JavaScript is disabled in your browser. Please enable JavaScript to view this website.
AB96029

Anti-SGSH/HSS antibody

Be the first to review this product! Submit a review

|

(2 Publications)

Rabbit Polyclonal SGSH/HSS antibody. Suitable for WB, IHC-P and reacts with Human samples. Cited in 2 publications. Immunogen corresponding to Recombinant Fragment Protein within Human SGSH aa 300-500.

View Alternative Names

HSS, SGSH, N-sulphoglucosamine sulphohydrolase, Sulfoglucosamine sulfamidase, Sulphamidase

2 Images
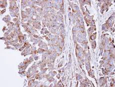
Immunohistochemistry (Formalin/PFA-fixed paraffin-embedded sections) - Anti-SGSH/HSS antibody (AB96029)
  • IHC-P

Unknown

Immunohistochemistry (Formalin/PFA-fixed paraffin-embedded sections) - Anti-SGSH/HSS antibody (AB96029)

Immunohistochemical analysis of formalin fixed paraffin embedded OVCAR3 xenograft, using ab96029 antibody at 1/100 dilution.

Western blot - Anti-SGSH/HSS antibody (AB96029)
  • WB

Unknown

Western blot - Anti-SGSH/HSS antibody (AB96029)

7.5% SDS Page

All lanes:

Western blot - Anti-SGSH/HSS antibody (ab96029) at 1/1000 dilution

All lanes:

Molt-4 whole cell lysate at 30 µg

Predicted band size: 57 kDa

false

Key facts

Host species

Rabbit

Clonality

Polyclonal

Isotype

IgG

Carrier free

No

Reacts with

Human

Applications

IHC-P, WB

applications

Immunogen

Recombinant Fragment Protein within Human SGSH aa 300-500. The exact immunogen used to generate this antibody is proprietary information.

P51688

Reactivity data

{ "title": "Reactivity Data", "filters": { "stats": ["", "Species", "Dilution Info", "Notes"], "tabs": { "all-applications": {"fullname" : "All Applications", "shortname": "All Applications"}, "WB" : {"fullname" : "Western blot", "shortname":"WB"}, "IHCP" : {"fullname" : "Immunohistochemistry (Formalin/PFA-fixed paraffin-embedded sections)", "shortname":"IHC-P"} }, "product-promise": { "all": "all", "testedAndGuaranteed": "tested", "guaranteed": "expected", "predicted": "predicted", "notRecommended": "not-recommended" } }, "values": { "Human": { "WB-species-checked": "testedAndGuaranteed", "WB-species-dilution-info": "1/500 - 1/3000", "WB-species-notes": "<p></p>", "IHCP-species-checked": "testedAndGuaranteed", "IHCP-species-dilution-info": "1/100 - 1/500", "IHCP-species-notes": "<p></p>" } } }

Properties and storage information

Form
Liquid
Purification technique
Affinity purification Immunogen
Storage buffer
pH: 7 Preservative: 0.01% Thimerosal (merthiolate) Constituents: 10% Glycerol (glycerin, glycerine), 1.21% Tris, 0.75% Glycine
Shipped at conditions
Blue Ice
Appropriate short-term storage conditions
+4°C
Appropriate long-term storage conditions
-20°C
Aliquoting information
Upon delivery aliquot
Storage information
Avoid freeze / thaw cycle

Supplementary information

This supplementary information is collated from multiple sources and compiled automatically.

The SGSH protein also known as N-sulfoglucosamine sulfohydrolase or HSS is a lysosomal enzyme with a molecular weight of approximately 56 kDa. It is primarily expressed in tissues with high turnover of glycosaminoglycans especially in the liver and brain. This enzyme localizes inside the lysosomes and plays a significant role in the degradation process of heparan sulfate. SGSH expression is important for maintaining normal cell function particularly in tissues that require constant renewal of extracellular matrix components.
Biological function summary

The enzyme acts to cleave sulfate groups from N-sulfated glucosamine residues in heparan sulfate being an important component of the degradation pathway of glycosaminoglycan. SGSH works within a lysosomal degradation complex alongside other enzymes such as iduronate-2-sulfatase and heparan-alpha-glucosaminide N-acetyltransferase each responsible for different steps in the breakdown of complex carbohydrates. Together they facilitate the complete degradation of heparan sulfate into its basic monosaccharide components.

Pathways

SGSH is integral to lysosomal degradation pathways functioning alongside proteins like alpha-L-iduronidase in the catabolic process of heparan sulfate. This breakdown pathway is essential for recycling cellular components and maintaining cellular homeostasis. The efficiencies and deficiencies in these pathways influence cellular functionality and have regulatory roles in broader metabolic circuits.

Mutations in the SGSH gene lead to Sanfilippo syndrome type IIIA also known as mucopolysaccharidosis type IIIA. This genetic disorder impairs the degradation of heparan sulfate causing an accumulation of glycosaminoglycans in cells leading to neurodegenerative conditions. In Sanfilippo syndrome type IIIA the SGSH deficiency has connections with related lysosomal storage disorders involving proteins like alpha-N-acetylglucosaminidase which further illustrate the importance of coordinated lysosomal activities.

Product protocols

For this product, it's our understanding that no specific protocols are required. You can visit:

Target data

Catalyzes a step in lysosomal heparan sulfate degradation.
See full target information SGSH

Publications (2)

Recent publications for all applications. Explore the full list and refine your search

Molecular therapy : the journal of the American So 23:638-47 PubMed25592334

2015

Broad functional correction of molecular impairments by systemic delivery of scAAVrh74-hSGSH gene delivery in MPS IIIA mice.

Applications

ICC/IF

Species

Unspecified reactive species

F Jason Duncan,Bartholomew J Naughton,Kimberly Zaraspe,Darren A Murrey,Aaron S Meadows,Kelly Reed Clark,David E Newsom,Peter White,Haiyan Fu,Douglas M McCarty

Molecular pharmaceutics 11:2928-34 PubMed24949884

2014

Insulin receptor antibody-sulfamidase fusion protein penetrates the primate blood-brain barrier and reduces glycosoaminoglycans in Sanfilippo type A cells.

Applications

WB

Species

Unspecified reactive species

Ruben J Boado,Jeff Zhiqiang Lu,Eric Ka-Wai Hui,William M Pardridge
View all publications

Product promise

We are committed to supporting your work with high-quality reagents, and we're here for you every step of the way. In the unlikely event that one of our products does not perform as expected, you're protected by our Product Promise.
For full details, please see our Terms & Conditions

Please note: All products are 'FOR RESEARCH USE ONLY. NOT FOR USE IN DIAGNOSTIC OR THERAPEUTIC PROCEDURES'.

For licensing inquiries, please contact partnerships@abcam.com