JavaScript is disabled in your browser. Please enable JavaScript to view this website.
AB235606

Anti-SFRS4/SRSF4 antibody

Be the first to review this product! Submit a review

|

(1 Publication)

Rabbit Polyclonal SFRS4/SRSF4 antibody. Suitable for WB, IHC-P and reacts with Human samples. Cited in 1 publication. Immunogen corresponding to Recombinant Fragment Protein within Human SRSF4 aa 1-200.

View Alternative Names

SFRS4, SRP75, SRSF4, Serine/arginine-rich splicing factor 4, Pre-mRNA-splicing factor SRP75, SRP001LB

3 Images
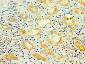
Immunohistochemistry (Formalin/PFA-fixed paraffin-embedded sections) - Anti-SFRS4/SRSF4 antibody (AB235606)
  • IHC-P

Supplier Data

Immunohistochemistry (Formalin/PFA-fixed paraffin-embedded sections) - Anti-SFRS4/SRSF4 antibody (AB235606)

Paraffin-embedded human kidney tissue stained for SFRS4/SRSF4 using ab235606 at 1/100 dilution in immunohistochemical analysis.

Immunohistochemistry (Formalin/PFA-fixed paraffin-embedded sections) - Anti-SFRS4/SRSF4 antibody (AB235606)
  • IHC-P

Supplier Data

Immunohistochemistry (Formalin/PFA-fixed paraffin-embedded sections) - Anti-SFRS4/SRSF4 antibody (AB235606)

Paraffin-embedded human tonsil tissue stained for SFRS4/SRSF4 using ab235606 at 1/100 dilution in immunohistochemical analysis.

Western blot - Anti-SFRS4/SRSF4 antibody (AB235606)
  • WB

Supplier Data

Western blot - Anti-SFRS4/SRSF4 antibody (AB235606)

All lanes:

Western blot - Anti-SFRS4/SRSF4 antibody (ab235606) at 1/200 dilution

All lanes:

HeLa (human epithelial cell line from cervix adenocarcinoma) whole cell lysate

Secondary

All lanes:

Goat polyclonal to rabbit IgG at 1/10000 dilution

Predicted band size: 57 kDa

false

Key facts

Host species

Rabbit

Clonality

Polyclonal

Isotype

IgG

Carrier free

No

Reacts with

Human

Applications

WB, IHC-P

applications

Immunogen

Recombinant Fragment Protein within Human SRSF4 aa 1-200. The exact immunogen used to generate this antibody is proprietary information.

Q08170

Reactivity data

{ "title": "Reactivity Data", "filters": { "stats": ["", "Species", "Dilution Info", "Notes"], "tabs": { "all-applications": {"fullname" : "All Applications", "shortname": "All Applications"}, "WB" : {"fullname" : "Western blot", "shortname":"WB"}, "IHCP" : {"fullname" : "Immunohistochemistry (Formalin/PFA-fixed paraffin-embedded sections)", "shortname":"IHC-P"} }, "product-promise": { "all": "all", "testedAndGuaranteed": "tested", "guaranteed": "expected", "predicted": "predicted", "notRecommended": "not-recommended" } }, "values": { "Human": { "WB-species-checked": "testedAndGuaranteed", "WB-species-dilution-info": "1/200 - 1/1000", "WB-species-notes": "<p></p>", "IHCP-species-checked": "testedAndGuaranteed", "IHCP-species-dilution-info": "1/20 - 1/200", "IHCP-species-notes": "<p></p>" }, "Mouse": { "WB-species-checked": "predicted", "WB-species-dilution-info": "", "WB-species-notes": "", "IHCP-species-checked": "predicted", "IHCP-species-dilution-info": "", "IHCP-species-notes": "" } } }

Properties and storage information

Form
Liquid
Purification technique
Affinity purification Immunogen
Storage buffer
pH: 7.3 Preservative: 0.02% Sodium azide Constituents: PBS, 50% Glycerol (glycerin, glycerine)
Shipped at conditions
Blue Ice
Appropriate short-term storage duration
1-2 weeks
Appropriate short-term storage conditions
+4°C
Appropriate long-term storage conditions
-20°C
Aliquoting information
Upon delivery aliquot
Storage information
Avoid freeze / thaw cycle

Supplementary information

This supplementary information is collated from multiple sources and compiled automatically.

SFRS4 also known as SRSF4 or splicing factor SRp75 is a serine/arginine-rich splicing factor that plays a central role in pre-mRNA splicing. It has a molecular mass of approximately 75 kDa. SRSF4 contributes to the accurate assembly of spliceosomes by binding to specific RNA sequences through its RNA recognition motifs. This protein is expressed ubiquitously with higher expression levels observed in tissues like the brain and heart indicating its importance for proper cellular functions in these areas.
Biological function summary

Splicing is an important process in the regulation of gene expression and SRSF4 actively participates in this essential function by guiding the splicing machinery to the appropriate splice sites. SRSF4 is part of the highly conserved SR protein family which functions collectively as a complex to regulate alternative splicing events. Alternative splicing allows for the generation of multiple protein isoforms from a single gene significantly expanding the proteomic diversity.

Pathways

Alternative splicing regulated by SRSF4 integrates into the larger RNA processing and post-transcriptional modification network. SRSF4 is involved in the mRNA splicing pathway and interacts with various other splicing factors such as SRSF1 and U2AF. These interactions allow precise execution of splicing and efficient production of mature messenger RNA preparatory for translation processes downstream.

Mutations or dysregulation of SRSF4 have connections with several conditions including cancer and neurodegenerative diseases. Abnormal splicing patterns regulated by SRSF4 can lead to the production of oncogenic isoforms in various cancers. In neurodegenerative diseases its altered function might disturb neuronal alternative splicing patterns impacting protein diversity vital for neuronal functions. SRSF4 interacts with proteins like SRSF2 and hnRNPs in these pathological contexts influencing the disease progression through defective splicing mechanisms.

Product protocols

For this product, it's our understanding that no specific protocols are required. You can visit:

Target data

Plays a role in alternative splice site selection during pre-mRNA splicing. Represses the splicing of MAPT/Tau exon 10.
See full target information SRSF4

Publications (1)

Recent publications for all applications. Explore the full list and refine your search

EMBO reports 24:e54042 PubMed36341521

2022

ZBTB2 links p53 deficiency to HIF-1-mediated hypoxia signaling to promote cancer aggressiveness.

Applications

Unspecified application

Species

Unspecified reactive species

Sho Koyasu,Shoichiro Horita,Keisuke Saito,Minoru Kobayashi,Hiroshi Ishikita,Christalle Ct Chow,Gouki Kambe,Shigeto Nishikawa,Toshi Menju,Akiyo Morinibu,Yasushi Okochi,Yoshiaki Tabuchi,Yasuhito Onodera,Norihiko Takeda,Hiroshi Date,Gregg L Semenza,Ester M Hammond,Hiroshi Harada
View all publications

Product promise

We are committed to supporting your work with high-quality reagents, and we're here for you every step of the way. In the unlikely event that one of our products does not perform as expected, you're protected by our Product Promise.
For full details, please see our Terms & Conditions

Please note: All products are 'FOR RESEARCH USE ONLY. NOT FOR USE IN DIAGNOSTIC OR THERAPEUTIC PROCEDURES'.

For licensing inquiries, please contact partnerships@abcam.com