JavaScript is disabled in your browser. Please enable JavaScript to view this website.
AB306558

Anti-SGLT2 antibody [EPR27112-7]

  • Advanced Validation
  • BOND RX™ Validated
  • 20ul selling size
  • RabMAb
  • Recombinant
  • What is this?

Be the first to review this product! Submit a review

|

(1 Publication)

Rabbit Recombinant Monoclonal SGLT2 antibody. Suitable for IHC-P, IHC-Fr, WB, mIHC and reacts with Mouse, Rat samples. Cited in 1 publication.

View Alternative Names

Sglt2, Slc5a2, Sodium/glucose cotransporter 2, Na(+)/glucose cotransporter 2, Low affinity sodium-glucose cotransporter, Solute carrier family 5 member 2

11 Images
Immunohistochemistry - Anti-SGLT2 antibody [EPR27112-7] (AB306558)
  • IHC

Supplier Data

Immunohistochemistry - Anti-SGLT2 antibody [EPR27112-7] (AB306558)

Immunohistochemical analysis of paraffin-embedded transfected HEK-293T cells labeling SGLT2 with ab306558 at 1/5000 (0.104 μg/ml) followed by ready to use LeicaDS9800 (Bond™ Polymer Refine Detection). Positive staining on HEK-293T cells transfected with a mouse SGLT2 expression vector (Panel A); No staining on HEK-293T cells transfected with a mouse Slc5a1 expression vector (Panel B); No staining on HEK-293T cells transfected with a mouse Slc5a3 expression vector (Panel C); No staining on HEK-293T cells transfected with an empty vector (Panel D). The section was incubated with ab306558 for 30 mins at room temperature. The immunostaining was performed on a Leica Biosystems BOND® RX instrument. Counterstained with Hematoxylin. Heat mediated antigen retrieval was performed with Citrate buffer (pH 6.0, Epitope Retrieval Solution 1) for 20 mins.

Immunohistochemistry (Frozen sections) - Anti-SGLT2 antibody [EPR27112-7] (AB306558)
  • IHC-Fr

Supplier Data

Immunohistochemistry (Frozen sections) - Anti-SGLT2 antibody [EPR27112-7] (AB306558)

Immunohistochemical analysis of 4% PFA-fixed, 0.2% Triton X-100 permeabilized frozen rat pancreas (fresh) tissue labeling SGLT2 with ab306558 at 1/1000 (0.52 ug/ml) dilution followed by ab150081 Goat Anti-Rabbit IgG H&L (Alexa Fluor® 488) preadsorbed at 1/1000 (2 ug/mL) dilution (Green). Negative control : confocal image showing no staining in rat pancreas (PMID : 33815487). The nuclear counterstain was DAPI (Blue). The section was incubated with ab306558 for 60 mins at room temperature. The section was then mounted using Fluoromount®.The immunostaining was performed on a Leica Biosystems BOND® RX instrument. Image was taken with a confocal microscope (Leica-Microsystems, TCS SP8). The nuclear counterstain was DAPI (Blue). Secondary antibody control : Secondary antibody is ab150081 Goat Anti-Rabbit IgG H&L (Alexa Fluor® 488) preadsorbed at 1/1000 (2 ug/mL) dilution.

Immunohistochemistry (Frozen sections) - Anti-SGLT2 antibody [EPR27112-7] (AB306558)
  • IHC-Fr

Supplier Data

Immunohistochemistry (Frozen sections) - Anti-SGLT2 antibody [EPR27112-7] (AB306558)

Immunohistochemical analysis of 4% PFA-fixed, 0.2% Triton X-100 permeabilized frozen mouse pancreas (fresh) tissue labeling SGLT2 with ab306558 at 1/1000 (0.52 ug/ml) dilution followed by ab150081 Goat Anti-Rabbit IgG H&L (Alexa Fluor® 488) preadsorbed at 1/1000 (2 ug/mL) dilution (Green). Negative control : confocal image showing no staining in mouse pancreas (PMID : 33815487). The nuclear counterstain was DAPI (Blue). The section was incubated with ab306558 for 60 mins at room temperature. The section was then mounted using Fluoromount®.The immunostaining was performed on a Leica Biosystems BOND® RX instrument. Image was taken with a confocal microscope (Leica-Microsystems, TCS SP8). The nuclear counterstain was DAPI (Blue). Secondary antibody control : Secondary antibody is ab150081 Goat Anti-Rabbit IgG H&L (Alexa Fluor® 488) preadsorbed at 1/1000 (2 ug/mL) dilution.

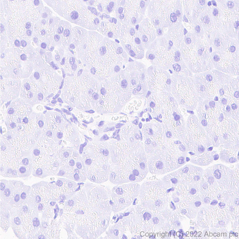
Immunohistochemistry - Anti-SGLT2 antibody [EPR27112-7] (AB306558)
  • IHC

Supplier Data

Immunohistochemistry - Anti-SGLT2 antibody [EPR27112-7] (AB306558)

Immunohistochemical analysis of paraffin-embedded mouse pancreas tissue to label SGLT2 with ab306558 at 1/5000 (0.104 μg/ml) followed by a ready to use Leica DS9800 (Bond™ Polymer Refine Detection kit). Negative control : no staining on mouse pancreas. The section was incubated with ab306558 for 30 mins at room temperature. The immunostaining was performed on a Leica Biosystems BOND® RX instrument. Counterstained with Hematoxylin. Heat mediated antigen retrieval was performed with Citrate buffer (pH 6.0, Epitope Retrieval Solution 1) for 20 min.

Immunohistochemistry - Anti-SGLT2 antibody [EPR27112-7] (AB306558)
  • IHC

Lab

Immunohistochemistry - Anti-SGLT2 antibody [EPR27112-7] (AB306558)

Multiplex immunohistochemistry analysis of formalin/PFA-fixed paraffin-embedded mouse kidney tissue staining PAR1/Thrombin Receptor with ab322457 at a 1/500 dilution, ab306558 anti-SGLT2 used at 1/5000 dilution and ab212197 anti-Renin used at a 1/4000 dilution.

Panel A : merged staining of anti-PAR1/Thrombin Receptor (green; Opal™520), anti-SGLT2 (magenta; Opal™690) and anti-Renin (gray; Opal™570) on mouse kidney.

Panel B : anti-PAR1/Thrombin Receptor staining endothelium in mouse kidney.

Panel C : anti-SGLT2 staining the brush border of proximal tubules in mouse kidney.

Panel D : anti-Renin staining juxtaglomerular cells in mouse kidney.

Nuclear DNA was labeled with DAPI (shown in blue).

The section was incubated in three rounds of staining : in the order of ab322457, ab306558 and ab212197 for 30 mins at room temperature. Each round was followed by a separate fluorescent tyramide signal amplification system.

The immunostaining was performed on a Leica Biosystems BOND® RX instrument with an Opal™ 4-color kit. Image acquisition was performed with Leica SP8 confocal microscope.

Heat mediated antigen retrieval with Tris-EDTA buffer (pH 9.0, epitope retrieval solution2) for 20 mins.

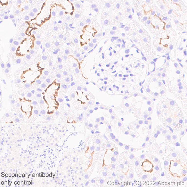
Immunohistochemistry - Anti-SGLT2 antibody [EPR27112-7] (AB306558)
  • IHC

Supplier Data

Immunohistochemistry - Anti-SGLT2 antibody [EPR27112-7] (AB306558)

Immunohistochemical analysis of paraffin-embedded mouse kidney tissue labeling SGLT2 with ab306558 at 1/5000 (0.104 μg/ml) followed by a ready to use Leica DS9800 (Bond™ Polymer Refine Detection kit). Positive staining on the brush border of mouse proximal tubules. The section was incubated with ab306558 for 30 mins at room temperature. The immunostaining was performed on a Leica Biosystems BOND® RX instrument. Counterstained with Hematoxylin. Secondary antibody only control : Primary diluent was used instead of primary antibody, followed by anti-Mouse IgG1 antibody (ab125913). Heat mediated antigen retrieval was performed with Citrate buffer (pH 6.0, Epitope Retrieval Solution 1) for 20 min.

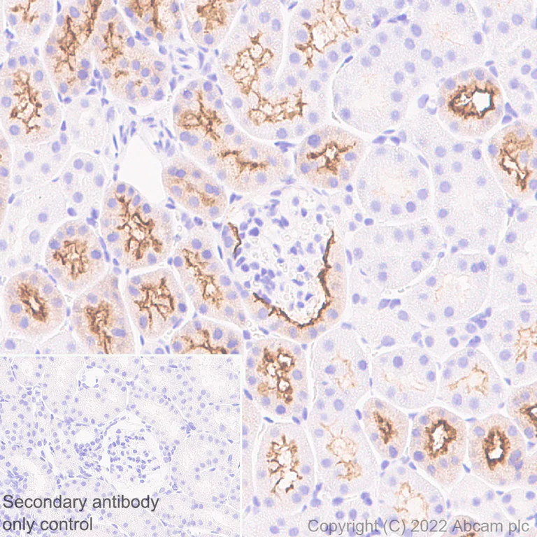
Immunohistochemistry - Anti-SGLT2 antibody [EPR27112-7] (AB306558)
  • IHC

Supplier Data

Immunohistochemistry - Anti-SGLT2 antibody [EPR27112-7] (AB306558)

Immunohistochemical analysis of paraffin-embedded rat kidney tissue labeling SGLT2 with ab306558 at 1/5000 (0.104 μg/ml) followed by a ready to use Leica DS9800 (Bond™ Polymer Refine Detection kit). Positive staining on the brush border of rat proximal tubules. The section was incubated with ab306558 for 30 mins at room temperature. The immunostaining was performed on a Leica Biosystems BOND® RX instrument. Counterstained with Hematoxylin. Secondary antibody only control : Primary diluent was used instead of primary antibody, followed by anti-Mouse IgG1 antibody (ab125913). Heat mediated antigen retrieval was performed with Citrate buffer (pH 6.0, Epitope Retrieval Solution 1) for 20 min.

Immunohistochemistry (Frozen sections) - Anti-SGLT2 antibody [EPR27112-7] (AB306558)
  • IHC-Fr

Supplier Data

Immunohistochemistry (Frozen sections) - Anti-SGLT2 antibody [EPR27112-7] (AB306558)

Immunohistochemical analysis of 4% PFA-fixed, 0.2% Triton X-100 permeabilized frozen mouse kidney (fresh) tissue labeling SGLT2 with ab306558 at 1/1000 (0.52 ug/ml) dilution followed by ab150081 Goat Anti-Rabbit IgG H&L (Alexa Fluor® 488) preadsorbed at 1/1000 (2 ug/mL) dilution (Green). Confocal image showing positive staining in the proximal tubules of mouse kidney. The nuclear counterstain was DAPI (Blue). The section was incubated with ab306558 for 60 mins at room temperature. The section was then mounted using Fluoromount®. The immunostaining was performed on a Leica Biosystems BOND® RX instrument. Image was taken with a confocal microscope (Leica-Microsystems, TCS SP8). The nuclear counterstain was DAPI (Blue). Secondary antibody control : Secondary antibody is ab150081 Goat Anti-Rabbit IgG H&L (Alexa Fluor® 488) preadsorbed at 1/1000 (2 ug/mL) dilution.

Immunohistochemistry (Frozen sections) - Anti-SGLT2 antibody [EPR27112-7] (AB306558)
  • IHC-Fr

Supplier Data

Immunohistochemistry (Frozen sections) - Anti-SGLT2 antibody [EPR27112-7] (AB306558)

Immunohistochemical analysis of 4% PFA-fixed, 0.2% Triton X-100 permeabilized frozen Rat kidney (fresh) tissue labeling SGLT2 with ab306558 at 1/1000 (0.52 ug/ml) dilution followed by ab150081 Goat Anti-Rabbit IgG H&L (Alexa Fluor® 488) preadsorbed at 1/1000 (2 ug/mL) dilution (Green). Confocal image showing positive staining in the proximal tubules of rat kidney. The nuclear counterstain was DAPI (Blue). The section was incubated with ab306558 for 60 mins at room temperature. The section was then mounted using Fluoromount®.The immunostaining was performed on a Leica Biosystems BOND® RX instrument. Image was taken with a confocal microscope (Leica-Microsystems, TCS SP8). is observed. The nuclear counterstain was DAPI (Blue). Secondary antibody control : Secondary antibody is ab150081 Goat Anti-Rabbit IgG H&L (Alexa Fluor® 488) preadsorbedat 1/1000 (2 ug/mL) dilution.

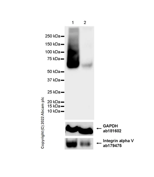
Western blot - Anti-SGLT2 antibody [EPR27112-7] (AB306558)
  • WB

Supplier Data

Western blot - Anti-SGLT2 antibody [EPR27112-7] (AB306558)

Blocking / Diluting buffer and concentration : 5% NFDM/TBST Negative control : mouse pancreas (PMID : 30416006). Samples are non-boiled as boiling may cause protein aggregation.

All lanes:

Western blot - Anti-SGLT2 antibody [EPR27112-7] (ab306558) at 1/1000 dilution

Lane 1:

Mouse kidney tissue lysate 20 μg

Lane 2:

Mouse pancreas tissue lysate 20 μg

Secondary

All lanes:

Western blot - Goat Anti-Rabbit IgG H&L (HRP) (<a href='/en-us/products/secondary-antibodies/goat-rabbit-igg-h-l-hrp-ab97051'>ab97051</a>) at 1/100000 dilution

Observed band size: 73 kDa

false

Exposure time: 15s

Western blot - Anti-SGLT2 antibody [EPR27112-7] (AB306558)
  • WB

Supplier Data

Western blot - Anti-SGLT2 antibody [EPR27112-7] (AB306558)

Samples are non-boiled as boiling may cause protein aggregation. Blocking / Diluting buffer and concentration : 5% NFDM/TBST. Exposure time : 15 seconds.

All lanes:

Western blot - Anti-SGLT2 antibody [EPR27112-7] (ab306558) at 1/1000 dilution

Lane 1:

Mouse kidney membrane fraction 20 μg

Lane 2:

Mouse kidney cytoplasmic fraction 20 μg

Secondary

All lanes:

Western blot - Goat Anti-Rabbit IgG H&L (HRP) (<a href='/en-us/products/secondary-antibodies/goat-rabbit-igg-h-l-hrp-ab97051'>ab97051</a>) at 1/100000 dilution

Observed band size: 73 kDa

false

Exposure time: 15s

  • Carrier free

    Anti-SGLT2 antibody [EPR27112-7] - BSA and Azide free

Key facts

Host species

Rabbit

Clonality

Monoclonal

Clone number

EPR27112-7

Isotype

IgG

Carrier free

No

Reacts with

Mouse, Rat

Applications

WB, IHC-Fr, mIHC, IHC-P

applications

Immunogen

The exact immunogen used to generate this antibody is proprietary information.

Specificity

This antibody is unsuitable for rat in western blot and human in IHC-P.

Reactivity data

{ "title": "Reactivity Data", "filters": { "stats": ["", "Species", "Dilution Info", "Notes"], "tabs": { "all-applications": {"fullname" : "All Applications", "shortname": "All Applications"}, "IP" : {"fullname" : "Immunoprecipitation", "shortname":"IP"}, "IHCP" : {"fullname" : "Immunohistochemistry (Formalin/PFA-fixed paraffin-embedded sections)", "shortname":"IHC-P"}, "IHCFr" : {"fullname" : "Immunohistochemistry (Frozen sections)", "shortname":"IHC-Fr"}, "WB" : {"fullname" : "Western blot", "shortname":"WB"}, "mIHC" : {"fullname" : "Multiplex immunohistochemistry", "shortname":"mIHC"} }, "product-promise": { "all": "all", "testedAndGuaranteed": "tested", "guaranteed": "expected", "predicted": "predicted", "notRecommended": "not-recommended" } }, "values": { "Human": { "IP-species-checked": "notRecommended", "IP-species-dilution-info": "", "IP-species-notes": "", "IHCP-species-checked": "notRecommended", "IHCP-species-dilution-info": "1/5000", "IHCP-species-notes": "<p></p> Perform heat-mediated antigen retrieval with citrate buffer pH 6 before commencing with IHC staining protocol.", "IHCFr-species-checked": "notRecommended", "IHCFr-species-dilution-info": "", "IHCFr-species-notes": "", "WB-species-checked": "notRecommended", "WB-species-dilution-info": "1/1000", "WB-species-notes": "<p></p>", "mIHC-species-checked": "notRecommended", "mIHC-species-dilution-info": "", "mIHC-species-notes": "" }, "Mouse": { "IP-species-checked": "notRecommended", "IP-species-dilution-info": "", "IP-species-notes": "<p></p>", "IHCP-species-checked": "testedAndGuaranteed", "IHCP-species-dilution-info": "1/5000", "IHCP-species-notes": "<p></p> Perform heat-mediated antigen retrieval with citrate buffer pH 6 before commencing with IHC staining protocol.", "IHCFr-species-checked": "testedAndGuaranteed", "IHCFr-species-dilution-info": "1/1000", "IHCFr-species-notes": "<p></p>", "WB-species-checked": "testedAndGuaranteed", "WB-species-dilution-info": "1/1000", "WB-species-notes": "<p></p>", "mIHC-species-checked": "testedAndGuaranteed", "mIHC-species-dilution-info": "1/5000", "mIHC-species-notes": "<p></p> Perform heat-mediated antigen retrieval with Tris/EDTA buffer pH 9.0 before commencing with IHC staining protocol." }, "Rat": { "IP-species-checked": "notRecommended", "IP-species-dilution-info": "", "IP-species-notes": "<p></p>", "IHCP-species-checked": "testedAndGuaranteed", "IHCP-species-dilution-info": "1/5000", "IHCP-species-notes": "<p></p> Perform heat-mediated antigen retrieval with citrate buffer pH 6 before commencing with IHC staining protocol.", "IHCFr-species-checked": "testedAndGuaranteed", "IHCFr-species-dilution-info": "1/1000", "IHCFr-species-notes": "<p></p>", "WB-species-checked": "notRecommended", "WB-species-dilution-info": "1/1000", "WB-species-notes": "<p></p>", "mIHC-species-checked": "guaranteed", "mIHC-species-dilution-info": "", "mIHC-species-notes": "" } } }

Product details

Patented technology
Our RabMAb® technology is a patented hybridoma-based technology for making rabbit monoclonal antibodies. For details on our patents, please refer to RabMAb® patents.

What are the advantages of a recombinant monoclonal antibody?
This product is a recombinant monoclonal antibody, which offers several advantages including:

  • - High batch-to-batch consistency and reproducibility
  • - Improved sensitivity and specificity
  • - Long-term security of supply
  • - Animal-free batch production

For more information, read more on recombinant antibodies.

Properties and storage information

Form
Liquid
Purification technique
Affinity purification Protein A
Storage buffer
pH: 7.2 - 7.4 Preservative: 0.01% Sodium azide Constituents: PBS, 40% Glycerol (glycerin, glycerine), 0.05% BSA
Shipped at conditions
Blue Ice
Appropriate short-term storage duration
1-2 weeks
Appropriate short-term storage conditions
+4°C
Appropriate long-term storage conditions
-20°C
Aliquoting information
Upon delivery aliquot
Storage information
Avoid freeze / thaw cycle

Supplementary information

This supplementary information is collated from multiple sources and compiled automatically.

SGLT2 also known as sodium-glucose co-transporter 2 is a protein responsible for reabsorbing glucose in the renal proximal convoluted tubule. It carries glucose along with sodium ions across cell membranes enabling glucose reabsorption from the glomerular filtrate back into the bloodstream a process essential for the maintenance of glucose homeostasis. This protein has a molecular weight of approximately 75 kDa. SGLT2 is mostly expressed in the renal epithelial cells located within the kidney's proximal tubule.
Biological function summary

Sodium-glucose co-transporter 2 plays a central role in renal glucose reabsorption. It operates as part of a vital mechanism in the kidney where it engages in the active transport of glucose against its concentration gradient facilitated by the sodium gradient produced by the Na⁺/K⁺-ATPase pump. This transporter ensures minimal loss of glucose in urine maintaining energy balance and blood glucose levels.

Pathways

SGLT2 is involved in glucose and sodium transport pathways critical for glycolytic and gluconeogenic processes. These pathways are key for energy production and glucose homeostasis. It works closely with proteins like GLUT2 which operates in the basolateral membrane of renal tubular cells to further transfer reabsorbed glucose into the bloodstream. Together these proteins form a tightly regulated network that maintains normal blood glucose levels.

SGLT2 has a significant impact on diabetes and cardiovascular disease. Inhibitors of SGLT2 are effective treatments for type 2 diabetes by preventing glucose reabsorption leading to increased glucose excretion through urine and improved glycemic control. The glucose-lowering effect also contributes to reducing risks associated with cardiovascular diseases. In this context SGLT2 interacts with protein targets like insulin where its modulation offers therapeutic efficacy in managing hyperglycemia.

Product protocols

For this product, it's our understanding that no specific protocols are required. You can visit:

Target data

Electrogenic Na(+)-coupled sugar symporter that actively transports D-glucose at the plasma membrane, with a Na(+) to sugar coupling ratio of 1 : 1 (By similarity). Transporter activity is driven by a transmembrane Na(+) electrochemical gradient set by the Na(+)/K(+) pump (By similarity). Unlike SLC5A1/SGLT1, requires the auxiliary protein PDZK1IP1/MAP17 for full transporter activity (By similarity). Has a primary role in D-glucose reabsorption from glomerular filtrate across the brush border of the early proximal tubules of the kidney (PubMed : 20616166).
See full target information Slc5a2

Publications (1)

Recent publications for all applications. Explore the full list and refine your search

The Journal of clinical investigation 134: PubMed39145457

2024

Posttranslationally modified self-peptides promote hypertension in mouse models.

Applications

Unspecified application

Species

Unspecified reactive species

Nathaniel Bloodworth,Wei Chen,Kuniko Hunter,David Patrick,Amy Palubinsky,Elizabeth Phillips,Daniel Roeth,Markus Kalkum,Simon Mallal,Sean Davies,Mingfang Ao,Rocco Moretti,Jens Meiler,David G Harrison
View all publications

Product promise

We are committed to supporting your work with high-quality reagents, and we're here for you every step of the way. In the unlikely event that one of our products does not perform as expected, you're protected by our Product Promise.
For full details, please see our Terms & Conditions

Please note: All products are 'FOR RESEARCH USE ONLY. NOT FOR USE IN DIAGNOSTIC OR THERAPEUTIC PROCEDURES'.

For licensing inquiries, please contact partnerships@abcam.com