JavaScript is disabled in your browser. Please enable JavaScript to view this website.
AB320649

Anti-SFTPA1 + SFTPA2 antibody [EPR29098-6] - BSA and Azide free

  • BOND RX™ Validated
  • Advanced Validation
  • Recombinant
  • RabMAb
  • What is this?

Be the first to review this product! Submit a review

|

(0 Publication)

Rabbit Recombinant Monoclonal Pulmonary surfactant-associated protein A1 antibody. Carrier free. Suitable for WB, IHC-P, mIHC and reacts with Transfected cell lysate - Human, Human samples.

View Alternative Names

COLEC4, PSAP, SFTP1, SFTPA, SFTPA1B, SFTPA1, Pulmonary surfactant-associated protein A1, PSP-A, PSPA, SP-A, SP-A1, 35 kDa pulmonary surfactant-associated protein, Alveolar proteinosis protein, Collectin-4, COLEC5, PSAP, SFTP1, SFTPA, SFTPA2B, SFTPA2, Pulmonary surfactant-associated protein A2, PSP-A, PSPA, SP-A, SP-A2, 35 kDa pulmonary surfactant-associated protein, Alveolar proteinosis protein, Collectin-5

7 Images
Multiplex immunohistochemistry - Anti-SFTPA1 + SFTPA2 antibody [EPR29098-6] - BSA and Azide free (AB320649)
  • mIHC

Lab

Multiplex immunohistochemistry - Anti-SFTPA1 + SFTPA2 antibody [EPR29098-6] - BSA and Azide free (AB320649)

This data was developed using ab320648, the same antibody clone in a different buffer formulation.

Multiplex immunohistochemistry analysis of formalin/PFA-fixed paraffin-embedded human lung tissue staining SFTPA1 + SFTPA2 with ab320648 at a 1/1000 dilution, ab213363 anti-CD68 used at 1/500 dilution and ab307666 anti-Uteroglobin used at a 1/2000 dilution.

Panel A : merged staining of anti-SFTPA1+SFTPA2 (magenta; Opal690), anti-CD68 (green; Opal520) and anti-Uteroglobin (gray; Opal570) on human lung.
Panel B : anti-SFTPA1+SFTPA2 staining alveolar type II cells in human lung.
Panel C : ant-CD68 staining macrophages in human lung.
Panel D : ant-Uteroglobin staining club cells in human lung.
Nuclear DNA was labeled with DAPI (shown in blue).

The section was incubated in three rounds of staining : in the order of ab320648, ab211363 and ab307666 for 30 mins at room temperature. Each round was followed by a separate fluorescent tyramide signal amplification system.

The immunostaining was performed on a Leica Biosystems BOND® RX instrument with an Opal 4-color kit. Image acquisition was performed with Leica SP8 confocal microscope.

Heat mediated antigen retrieval with Tris-EDTA buffer (pH 9.0, epitope retrieval solution2) for 20 mins..

Immunohistochemistry (Formalin/PFA-fixed paraffin-embedded sections) - Anti-SFTPA1 + SFTPA2 antibody [EPR29098-6] - BSA and Azide free (AB320649)
  • IHC-P

Supplier Data

Immunohistochemistry (Formalin/PFA-fixed paraffin-embedded sections) - Anti-SFTPA1 + SFTPA2 antibody [EPR29098-6] - BSA and Azide free (AB320649)

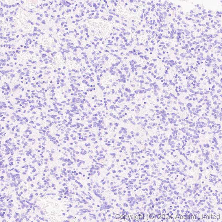
This data was developed using ab320648, the same antibody clone in a different buffer formulation. Immunohistochemical analysis of paraffin-embedded Human spleen tissue labeling SFTPA1 + SFTPA2 with ab320648 at 1/1000 (0.511 ug/ml) dilution, followed by a ready to use LeicaDS9800 (Bond™ Polymer Refine Detection). Negative control : No staining in human spleen. The section was incubated with ab320648 for 30 mins at room temperature. The immunostaining was performed on a Leica Biosystems BOND® RX instrument Counterstained with Hematoxylin. Secondary antibody only control : Secondary antibody is a ready to use LeicaDS9800 (Bond™ Polymer Refine Detection). Heat mediated antigen retrieval was performed with Tris-EDTA buffer (pH 9.0, Epitope Retrieval Solution2) for 20 mins

Immunohistochemistry (Formalin/PFA-fixed paraffin-embedded sections) - Anti-SFTPA1 + SFTPA2 antibody [EPR29098-6] - BSA and Azide free (AB320649)
  • IHC-P

Supplier Data

Immunohistochemistry (Formalin/PFA-fixed paraffin-embedded sections) - Anti-SFTPA1 + SFTPA2 antibody [EPR29098-6] - BSA and Azide free (AB320649)

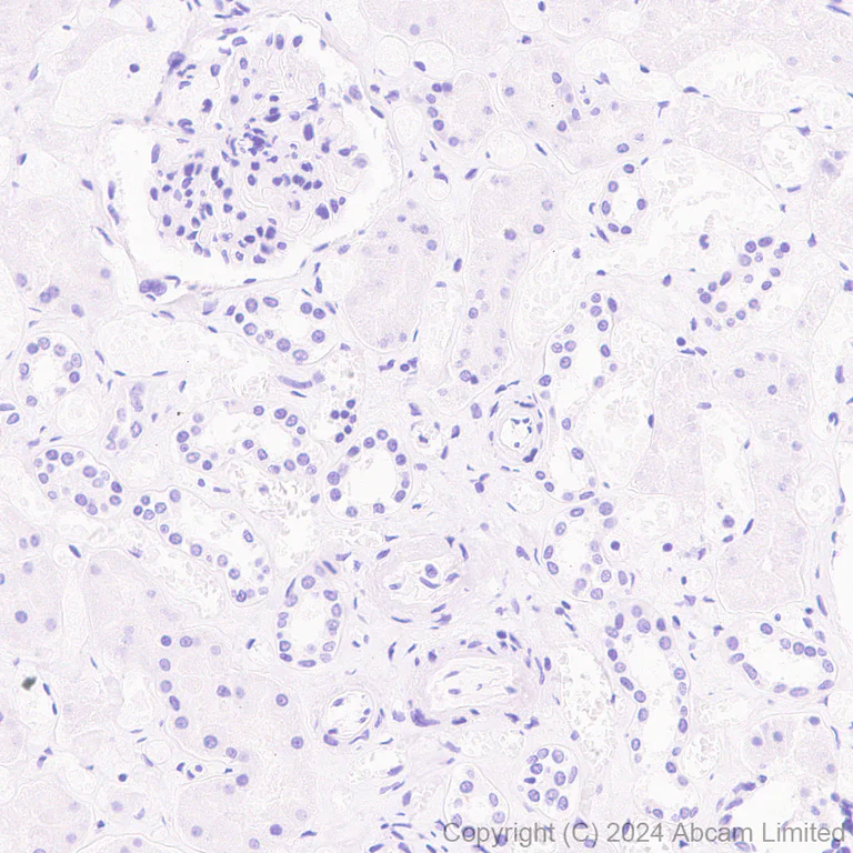
This data was developed using ab320648, the same antibody clone in a different buffer formulation. Immunohistochemical analysis of paraffin-embedded Human kidney tissue labeling SFTPA1 + SFTPA2 with ab320648 at 1/1000 (0.511 ug/ml) dilution, followed by a ready to use LeicaDS9800 (Bond™ Polymer Refine Detection). Negative control : No staining in human kidney. The section was incubated with ab320648 for 30 mins at room temperature. The immunostaining was performed on a Leica Biosystems BOND® RX instrument Counterstained with Hematoxylin. Secondary antibody only control : Secondary antibody is a ready to use LeicaDS9800 (Bond™ Polymer Refine Detection). Heat mediated antigen retrieval was performed with Tris-EDTA buffer (pH 9.0, Epitope Retrieval Solution2) for 20 mins

Immunohistochemistry (Formalin/PFA-fixed paraffin-embedded sections) - Anti-SFTPA1 + SFTPA2 antibody [EPR29098-6] - BSA and Azide free (AB320649)
  • IHC-P

Supplier Data

Immunohistochemistry (Formalin/PFA-fixed paraffin-embedded sections) - Anti-SFTPA1 + SFTPA2 antibody [EPR29098-6] - BSA and Azide free (AB320649)

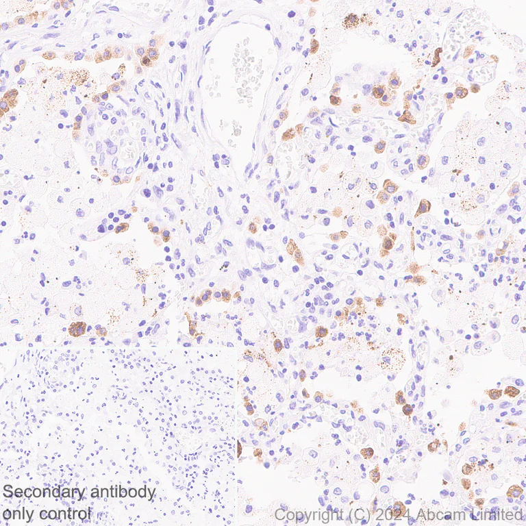
This data was developed using ab320648, the same antibody clone in a different buffer formulation. Immunohistochemical analysis of paraffin-embedded Human lung squamous cell carcinoma tissue labeling SFTPA1 + SFTPA2 with ab320648 at 1/1000 (0.511 ug/ml) dilution, followed by a ready to use LeicaDS9800 (Bond™ Polymer Refine Detection). Positive staining in human lung squamous cell carcinoma. The section was incubated with ab320648 for 30 mins at room temperature. The immunostaining was performed on a Leica Biosystems BOND® RX instrument Counterstained with Hematoxylin. Secondary antibody only control : Secondary antibody is a ready to use LeicaDS9800 (Bond™ Polymer Refine Detection). Heat mediated antigen retrieval was performed with Tris-EDTA buffer (pH 9.0, Epitope Retrieval Solution2) for 20 mins

Immunohistochemistry (Formalin/PFA-fixed paraffin-embedded sections) - Anti-SFTPA1 + SFTPA2 antibody [EPR29098-6] - BSA and Azide free (AB320649)
  • IHC-P

Supplier Data

Immunohistochemistry (Formalin/PFA-fixed paraffin-embedded sections) - Anti-SFTPA1 + SFTPA2 antibody [EPR29098-6] - BSA and Azide free (AB320649)

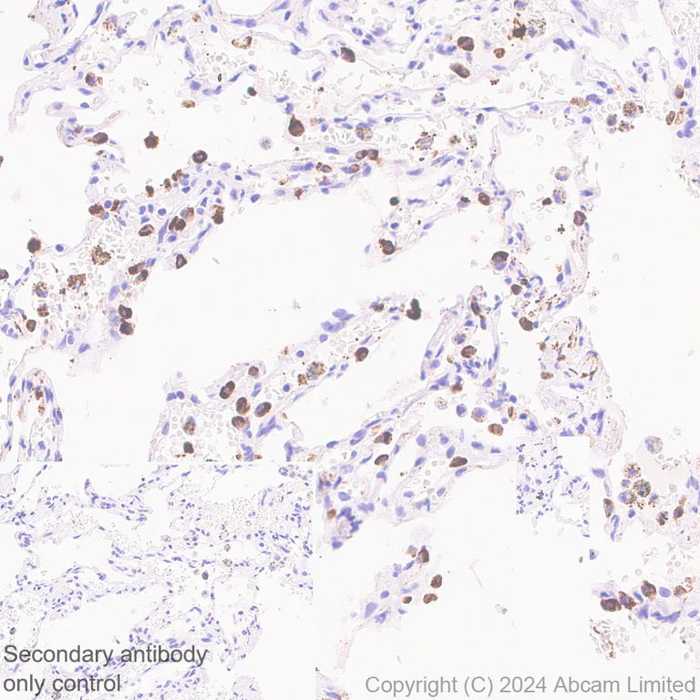
This data was developed using ab320648, the same antibody clone in a different buffer formulation. Immunohistochemical analysis of paraffin-embedded Human lung tissue labeling SFTPA1 + SFTPA2 with ab320648 at 1/1000 (0.511 ug/ml) dilution, followed by a ready to use LeicaDS9800 (Bond™ Polymer Refine Detection). Positive staining in Type II pneumonocyte of human lung (PMID : 32049827). The section was incubated with ab320648 for 30 mins at room temperature. The immunostaining was performed on a Leica Biosystems BOND® RX instrument Counterstained with Hematoxylin. Secondary antibody only control : Secondary antibody is a ready to use LeicaDS9800 (Bond™ Polymer Refine Detection). Heat mediated antigen retrieval was performed with Tris-EDTA buffer (pH 9.0, Epitope Retrieval Solution2) for 20 mins

Western blot - Anti-SFTPA1 + SFTPA2 antibody [EPR29098-6] - BSA and Azide free (AB320649)
  • WB

Supplier Data

Western blot - Anti-SFTPA1 + SFTPA2 antibody [EPR29098-6] - BSA and Azide free (AB320649)

This data was developed using ab320648, the same antibody clone in a different buffer formulation. Blocking and diluting buffer and concentration : 5% NFDM/TBST. This antibody cross-reacts with overexpressed human SFTPA1 and SFTPA2. In Western blot, Anti-GAPDH antibody [EPR16891] - Loading Control (ab181602) staining at 1/200000 dilution. In Western blot, Anti-6X His tag® antibody [EPR20547] - ChIP Grade (ab213204) staining at 1/5000 dilution.

All lanes:

Western blot - Anti-SFTPA1 + SFTPA2 antibody [EPR29098-6] (<a href='/en-us/products/primary-antibodies/sftpa1-sftpa2-antibody-epr29098-6-ab320648'>ab320648</a>) at 1/1000 dilution

Lane 1:

293T (human embryonic kidney epithelial cell) cells transfected with an empty vector containing a myc-His-tag® whole cell lysate at 5 µg

Lane 2:

293T cells transfected with a human SFTPA1 expression vector containing a myc-His-tag® whole cell lysate at 5 µg

Lane 3:

293T cells transfected with a human SFTPA2 expression vector containing a myc-His-tag® whole cell lysate at 5 µg

Secondary

All lanes:

Western blot - Goat Anti-Rabbit IgG H&L (HRP) (<a href='/en-us/products/secondary-antibodies/goat-rabbit-igg-h-l-hrp-ab97051'>ab97051</a>) at 1/20000 dilution

Observed band size: 35 kDa,36 kDa

false

Exposure time: 59s

Western blot - Anti-SFTPA1 + SFTPA2 antibody [EPR29098-6] - BSA and Azide free (AB320649)
  • WB

Supplier Data

Western blot - Anti-SFTPA1 + SFTPA2 antibody [EPR29098-6] - BSA and Azide free (AB320649)

This data was developed using ab320648, the same antibody clone in a different buffer formulation. Blocking and diluting buffer and concentration : 5% NFDM/TBST. Low expression : cerebellum, spleen, liver (PMID : 34181042). In Western blot, Anti-GAPDH antibody [EPR16891] - Loading Control  (ab181602) staining at 1/200000 dilution.

All lanes:

Western blot - Anti-SFTPA1 + SFTPA2 antibody [EPR29098-6] (<a href='/en-us/products/primary-antibodies/sftpa1-sftpa2-antibody-epr29098-6-ab320648'>ab320648</a>) at 1/1000 dilution

Lane 1:

Human lung tissue lysate at 20 µg

Lane 2:

Human cerebellum tissue lysate at 20 µg

Lane 3:

Human spleen tissue lysate at 20 µg

Lane 4:

Human liver tissue lysate at 20 µg

Secondary

All lanes:

Goat Anti-Rabbit IgG (HRP) with minimal cross-reactivity with human IgG at 1/2000 dilution

Observed band size: 28 kDa,36 kDa

false

Exposure time: 180s

Key facts

Host species

Rabbit

Clonality

Monoclonal

Clone number

EPR29098-6

Isotype

IgG

Carrier free

Yes

Reacts with

Human

Applications

WB, IHC-P, mIHC

applications

Immunogen

The exact immunogen used to generate this antibody is proprietary information.

Specificity

The immunogen shares no sequence similarity with SFTPB, SFTPC or SFTPD. Based on the immunogen sequence, we do not expect this antibody to cross-react with SFTPB, SFTPC or SFTPD.

Reactivity data

{ "title": "Reactivity Data", "filters": { "stats": ["", "Species", "Dilution Info", "Notes"], "tabs": { "all-applications": {"fullname" : "All Applications", "shortname": "All Applications"}, "WB" : {"fullname" : "Western blot", "shortname":"WB"}, "IHCP" : {"fullname" : "Immunohistochemistry (Formalin/PFA-fixed paraffin-embedded sections)", "shortname":"IHC-P"}, "mIHC" : {"fullname" : "Multiplex immunohistochemistry", "shortname":"mIHC"} }, "product-promise": { "all": "all", "testedAndGuaranteed": "tested", "guaranteed": "expected", "predicted": "predicted", "notRecommended": "not-recommended" } }, "values": { "Human": { "WB-species-checked": "testedAndGuaranteed", "WB-species-dilution-info": "", "WB-species-notes": "<p></p>", "IHCP-species-checked": "testedAndGuaranteed", "IHCP-species-dilution-info": "", "IHCP-species-notes": "<p></p>", "mIHC-species-checked": "testedAndGuaranteed", "mIHC-species-dilution-info": "", "mIHC-species-notes": "<p></p>" }, "Transfected cell lysate - Human": { "WB-species-checked": "testedAndGuaranteed", "WB-species-dilution-info": "", "WB-species-notes": "<p></p>", "IHCP-species-checked": "notRecommended", "IHCP-species-dilution-info": "", "IHCP-species-notes": "", "mIHC-species-checked": "notRecommended", "mIHC-species-dilution-info": "", "mIHC-species-notes": "" } } }

Product details

ab320649 is the carrier-free version of ab320648.

Patented technology
Our RabMAb® technology is a patented hybridoma-based technology for making rabbit monoclonal antibodies. For details on our patents, please refer to RabMAb® patents.

What are the advantages of a recombinant monoclonal antibody?
This product is a recombinant monoclonal antibody, which offers several advantages including:

  • - High batch-to-batch consistency and reproducibility
  • - Improved sensitivity and specificity
  • - Long-term security of supply
  • - Animal-free batch production

For more information, read more on recombinant antibodies.

Conjugation ready
Our carrier-free antibodies are typically supplied in a PBS-only formulation, purified and free of BSA, sodium azide and glycerol. This conjugation-ready format is designed for use with fluorochromes, metal isotopes, oligonucleotides, and enzymes, which makes them ideal for antibody labelling, functional and cell-based assays, flow-based assays (e.g. mass cytometry) and Multiplex Imaging applications.

Use our conjugation kits for antibody conjugates that are ready-to-use in as little as 20 minutes with 1 minute hands-on-time and 100% antibody recovery: available for fluorescent dyes, HRP, biotin and gold.

Compatibility
This product is compatible with the Maxpar® Antibody Labeling Kit from Fluidigm, without the need for antibody preparation. Maxpar® is a trademark of Fluidigm Canada Inc.

Properties and storage information

Form
Liquid
Purification technique
Affinity purification Protein A
Storage buffer
pH: 7.2 - 7.4 Constituents: PBS
Shipped at conditions
Blue Ice
Appropriate short-term storage conditions
+4°C
Appropriate long-term storage conditions
+4°C

Supplementary information

This supplementary information is collated from multiple sources and compiled automatically.

SFTPA1 and SFTPA2 also known as surfactant protein A1 and A2 are essential components of the pulmonary surfactant system. SFTPA1 and SFTPA2 are glycoproteins with a molecular mass of approximately 26 kDa. These proteins are mainly expressed in the lung alveolar type II epithelial cells. They play a critical role in reducing surface tension in the alveoli preventing lung collapse during respiration. SFTPA1 and SFTPA2 bind to lipids within the surfactant helping to maintain its structure and function.
Biological function summary

SFTPA1 and SFTPA2 are involved in the immune defense mechanisms of the lungs. Both proteins are part of the collectin family and form higher-order oligomeric structures. As a component of the surfactant protein complex they enhance phagocytosis of pathogens by alveolar macrophages and neutralize pathogens directly. Additionally they modulate inflammatory responses in the lung therefore contributing to the protection of pulmonary tissues.

Pathways

SFTPA1 and SFTPA2 are integral to the innate immune response and lipid metabolism pathways in the lungs. They interact with toll-like receptors (TLRs) and other surfactant proteins like surfactant protein D (SFTPD) to activate signaling pathways that lead to inflammation control. SFTPA1 and SFTPA2 also influence surfactant homeostasis within the lung environment contributing to the maintenance of respiratory function.

SFTPA1 and SFTPA2 relate closely to respiratory distress syndrome (RDS) and pulmonary alveolar proteinosis (PAP). Mutations in SFTPA1 and SFTPA2 genes can impair surfactant function which often results in RDS particularly in premature infants. Moreover alterations in these proteins can also contribute to PAP where abnormal surfactant accumulation occurs. Their interplay with proteins like surfactant protein B (SFTPB) further links them to these pulmonary disorders as these proteins work together to ensure proper surfactant functionality.

Product protocols

For this product, it's our understanding that no specific protocols are required. You can visit:

Target data

In presence of calcium ions, it binds to surfactant phospholipids and contributes to lower the surface tension at the air-liquid interface in the alveoli of the mammalian lung and is essential for normal respiration. Enhances the expression of MYO18A/SP-R210 on alveolar macrophages (By similarity).. (Microbial infection) Recognition of M.tuberculosis by dendritic cells may occur partially via this molecule (PubMed : 17158455, PubMed : 21203928). Can recognize, bind, and opsonize pathogens to enhance their elimination by alveolar macrophages (PubMed : 21123169).. (Microbial infection) Binds M.pneumoniae CARDS toxin, serves as one receptor for this pathogen (PubMed : 15845487, PubMed : 25139904). When SFTPA1 is down-regulated by siRNA, less toxin binds to human cells and less vacuolization (a symptom of M.pneumoniae infection) is seen (PubMed : 25139904).
See full target information SFTPA1

Additional targets

SFTPA2

Product promise

We are committed to supporting your work with high-quality reagents, and we're here for you every step of the way. In the unlikely event that one of our products does not perform as expected, you're protected by our Product Promise.
For full details, please see our Terms & Conditions

Please note: All products are 'FOR RESEARCH USE ONLY. NOT FOR USE IN DIAGNOSTIC OR THERAPEUTIC PROCEDURES'.

For licensing inquiries, please contact partnerships@abcam.com