JavaScript is disabled in your browser. Please enable JavaScript to view this website.
AB321787

Anti-SGLT1 antibody [EPR26041-107]

Be the first to review this product! Submit a review

|

(0 Publication)

Rabbit Recombinant Monoclonal SGLT1 antibody. Suitable for IHC-P and reacts with Transfected cell line - Human, Human, Rat samples.

View Alternative Names

NAGT, SGLT1, SLC5A1, Sodium/glucose cotransporter 1, Na(+)/glucose cotransporter 1, High affinity sodium-glucose cotransporter, Solute carrier family 5 member 1

9 Images
Immunohistochemistry (Formalin/PFA-fixed paraffin-embedded sections) - Anti-SGLT1 antibody [EPR26041-107] (AB321787)
  • IHC-P

Supplier Data

Immunohistochemistry (Formalin/PFA-fixed paraffin-embedded sections) - Anti-SGLT1 antibody [EPR26041-107] (AB321787)

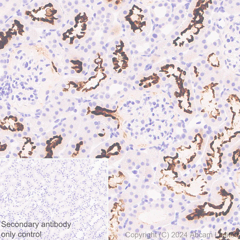
Immunohistochemical analysis of paraffin-embedded Human kidney tissue labeling SGLT1 with ab321787 at 1/2000 (0.268 ug/ml) dilution, followed by a ready to use LeicaDS9800 (Bond™ Polymer Refine Detection).

Positive staining on human kidney (PMID : 26121582).
The section was incubated with ab321787 for 30 mins at room temperature.
The immunostaining was performed on a Leica Biosystems BOND® RX instrument

Counterstained with Hematoxylin.

Secondary antibody only control : Secondary antibody is a ready to use LeicaDS9800 (Bond™ Polymer Refine Detection).

Heat mediated antigen retrieval was performed with Tris-EDTA buffer (pH 9.0, Epitope Retrieval Solution2) for 20 mins

Immunohistochemistry (Formalin/PFA-fixed paraffin-embedded sections) - Anti-SGLT1 antibody [EPR26041-107] (AB321787)
  • IHC-P

Supplier Data

Immunohistochemistry (Formalin/PFA-fixed paraffin-embedded sections) - Anti-SGLT1 antibody [EPR26041-107] (AB321787)

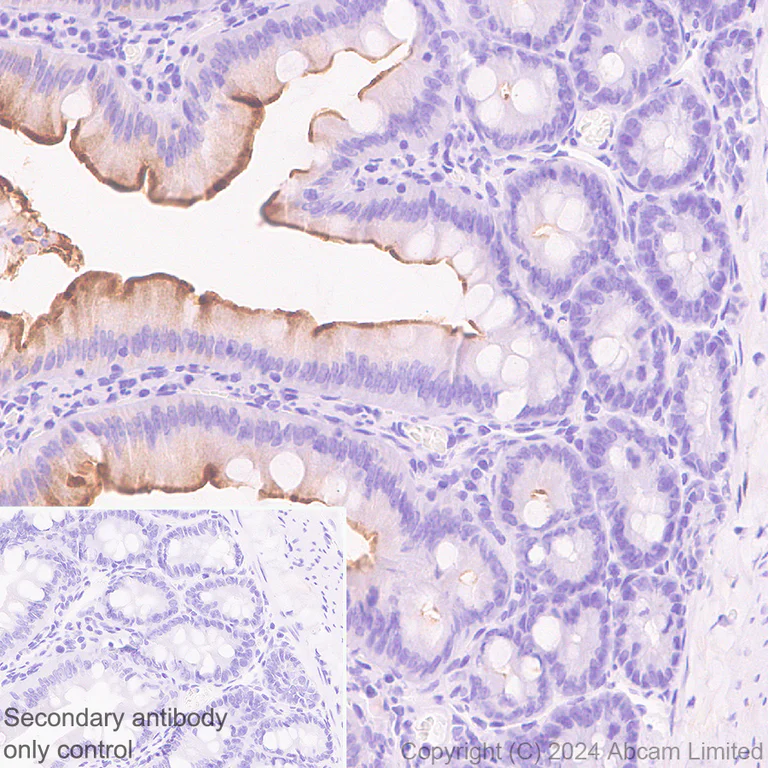
Immunohistochemical analysis of paraffin-embedded Human duodenum tissue labeling SGLT1 with ab321787 at 1/2000 (0.268 ug/ml) dilution, followed by a ready to use LeicaDS9800 (Bond™ Polymer Refine Detection).

Positive staining on human duodenum.
The section was incubated with ab321787 for 30 mins at room temperature.
The immunostaining was performed on a Leica Biosystems BOND® RX instrument

Counterstained with Hematoxylin.

Secondary antibody only control : Secondary antibody is a ready to use LeicaDS9800 (Bond™ Polymer Refine Detection).

Heat mediated antigen retrieval was performed with Tris-EDTA buffer (pH 9.0, Epitope Retrieval Solution2) for 20 mins

Immunohistochemistry (Formalin/PFA-fixed paraffin-embedded sections) - Anti-SGLT1 antibody [EPR26041-107] (AB321787)
  • IHC-P

Supplier Data

Immunohistochemistry (Formalin/PFA-fixed paraffin-embedded sections) - Anti-SGLT1 antibody [EPR26041-107] (AB321787)

Immunohistochemical analysis of paraffin-embedded Rat duodenum tissue labeling SGLT1 with ab321787 at 1/2000 (0.268 ug/ml) dilution, followed by a ready to use LeicaDS9800 (Bond™ Polymer Refine Detection).

Positive staining on rat duodenum (PMID : 8163506).
The section was incubated with ab321787 for 30 mins at room temperature.
The immunostaining was performed on a Leica Biosystems BOND® RX instrument

Counterstained with Hematoxylin.

Secondary antibody only control : Secondary antibody is a ready to use LeicaDS9800 (Bond™ Polymer Refine Detection).

Heat mediated antigen retrieval was performed with Tris-EDTA buffer (pH 9.0, Epitope Retrieval Solution2) for 20 mins

Immunohistochemistry (Formalin/PFA-fixed paraffin-embedded sections) - Anti-SGLT1 antibody [EPR26041-107] (AB321787)
  • IHC-P

Supplier Data

Immunohistochemistry (Formalin/PFA-fixed paraffin-embedded sections) - Anti-SGLT1 antibody [EPR26041-107] (AB321787)

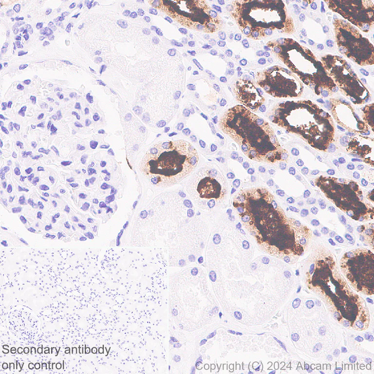
Immunohistochemical analysis of paraffin-embedded Rat kidney tissue labeling SGLT1 with ab321787 at 1/2000 (0.268 ug/ml) dilution, followed by a ready to use LeicaDS9800 (Bond™ Polymer Refine Detection).

Positive staining on rat kidney.
The section was incubated with ab321787 for 30 mins at room temperature.
The immunostaining was performed on a Leica Biosystems BOND® RX instrument

Counterstained with Hematoxylin.

Secondary antibody only control : Secondary antibody is a ready to use LeicaDS9800 (Bond™ Polymer Refine Detection).

Heat mediated antigen retrieval was performed with Tris-EDTA buffer (pH 9.0, Epitope Retrieval Solution2) for 20 mins

Immunohistochemistry (Formalin/PFA-fixed paraffin-embedded sections) - Anti-SGLT1 antibody [EPR26041-107] (AB321787)
  • IHC-P

Supplier Data

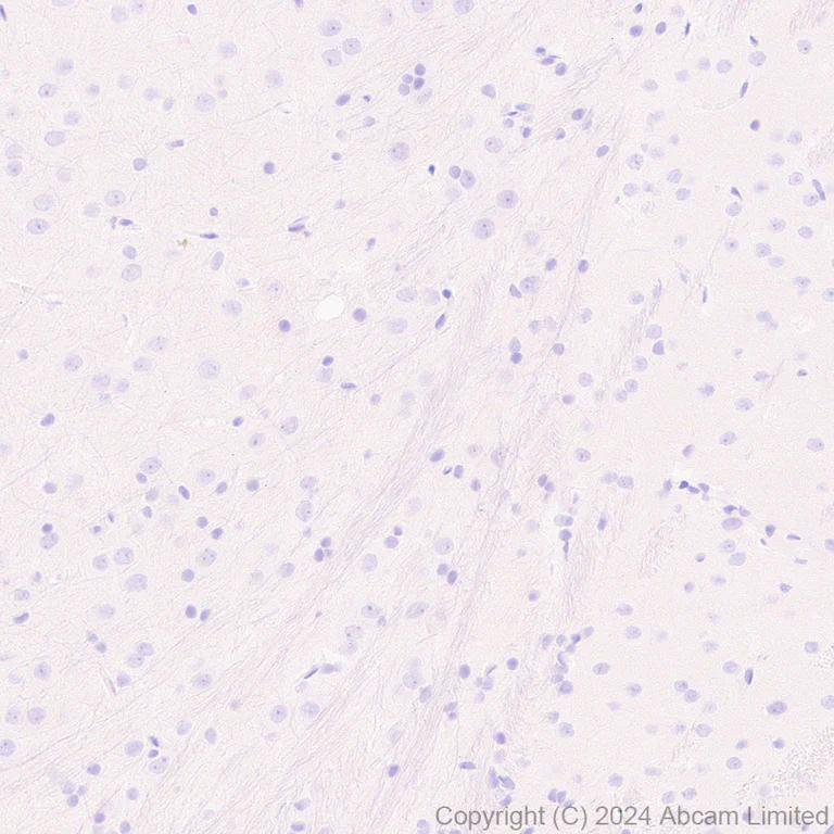
Immunohistochemistry (Formalin/PFA-fixed paraffin-embedded sections) - Anti-SGLT1 antibody [EPR26041-107] (AB321787)

Immunohistochemical analysis of paraffin-embedded Human cerebrum tissue labeling SGLT1 with ab321787 at 1/2000 (0.268 ug/ml) dilution, followed by a ready to use LeicaDS9800 (Bond™ Polymer Refine Detection).

Negative control : No staining on human cerebrum.
The section was incubated with ab321787 for 30 mins at room temperature.
The immunostaining was performed on a Leica Biosystems BOND® RX instrument

Counterstained with Hematoxylin.

Secondary antibody only control : Secondary antibody is a ready to use LeicaDS9800 (Bond™ Polymer Refine Detection).

Heat mediated antigen retrieval was performed with Tris-EDTA buffer (pH 9.0, Epitope Retrieval Solution2) for 20 mins

Immunohistochemistry (Formalin/PFA-fixed paraffin-embedded sections) - Anti-SGLT1 antibody [EPR26041-107] (AB321787)
  • IHC-P

Supplier Data

Immunohistochemistry (Formalin/PFA-fixed paraffin-embedded sections) - Anti-SGLT1 antibody [EPR26041-107] (AB321787)

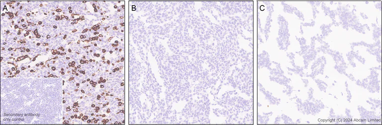
Immunohistochemical analysis of paraffin-embedded (A) HEK-293T (human embryonic kidney epithelial cell) transfected with a SGLT1 (SLC5A1) expression vector containing a his tag. (B) HEK-293T cells transfected with a SGLT2 (SLC5A2) expression vector containing a his tag. (C) HEK-293T cells transfected with empty vector containing a his tag. tissue labeling SGLT1 with ab321787 at 1/2000 (0.268 ug/ml) dilution, followed by a ready to use LeicaDS9800 (Bond™ Polymer Refine Detection).

Positive staining on (A) HEK-293T cells transfected with a SGLT1 (SLC5A1) expression vector containing a his tag, No staining on (B) HEK-293T cells transfected with a SGLT2 (SLC5A2) expression vector and (C) HEK-293T cells transfected with empty vector containing a his tag.
The section was incubated with ab321787 for 30 mins at room temperature.
The immunostaining was performed on a Leica Biosystems BOND® RX instrument

Counterstained with Hematoxylin.

Secondary antibody only control : Secondary antibody is a ready to use LeicaDS9800 (Bond™ Polymer Refine Detection).

Heat mediated antigen retrieval was performed with Tris-EDTA buffer (pH 9.0, Epitope Retrieval Solution2) for 20 mins

Immunohistochemistry (Formalin/PFA-fixed paraffin-embedded sections) - Anti-SGLT1 antibody [EPR26041-107] (AB321787)
  • IHC-P

Supplier Data

Immunohistochemistry (Formalin/PFA-fixed paraffin-embedded sections) - Anti-SGLT1 antibody [EPR26041-107] (AB321787)

Immunohistochemical analysis of paraffin-embedded Human skeletal muscle tissue labeling SGLT1 with ab321787 at 1/2000 (0.268 ug/ml) dilution, followed by a ready to use LeicaDS9800 (Bond™ Polymer Refine Detection).

Negative control : No staining on human skeletal muscle.
The section was incubated with ab321787 for 30 mins at room temperature.
The immunostaining was performed on a Leica Biosystems BOND® RX instrument
We don't expect this antibody to cross-react with SGLT3 (SLC5A4) based on the negative staining observed in skeletal muscle, which expresses SGLT3 (PMID : 33385407).

Counterstained with Hematoxylin.

Secondary antibody only control : Secondary antibody is a ready to use LeicaDS9800 (Bond™ Polymer Refine Detection).

Heat mediated antigen retrieval was performed with Tris-EDTA buffer (pH 9.0, Epitope Retrieval Solution2) for 20 mins

Immunohistochemistry (Formalin/PFA-fixed paraffin-embedded sections) - Anti-SGLT1 antibody [EPR26041-107] (AB321787)
  • IHC-P

Supplier Data

Immunohistochemistry (Formalin/PFA-fixed paraffin-embedded sections) - Anti-SGLT1 antibody [EPR26041-107] (AB321787)

Immunohistochemical analysis of paraffin-embedded Rat cerebrum tissue labeling SGLT1 with ab321787 at 1/2000 (0.268 ug/ml) dilution, followed by a ready to use LeicaDS9800 (Bond™ Polymer Refine Detection).

Negative control : No staining on rat cerebrum (PMID : 8163506).
The section was incubated with ab321787 for 30 mins at room temperature.
The immunostaining was performed on a Leica Biosystems BOND® RX instrument

Counterstained with Hematoxylin.

Secondary antibody only control : Secondary antibody is a ready to use LeicaDS9800 (Bond™ Polymer Refine Detection).

Heat mediated antigen retrieval was performed with Tris-EDTA buffer (pH 9.0, Epitope Retrieval Solution2) for 20 mins

Immunohistochemistry (Formalin/PFA-fixed paraffin-embedded sections) - Anti-SGLT1 antibody [EPR26041-107] (AB321787)
  • IHC-P

Supplier Data

Immunohistochemistry (Formalin/PFA-fixed paraffin-embedded sections) - Anti-SGLT1 antibody [EPR26041-107] (AB321787)

Immunohistochemical analysis of paraffin-embedded Rat skeletal muscle tissue labeling SGLT1 with ab321787 at 1/2000 (0.268 ug/ml) dilution, followed by a ready to use LeicaDS9800 (Bond™ Polymer Refine Detection).

Negative control : No staining on rat skeletal muscle.
The section was incubated with ab321787 for 30 mins at room temperature.
The immunostaining was performed on a Leica Biosystems BOND® RX instrument
We don't expect this antibody to cross-react with SGLT3 (SLC5A4) based on the negative staining observed in skeletal muscle, which expresses SGLT3 (PMID : 33385407).

Counterstained with Hematoxylin.

Secondary antibody only control : Secondary antibody is a ready to use LeicaDS9800 (Bond™ Polymer Refine Detection).

Heat mediated antigen retrieval was performed with Tris-EDTA buffer (pH 9.0, Epitope Retrieval Solution2) for 20 mins

Key facts

Host species

Rabbit

Clonality

Monoclonal

Clone number

EPR26041-107

Isotype

IgG

Carrier free

No

Reacts with

Human, Rat

Applications

IHC-P

applications

Immunogen

The exact immunogen used to generate this antibody is proprietary information.

Reactivity data

{ "title": "Reactivity Data", "filters": { "stats": ["", "Species", "Dilution Info", "Notes"], "tabs": { "all-applications": {"fullname" : "All Applications", "shortname": "All Applications"}, "IHCP" : {"fullname" : "Immunohistochemistry (Formalin/PFA-fixed paraffin-embedded sections)", "shortname":"IHC-P"}, "ICCIF" : {"fullname" : "Immunocytochemistry/ Immunofluorescence", "shortname":"ICC/IF"}, "WB" : {"fullname" : "Western blot", "shortname":"WB"} }, "product-promise": { "all": "all", "testedAndGuaranteed": "tested", "guaranteed": "expected", "predicted": "predicted", "notRecommended": "not-recommended" } }, "values": { "Human": { "IHCP-species-checked": "testedAndGuaranteed", "IHCP-species-dilution-info": "1/2000", "IHCP-species-notes": "<p></p> Perform heat-mediated antigen retrieval with Tris/EDTA buffer pH 9.0 before commencing with IHC staining protocol.", "ICCIF-species-checked": "notRecommended", "ICCIF-species-dilution-info": "", "ICCIF-species-notes": "<p></p>", "WB-species-checked": "notRecommended", "WB-species-dilution-info": "", "WB-species-notes": "<p></p>" }, "Mouse": { "IHCP-species-checked": "notRecommended", "IHCP-species-dilution-info": "", "IHCP-species-notes": "<p></p>", "ICCIF-species-checked": "notRecommended", "ICCIF-species-dilution-info": "", "ICCIF-species-notes": "<p></p>", "WB-species-checked": "notRecommended", "WB-species-dilution-info": "", "WB-species-notes": "<p></p>" }, "Rat": { "IHCP-species-checked": "testedAndGuaranteed", "IHCP-species-dilution-info": "1/2000", "IHCP-species-notes": "<p></p> Perform heat-mediated antigen retrieval with Tris/EDTA buffer pH 9.0 before commencing with IHC staining protocol.", "ICCIF-species-checked": "notRecommended", "ICCIF-species-dilution-info": "", "ICCIF-species-notes": "<p></p>", "WB-species-checked": "notRecommended", "WB-species-dilution-info": "", "WB-species-notes": "<p></p>" }, "Transfected cell line - Human": { "IHCP-species-checked": "testedAndGuaranteed", "IHCP-species-dilution-info": "1/2000", "IHCP-species-notes": "<p></p> Perform heat-mediated antigen retrieval with Tris/EDTA buffer pH 9.0 before commencing with IHC staining protocol.", "ICCIF-species-checked": "notRecommended", "ICCIF-species-dilution-info": "", "ICCIF-species-notes": "", "WB-species-checked": "notRecommended", "WB-species-dilution-info": "", "WB-species-notes": "" } } }

You may be interested in:

AB83382

Galactose Assay Kit

0

0 Reviews

View product

We recommend this product because it’s often used in the same experiment or related research.

We advise that you always check the datasheet to ensure it fits your experiments, or contact ourtechnical teamfor help.

Product details

Properties and storage information

Form
Liquid
Purification technique
Affinity purification Protein A
Storage buffer
pH: 7.2 - 7.4 Preservative: 0.01% Sodium azide Constituents: PBS, 40% Glycerol (glycerin, glycerine), 0.05% BSA
Shipped at conditions
Blue Ice
Appropriate short-term storage duration
1-2 weeks
Appropriate short-term storage conditions
+4°C
Appropriate long-term storage conditions
-20°C
Aliquoting information
Upon delivery aliquot
Storage information
Avoid freeze / thaw cycle

Supplementary information

This supplementary information is collated from multiple sources and compiled automatically.

SGLT1 also known as sodium/glucose cotransporter 1 or SLC5A1 is a membrane protein actively responsible for glucose and galactose uptake in the small intestine and renal tubules. It has a molecular mass of approximately 73 kDa. Expressed mainly in the brush border of the enterocytes in the small intestinal lining and to a lesser degree in the kidney SGLT1 functions by coupling the transport of glucose to sodium ions' electrochemical gradient enabling effective nutrient absorption.
Biological function summary

SGLT1's main role is in facilitating nutrient absorption in the gastrointestinal tract. It operates as part of the larger SGLT protein family but does not form a complex with other proteins. The protein is essential for the transport of monosaccharides from the gut into circulation. By ensuring glucose and galactose absorption during digestive processes SGLT1 provides necessary carbohydrates for cellular metabolism and systemic energy homeostasis.

Pathways

The transport protein SGLT1 is integral to the glucose uptake pathway. This pathway intersects with the insulin signaling pathway because the glucose absorbed by SGLT1 later enters systemic circulation. SGLT1 also complements the GLUT family of transporters especially GLUT2 which function downstream by facilitating glucose transport across the intestinal basolateral membrane into the bloodstream. The interplay between these transport mechanisms maintains glucose levels post-ingestion.

SGLT1 dysfunction is linked to glucose-galactose malabsorption a genetic disorder causing severe dehydration and diarrhea due to glucose and galactose accumulation in the lumen. Additionally research investigates SGLT1's contribution to diabetes management given its role in glucose absorption. The protein's activity along with related proteins like GLUT2 and GLUT4 could influence insulin resistance and glucose homeostasis in metabolic syndromes. Understanding SGLT1 in these contexts enables potential therapeutic interventions for conditions involving disordered glucose metabolism.

Product protocols

For this product, it's our understanding that no specific protocols are required. You can visit:

Target data

Electrogenic Na(+)-coupled sugar symporter that actively transports D-glucose or D-galactose at the plasma membrane, with a Na(+) to sugar coupling ratio of 2 : 1. Transporter activity is driven by a transmembrane Na(+) electrochemical gradient set by the Na(+)/K(+) pump (PubMed : 20980548, PubMed : 34880492, PubMed : 35077764, PubMed : 8563765, PubMed : 37217492). Has a primary role in the transport of dietary monosaccharides from enterocytes to blood. Responsible for the absorption of D-glucose or D-galactose across the apical brush-border membrane of enterocytes, whereas basolateral exit is provided by GLUT2. Additionally, functions as a D-glucose sensor in enteroendocrine cells, triggering the secretion of the incretins GCG and GIP that control food intake and energy homeostasis (By similarity) (PubMed : 8563765). Together with SGLT2, functions in reabsorption of D-glucose from glomerular filtrate, playing a nonredundant role in the S3 segment of the proximal tubules (By similarity). Transports D-glucose into endometrial epithelial cells, controlling glycogen synthesis and nutritional support for the embryo as well as the decidual transformation of endometrium prior to conception (PubMed : 28974690). Acts as a water channel enabling passive water transport across the plasma membrane in response to the osmotic gradient created upon sugar and Na(+) uptake. Has high water conductivity, comparable to aquaporins, and therefore is expected to play an important role in transepithelial water permeability, especially in the small intestine.
See full target information SLC5A1

Product promise

We are committed to supporting your work with high-quality reagents, and we're here for you every step of the way. In the unlikely event that one of our products does not perform as expected, you're protected by our Product Promise.
For full details, please see our Terms & Conditions

Please note: All products are 'FOR RESEARCH USE ONLY. NOT FOR USE IN DIAGNOSTIC OR THERAPEUTIC PROCEDURES'.

For licensing inquiries, please contact partnerships@abcam.com