JavaScript is disabled in your browser. Please enable JavaScript to view this website.
AB231256

Anti-SFXN1/TCC antibody

Be the first to review this product! Submit a review

|

(1 Publication)

Rabbit Polyclonal SFXN1/TCC antibody. Suitable for WB, IHC-P and reacts with Mouse samples. Cited in 1 publication. Immunogen corresponding to Recombinant Fragment Protein within Mouse Sfxn1 aa 1-150.

View Alternative Names

Sideroflexin-1, Sfxn1

3 Images
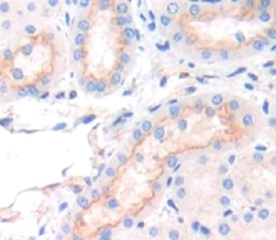
Immunohistochemistry (Formalin/PFA-fixed paraffin-embedded sections) - Anti-SFXN1/TCC antibody (AB231256)
  • IHC-P

Supplier Data

Immunohistochemistry (Formalin/PFA-fixed paraffin-embedded sections) - Anti-SFXN1/TCC antibody (AB231256)

Formalin-fixed, paraffin-embedded mouse kidney tissue stained for SFXN1/TCC with ab231256 at 20 μg/ml in immunohistochemical analysis. DAB staining.

Western blot - Anti-SFXN1/TCC antibody (AB231256)
  • WB

Supplier Data

Western blot - Anti-SFXN1/TCC antibody (AB231256)

All lanes:

Western blot - Anti-SFXN1/TCC antibody (ab231256) at 1 µg

All lanes:

Mouse liver lysate

Secondary

All lanes:

HRP-Linked Guinea pig Anti-Rabbit antibody at 1/1000 dilution

Predicted band size: 36 kDa

false

Western blot - Anti-SFXN1/TCC antibody (AB231256)
  • WB

Supplier Data

Western blot - Anti-SFXN1/TCC antibody (AB231256)

All lanes:

Western blot - Anti-SFXN1/TCC antibody (ab231256) at 2 µg/mL

All lanes:

Recombinant mouse SFXN1/TCC protein

Predicted band size: 254 kDa,36 kDa

false

Key facts

Host species

Rabbit

Clonality

Polyclonal

Isotype

IgG

Carrier free

No

Reacts with

Mouse

Applications

IHC-P, WB

applications

Immunogen

Recombinant Fragment Protein within Mouse Sfxn1 aa 1-150. The exact immunogen used to generate this antibody is proprietary information.

Q99JR1

Reactivity data

{ "title": "Reactivity Data", "filters": { "stats": ["", "Species", "Dilution Info", "Notes"], "tabs": { "all-applications": {"fullname" : "All Applications", "shortname": "All Applications"}, "WB" : {"fullname" : "Western blot", "shortname":"WB"}, "IHCP" : {"fullname" : "Immunohistochemistry (Formalin/PFA-fixed paraffin-embedded sections)", "shortname":"IHC-P"} }, "product-promise": { "all": "all", "testedAndGuaranteed": "tested", "guaranteed": "expected", "predicted": "predicted", "notRecommended": "not-recommended" } }, "values": { "Human": { "WB-species-checked": "predicted", "WB-species-dilution-info": "", "WB-species-notes": "", "IHCP-species-checked": "predicted", "IHCP-species-dilution-info": "", "IHCP-species-notes": "" }, "Mouse": { "WB-species-checked": "testedAndGuaranteed", "WB-species-dilution-info": "0.2-2 µg/mL", "WB-species-notes": "<p></p>", "IHCP-species-checked": "testedAndGuaranteed", "IHCP-species-dilution-info": "5-20 µg/mL", "IHCP-species-notes": "<p></p>" }, "Rat": { "WB-species-checked": "predicted", "WB-species-dilution-info": "", "WB-species-notes": "", "IHCP-species-checked": "predicted", "IHCP-species-dilution-info": "", "IHCP-species-notes": "" }, "Cow": { "WB-species-checked": "predicted", "WB-species-dilution-info": "", "WB-species-notes": "", "IHCP-species-checked": "predicted", "IHCP-species-dilution-info": "", "IHCP-species-notes": "" }, "Pig": { "WB-species-checked": "predicted", "WB-species-dilution-info": "", "WB-species-notes": "", "IHCP-species-checked": "predicted", "IHCP-species-dilution-info": "", "IHCP-species-notes": "" }, "Sheep": { "WB-species-checked": "predicted", "WB-species-dilution-info": "", "WB-species-notes": "", "IHCP-species-checked": "predicted", "IHCP-species-dilution-info": "", "IHCP-species-notes": "" } } }

Properties and storage information

Form
Liquid
Purification technique
Affinity purification Immunogen
Purification notes
ab231256 was purified by antigen-specific affinity chromatography followed by Protein A affinity chromatography.
Storage buffer
pH: 7.4 Preservative: 0.02% Sodium azide Constituents: PBS, 55.77% Glycerol (glycerin, glycerine)
Shipped at conditions
Blue Ice
Appropriate short-term storage duration
1-2 weeks
Appropriate short-term storage conditions
+4°C
Appropriate long-term storage conditions
-20°C
Aliquoting information
Upon delivery aliquot
Storage information
Avoid freeze / thaw cycle

Supplementary information

This supplementary information is collated from multiple sources and compiled automatically.

Sideroflexin 1 (SFXN1) also known as TCC is an integral mitochondrial membrane protein responsible for iron transport. Approximately 35 kDa in size SFXN1 plays an important role in the movement of iron into mitochondria which is essential for various cellular functions. This protein is expressed extensively across different tissues with significant expression observed in metabolically active tissues such as the liver heart and muscle.
Biological function summary

The transport activity of SFXN1 has significant impact on cellular iron homeostasis. It is part of mitochondrial iron-sulfur cluster (ISC) assembly which is necessary for a wide range of cellular activities. SFXN1 associates with other mitochondrial transport proteins to ensure the proper supply of iron for heme and ISC production both of which are critical for cellular respiration and energy production.

Pathways

SFXN1 plays an important role in maintaining mitochondrial function through its involvement in the ISC assembly pathway and heme synthesis. Its function is closely tied to other transport proteins such as mitoferrin-1 and mitoferrin-2 which contribute to iron homeostasis within the mitochondria. The role of SFXN1 in these pathways underlines its importance in energy metabolism and cellular respiration.

Alterations in SFXN1 function are associated with conditions related to iron metabolism dysfunction such as mitochondrial diseases. Dysregulation of SFXN1 impacts iron homeostasis leading to complications like sideroblastic anemia. The connection between SFXN1 and other proteins involved in these pathways such as ALAS2 in heme synthesis highlights its relevance to these disease processes.

Product protocols

For this product, it's our understanding that no specific protocols are required. You can visit:

Target data

Amino acid transporter importing serine, an essential substrate of the mitochondrial branch of the one-carbon pathway, into mitochondria. Mitochondrial serine is then converted to glycine and formate, which exits to the cytosol where it is used to generate the charged folates that serve as one-carbon donors. May also transport other amino acids including alanine and cysteine.
See full target information Sfxn1

Publications (1)

Recent publications for all applications. Explore the full list and refine your search

Heliyon 10:e33212 PubMed39021933

2024

TMT-based proteomics analysis of the blood enriching mechanism of the total Tannins of Gei Herba in mice.

Applications

Unspecified application

Species

Unspecified reactive species

Wenbi Mu,Cancan Duan,Jingwen Ao,Fanpan Du,Jianyong Zhang
View all publications

Product promise

We are committed to supporting your work with high-quality reagents, and we're here for you every step of the way. In the unlikely event that one of our products does not perform as expected, you're protected by our Product Promise.
For full details, please see our Terms & Conditions

Please note: All products are 'FOR RESEARCH USE ONLY. NOT FOR USE IN DIAGNOSTIC OR THERAPEUTIC PROCEDURES'.

For licensing inquiries, please contact partnerships@abcam.com