JavaScript is disabled in your browser. Please enable JavaScript to view this website.
AB251369

Anti-SGTB/SGT2 antibody [EPR17183] - BSA and Azide free

Be the first to review this product! Submit a review

|

(1 Publication)

Rabbit Recombinant Monoclonal SGTB/SGT2 antibody. Carrier free. Suitable for ICC/IF, IP, WB, IHC-P and reacts with Human, Mouse, Rat samples. Cited in 1 publication.

View Alternative Names

SGT2, SGTB, Small glutamine-rich tetratricopeptide repeat-containing protein beta, Beta-SGT, Small glutamine-rich protein with tetratricopeptide repeats 2

9 Images
Immunocytochemistry/ Immunofluorescence - Anti-SGTB/SGT2 antibody [EPR17183] - BSA and Azide free (AB251369)
  • ICC/IF

Supplier Data

Immunocytochemistry/ Immunofluorescence - Anti-SGTB/SGT2 antibody [EPR17183] - BSA and Azide free (AB251369)

This data was developed using ab202419, the same antibody clone in a different buffer formulation.

Immunofluorescent analysis of 4% paraformaldehyde-fixed, 0.1% Triton X-100 permeabilized SH-SY5Y (Human neuroblastoma from bone marrow cells) cells labeling SGTB/SGT2 with ab202419 at 1/100 dilution, followed by Goat anti-rabbit IgG (Alexa Fluor® 488) (ab150077) secondary antibody at 1/500 dilution (green). Confocal image showing nuclear and weakly cytoplasmic staining on SH-SY5Y cell line. The nuclear counter stain is DAPI (blue). Tubulin is detected with ab7291 (anti-Tubulin mouse mAb) at 1/1000 dilution and ab150120 (AlexaFluor®594 Goat anti-Mouse secondary) at 1/500 dilution (red).

The negative controls are as follows :
-ve control 1 : ab202419 at 1/100 dilution followed by ab150120 (AlexaFluor®594 Goat anti-Mouse secondary) at 1/500 dilution.
-ve control 2 : ab7291 (anti-Tubulin mouse mAb) at 1/1000 dilution followed by ab150077 (Alexa Fluor®488 Goat Anti-Rabbit IgG H&L) at 1/500 dilution.

Immunocytochemistry/ Immunofluorescence - Anti-SGTB/SGT2 antibody [EPR17183] - BSA and Azide free (AB251369)
  • ICC/IF

Supplier Data

Immunocytochemistry/ Immunofluorescence - Anti-SGTB/SGT2 antibody [EPR17183] - BSA and Azide free (AB251369)

This data was developed using ab202419, the same antibody clone in a different buffer formulation.

Immunofluorescent analysis of 4% paraformaldehyde-fixed, 0.1% Triton X-100 permeabilized U-87 MG (Human glioblastoma-astrocytoma epithelial cell line) cells labeling SGTB/SGT2 with ab202419 at 1/100 dilution, followed by Goat anti-rabbit IgG (Alexa Fluor® 488) (ab150077) secondary antibody at 1/500 dilution (green). Confocal image showing nuclear and cytoplasmic staining on U-87 MG cell line. The nuclear counter stain is DAPI (blue). Tubulin is detected with ab7291 (anti-Tubulin mouse mAb) at 1/1000 dilution and ab150120 (AlexaFluor®594 Goat anti-Mouse secondary) at 1/500 dilution (red).

The negative controls are as follows :
-ve control 1 : ab202419 at 1/100 dilution followed by ab150120 (AlexaFluor®594 Goat anti-Mouse secondary) at 1/500 dilution.
-ve control 2 : ab7291 (anti-Tubulin mouse mAb) at 1/1000 dilution followed by ab150077 (Alexa Fluor®488 Goat Anti-Rabbit IgG H&L) at 1/500 dilution.

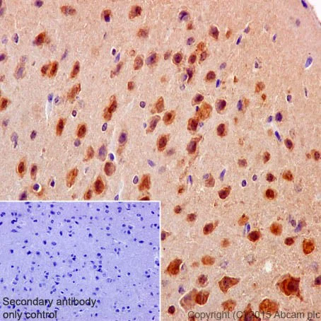
Immunohistochemistry (Formalin/PFA-fixed paraffin-embedded sections) - Anti-SGTB/SGT2 antibody [EPR17183] - BSA and Azide free (AB251369)
  • IHC-P

Supplier Data

Immunohistochemistry (Formalin/PFA-fixed paraffin-embedded sections) - Anti-SGTB/SGT2 antibody [EPR17183] - BSA and Azide free (AB251369)

This data was developed using ab202419, the same antibody clone in a different buffer formulation.

Immunohistochemical analysis of paraffin-embedded Human cerebral cortex tissue labeling SGTB/SGT2 with ab202419 at 1/100 dilution, followed by Goat Anti-Rabbit IgG H&L (HRP) (ab97051) secondary antibody at 1/500 dilution. Cytoplasmic and nuclear staining on Human cerebral cortex tissue is observed. Counter stained with Hematoxylin.

Secondary antibody only control : Used PBS instead of primary antibody, secondary antibody is Goat Anti-Rabbit IgG H&L (HRP) (ab97051) at 1/500 dilution.

Perform heat mediated antigen retrieval with Tris/EDTA buffer pH 9.0 before commencing with IHC staining protocol.

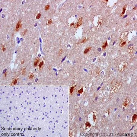
Immunohistochemistry (Formalin/PFA-fixed paraffin-embedded sections) - Anti-SGTB/SGT2 antibody [EPR17183] - BSA and Azide free (AB251369)
  • IHC-P

Supplier Data

Immunohistochemistry (Formalin/PFA-fixed paraffin-embedded sections) - Anti-SGTB/SGT2 antibody [EPR17183] - BSA and Azide free (AB251369)

This data was developed using ab202419, the same antibody clone in a different buffer formulation.

Immunohistochemical analysis of paraffin-embedded Rat cerebral cortex tissue labeling SGTB/SGT2 with ab202419 at 1/100 dilution, followed by Goat Anti-Rabbit IgG H&L (HRP) (ab97051) secondary antibody at 1/500 dilution. Cytoplasmic and nuclear staining on rat cerebral cortex tissue is observed. Counter stained with Hematoxylin.

Secondary antibody only control : Used PBS instead of primary antibody, secondary antibody is Goat Anti-Rabbit IgG H&L (HRP) (ab97051) at 1/500 dilution.

Perform heat mediated antigen retrieval with Tris/EDTA buffer pH 9.0 before commencing with IHC staining protocol.

Immunohistochemistry (Formalin/PFA-fixed paraffin-embedded sections) - Anti-SGTB/SGT2 antibody [EPR17183] - BSA and Azide free (AB251369)
  • IHC-P

Supplier Data

Immunohistochemistry (Formalin/PFA-fixed paraffin-embedded sections) - Anti-SGTB/SGT2 antibody [EPR17183] - BSA and Azide free (AB251369)

This data was developed using ab202419, the same antibody clone in a different buffer formulation.

Immunohistochemical analysis of paraffin-embedded mouse cerebral cortex tissue labeling SGTB/SGT2 with ab202419 at 1/100 dilution, followed by Goat Anti-Rabbit IgG H&L (HRP) (ab97051) secondary antibody at 1/500 dilution. Cytoplasmic and nuclear staining on mouse cerebral cortex tissue is observed. Counter stained with Hematoxylin.

Secondary antibody only control : Used PBS instead of primary antibody, secondary antibody is Goat Anti-Rabbit IgG H&L (HRP) (ab97051) at 1/500 dilution.

Perform heat mediated antigen retrieval with Tris/EDTA buffer pH 9.0 before commencing with IHC staining protocol.

Immunoprecipitation - Anti-SGTB/SGT2 antibody [EPR17183] - BSA and Azide free (AB251369)
  • IP

Supplier Data

Immunoprecipitation - Anti-SGTB/SGT2 antibody [EPR17183] - BSA and Azide free (AB251369)

This data was developed using ab202419, the same antibody clone in a different buffer formulation.

SGTB/SGT2 was immunoprecipitated from 1mg of Mouse brain whole cell lysate with ab202419 at 1/40 dilution. Western blot was performed from the immunoprecipitate using ab202419 at 1/1000 dilution. Anti-Rabbit IgG (HRP), specific to the non-reduced form of IgG, was used as secondary antibody at 1/1500 dilution.

Lane 1 : Mouse brain whole cell lysate 10 μg (Input). Lane 2 : ab202419 IP in Mouse brain whole cell lysate. Lane 3 : Rabbit monoclonal IgG (ab172730) instead of ab202419 in Mouse brain whole cell lysate.
Blocking and dilution buffer and concentration : 5% NFDM/TBST.

Exposure time : 1 second.

All lanes:

Immunoprecipitation - Anti-SGTB/SGT2 antibody [EPR17183] (<a href='/en-us/products/primary-antibodies/sgtb-sgt2-antibody-epr17183-ab202419'>ab202419</a>)

Predicted band size: 33 kDa

false

Western blot - Anti-SGTB/SGT2 antibody [EPR17183] - BSA and Azide free (AB251369)
  • WB

Supplier Data

Western blot - Anti-SGTB/SGT2 antibody [EPR17183] - BSA and Azide free (AB251369)

This data was developed using ab202419, the same antibody clone in a different buffer formulation.

Blocking and dilution buffer : 5% NFDM/TBST.

The expression profile observed is consistent with what has been described in the literature, PMID : 12878599.

All lanes:

Western blot - Anti-SGTB/SGT2 antibody [EPR17183] (<a href='/en-us/products/primary-antibodies/sgtb-sgt2-antibody-epr17183-ab202419'>ab202419</a>) at 1/2000 dilution

All lanes:

Human fetal brain lysate at 10 µg

Secondary

All lanes:

Goat Anti-Rabbit IgG, (H+L), Peroxidase conjugated at 1/1000 dilution

Predicted band size: 33 kDa

Observed band size: 37 kDa

false

Exposure time: 3min

Western blot - Anti-SGTB/SGT2 antibody [EPR17183] - BSA and Azide free (AB251369)
  • WB

Supplier Data

Western blot - Anti-SGTB/SGT2 antibody [EPR17183] - BSA and Azide free (AB251369)

This data was developed using ab202419, the same antibody clone in a different buffer formulation.

Blocking and dilution buffer : 5% NFDM/TBST.

The expression profile observed is consistent with what has been described in the literature, PMID : 12878599.

All lanes:

Western blot - Anti-SGTB/SGT2 antibody [EPR17183] (<a href='/en-us/products/primary-antibodies/sgtb-sgt2-antibody-epr17183-ab202419'>ab202419</a>) at 1/2000 dilution

All lanes:

HepG2 (Human liver hepatocellular carcinoma) cell lysate at 20 µg

Secondary

All lanes:

Goat Anti-Rabbit IgG, (H+L), Peroxidase conjugated at 1/1000 dilution

Predicted band size: 33 kDa

Observed band size: 37 kDa

false

Exposure time: 3min

Western blot - Anti-SGTB/SGT2 antibody [EPR17183] - BSA and Azide free (AB251369)
  • WB

Supplier Data

Western blot - Anti-SGTB/SGT2 antibody [EPR17183] - BSA and Azide free (AB251369)

This data was developed using ab202419, the same antibody clone in a different buffer formulation.

Blocking and dilution buffer : 5% NFDM/TBST.

The expression profile observed is consistent with what has been described in the literature, PMID : 12878599.

All lanes:

Western blot - Anti-SGTB/SGT2 antibody [EPR17183] (<a href='/en-us/products/primary-antibodies/sgtb-sgt2-antibody-epr17183-ab202419'>ab202419</a>) at 1/2000 dilution

Lane 1:

Mouse brain lysate at 10 µg

Lane 2:

Rat brain lysate at 10 µg

Lane 3:

PC-12 (Rat adrenal gland pheochromocytoma) cell lysate at 10 µg

Lane 4:

NIH/3T3 (Mouse embyro fibroblast cells) cell lysate at 10 µg

Secondary

All lanes:

Goat Anti-Rabbit IgG, (H+L), Peroxidase conjugated at 1/1000 dilution

Predicted band size: 33 kDa

Observed band size: 37 kDa

false

Exposure time: 3min

Key facts

Host species

Rabbit

Clonality

Monoclonal

Clone number

EPR17183

Isotype

IgG

Carrier free

Yes

Reacts with

Mouse, Rat, Human

Applications

ICC/IF, IP, IHC-P, WB

applications

Immunogen

The exact immunogen used to generate this antibody is proprietary information.

Reactivity data

{ "title": "Reactivity Data", "filters": { "stats": ["", "Species", "Dilution Info", "Notes"], "tabs": { "all-applications": {"fullname" : "All Applications", "shortname": "All Applications"}, "ICCIF" : {"fullname" : "Immunocytochemistry/ Immunofluorescence", "shortname":"ICC/IF"}, "IP" : {"fullname" : "Immunoprecipitation", "shortname":"IP"}, "WB" : {"fullname" : "Western blot", "shortname":"WB"}, "IHCP" : {"fullname" : "Immunohistochemistry (Formalin/PFA-fixed paraffin-embedded sections)", "shortname":"IHC-P"} }, "product-promise": { "all": "all", "testedAndGuaranteed": "tested", "guaranteed": "expected", "predicted": "predicted", "notRecommended": "not-recommended" } }, "values": { "Human": { "ICCIF-species-checked": "testedAndGuaranteed", "ICCIF-species-dilution-info": "", "ICCIF-species-notes": "<p></p>", "IP-species-checked": "guaranteed", "IP-species-dilution-info": "", "IP-species-notes": "", "WB-species-checked": "testedAndGuaranteed", "WB-species-dilution-info": "", "WB-species-notes": "<p></p>", "IHCP-species-checked": "testedAndGuaranteed", "IHCP-species-dilution-info": "", "IHCP-species-notes": "<p></p>" }, "Mouse": { "ICCIF-species-checked": "guaranteed", "ICCIF-species-dilution-info": "", "ICCIF-species-notes": "", "IP-species-checked": "testedAndGuaranteed", "IP-species-dilution-info": "", "IP-species-notes": "<p></p>", "WB-species-checked": "testedAndGuaranteed", "WB-species-dilution-info": "", "WB-species-notes": "<p></p>", "IHCP-species-checked": "testedAndGuaranteed", "IHCP-species-dilution-info": "", "IHCP-species-notes": "<p></p>" }, "Rat": { "ICCIF-species-checked": "guaranteed", "ICCIF-species-dilution-info": "", "ICCIF-species-notes": "", "IP-species-checked": "guaranteed", "IP-species-dilution-info": "", "IP-species-notes": "", "WB-species-checked": "testedAndGuaranteed", "WB-species-dilution-info": "", "WB-species-notes": "<p></p>", "IHCP-species-checked": "testedAndGuaranteed", "IHCP-species-dilution-info": "", "IHCP-species-notes": "<p></p>" } } }

Product details

ab251369 is the carrier-free version of ab202419.

Patented technology
Our RabMAb® technology is a patented hybridoma-based technology for making rabbit monoclonal antibodies. For details on our patents, please refer to RabMAb® patents.

What are the advantages of a recombinant monoclonal antibody?
This product is a recombinant monoclonal antibody, which offers several advantages including:

  • - High batch-to-batch consistency and reproducibility
  • - Improved sensitivity and specificity
  • - Long-term security of supply
  • - Animal-free batch production

For more information, read more on recombinant antibodies.

Conjugation ready
Our carrier-free antibodies are typically supplied in a PBS-only formulation, purified and free of BSA, sodium azide and glycerol. This conjugation-ready format is designed for use with fluorochromes, metal isotopes, oligonucleotides, and enzymes, which makes them ideal for antibody labelling, functional and cell-based assays, flow-based assays (e.g. mass cytometry) and Multiplex Imaging applications.

Use our conjugation kits for antibody conjugates that are ready-to-use in as little as 20 minutes with 1 minute hands-on-time and 100% antibody recovery: available for fluorescent dyes, HRP, biotin and gold.

Compatibility
This product is compatible with the Maxpar® Antibody Labeling Kit from Fluidigm, without the need for antibody preparation. Maxpar® is a trademark of Fluidigm Canada Inc.

Properties and storage information

Form
Liquid
Purification technique
Affinity purification Protein A
Storage buffer
pH: 7.2 - 7.4 Constituents: PBS
Shipped at conditions
Blue Ice
Appropriate short-term storage conditions
+4°C
Appropriate long-term storage conditions
+4°C
Storage information
Do Not Freeze

Supplementary information

This supplementary information is collated from multiple sources and compiled automatically.

SGTB also known as SGT2 is a co-chaperone protein with a molecular weight of approximately 35 kDa. It belongs to the small glutamine-rich tetratricopeptide repeat-containing and β-tubulin folding cofactor family. This protein is expressed in various tissues including the brain and liver. It interacts mechanically with other chaperones by forming complexes with HSP70 and HSP90 assisting in the folding and stabilization of client proteins.
Biological function summary

The co-chaperone activity of SGT2 facilitates essential cellular functions through its interaction with molecular chaperones. This protein plays a significant role in the protein quality control system within the endoplasmic reticulum (ER). SGT2 contributes to the functionality of the ER-associated degradation (ERAD) pathway by recognizing misfolded proteins destined for degradation. Through this action it supports cellular homeostasis and prevents the aggregation of misfolded proteins.

Pathways

SGT2 engages actively in the ERAD and heat shock response pathways. Within these pathways it works closely with chaperones like HSP70 and HSP90 to maintain protein quality control and cellular stress responses. SGT2 regulates the degradation of misfolded proteins which is important in the ERAD pathway for maintaining proteostasis. By coordinating with other co-chaperones SGT2 ensures the transfer of substrates to the ubiquitin-proteasome system therefore facilitating their removal and preventing cellular dysfunction.

SGT2's role in protein degradation links it to neurodegenerative diseases and cancer. In neurodegenerative diseases such as Alzheimer's disease the accumulation of misfolded proteins can result from dysfunctional protein degradation processes where SGT2 plays a role. Similarly alterations in SGT2 function could contribute to cancer as protein misfolding and degradation dysfunctions are often observed in tumor cells. In these disorders SGT2's interaction with chaperones like HSP70 and other components of the degradation pathways may become impaired disrupting cellular function and promoting disease progression.

Product protocols

For this product, it's our understanding that no specific protocols are required. You can visit:

Target data

Co-chaperone that binds directly to HSC70 and HSP70 and regulates their ATPase activity.
See full target information SGTB

Publications (1)

Recent publications for all applications. Explore the full list and refine your search

Journal of nanobiotechnology 22:800 PubMed39731111

2024

Role of PCBP2 in regulating nanovesicles loaded with curcumin to mitigate neuroferroptosis in neural damage caused by heat stroke.

Applications

Unspecified application

Species

Unspecified reactive species

Fei Guo,Yizhan Wu,Guangjun Wang,Jiangwei Liu
View all publications

Product promise

We are committed to supporting your work with high-quality reagents, and we're here for you every step of the way. In the unlikely event that one of our products does not perform as expected, you're protected by our Product Promise.
For full details, please see our Terms & Conditions

Please note: All products are 'FOR RESEARCH USE ONLY. NOT FOR USE IN DIAGNOSTIC OR THERAPEUTIC PROCEDURES'.

For licensing inquiries, please contact partnerships@abcam.com