JavaScript is disabled in your browser. Please enable JavaScript to view this website.
AB122258

Anti-SGOL2 antibody

Be the first to review this product! Submit a review

|

(2 Publications)

Rabbit Polyclonal SGOL2 antibody. Suitable for IHC-P, ICC/IF and reacts with Human samples. Cited in 2 publications. Immunogen corresponding to Recombinant Fragment Protein within Human SGO2 aa 200-350.

View Alternative Names

SGOL2, SGO2, Shugoshin 2, Shugoshin-2, Shugoshin-like 2, Tripin

2 Images
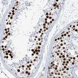
Immunohistochemistry (Formalin/PFA-fixed paraffin-embedded sections) - Anti-SGOL2 antibody (AB122258)
  • IHC-P

Unknown

Immunohistochemistry (Formalin/PFA-fixed paraffin-embedded sections) - Anti-SGOL2 antibody (AB122258)

ab122258, at 1/100, staining SGOL2 in paraffin embedded Human testis tissue by Immunohistochemistry.

Immunocytochemistry/ Immunofluorescence - Anti-SGOL2 antibody (AB122258)
  • ICC/IF

Unknown

Immunocytochemistry/ Immunofluorescence - Anti-SGOL2 antibody (AB122258)

ab122258, at 4 µg/ml, staining SGOL2 in PFA/Triton X-100 fixed/permeabilized A431 cells by Immunofluorescence (green stain).

Key facts

Host species

Rabbit

Clonality

Polyclonal

Isotype

IgG

Carrier free

No

Reacts with

Human

Applications

IHC-P, ICC/IF

applications

Immunogen

Recombinant Fragment Protein within Human SGO2 aa 200-350. The exact immunogen used to generate this antibody is proprietary information.

Q562F6

Reactivity data

{ "title": "Reactivity Data", "filters": { "stats": ["", "Species", "Dilution Info", "Notes"], "tabs": { "all-applications": {"fullname" : "All Applications", "shortname": "All Applications"}, "IHCP" : {"fullname" : "Immunohistochemistry (Formalin/PFA-fixed paraffin-embedded sections)", "shortname":"IHC-P"}, "ICCIF" : {"fullname" : "Immunocytochemistry/ Immunofluorescence", "shortname":"ICC/IF"} }, "product-promise": { "all": "all", "testedAndGuaranteed": "tested", "guaranteed": "expected", "predicted": "predicted", "notRecommended": "not-recommended" } }, "values": { "Human": { "IHCP-species-checked": "testedAndGuaranteed", "IHCP-species-dilution-info": "1/500 - 1/1000", "IHCP-species-notes": "<p></p> Perform heat-mediated antigen retrieval with citrate buffer pH 6 before commencing with IHC staining protocol.", "ICCIF-species-checked": "testedAndGuaranteed", "ICCIF-species-dilution-info": "0.25-2 µg/mL", "ICCIF-species-notes": "<p></p>" } } }

Properties and storage information

Form
Liquid
Purification technique
Affinity purification Immunogen
Storage buffer
pH: 7.2 Preservative: 0.02% Sodium azide Constituents: PBS, 40% Glycerol (glycerin, glycerine)
Shipped at conditions
Blue Ice
Appropriate short-term storage conditions
+4°C
Appropriate long-term storage conditions
-20°C
Aliquoting information
Upon delivery aliquot
Storage information
Avoid freeze / thaw cycle

Supplementary information

This supplementary information is collated from multiple sources and compiled automatically.

SGOL2 also known as Shugoshin-like 2 is a protein that plays an important role in ensuring correct chromosome segregation during cell division. It has a molecular weight of approximately 126 kDa. SGOL2 is mainly expressed in tissues undergoing active cell division. The protein is mainly located in the centrosomes and kinetochores during mitosis where it helps to maintain the cohesion of sister chromatids until they are ready to separate.
Biological function summary

SGOL2 ensures proper mitotic progression by protecting the cohesin complex at centromeres during meiosis. It is an integral part of the chromosomal passenger complex which includes other key proteins like aurora B kinase and inner centromere protein (INCENP). This complex helps regulate chromosome alignment and segregation ensuring each daughter cell receives accurate complements of chromosomes.

Pathways

The cell cycle relies heavily on proteins securing chromatid cohesion like SGOL2. In the anaphase-promoting complex/cyclosome (APC/C) pathway SGOL2 works alongside proteins such as separase and securin. Its protective action on the cohesin complex ensures the orderly progression through the cell cycle and prevents premature sister chromatid separation.

Defective SGOL2 function links closely to errors in chromosome segregation contributing to conditions like aneuploidy and cancer. It has connections with other proteins involved in chromosomal stability such as separase. Understanding SGOL2's role in these disorders could lead to potential therapeutic targets for treating chromosomal instability syndromes a common feature in cancerous cells.

Product protocols

For this product, it's our understanding that no specific protocols are required. You can visit:

Target data

Cooperates with PPP2CA to protect centromeric cohesin from separase-mediated cleavage in oocytes specifically during meiosis I. Has a crucial role in protecting REC8 at centromeres from cleavage by separase. During meiosis, protects centromeric cohesion complexes until metaphase II/anaphase II transition, preventing premature release of meiosis-specific REC8 cohesin complexes from anaphase I centromeres. Is thus essential for an accurate gametogenesis. May act by targeting PPP2CA to centromeres, thus leading to cohesin dephosphorylation (By similarity). Essential for recruiting KIF2C to the inner centromere and for correcting defective kinetochore attachments. Involved in centromeric enrichment of AUKRB in prometaphase.
See full target information SGO2

Publications (2)

Recent publications for all applications. Explore the full list and refine your search

Autophagy 20:1537-1558 PubMed38591519

2024

Alcohol-induced Golgiphagy is triggered by the downregulation of Golgi GTPase RAB3D.

Applications

Unspecified application

Species

Unspecified reactive species

Amanda J Macke,Taylor E Divita,Artem N Pachikov,Sundararajan Mahalingam,Ramesh Bellamkonda,Karuna Rasineni,Carol A Casey,Armen Petrosyan

Biomarker research 10:82 PubMed36380369

2022

SGOL2 is a novel prognostic marker and fosters disease progression via a MAD2-mediated pathway in hepatocellular carcinoma.

Applications

Unspecified application

Species

Unspecified reactive species

Qingqing Hu,Qiuhong Liu,Yalei Zhao,Lingjian Zhang,Lanjuan Li
View all publications

Product promise

We are committed to supporting your work with high-quality reagents, and we're here for you every step of the way. In the unlikely event that one of our products does not perform as expected, you're protected by our Product Promise.
For full details, please see our Terms & Conditions

Please note: All products are 'FOR RESEARCH USE ONLY. NOT FOR USE IN DIAGNOSTIC OR THERAPEUTIC PROCEDURES'.

For licensing inquiries, please contact partnerships@abcam.com