JavaScript is disabled in your browser. Please enable JavaScript to view this website.
AB72044

Anti-SFRS8 antibody

Be the first to review this product! Submit a review

|

(2 Publications)

Rabbit Polyclonal SFRS8 antibody. Suitable for IP, WB, IHC-P and reacts with Human samples. Cited in 2 publications. Immunogen corresponding to Synthetic Peptide within Human SFSWAP.

View Alternative Names

SFRS8, SWAP, SFSWAP, Suppressor of white apricot protein homolog

3 Images
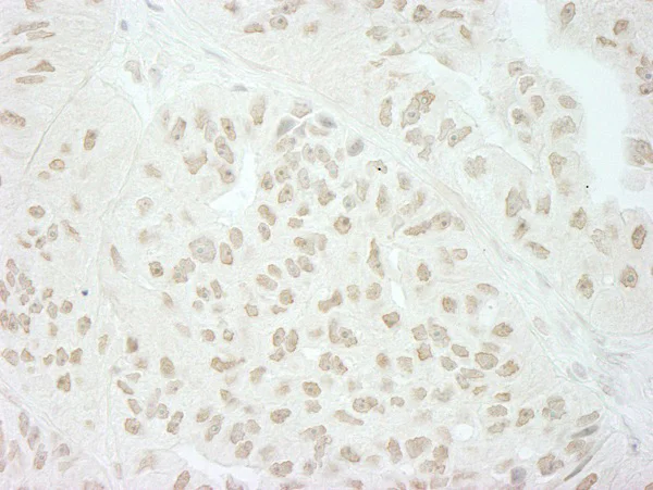
Immunohistochemistry (Formalin/PFA-fixed paraffin-embedded sections) - Anti-SFRS8 antibody (AB72044)
  • IHC-P

Unknown

Immunohistochemistry (Formalin/PFA-fixed paraffin-embedded sections) - Anti-SFRS8 antibody (AB72044)

Immunohistochemistry (Formalin/PFA-fixed paraffin-embedded sections) analysis of human breast carcinoma tissue labelling SFRS8 with ab72044 at 1/200 (1µg/ml). Detection : DAB.

Immunoprecipitation - Anti-SFRS8 antibody (AB72044)
  • IP

Unknown

Immunoprecipitation - Anti-SFRS8 antibody (AB72044)

Detection of SFRS8 by Western Blot of Immunprecipitate.
ab72044 at 1µg/ml staining SFRS8 in HeLa whole cell lysate immunoprecipitated using ab72044 at 3µg/mg lysate (1 mg/IP; 20% of IP loaded/lane).
Detection : Chemiluminescence with exposure time of 30 seconds.

All lanes:

Immunoprecipitation - Anti-SFRS8 antibody (ab72044)

Predicted band size: 105 kDa

false

Western blot - Anti-SFRS8 antibody (AB72044)
  • WB

Unknown

Western blot - Anti-SFRS8 antibody (AB72044)

All lanes:

Western blot - Anti-SFRS8 antibody (ab72044) at 0.04 µg/mL

Lane 1:

HeLa whole cell lysate at 50 µg

Lane 2:

HeLa whole cell lysate at 15 µg

Lane 3:

HeLa whole cell lysate at 5 µg

Predicted band size: 105 kDa

Observed band size: 150 kDa

false

Exposure time: 3min

Key facts

Host species

Rabbit

Clonality

Polyclonal

Isotype

IgG

Carrier free

No

Reacts with

Human

Applications

IHC-P, WB, IP

applications

Immunogen

Synthetic Peptide within Human SFSWAP. The exact immunogen used to generate this antibody is proprietary information.

Q12872

Reactivity data

{ "title": "Reactivity Data", "filters": { "stats": ["", "Species", "Dilution Info", "Notes"], "tabs": { "all-applications": {"fullname" : "All Applications", "shortname": "All Applications"}, "IP" : {"fullname" : "Immunoprecipitation", "shortname":"IP"}, "WB" : {"fullname" : "Western blot", "shortname":"WB"}, "IHCP" : {"fullname" : "Immunohistochemistry (Formalin/PFA-fixed paraffin-embedded sections)", "shortname":"IHC-P"} }, "product-promise": { "all": "all", "testedAndGuaranteed": "tested", "guaranteed": "expected", "predicted": "predicted", "notRecommended": "not-recommended" } }, "values": { "Human": { "IP-species-checked": "testedAndGuaranteed", "IP-species-dilution-info": "2-5 µg", "IP-species-notes": "<p></p>", "WB-species-checked": "testedAndGuaranteed", "WB-species-dilution-info": "1/2000 - 1/10000", "WB-species-notes": "<p></p>", "IHCP-species-checked": "testedAndGuaranteed", "IHCP-species-dilution-info": "1/200 - 1/1000", "IHCP-species-notes": "<p></p>" }, "Gorilla": { "IP-species-checked": "predicted", "IP-species-dilution-info": "", "IP-species-notes": "", "WB-species-checked": "predicted", "WB-species-dilution-info": "", "WB-species-notes": "", "IHCP-species-checked": "predicted", "IHCP-species-dilution-info": "", "IHCP-species-notes": "" }, "Orangutan": { "IP-species-checked": "predicted", "IP-species-dilution-info": "", "IP-species-notes": "", "WB-species-checked": "predicted", "WB-species-dilution-info": "", "WB-species-notes": "", "IHCP-species-checked": "predicted", "IHCP-species-dilution-info": "", "IHCP-species-notes": "" }, "Rhesus monkey": { "IP-species-checked": "predicted", "IP-species-dilution-info": "", "IP-species-notes": "", "WB-species-checked": "predicted", "WB-species-dilution-info": "", "WB-species-notes": "", "IHCP-species-checked": "predicted", "IHCP-species-dilution-info": "", "IHCP-species-notes": "" } } }

Properties and storage information

Form
Liquid
Purification technique
Affinity purification Immunogen
Purification notes
ab72044 was affinity purified using an epitope specific to SFRS8 immobilized on solid support.
Storage buffer
pH: 6.8 - 7.4 Preservative: 0.09% Sodium azide Constituents: Tris buffered saline, 0.1% BSA
Shipped at conditions
Blue Ice
Appropriate short-term storage conditions
+4°C
Appropriate long-term storage conditions
+4°C
Aliquoting information
Upon delivery aliquot
Storage information
Avoid freeze / thaw cycle

Supplementary information

This supplementary information is collated from multiple sources and compiled automatically.

SFRS8 also known as SR protein splicing factor 8 or SFRS8 is a serine/arginine-rich splicing factor involved in the regulation of alternative splicing in pre-mRNA. The protein is approximately 81 kDa and is expressed in various tissues including the brain heart and skeletal muscle. SFRS8 functions as a splicing regulator modulating the assembly of spliceosomes through its interaction with other splicing factors and components of the messenger ribonucleoprotein complexes.
Biological function summary

SFRS8 plays key roles in the regulation of alternative splicing influencing the diversity of protein isoforms that cells can produce. It is often part of larger spliceosome complexes functioning with other serine/arginine-rich proteins to ensure accurate and efficient splicing of introns from pre-mRNAs. This regulatory capability is important for maintaining gene expression and cellular functions particularly in tissues with preferential expression like the nervous and muscular systems.

Pathways

SFRS8 integrates within the spliceosomal and mRNA processing pathways. It coordinates actions with other serine/arginine-rich splicing factors like SRSF1 and SRSF9 which participate in the splicing enhancer complexes. These pathways are essential in post-transcriptional regulation where SFRS8 helps ensure proper exon inclusion or skipping. This regulation is especially significant in pathways leading to protein diversification and cellular differentiation processes.

SFRS8 impacts several disorders including cancer and spinal muscular atrophy. Aberrations in SFRS8 expression or function can lead to defective splicing and subsequent production of abnormal protein isoforms. In cancer altered SFRS8 activity can affect cell proliferation and survival through interactions with other factors like hnRNP proteins. Similarly in spinal muscular atrophy improper splicing can disrupt the function of SMN proteins closely tied to motor neuron degeneration.

Product protocols

For this product, it's our understanding that no specific protocols are required. You can visit:

Target data

Plays a role as an alternative splicing regulator. Regulate its own expression at the level of RNA processing. Also regulates the splicing of fibronectin and CD45 genes. May act, at least in part, by interaction with other R/S-containing splicing factors. Represses the splicing of MAPT/Tau exon 10.
See full target information SFSWAP

Publications (2)

Recent publications for all applications. Explore the full list and refine your search

Clinical and translational medicine 12:e684 PubMed35184390

2022

Splicing factor arginine/serine-rich 8 promotes multiple myeloma malignancy and bone lesion through alternative splicing of CACYBP and exosome-based cellular communication.

Applications

Unspecified application

Species

Unspecified reactive species

Yuanjiao Zhang,Xichao Yu,Rongze Sun,Jie Min,Xiaozhu Tang,Zigen Lin,Siyuan Xie,Xinying Li,Shengfeng Lu,Zhidan Tian,Chunyan Gu,Lesheng Teng,Ye Yang

Aging 12:23808-23821 PubMed33176278

2020

Effect of Klotho protein during porcine oocyte maturation via Wnt signaling.

Applications

Unspecified application

Species

Unspecified reactive species

Eui Hyun Kim,Anukul Taweechaipaisankul,Muhammad Rosyid Ridlo,Geon A Kim,Byeong Chun Lee
View all publications

Product promise

We are committed to supporting your work with high-quality reagents, and we're here for you every step of the way. In the unlikely event that one of our products does not perform as expected, you're protected by our Product Promise.
For full details, please see our Terms & Conditions

Please note: All products are 'FOR RESEARCH USE ONLY. NOT FOR USE IN DIAGNOSTIC OR THERAPEUTIC PROCEDURES'.

For licensing inquiries, please contact partnerships@abcam.com