JavaScript is disabled in your browser. Please enable JavaScript to view this website.
AB32374

Anti-SGK1 antibody [Y238]

Be the first to review this product! Submit a review

|

(26 Publications)

Rabbit Recombinant Monoclonal SGK1 antibody. Suitable for IHC-P, WB, Flow Cyt (Intra) and reacts with Human, Mouse samples. Cited in 26 publications.

View Alternative Names

SGK, SGK1, Serine/threonine-protein kinase Sgk1, Serum/glucocorticoid-regulated kinase 1

3 Images
Flow Cytometry (Intracellular) - Anti-SGK1 antibody [Y238] (AB32374)
  • Flow Cyt (Intra)

Unknown

Flow Cytometry (Intracellular) - Anti-SGK1 antibody [Y238] (AB32374)

Overlay histogram showing HEK293 cells stained with ab32374 (red line). The cells were fixed with 80% methanol (5 min) and then permeabilized with 0.1% PBS-Tween for 20 min. The cells were then incubated in 1x PBS / 10% normal goat serum / 0.3M glycine to block non-specific protein-protein interactions followed by the antibody (ab32374, 1/100) for 30 min at 22°C. The secondary antibody used was DyLight® 488 goat anti-rabbit IgG (H+L) (ab96899) at 1/500 dilution for 30 min at 22°C. Isotype control antibody (black line) was rabbit IgG (monoclonal) (1μg/1x106 cells) used under the same conditions. Acquisition of >5,000 events was performed. This antibody gave a positive signal in HEK293 cells fixed with 4% paraformaldehyde (10 min)/permeabilized with 0.1% PBS-Tween for 20 min used under the same conditions.

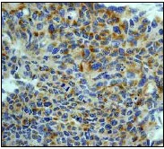
Immunohistochemistry (Formalin/PFA-fixed paraffin-embedded sections) - Anti-SGK1 antibody [Y238] (AB32374)
  • IHC-P

Unknown

Immunohistochemistry (Formalin/PFA-fixed paraffin-embedded sections) - Anti-SGK1 antibody [Y238] (AB32374)

ab32374, at a 1/50 dilution, staining SGK1 in paraffin embedded human kidney carcinoma tissue sections by Immunohistochemistry.

Perform heat mediated antigen retrieval with citrate buffer pH 6 before commencing with IHC staining protocol.

Perform heat mediated antigen retrieval with citrate buffer pH 6 before commencing with IHC staining protocol.

Western blot - Anti-SGK1 antibody [Y238] (AB32374)
  • WB

Unknown

Western blot - Anti-SGK1 antibody [Y238] (AB32374)

All lanes:

Western blot - Anti-SGK1 antibody [Y238] (ab32374) at 1/500 dilution

Lane 1:

A431 cell lysate

Lane 2:

NIH3T3 cell lysate

Predicted band size: 48 kDa

Observed band size: 57 kDa

false

Key facts

Host species

Rabbit

Clonality

Monoclonal

Clone number

Y238

Isotype

IgG

Carrier free

No

Reacts with

Mouse, Human

Applications

Flow Cyt (Intra), WB, IHC-P

applications

Immunogen

The exact immunogen used to generate this antibody is proprietary information.

Reactivity data

{ "title": "Reactivity Data", "filters": { "stats": ["", "Species", "Dilution Info", "Notes"], "tabs": { "all-applications": {"fullname" : "All Applications", "shortname": "All Applications"}, "IHCP" : {"fullname" : "Immunohistochemistry (Formalin/PFA-fixed paraffin-embedded sections)", "shortname":"IHC-P"}, "ICCIF" : {"fullname" : "Immunocytochemistry/ Immunofluorescence", "shortname":"ICC/IF"}, "WB" : {"fullname" : "Western blot", "shortname":"WB"}, "FlowCytIntra" : {"fullname" : "Flow Cytometry (Intracellular)", "shortname":"Flow Cyt (Intra)"} }, "product-promise": { "all": "all", "testedAndGuaranteed": "tested", "guaranteed": "expected", "predicted": "predicted", "notRecommended": "not-recommended" } }, "values": { "Human": { "IHCP-species-checked": "testedAndGuaranteed", "IHCP-species-dilution-info": "", "IHCP-species-notes": "<p></p>", "ICCIF-species-checked": "notRecommended", "ICCIF-species-dilution-info": "", "ICCIF-species-notes": "<p></p>", "WB-species-checked": "testedAndGuaranteed", "WB-species-dilution-info": "1/500", "WB-species-notes": "<p></p>", "FlowCytIntra-species-checked": "testedAndGuaranteed", "FlowCytIntra-species-dilution-info": "1/30", "FlowCytIntra-species-notes": "<p><a href='/en-us/products/primary-antibodies/rabbit-igg-monoclonal-epr25a-isotype-control-ab172730'>ab172730</a> - Rabbit monoclonal IgG, is suitable for use as an isotype control with this antibody.</p>" }, "Mouse": { "IHCP-species-checked": "guaranteed", "IHCP-species-dilution-info": "", "IHCP-species-notes": "", "ICCIF-species-checked": "notRecommended", "ICCIF-species-dilution-info": "", "ICCIF-species-notes": "<p></p>", "WB-species-checked": "testedAndGuaranteed", "WB-species-dilution-info": "1/500", "WB-species-notes": "<p></p>", "FlowCytIntra-species-checked": "guaranteed", "FlowCytIntra-species-dilution-info": "", "FlowCytIntra-species-notes": "" }, "Rat": { "IHCP-species-checked": "predicted", "IHCP-species-dilution-info": "", "IHCP-species-notes": "", "ICCIF-species-checked": "notRecommended", "ICCIF-species-dilution-info": "", "ICCIF-species-notes": "", "WB-species-checked": "predicted", "WB-species-dilution-info": "", "WB-species-notes": "", "FlowCytIntra-species-checked": "predicted", "FlowCytIntra-species-dilution-info": "", "FlowCytIntra-species-notes": "" } } }

Product details

Patented technology
Our RabMAb® technology is a patented hybridoma-based technology for making rabbit monoclonal antibodies. For details on our patents, please refer to RabMAb® patents.

What are the advantages of a recombinant monoclonal antibody?
This product is a recombinant monoclonal antibody, which offers several advantages including:

  • - High batch-to-batch consistency and reproducibility
  • - Improved sensitivity and specificity
  • - Long-term security of supply
  • - Animal-free batch production

For more information, read more on recombinant antibodies.

Properties and storage information

Form
Liquid
Purification technique
Affinity purification Protein A
Storage buffer
pH: 7.2 - 7.4 Preservative: 0.01% Sodium azide Constituents: PBS, 50% Glycerol (glycerin, glycerine), 0.05% BSA
Shipped at conditions
Blue Ice
Appropriate short-term storage conditions
+4°C
Appropriate long-term storage conditions
-20°C
Aliquoting information
Upon delivery aliquot
Storage information
Avoid freeze / thaw cycle

Supplementary information

This supplementary information is collated from multiple sources and compiled automatically.

The Serum and Glucocorticoid-Regulated Kinase 1 also known as SGK1 is a protein kinase involved in cellular stress response. It consists of approximately 49 kDa and is encoded by the SGK1 gene. SGK1 is expressed in several tissues including the kidney pancreas and liver. It transfers phosphate groups from ATP to serine or threonine residues on target proteins functioning as an important regulator of ion channels enzymes and other cellular proteins.
Biological function summary

SGK1 regulates ion transport cell proliferation and survival pathways. SGK1 is not usually part of large protein complexes but interacts dynamically with other proteins to exert its effects. It plays a major role in regulating sodium channels in the kidney therefore modulating sodium balance and blood pressure. It also affects various cell survival mechanisms influencing cell growth and apoptosis in response to physiological cues.

Pathways

SGK1 is involved in the PI3K/AKT/mTOR signaling pathway and the WNK/SPAK pathway. These pathways influence cellular growth metabolism and ion transport. SGK1 shares pathway relevance with proteins like AKT1 and mTOR in the PI3K/AKT/mTOR axis impacting various metabolic and growth-related cellular processes. In the WNK/SPAK pathway SGK1 regulates ion channels in collaboration with WNK kinases affecting electrolyte balance.

SGK1 has implications in hypertension and cancer. Overactivity of SGK1 can lead to increased sodium retention resulting in hypertension. This connects SGK1 to diseases involving blood pressure regulation where it often interacts with the epithelial sodium channel (ENaC). In cancer SGK1 contributes to tumor progression by supporting cell survival with interactions alongside AKT1 frequently observed in cancerous pathways. Alterations in SGK1 levels or activity may therefore serve as a therapeutic target for managing these conditions.

Product protocols

For this product, it's our understanding that no specific protocols are required. You can visit:

Target data

Serine/threonine-protein kinase which is involved in the regulation of a wide variety of ion channels, membrane transporters, cellular enzymes, transcription factors, neuronal excitability, cell growth, proliferation, survival, migration and apoptosis. Plays an important role in cellular stress response. Contributes to regulation of renal Na(+) retention, renal K(+) elimination, salt appetite, gastric acid secretion, intestinal Na(+)/H(+) exchange and nutrient transport, insulin-dependent salt sensitivity of blood pressure, salt sensitivity of peripheral glucose uptake, cardiac repolarization and memory consolidation. Up-regulates Na(+) channels : SCNN1A/ENAC, SCN5A and ASIC1/ACCN2, K(+) channels : KCNJ1/ROMK1, KCNA1-5, KCNQ1-5 and KCNE1, epithelial Ca(2+) channels : TRPV5 and TRPV6, chloride channels : BSND, CLCN2 and CFTR, glutamate transporters : SLC1A3/EAAT1, SLC1A2 /EAAT2, SLC1A1/EAAT3, SLC1A6/EAAT4 and SLC1A7/EAAT5, amino acid transporters : SLC1A5/ASCT2, SLC38A1/SN1 and SLC6A19, creatine transporter : SLC6A8, Na(+)/dicarboxylate cotransporter : SLC13A2/NADC1, Na(+)-dependent phosphate cotransporter : SLC34A2/NAPI-2B, glutamate receptor : GRIK2/GLUR6. Up-regulates carriers : SLC9A3/NHE3, SLC12A1/NKCC2, SLC12A3/NCC, SLC5A3/SMIT, SLC2A1/GLUT1, SLC5A1/SGLT1 and SLC15A2/PEPT2. Regulates enzymes : GSK3A/B, PMM2 and Na(+)/K(+) ATPase, and transcription factors : CTNNB1 and nuclear factor NF-kappa-B. Stimulates sodium transport into epithelial cells by enhancing the stability and expression of SCNN1A/ENAC. This is achieved by phosphorylating the NEDD4L ubiquitin E3 ligase, promoting its interaction with 14-3-3 proteins, thereby preventing it from binding to SCNN1A/ENAC and targeting it for degradation. Regulates store-operated Ca(+2) entry (SOCE) by stimulating ORAI1 and STIM1. Regulates KCNJ1/ROMK1 directly via its phosphorylation or indirectly via increased interaction with SLC9A3R2/NHERF2. Phosphorylates MDM2 and activates MDM2-dependent ubiquitination of p53/TP53. Phosphorylates MAPT/TAU and mediates microtubule depolymerization and neurite formation in hippocampal neurons. Phosphorylates SLC2A4/GLUT4 and up-regulates its activity. Phosphorylates APBB1/FE65 and promotes its localization to the nucleus. Phosphorylates MAPK1/ERK2 and activates it by enhancing its interaction with MAP2K1/MEK1 and MAP2K2/MEK2. Phosphorylates FBXW7 and plays an inhibitory role in the NOTCH1 signaling. Phosphorylates FOXO1 resulting in its relocalization from the nucleus to the cytoplasm. Phosphorylates FOXO3, promoting its exit from the nucleus and interference with FOXO3-dependent transcription. Phosphorylates BRAF and MAP3K3/MEKK3 and inhibits their activity. Phosphorylates SLC9A3/NHE3 in response to dexamethasone, resulting in its activation and increased localization at the cell membrane. Phosphorylates CREB1. Necessary for vascular remodeling during angiogenesis. Sustained high levels and activity may contribute to conditions such as hypertension and diabetic nephropathy. Isoform 2 exhibited a greater effect on cell plasma membrane expression of SCNN1A/ENAC and Na(+) transport than isoform 1.
See full target information SGK1

Publications (26)

Recent publications for all applications. Explore the full list and refine your search

Immunity, inflammation and disease 12:e70072 PubMed39555740

2024

Senescence in Intervertebral Disc Degeneration: A Comprehensive Analysis Based on Bioinformatic Strategies.

Applications

Unspecified application

Species

Unspecified reactive species

Zijun Zhao,Yining Wang,Zairan Wang,Fan Zhang,Ze Ding,Tao Fan

Frontiers in cardiovascular medicine 11:1359734 PubMed38903966

2024

Biomechanical dysregulation of SGK-1 dependent aortic pathologic markers in hypertension.

Applications

Unspecified application

Species

Unspecified reactive species

J Ryan Gedney,Victoria Mattia,Mario Figueroa,Christian Barksdale,Ethan Fannin,Jonah Silverman,Ying Xiong,Rupak Mukherjee,Jeffrey A Jones,Jean Marie Ruddy

Journal of cerebral blood flow and metabolism : official journal of the International Society of Cerebral Blood Flow and Metabolism 44:1145-1162 PubMed38235747

2024

The role of serum/glucocorticoid-regulated kinase 1 in brain function following cerebral ischemia.

Applications

Unspecified application

Species

Unspecified reactive species

Celeste Yin-Chieh Wu,Yulan Zhang,Li Xu,Zhihai Huang,Peibin Zou,Garrett A Clemons,Chun Li,Cristiane T Citadin,Quanguang Zhang,Reggie Hui-Chao Lee

JVS-vascular science 4:100124 PubMed37920479

2023

Vascular smooth muscle cell mechanotransduction through serum and glucocorticoid inducible kinase-1 promotes interleukin-6 production and macrophage accumulation in murine hypertension.

Applications

Unspecified application

Species

Unspecified reactive species

Mario Figueroa,SarahRose Hall,Victoria Mattia,Alex Mendoza,Adam Brown,Ying Xiong,Rupak Mukherjee,Jeffrey A Jones,William Richardson,Jean Marie Ruddy

Frontiers in pharmacology 14:1200843 PubMed37346292

2023

Luteolin inhibits triple-negative breast cancer by inducing apoptosis and autophagy through SGK1-FOXO3a-BNIP3 signaling.

Applications

Unspecified application

Species

Unspecified reactive species

Ling Wu,Yingda Lin,Songyu Gao,Yongfang Wang,Huiji Pan,Zhaozhi Wang,Marina Pozzolini,Fengling Yang,Haiyan Zhang,Yi Yang,Liang Xiao,Yuan Xu

Journal of biomedical science 30:13 PubMed36803854

2023

ER ribosomal-binding protein 1 regulates blood pressure and potassium homeostasis by modulating intracellular renin trafficking.

Applications

Unspecified application

Species

Unspecified reactive species

Chu-Hsuan Chiu,Chin-Feng Hsuan,Shih-Hua Lin,Yi-Jen Hung,Chii-Min Hwu,Siow-Wey Hee,Shu-Wha Lin,Sitt-Wai Fong,Patrick Ching-Ho Hsieh,Wei-Shun Yang,Wei-Chou Lin,Hsiao-Lin Lee,Meng-Lun Hsieh,Wen-Yi Li,Jou-Wei Lin,Chih-Neng Hsu,Vin-Cent Wu,Gwo-Tsann Chuang,Yi-Cheng Chang,Lee-Ming Chuang

Clinical epigenetics 14:131 PubMed36266728

2022

PDCD5 inhibits progression of renal cell carcinoma by promoting T cell immunity: with the involvement of the HDAC3/microRNA-195-5p/SGK1.

Applications

Unspecified application

Species

Unspecified reactive species

Shu-Cheng Liu,Li-Bo Chen,Ping-Feng Chen,Meng-Long Huang,Tian-Pei Liu,Jun Peng,Xin-Sheng Lu

Bioengineered 13:4051-4062 PubMed35129051

2022

Columbianetin alleviates lipopolysaccharides (LPS)-induced inflammation and apoptosis in chondrocyte through activation of autophagy by inhibiting serum and glucocorticoid-induced protein kinase 1 (SGK1) expression.

Applications

Unspecified application

Species

Unspecified reactive species

Wei Chen,Haotian Zheng,Xuan Zhang,Yude Xu,Zhibin Fu,Xing Ji,Changhao Wei,Guoyao An,Mingyuan Tan,Mingwang Zhou

Cell death & disease 13:77 PubMed35075115

2022

E2F transcription factor 2-activated DLEU2 contributes to prostate tumorigenesis by upregulating serum and glucocorticoid-induced protein kinase 1.

Applications

Unspecified application

Species

Unspecified reactive species

Peizhang Li,Huan Xu,Liu Yang,Ming Zhan,Yuanping Shi,Caoxu Zhang,Dajun Gao,Meng Gu,Yanbo Chen,Zhong Wang

Bioengineered 13:844-855 PubMed34898378

2021

Upregulation of serum and glucocorticoid-regulated kinase 1 (SGK1) ameliorates doxorubicin-induced cardiotoxic injury, apoptosis, inflammation and oxidative stress by suppressing glucose regulated protein 78 (GRP78)-mediated endoplasmic reticulum stress.

Applications

Unspecified application

Species

Unspecified reactive species

Feng Wang,Lili Han
View all publications

Product promise

We are committed to supporting your work with high-quality reagents, and we're here for you every step of the way. In the unlikely event that one of our products does not perform as expected, you're protected by our Product Promise.
For full details, please see our Terms & Conditions

Please note: All products are 'FOR RESEARCH USE ONLY. NOT FOR USE IN DIAGNOSTIC OR THERAPEUTIC PROCEDURES'.

For licensing inquiries, please contact partnerships@abcam.com