JavaScript is disabled in your browser. Please enable JavaScript to view this website.
AB202419

Anti-SGTB/SGT2 antibody [EPR17183]

Be the first to review this product! Submit a review

|

(5 Publications)

Rabbit Recombinant Monoclonal SGTB/SGT2 antibody. Suitable for IP, WB, ICC/IF, IHC-P and reacts with Mouse, Rat, Human samples. Cited in 5 publications.

View Alternative Names

SGT2, SGTB, Small glutamine-rich tetratricopeptide repeat-containing protein beta, Beta-SGT, Small glutamine-rich protein with tetratricopeptide repeats 2

9 Images
Immunocytochemistry/ Immunofluorescence - Anti-SGTB/SGT2 antibody [EPR17183] (AB202419)
  • ICC/IF

Supplier Data

Immunocytochemistry/ Immunofluorescence - Anti-SGTB/SGT2 antibody [EPR17183] (AB202419)

Immunofluorescent analysis of 4% paraformaldehyde-fixed 0.1% Triton X-100 permeabilized SH-SY5Y (Human neuroblastoma from bone marrow cells) cells labeling SGTB/SGT2 with ab202419 at 1/100 dilution followed by Goat anti-rabbit IgG (Alexa Fluor® 488) (ab150077) secondary antibody at 1/500 dilution (green). Confocal image showing nuclear and weakly cytoplasmic staining on SH-SY5Y cell line. The nuclear counter stain is DAPI (blue). Tubulin is detected with ab7291 (anti-Tubulin mouse mAb) at 1/1000 dilution and ab150120 (AlexaFluor®594 Goat anti-Mouse secondary) at 1/500 dilution (red).

The negative controls are as follows :
-ve control 1 : ab202419 at 1/100 dilution followed by ab150120 (AlexaFluor®594 Goat anti-Mouse secondary) at 1/500 dilution.
-ve control 2 : ab7291 (anti-Tubulin mouse mAb) at 1/1000 dilution followed by ab150077 (Alexa Fluor®488 Goat Anti-Rabbit IgG H&L) at 1/500 dilution.

Immunocytochemistry/ Immunofluorescence - Anti-SGTB/SGT2 antibody [EPR17183] (AB202419)
  • ICC/IF

Supplier Data

Immunocytochemistry/ Immunofluorescence - Anti-SGTB/SGT2 antibody [EPR17183] (AB202419)

Immunofluorescent analysis of 4% paraformaldehyde-fixed 0.1% Triton X-100 permeabilized U-87 MG (Human glioblastoma-astrocytoma epithelial cell line) cells labeling SGTB/SGT2 with ab202419 at 1/100 dilution followed by Goat anti-rabbit IgG (Alexa Fluor® 488) (ab150077) secondary antibody at 1/500 dilution (green). Confocal image showing nuclear and cytoplasmic staining on U-87 MG cell line. The nuclear counter stain is DAPI (blue). Tubulin is detected with ab7291 (anti-Tubulin mouse mAb) at 1/1000 dilution and ab150120 (AlexaFluor®594 Goat anti-Mouse secondary) at 1/500 dilution (red).

The negative controls are as follows :
-ve control 1 : ab202419 at 1/100 dilution followed by ab150120 (AlexaFluor®594 Goat anti-Mouse secondary) at 1/500 dilution.
-ve control 2 : ab7291 (anti-Tubulin mouse mAb) at 1/1000 dilution followed by ab150077 (Alexa Fluor®488 Goat Anti-Rabbit IgG H&L) at 1/500 dilution.

Immunohistochemistry (Formalin/PFA-fixed paraffin-embedded sections) - Anti-SGTB/SGT2 antibody [EPR17183] (AB202419)
  • IHC-P

Supplier Data

Immunohistochemistry (Formalin/PFA-fixed paraffin-embedded sections) - Anti-SGTB/SGT2 antibody [EPR17183] (AB202419)

Immunohistochemical analysis of paraffin-embedded Human cerebral cortex tissue labeling SGTB/SGT2 with ab202419 at 1/100 dilution followed by Goat Anti-Rabbit IgG H&L (HRP) (ab97051) secondary antibody at 1/500 dilution. Cytoplasmic and nuclear staining on Human cerebral cortex tissue is observed. Counter stained with Hematoxylin.

Secondary antibody only control : Used PBS instead of primary antibody secondary antibody is Goat Anti-Rabbit IgG H&L (HRP) (ab97051) at 1/500 dilution.

Perform heat mediated antigen retrieval with Tris/EDTA buffer pH 9.0 before commencing with IHC staining protocol.

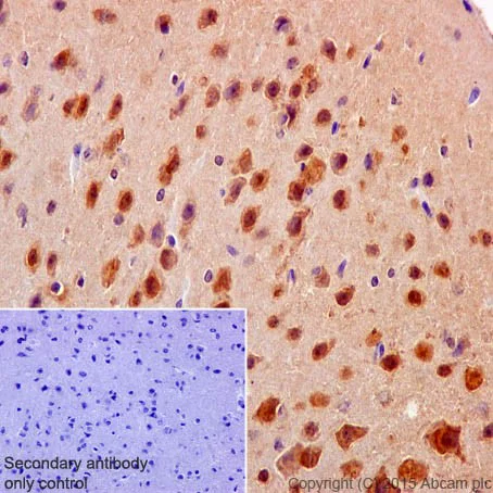
Immunohistochemistry (Formalin/PFA-fixed paraffin-embedded sections) - Anti-SGTB/SGT2 antibody [EPR17183] (AB202419)
  • IHC-P

Supplier Data

Immunohistochemistry (Formalin/PFA-fixed paraffin-embedded sections) - Anti-SGTB/SGT2 antibody [EPR17183] (AB202419)

Immunohistochemical analysis of paraffin-embedded Rat cerebral cortex tissue labeling SGTB/SGT2 with ab202419 at 1/100 dilution followed by Goat Anti-Rabbit IgG H&L (HRP) (ab97051) secondary antibody at 1/500 dilution. Cytoplasmic and nuclear staining on rat cerebral cortex tissue is observed. Counter stained with Hematoxylin.

Secondary antibody only control : Used PBS instead of primary antibody secondary antibody is Goat Anti-Rabbit IgG H&L (HRP) (ab97051) at 1/500 dilution.

Perform heat mediated antigen retrieval with Tris/EDTA buffer pH 9.0 before commencing with IHC staining protocol.

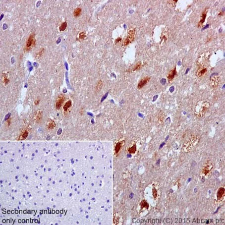
Immunohistochemistry (Formalin/PFA-fixed paraffin-embedded sections) - Anti-SGTB/SGT2 antibody [EPR17183] (AB202419)
  • IHC-P

Supplier Data

Immunohistochemistry (Formalin/PFA-fixed paraffin-embedded sections) - Anti-SGTB/SGT2 antibody [EPR17183] (AB202419)

Immunohistochemical analysis of paraffin-embedded mouse cerebral cortex tissue labeling SGTB/SGT2 with ab202419 at 1/100 dilution followed by Goat Anti-Rabbit IgG H&L (HRP) (ab97051) secondary antibody at 1/500 dilution. Cytoplasmic and nuclear staining on mouse cerebral cortex tissue is observed. Counter stained with Hematoxylin.

Secondary antibody only control : Used PBS instead of primary antibody secondary antibody is Goat Anti-Rabbit IgG H&L (HRP) (ab97051) at 1/500 dilution.

Perform heat mediated antigen retrieval with Tris/EDTA buffer pH 9.0 before commencing with IHC staining protocol.

Immunoprecipitation - Anti-SGTB/SGT2 antibody [EPR17183] (AB202419)
  • IP

Supplier Data

Immunoprecipitation - Anti-SGTB/SGT2 antibody [EPR17183] (AB202419)

SGTB/SGT2 was immunoprecipitated from 1mg of Mouse brain whole cell lysate with ab202419 at 1/40 dilution. Western blot was performed from the immunoprecipitate using ab202419 at 1/1000 dilution. Anti-Rabbit IgG (HRP), specific to the non-reduced form of IgG, was used as secondary antibody at 1/1500 dilution.

Lane 1 : Mouse brain whole cell lysate 10 μg (Input). Lane 2 : ab202419 IP in Mouse brain whole cell lysate. Lane 3 : Rabbit monoclonal IgG (ab172730) instead of ab202419 in Mouse brain whole cell lysate.
Blocking and dilution buffer and concentration : 5% NFDM/TBST.

Exposure time : 1 second.

All lanes:

Immunoprecipitation - Anti-SGTB/SGT2 antibody [EPR17183] (ab202419)

Predicted band size: 33 kDa

false

Western blot - Anti-SGTB/SGT2 antibody [EPR17183] (AB202419)
  • WB

Supplier Data

Western blot - Anti-SGTB/SGT2 antibody [EPR17183] (AB202419)

Blocking/Dilution buffer : 5% NFDM/TBST.

The expression profile observed is consistent with what has been described in the literature PMID : 12878599.

All lanes:

Western blot - Anti-SGTB/SGT2 antibody [EPR17183] (ab202419) at 1/2000 dilution

All lanes:

Human fetal brain lysate at 10 µg

Secondary

All lanes:

Goat Anti-Rabbit IgG, (H+L), Peroxidase conjugated at 1/1000 dilution

Predicted band size: 33 kDa

Observed band size: 37 kDa

false

Exposure time: 3min

Western blot - Anti-SGTB/SGT2 antibody [EPR17183] (AB202419)
  • WB

Supplier Data

Western blot - Anti-SGTB/SGT2 antibody [EPR17183] (AB202419)

Blocking/Dilution buffer : 5% NFDM/TBST.

The expression profile observed is consistent with what has been described in the literature PMID : 12878599.

All lanes:

Western blot - Anti-SGTB/SGT2 antibody [EPR17183] (ab202419) at 1/2000 dilution

All lanes:

HepG2 (Human liver hepatocellular carcinoma) cell lysate at 20 µg

Secondary

All lanes:

Goat Anti-Rabbit IgG, (H+L), Peroxidase conjugated at 1/1000 dilution

Predicted band size: 33 kDa

Observed band size: 37 kDa

false

Exposure time: 3min

Western blot - Anti-SGTB/SGT2 antibody [EPR17183] (AB202419)
  • WB

Supplier Data

Western blot - Anti-SGTB/SGT2 antibody [EPR17183] (AB202419)

Blocking/Dilution buffer : 5% NFDM/TBST.

The expression profile observed is consistent with what has been described in the literature PMID : 12878599.

All lanes:

Western blot - Anti-SGTB/SGT2 antibody [EPR17183] (ab202419) at 1/2000 dilution

Lane 1:

Mouse brain lysate at 10 µg

Lane 2:

Rat brain lysate at 10 µg

Lane 3:

PC-12 (Rat adrenal gland pheochromocytoma) cell lysate at 10 µg

Lane 4:

NIH/3T3 (Mouse embyro fibroblast cells) cell lysate at 10 µg

Secondary

All lanes:

Goat Anti-Rabbit IgG, (H+L), Peroxidase conjugated at 1/1000 dilution

Predicted band size: 33 kDa

Observed band size: 37 kDa

false

Exposure time: 3min

  • Carrier free

    Anti-SGTB/SGT2 antibody [EPR17183] - BSA and Azide free

Key facts

Host species

Rabbit

Clonality

Monoclonal

Clone number

EPR17183

Isotype

IgG

Carrier free

No

Reacts with

Mouse, Rat, Human

Applications

IHC-P, WB, IP, ICC/IF

applications

Immunogen

The exact immunogen used to generate this antibody is proprietary information.

Reactivity data

{ "title": "Reactivity Data", "filters": { "stats": ["", "Species", "Dilution Info", "Notes"], "tabs": { "all-applications": {"fullname" : "All Applications", "shortname": "All Applications"}, "IP" : {"fullname" : "Immunoprecipitation", "shortname":"IP"}, "WB" : {"fullname" : "Western blot", "shortname":"WB"}, "ICCIF" : {"fullname" : "Immunocytochemistry/ Immunofluorescence", "shortname":"ICC/IF"}, "IHCP" : {"fullname" : "Immunohistochemistry (Formalin/PFA-fixed paraffin-embedded sections)", "shortname":"IHC-P"} }, "product-promise": { "all": "all", "testedAndGuaranteed": "tested", "guaranteed": "expected", "predicted": "predicted", "notRecommended": "not-recommended" } }, "values": { "Human": { "IP-species-checked": "guaranteed", "IP-species-dilution-info": "", "IP-species-notes": "", "WB-species-checked": "testedAndGuaranteed", "WB-species-dilution-info": "1/2000", "WB-species-notes": "<p></p>", "ICCIF-species-checked": "testedAndGuaranteed", "ICCIF-species-dilution-info": "1/100", "ICCIF-species-notes": "<p></p>", "IHCP-species-checked": "testedAndGuaranteed", "IHCP-species-dilution-info": "1/100", "IHCP-species-notes": "<p></p>" }, "Mouse": { "IP-species-checked": "testedAndGuaranteed", "IP-species-dilution-info": "1/40", "IP-species-notes": "<p></p>", "WB-species-checked": "testedAndGuaranteed", "WB-species-dilution-info": "1/2000", "WB-species-notes": "<p></p>", "ICCIF-species-checked": "guaranteed", "ICCIF-species-dilution-info": "", "ICCIF-species-notes": "", "IHCP-species-checked": "testedAndGuaranteed", "IHCP-species-dilution-info": "1/100", "IHCP-species-notes": "<p></p>" }, "Rat": { "IP-species-checked": "guaranteed", "IP-species-dilution-info": "", "IP-species-notes": "", "WB-species-checked": "testedAndGuaranteed", "WB-species-dilution-info": "1/2000", "WB-species-notes": "<p></p>", "ICCIF-species-checked": "guaranteed", "ICCIF-species-dilution-info": "", "ICCIF-species-notes": "", "IHCP-species-checked": "testedAndGuaranteed", "IHCP-species-dilution-info": "1/100", "IHCP-species-notes": "<p></p>" } } }

Product details

Patented technology
Our RabMAb® technology is a patented hybridoma-based technology for making rabbit monoclonal antibodies. For details on our patents, please refer to RabMAb® patents.

What are the advantages of a recombinant monoclonal antibody?
This product is a recombinant monoclonal antibody, which offers several advantages including:

  • - High batch-to-batch consistency and reproducibility
  • - Improved sensitivity and specificity
  • - Long-term security of supply
  • - Animal-free batch production

For more information, read more on recombinant antibodies.

Properties and storage information

Form
Liquid
Purification technique
Affinity purification Protein A
Storage buffer
pH: 7.2 - 7.4 Preservative: 0.01% Sodium azide Constituents: PBS, 40% Glycerol (glycerin, glycerine), 0.05% BSA
Shipped at conditions
Blue Ice
Appropriate short-term storage duration
1-2 weeks
Appropriate short-term storage conditions
+4°C
Appropriate long-term storage conditions
-20°C
Aliquoting information
Upon delivery aliquot
Storage information
Avoid freeze / thaw cycle

Supplementary information

This supplementary information is collated from multiple sources and compiled automatically.

SGTB also known as SGT2 is a co-chaperone protein with a molecular weight of approximately 35 kDa. It belongs to the small glutamine-rich tetratricopeptide repeat-containing and β-tubulin folding cofactor family. This protein is expressed in various tissues including the brain and liver. It interacts mechanically with other chaperones by forming complexes with HSP70 and HSP90 assisting in the folding and stabilization of client proteins.
Biological function summary

The co-chaperone activity of SGT2 facilitates essential cellular functions through its interaction with molecular chaperones. This protein plays a significant role in the protein quality control system within the endoplasmic reticulum (ER). SGT2 contributes to the functionality of the ER-associated degradation (ERAD) pathway by recognizing misfolded proteins destined for degradation. Through this action it supports cellular homeostasis and prevents the aggregation of misfolded proteins.

Pathways

SGT2 engages actively in the ERAD and heat shock response pathways. Within these pathways it works closely with chaperones like HSP70 and HSP90 to maintain protein quality control and cellular stress responses. SGT2 regulates the degradation of misfolded proteins which is important in the ERAD pathway for maintaining proteostasis. By coordinating with other co-chaperones SGT2 ensures the transfer of substrates to the ubiquitin-proteasome system therefore facilitating their removal and preventing cellular dysfunction.

SGT2's role in protein degradation links it to neurodegenerative diseases and cancer. In neurodegenerative diseases such as Alzheimer's disease the accumulation of misfolded proteins can result from dysfunctional protein degradation processes where SGT2 plays a role. Similarly alterations in SGT2 function could contribute to cancer as protein misfolding and degradation dysfunctions are often observed in tumor cells. In these disorders SGT2's interaction with chaperones like HSP70 and other components of the degradation pathways may become impaired disrupting cellular function and promoting disease progression.

Product protocols

For this product, it's our understanding that no specific protocols are required. You can visit:

Target data

Co-chaperone that binds directly to HSC70 and HSP70 and regulates their ATPase activity.
See full target information SGTB

Publications (5)

Recent publications for all applications. Explore the full list and refine your search

Annals of gastroenterological surgery 7:666-677 PubMed37416745

2023

Circ_0102543 suppresses hepatocellular carcinoma progression through the miR-942-5p/SGTB axis.

Applications

Unspecified application

Species

Unspecified reactive species

Shiming Yang,Dianye Wang,Rui Zhang

The FEBS journal 290:1134-1150 PubMed36180981

2022

Bioinformatics identification of miR-514b-5p promotes NSCLC progression and induces PI3K/AKT and p38 pathways by targeting small glutamine-rich tetratricopeptide repeat-containing protein beta.

Applications

Unspecified application

Species

Unspecified reactive species

Lin Shi,Jun Kan,Lin Zhuo,Siyun Wang,Shaobing Chen,Bei Zhang,Bin Ke

Histology and histopathology 38:537-547 PubMed35747942

2022

Sevoflurane suppresses hepatocellular carcinoma cell progression via circ_0001649/miR-19a-3p/SGTB axis.

Applications

Unspecified application

Species

Unspecified reactive species

Nai Sun,Jianzhuang Gong,Wei Zhang,Xiaochen Yang,Jiaying Liu

Wound repair and regeneration : official publication of the Wound Healing Society [and] the European Tissue Repair Society 29:495-504 PubMed33721916

2021

LncRNA HOTAIR modulates chondrocyte apoptosis and inflammation in osteoarthritis via regulating miR-1277-5p/SGTB axis.

Applications

Unspecified application

Species

Unspecified reactive species

Baohui Wang,Yindi Sun,Na Liu,Huajian Liu

Cellular signalling 55:100-108 PubMed30639199

2019

SGTb regulates a surface localization of a guidance receptor BOC to promote neurite outgrowth.

Applications

Unspecified application

Species

Unspecified reactive species

Tuan Anh Vuong,Sang-Jin Lee,Young-Eun Leem,Jae-Rin Lee,Gyu-Un Bae,Jong-Sun Kang
View all publications

Product promise

We are committed to supporting your work with high-quality reagents, and we're here for you every step of the way. In the unlikely event that one of our products does not perform as expected, you're protected by our Product Promise.
For full details, please see our Terms & Conditions

Please note: All products are 'FOR RESEARCH USE ONLY. NOT FOR USE IN DIAGNOSTIC OR THERAPEUTIC PROCEDURES'.

For licensing inquiries, please contact partnerships@abcam.com