JavaScript is disabled in your browser. Please enable JavaScript to view this website.
AB321808

Anti-SH3GL1/Endophilin A2 antibody [EPR29123-74] - BSA and Azide free

  • BOND RX™ Validated
  • Recombinant
  • RabMAb
  • KO Validated
  • What is this?

Be the first to review this product! Submit a review

|

(0 Publication)

Rabbit Recombinant Monoclonal SH3G1 antibody. Carrier free. Suitable for Dot, ICC/IF, WB, IHC-P and reacts with Recombinant fragment - Human, Human samples.

View Alternative Names

CNSA1, SH3D2B, Endophilin-A2, EEN fusion partner of MLL, Endophilin-2, Extra eleven-nineteen leukemia fusion gene protein, SH3 domain protein 2B, SH3 domain-containing GRB2-like protein 1, EEN

9 Images
Immunohistochemistry (Formalin/PFA-fixed paraffin-embedded sections) - Anti-SH3GL1/Endophilin A2 antibody [EPR29123-74] - BSA and Azide free (AB321808)
  • IHC-P

Supplier Data

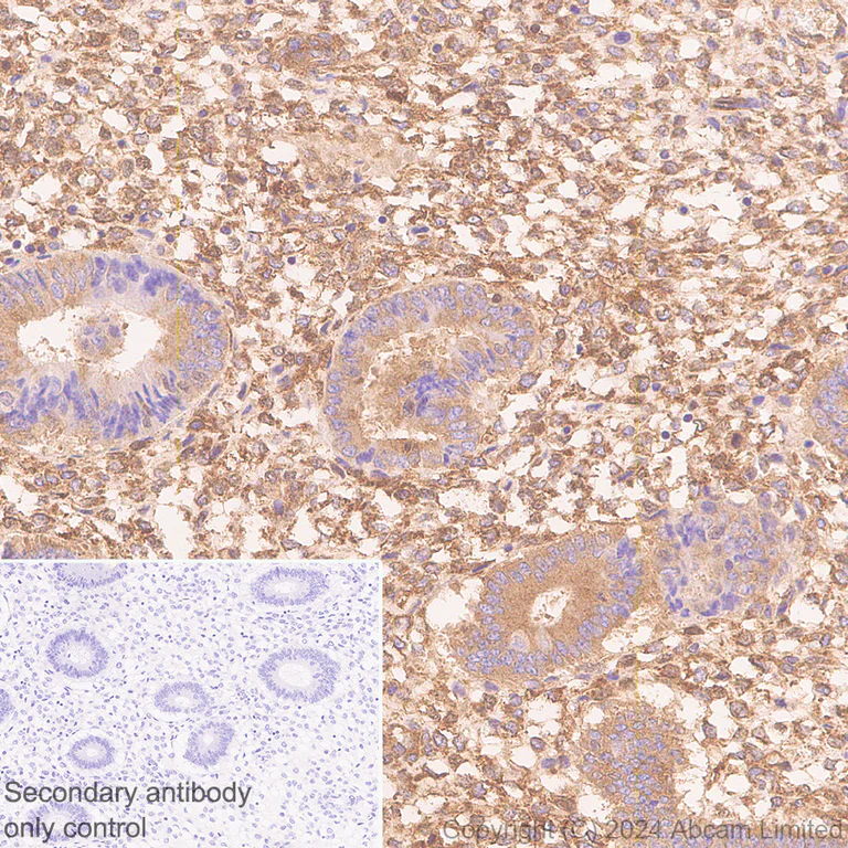
Immunohistochemistry (Formalin/PFA-fixed paraffin-embedded sections) - Anti-SH3GL1/Endophilin A2 antibody [EPR29123-74] - BSA and Azide free (AB321808)

This data was developed using ab321807, the same antibody clone in a different buffer formulation.

Immunohistochemical analysis of paraffin-embedded Human endometrium tissue labeling SH3GL1/Endophilin A2 with ab321807 at 1/1000 (0.509 ug/ml) dilution, followed by a ready to use LeicaDS9800 (Bond™ Polymer Refine Detection).

Positive staining on human endometrium (PMID : 9122235).
The section was incubated with ab321807 for 30 mins at room temperature.
The immunostaining was performed on a Leica Biosystems BOND® RX instrument

Counterstained with Hematoxylin.

Secondary antibody only control : Secondary antibody is a ready to use LeicaDS9800 (Bond™ Polymer Refine Detection).

Heat mediated antigen retrieval was performed with Tris-EDTA buffer (pH 9.0, Epitope Retrieval Solution2) for 20 mins

Immunohistochemistry (Formalin/PFA-fixed paraffin-embedded sections) - Anti-SH3GL1/Endophilin A2 antibody [EPR29123-74] - BSA and Azide free (AB321808)
  • IHC-P

Supplier Data

Immunohistochemistry (Formalin/PFA-fixed paraffin-embedded sections) - Anti-SH3GL1/Endophilin A2 antibody [EPR29123-74] - BSA and Azide free (AB321808)

This data was developed using ab321807, the same antibody clone in a different buffer formulation.

Immunohistochemical analysis of paraffin-embedded Human skeletal muscle tissue labeling SH3GL1/Endophilin A2 with ab321807 at 1/1000 (0.509 ug/ml) dilution, followed by a ready to use LeicaDS9800 (Bond™ Polymer Refine Detection).

Low expression tissue : No staining on human skeletal muscle (PMID : 9238017).
The section was incubated with ab321807 for 30 mins at room temperature.
The immunostaining was performed on a Leica Biosystems BOND® RX instrument

Counterstained with Hematoxylin.

Secondary antibody only control : Secondary antibody is a ready to use LeicaDS9800 (Bond™ Polymer Refine Detection).

Heat mediated antigen retrieval was performed with Tris-EDTA buffer (pH 9.0, Epitope Retrieval Solution2) for 20 mins

Immunohistochemistry (Formalin/PFA-fixed paraffin-embedded sections) - Anti-SH3GL1/Endophilin A2 antibody [EPR29123-74] - BSA and Azide free (AB321808)
  • IHC-P

Supplier Data

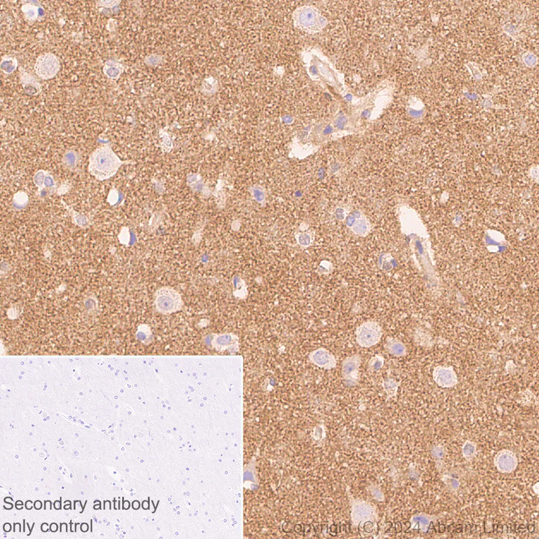
Immunohistochemistry (Formalin/PFA-fixed paraffin-embedded sections) - Anti-SH3GL1/Endophilin A2 antibody [EPR29123-74] - BSA and Azide free (AB321808)

This data was developed using ab321807, the same antibody clone in a different buffer formulation.

Immunohistochemical analysis of paraffin-embedded Human cerebrum tissue labeling SH3GL1/Endophilin A2 with ab321807 at 1/1000 (0.509 ug/ml) dilution, followed by a ready to use LeicaDS9800 (Bond™ Polymer Refine Detection).

Positive staining on human cerebrum (PMID : 23050879).
The section was incubated with ab321807 for 30 mins at room temperature.
The immunostaining was performed on a Leica Biosystems BOND® RX instrument

Counterstained with Hematoxylin.

Secondary antibody only control : Secondary antibody is a ready to use LeicaDS9800 (Bond™ Polymer Refine Detection).

Heat mediated antigen retrieval was performed with Tris-EDTA buffer (pH 9.0, Epitope Retrieval Solution2) for 20 mins

Immunocytochemistry/ Immunofluorescence - Anti-SH3GL1/Endophilin A2 antibody [EPR29123-74] - BSA and Azide free (AB321808)
  • ICC/IF

Supplier Data

Immunocytochemistry/ Immunofluorescence - Anti-SH3GL1/Endophilin A2 antibody [EPR29123-74] - BSA and Azide free (AB321808)

This data was developed using ab321807, the same antibody clone in a different buffer formulation.

Immunofluorescent analysis of 4% Paraformaldehyde-fixed, 0.1% TritonX-100 permeabilized SH3GL1 KO HEK293T (SH3GL1 knockout human embryonic kidney epithelial cell) cells labelling SH3GL1/Endophilin A2 with ab321807 at 1/500 (1.018 ug/ml) dilution, followed by ab150081 Goat Anti-Rabbit IgG H&L (Alexa Fluor® 488) preadsorbed antibody at 1/1000 2 ug/ml dilution (Green).

Confocal image showing cytoplasmic staining in HEK293T cell line (shown in green) and no staining in SH3GL1 KO HEK293T cell line. The counterstain was observed in magenta. Nuclear DNA was labelled with DAPI (shown in blue). Image was taken with a confocal microscope (Leica-Microsystems, TCS SP8).

ab195889 Anti-alpha Tubulin mouse monoclonal antibody - Microtubule Marker (Alexa Fluor® 594) was used to counterstain tubulin at 1/200 2.5ug/ml dilution (Magenta). The Nuclear counterstain was DAPI (Blue).

Secondary antibody only control : Secondary antibody is ab150081 Goat Anti-Rabbit IgG H&L (Alexa Fluor® 488) preadsorbed at 1/1000 2 ug/ml dilution.

Immunohistochemistry (Formalin/PFA-fixed paraffin-embedded sections) - Anti-SH3GL1/Endophilin A2 antibody [EPR29123-74] - BSA and Azide free (AB321808)
  • IHC-P

Supplier Data

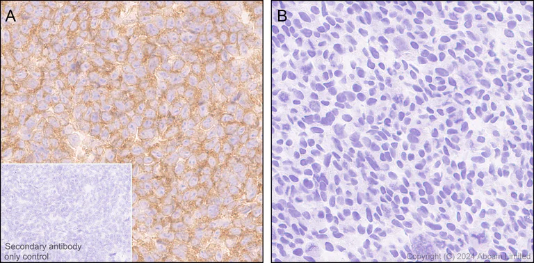
Immunohistochemistry (Formalin/PFA-fixed paraffin-embedded sections) - Anti-SH3GL1/Endophilin A2 antibody [EPR29123-74] - BSA and Azide free (AB321808)

This data was developed using ab321807, the same antibody clone in a different buffer formulation.

Immunohistochemical analysis of paraffin-embedded (A) Wild-type HEK293T (human epithelial cell line from embryonic kidney) cell pellet (B) SH3GL1 knockout HEK293T cell pellet tissue labeling SH3GL1/Endophilin A2 with ab321807 at 1/2000 (0.255 ug/ml) dilution, followed by a ready to use LeicaDS9800 (Bond™ Polymer Refine Detection).

Positive staining on (A) Wild-type HEK293T cell pellet, negative staining on (B) SH3GL1 knockout HEK293T cell pellet.
The section was incubated with ab321807 for 30 mins at room temperature.
The immunostaining was performed on a Leica Biosystems BOND® RX instrument

Counterstained with Hematoxylin.

Secondary antibody only control : Secondary antibody is a ready to use LeicaDS9800 (Bond™ Polymer Refine Detection).

Heat mediated antigen retrieval was performed with Tris-EDTA buffer (pH 9.0, Epitope Retrieval Solution2) for 20 mins

Immunohistochemistry (Formalin/PFA-fixed paraffin-embedded sections) - Anti-SH3GL1/Endophilin A2 antibody [EPR29123-74] - BSA and Azide free (AB321808)
  • IHC-P

Supplier Data

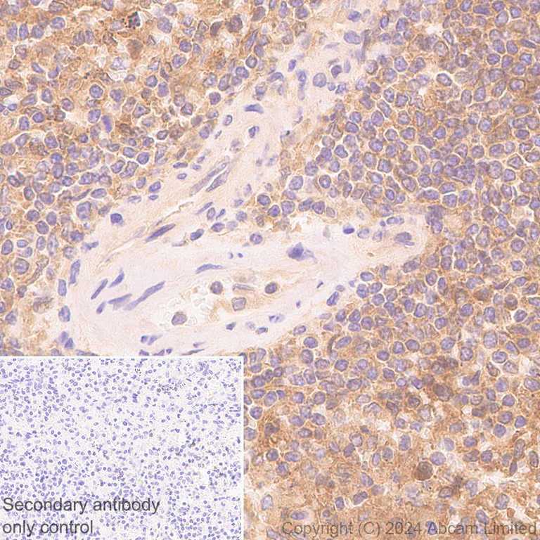
Immunohistochemistry (Formalin/PFA-fixed paraffin-embedded sections) - Anti-SH3GL1/Endophilin A2 antibody [EPR29123-74] - BSA and Azide free (AB321808)

This data was developed using ab321807, the same antibody clone in a different buffer formulation.

Immunohistochemical analysis of paraffin-embedded Human spleen tissue labeling SH3GL1/Endophilin A2 with ab321807 at 1/1000 (0.509 ug/ml) dilution, followed by a ready to use LeicaDS9800 (Bond™ Polymer Refine Detection).

Positive staining on human spleen (PMID : 9122235).
The section was incubated with ab321807 for 30 mins at room temperature.
The immunostaining was performed on a Leica Biosystems BOND® RX instrument

Counterstained with Hematoxylin.

Secondary antibody only control : Secondary antibody is a ready to use LeicaDS9800 (Bond™ Polymer Refine Detection).

Heat mediated antigen retrieval was performed with Tris-EDTA buffer (pH 9.0, Epitope Retrieval Solution2) for 20 mins

Western blot - Anti-SH3GL1/Endophilin A2 antibody [EPR29123-74] - BSA and Azide free (AB321808)
  • WB

Supplier Data

Western blot - Anti-SH3GL1/Endophilin A2 antibody [EPR29123-74] - BSA and Azide free (AB321808)

This data was developed using ab321807, the same antibody clone in a different buffer formulation.

Blocking and diluting buffer and concentration : 5% NFDM/TBST.

Performed under reducing conditions.

In Western blot, ab321807 was shown to bind specifically to SH3GL1. Target of interest was observed at 36 and 48 kDa in wild-type HEK 293T cell lysates (lane 1) with no signal observed at this size in SH3GL1 knockout cell line (ab259109) (lane 2).

In Western blot, Anti-Vinculin antibody [EPR8185] (ab129002) staining at 1/10000 dilution.

All lanes:

Western blot - Anti-SH3GL1/Endophilin A2 antibody [EPR29123-74] (<a href='/en-us/products/primary-antibodies/sh3gl1-endophilin-a2-antibody-epr29123-74-ab321807'>ab321807</a>) at 1/1000 dilution

Lane 1:

Wild-type HEK-293T (human embryonic kidney epithelial cell) whole cell lysate at 20 µg

Lane 2:

SH3GL1 knockout HEK-293T whole cell lysate at 20 µg

Lane 3:

HeLa (human cervical adenocarcinoma epithelial cell) whole cell lysate at 20 µg

Lane 4:

SH-SY5Y (human neuroblastoma epithelial cell) whole lysate at 20 µg

Secondary

All lanes:

Western blot - Goat Anti-Rabbit IgG H&L (HRP) (<a href='/en-us/products/secondary-antibodies/goat-rabbit-igg-h-l-hrp-ab97051'>ab97051</a>) at 1/100000 dilution

Observed band size: 36 kDa,48 kDa,124 kDa

false

Exposure time: 59s

Western blot - Anti-SH3GL1/Endophilin A2 antibody [EPR29123-74] - BSA and Azide free (AB321808)
  • WB

Supplier Data

Western blot - Anti-SH3GL1/Endophilin A2 antibody [EPR29123-74] - BSA and Azide free (AB321808)

This data was developed using ab321807, the same antibody clone in a different buffer formulation.

Blocking and diluting buffer and concentration : 5% NFDM/TBST.

Low expression : Jurkat(PMID : 16990610), skeletal muscle(PMID : 9238017)

lane 1&2 are applied with Goat Anti-Rabbit IgG, (H+L), Peroxidase conjugated (ab97051) at 1/100000 and lanes 3-5 are applied with Goat Anti-Rabbit IgG (HRP) with minimal cross-reactivity with human IgG at 1/2000.

In Western blot, Anti-GAPDH antibody [EPR16891] - Loading Control (ab181602) staining at 1/200000 dilution.

All lanes:

Western blot - Anti-SH3GL1/Endophilin A2 antibody [EPR29123-74] (<a href='/en-us/products/primary-antibodies/sh3gl1-endophilin-a2-antibody-epr29123-74-ab321807'>ab321807</a>) at 1/1000 dilution

Lane 1:

Raji (human burkitts lymphoma b lymphocyte) whole cell lysate at 20 µg

Lane 2:

Jurkat (human T cell leukemia T lymphocyte from peripheral blood) whole cell lysate at 20 µg

Lane 3:

Human breast tissue lysate at 20 µg

Lane 4:

Human colon tissue lysate at 20 µg

Lane 5:

Human skeletal muscle tissue lysate at 20 µg

Secondary

Lanes 1 - 2:

Western blot - Goat Anti-Rabbit IgG H&L (HRP) (<a href='/en-us/products/secondary-antibodies/goat-rabbit-igg-h-l-hrp-ab97051'>ab97051</a>) at 1/100000 dilution

Lanes 3 - 5:

Goat Anti-Rabbit IgG (HRP) with minimal cross-reactivity with human IgG at 1/2000 dilution

Observed band size: 48 kDa,36 kDa

false

Exposure time: 103s

Dot Blot - Anti-SH3GL1/Endophilin A2 antibody [EPR29123-74] - BSA and Azide free (AB321808)
  • Dot

Supplier Data

Dot Blot - Anti-SH3GL1/Endophilin A2 antibody [EPR29123-74] - BSA and Azide free (AB321808)

This data was developed using ab321807, the same antibody clone in a different buffer formulation.

Dot blot analysis of SH3GL1/Endophilin A2 using ab321807 at 1 : 1000 (0.509 ug/ml) followed by a Goat Anti-Rabbit IgG, (H+L), Peroxidase conjugated (ab97051) at 1 : 10,000 dilution.

Lane1 : His-tagged human Endophilin-A1 fragment
Lane2 : His-tagged human Endophilin-A2 fragment
Lane3 : His-tagged human Endophilin-A3 fragment

Exposure time : 180 seconds.

Blocking and diluting buffer and concentration : 5% NFDM/TBST.

This antibody does not cross-react with human SH3GL2 and SH3GL3.

All lanes:

Dot Blot - Anti-SH3GL1/Endophilin A2 antibody [EPR29123-74] (<a href='/en-us/products/primary-antibodies/sh3gl1-endophilin-a2-antibody-epr29123-74-ab321807'>ab321807</a>) at 1/1000 dilution

Lane 1:

His-tagged human SH3GL1 fragment

Lane 2:

His-tagged human SH3GL2 fragment

Lane 3:

His-tagged human SH3GL3 fragment

Secondary

All lanes:

Dot Blot - Goat Anti-Rabbit IgG H&L (HRP) (<a href='/en-us/products/secondary-antibodies/goat-rabbit-igg-h-l-hrp-ab97051'>ab97051</a>) at 1/10000 dilution

false

Exposure time: 180s

Key facts

Host species

Rabbit

Clonality

Monoclonal

Clone number

EPR29123-74

Isotype

IgG

Carrier free

Yes

Reacts with

Human

Applications

WB, ICC/IF, Dot, IHC-P

applications

Immunogen

The exact immunogen used to generate this antibody is proprietary information.

Reactivity data

{ "title": "Reactivity Data", "filters": { "stats": ["", "Species", "Dilution Info", "Notes"], "tabs": { "all-applications": {"fullname" : "All Applications", "shortname": "All Applications"}, "Dot" : {"fullname" : "Dot Blot", "shortname":"Dot"}, "ICCIF" : {"fullname" : "Immunocytochemistry/ Immunofluorescence", "shortname":"ICC/IF"}, "WB" : {"fullname" : "Western blot", "shortname":"WB"}, "IHCP" : {"fullname" : "Immunohistochemistry (Formalin/PFA-fixed paraffin-embedded sections)", "shortname":"IHC-P"}, "IHCFr" : {"fullname" : "Immunohistochemistry (Frozen sections)", "shortname":"IHC-Fr"} }, "product-promise": { "all": "all", "testedAndGuaranteed": "tested", "guaranteed": "expected", "predicted": "predicted", "notRecommended": "not-recommended" } }, "values": { "Human": { "Dot-species-checked": "guaranteed", "Dot-species-dilution-info": "", "Dot-species-notes": "", "ICCIF-species-checked": "testedAndGuaranteed", "ICCIF-species-dilution-info": "", "ICCIF-species-notes": "<p></p>", "WB-species-checked": "testedAndGuaranteed", "WB-species-dilution-info": "", "WB-species-notes": "<p></p>", "IHCP-species-checked": "testedAndGuaranteed", "IHCP-species-dilution-info": "", "IHCP-species-notes": "<p></p> Perform heat-mediated antigen retrieval with Tris/EDTA buffer pH 9.0 before commencing with IHC staining protocol.", "IHCFr-species-checked": "notRecommended", "IHCFr-species-dilution-info": "", "IHCFr-species-notes": "" }, "Mouse": { "Dot-species-checked": "notRecommended", "Dot-species-dilution-info": "", "Dot-species-notes": "", "ICCIF-species-checked": "notRecommended", "ICCIF-species-dilution-info": "", "ICCIF-species-notes": "<p></p>", "WB-species-checked": "notRecommended", "WB-species-dilution-info": "", "WB-species-notes": "<p></p>", "IHCP-species-checked": "notRecommended", "IHCP-species-dilution-info": "", "IHCP-species-notes": "<p></p>", "IHCFr-species-checked": "notRecommended", "IHCFr-species-dilution-info": "", "IHCFr-species-notes": "<p></p>" }, "Recombinant fragment - Human": { "Dot-species-checked": "testedAndGuaranteed", "Dot-species-dilution-info": "", "Dot-species-notes": "<p></p>", "ICCIF-species-checked": "notRecommended", "ICCIF-species-dilution-info": "", "ICCIF-species-notes": "", "WB-species-checked": "notRecommended", "WB-species-dilution-info": "", "WB-species-notes": "", "IHCP-species-checked": "notRecommended", "IHCP-species-dilution-info": "", "IHCP-species-notes": "", "IHCFr-species-checked": "notRecommended", "IHCFr-species-dilution-info": "", "IHCFr-species-notes": "" } } }

Product details

ab321808 is the carrier-free version of ab321807.

Patented technology
Our RabMAb® technology is a patented hybridoma-based technology for making rabbit monoclonal antibodies. For details on our patents, please refer to RabMAb® patents.

What are the advantages of a recombinant monoclonal antibody?
This product is a recombinant monoclonal antibody, which offers several advantages including:

  • - High batch-to-batch consistency and reproducibility
  • - Improved sensitivity and specificity
  • - Long-term security of supply
  • - Animal-free batch production

For more information, read more on recombinant antibodies.

Conjugation ready
Our carrier-free antibodies are typically supplied in a PBS-only formulation, purified and free of BSA, sodium azide and glycerol. This conjugation-ready format is designed for use with fluorochromes, metal isotopes, oligonucleotides, and enzymes, which makes them ideal for antibody labelling, functional and cell-based assays, flow-based assays (e.g. mass cytometry) and Multiplex Imaging applications.

Use our conjugation kits for antibody conjugates that are ready-to-use in as little as 20 minutes with 1 minute hands-on-time and 100% antibody recovery: available for fluorescent dyes, HRP, biotin and gold.

Compatibility
This product is compatible with the Maxpar® Antibody Labeling Kit from Fluidigm, without the need for antibody preparation. Maxpar® is a trademark of Fluidigm Canada Inc.

Properties and storage information

Form
Liquid
Purification technique
Affinity purification Protein A
Storage buffer
pH: 7.2 - 7.4 Constituents: PBS
Shipped at conditions
Blue Ice
Appropriate short-term storage conditions
+4°C
Appropriate long-term storage conditions
+4°C

Supplementary information

This supplementary information is collated from multiple sources and compiled automatically.

SH3GL1 also known as Endophilin A2 is a protein that facilitates membrane curvature during endocytosis through its BAR domain. It weighs approximately 42 kDa. Endophilin A2 is widely expressed in various tissues with notable abundance in the brain. It functions by binding to membrane lipids and interacting with other endocytic proteins. This contributes to the formation of vesicles that ferry molecules into cells vital for nutrient uptake and receptor recycling.
Biological function summary

SH3GL1/Endophilin A2 participates in synaptic vesicle endocytosis a process critical for neurotransmission and proper brain function. It works in association with other proteins in a complex such as dynamin to mediate rapid membrane invagination and fission. By assisting in vesicle formation and release at synaptic terminals it plays a role in maintaining synaptic efficacy and neuronal communication.

Pathways

This protein plays a significant role in the clathrin-mediated endocytosis and synaptic vesicle cycle pathways. In these contexts Endophilin A2 interacts with proteins like clathrin and amphiphysin to enable efficient vesicle budding and release. Its activities connect to the recycling of synaptic vesicles essential for the preservation of synaptic transmission and cell signaling.

SH3GL1/Endophilin A2 associates with neurodegenerative diseases like Alzheimer's disease. Dysfunctional endocytosis resulting from its altered expression or activity can impair synaptic function contributing to disease progression. Other disorders involving this protein include certain types of cancer where its interactions with proteins such as c-Cbl may impact cell proliferation and survival influencing tumorigenesis.

Product protocols

For this product, it's our understanding that no specific protocols are required. You can visit:

Target data

Implicated in endocytosis. May recruit other proteins to membranes with high curvature (By similarity).
See full target information SH3GL1

Product promise

We are committed to supporting your work with high-quality reagents, and we're here for you every step of the way. In the unlikely event that one of our products does not perform as expected, you're protected by our Product Promise.
For full details, please see our Terms & Conditions

Please note: All products are 'FOR RESEARCH USE ONLY. NOT FOR USE IN DIAGNOSTIC OR THERAPEUTIC PROCEDURES'.

For licensing inquiries, please contact partnerships@abcam.com