer to RabMAb® patents.

What are the advantages of a recombinant monoclonal antibody?
This product is a recombinant monoclonal antibody, which offers several advantages including:

  • - High batch-to-batch consistency and reproducibility
  • - Improved sensitivity and specificity
  • - Long-term security of supply
  • - Animal-free batch production

For more information, read more on recombinant antibodies.

Conjugation ready
Our carrier-free antibodies are typically supplied in a PBS-only formulation, purified and free of BSA, sodium azide and glycerol. This conjugation-ready format is designed for use with fluorochromes, metal isotopes, oligonucleotides, and enzymes, which makes them ideal for antibody labelling, functional and cell-based assays, flow-based assays (e.g. mass cytometry) and Multiplex Imaging applications.

Use our conjugation kits for antibody conjugates that are ready-to-use in as little as 20 minutes with 1 minute hands-on-time and 100% antibody recovery: available for fluorescent dyes, HRP, biotin and gold.

Compatibility
This product is compatible with the Maxpar® Antibody Labeling Kit from Fluidigm, without the need for antibody preparation. Maxpar® is a trademark of Fluidigm Canada Inc.

Properties and storage information

Form
Liquid
Purification technique
Affinity purification Protein A
Storage buffer
pH: 7.2 - 7.4 Constituents: PBS
Shipped at conditions
Blue Ice
Appropriate short-term storage conditions
+4°C
Appropriate long-term storage conditions
+4°C
Storage information
Do Not Freeze

Supplementary information

This supplementary information is collated from multiple sources and compiled automatically.

SFRP1 also known as Secreted Frizzled-Related Protein 1 is a protein that functions mechanically by modulating Wnt signaling pathways. This protein weighs approximately 35 kiloDaltons. SFRP1 acts as a modulator by binding to Wnt ligands preventing them from interacting with their cell surface receptors. It is expressed in various tissues including the kidney retina lung and heart.
Biological function summary

The secreted glycoprotein SFRP1 plays a role in cellular processes such as cell growth differentiation and apoptosis. As a member of the soluble frizzled-related proteins it acts to inhibit Wnt signaling pathways which are critical in maintaining cellular homeostasis. SFRP1 commonly interacts in the extracellular environment where it forms part of a regulatory complex that includes other extracellular matrix components to achieve its function.

Pathways

The role SFRP1 plays is important in the Wnt signaling pathway and the regulation of β-catenin activity. These pathways are involved in embryonic development and tissue regeneration. SFRP1 directly interacts with other proteins like frizzled receptors and Wnt ligands to maintain balance in signaling. This modulation further influences gene expression patterns and cellular behavior.

An imbalance or alteration in SFRP1 activity is associated with cancer and osteoporosis. Its underexpression or lack of function can lead to abnormal cellular proliferation which is linked to tumorogenesis. In cancer SFRP1's interaction with the Wnt signaling pathway and its related proteins such as β-catenin highlights its role in maintaining normal cell function. Abnormal regulation also impacts bone density where SFRP1's regulatory function on Wnt S signaling may affect bone formation and lead to osteoporosis.

Product protocols

For this product, it's our understanding that no specific protocols are required. You can visit:

Target data

Soluble frizzled-related proteins (sFRPS) function as modulators of Wnt signaling through direct interaction with Wnts. They have a role in regulating cell growth and differentiation in specific cell types. SFRP1 decreases intracellular beta-catenin levels (By similarity). Has antiproliferative effects on vascular cells, in vitro and in vivo, and can induce, in vivo, an angiogenic response. In vascular cell cycle, delays the G1 phase and entry into the S phase (By similarity). In kidney development, inhibits tubule formation and bud growth in metanephroi (By similarity). Inhibits WNT1/WNT4-mediated TCF-dependent transcription.
See full target information SFRP1

Publications (1)

Recent publications for all applications. Explore the full list and refine your search

Brain sciences 12: PubMed35625066

2022

Distribution of Adiponectin Receptors in the Brain of Adult Mouse: Effect of a Single Dose of the Adiponectin Receptor Agonist, AdipoRON, on Ischemic Stroke.

Applications

Unspecified application

Species

Unspecified reactive species

Julien Clain,David Couret,Cynthia Planesse,Pascale Krejbich-Trotot,Olivier Meilhac,Christian Lefebvre d'Hellencourt,Wildriss Viranaicken,Nicolas Diotel
View all publications

Product promise

We are committed to supporting your work with high-quality reagents, and we're here for you every step of the way. In the unlikely event that one of our products does not perform as expected, you're protected by our Product Promise.
For full details, please see our Terms & Conditions

Please note: All products are 'FOR RESEARCH USE ONLY. NOT FOR USE IN DIAGNOSTIC OR THERAPEUTIC PROCEDURES'.

For licensing inquiries, please contact partnerships@abcam.com