JavaScript is disabled in your browser. Please enable JavaScript to view this website.
AB313127

Anti-SHANK1 antibody [EPR25143-84]

  • BOND RX™ Validated
  • 20ul selling size
  • RabMAb
  • Recombinant
  • What is this?

Be the first to review this product! Submit a review

|

(0 Publication)

Rabbit Recombinant Monoclonal SHANK1 antibody. Suitable for WB, IHC-P and reacts with Mouse, Rat samples.

View Alternative Names

SH3 and multiple ankyrin repeat domains protein 1, Shank1

3 Images
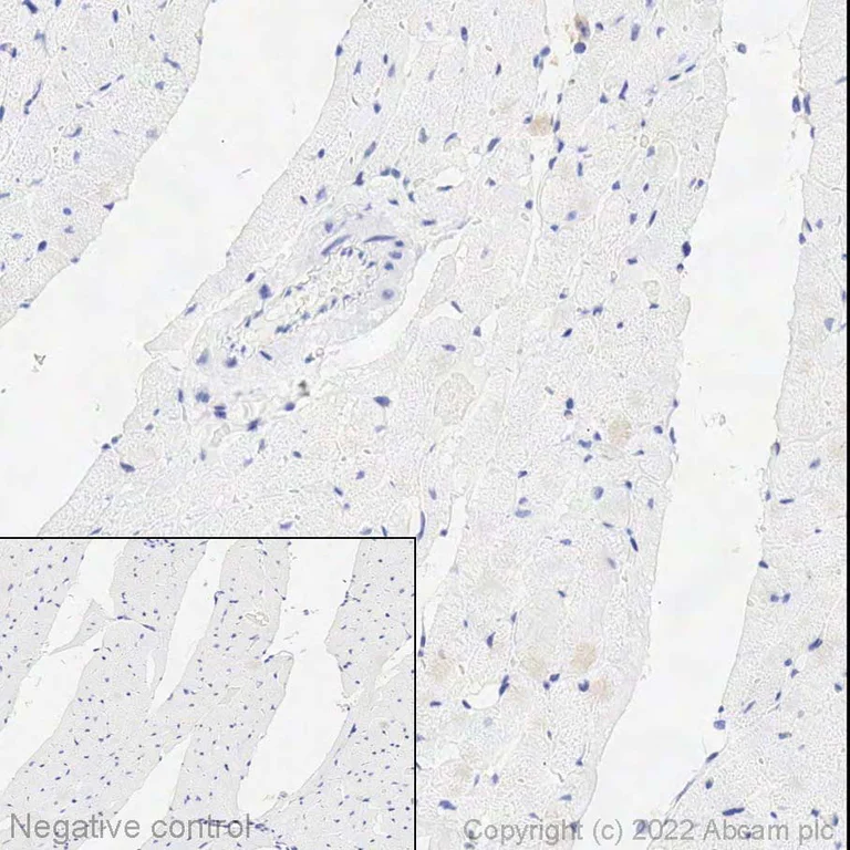
Immunohistochemistry (Formalin/PFA-fixed paraffin-embedded sections) - Anti-SHANK1 antibody [EPR25143-84] (AB313127)
  • IHC-P

Lab

Immunohistochemistry (Formalin/PFA-fixed paraffin-embedded sections) - Anti-SHANK1 antibody [EPR25143-84] (AB313127)

IHC image of SHANK1 staining in a section of formalin-fixed paraffin-embedded normal rat heart. Performed on a Leica BOND. The section was pre-treated using heat mediated antigen retrieval with EDTA buffer (pH9.0) at 100°C for 20 minutes. The section was then incubated with ab313127 (at 1 µg/ml) for 15 mins at room temperature and detected using an HRP conjugated compact polymer.

Negative control : Secondary antibody only.

Hematoxylin was used as a counterstain. For other IHC staining systems (automated and non-automated), customers should optimize variable parameters such as antigen retrieval conditions, antibody concentrations and incubation times.

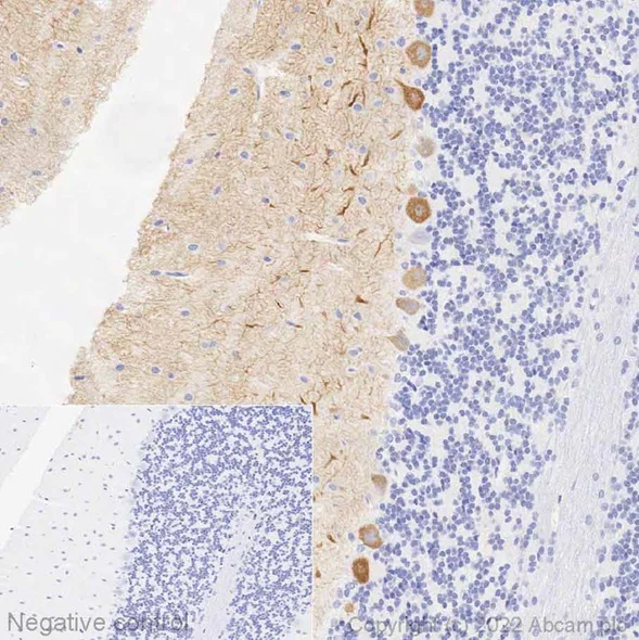
Immunohistochemistry (Formalin/PFA-fixed paraffin-embedded sections) - Anti-SHANK1 antibody [EPR25143-84] (AB313127)
  • IHC-P

Lab

Immunohistochemistry (Formalin/PFA-fixed paraffin-embedded sections) - Anti-SHANK1 antibody [EPR25143-84] (AB313127)

IHC image of SHANK1 staining in a section of formalin-fixed paraffin-embedded normal rat cerebellum. Performed on a Leica BOND. The section was pre-treated using heat mediated antigen retrieval with EDTA buffer (pH9.0) at 100°C for 20 minutes. The section was then incubated with ab313127 (at 0.5 µg/ml) for 15 mins at room temperature and detected using an HRP conjugated compact polymer.

Negative control : Secondary antibody only.

Hematoxylin was used as a counterstain. For other IHC staining systems (automated and non-automated), customers should optimize variable parameters such as antigen retrieval conditions, antibody concentrations and incubation times.

Western blot - Anti-SHANK1 antibody [EPR25143-84] (AB313127)
  • WB

Lab

Western blot - Anti-SHANK1 antibody [EPR25143-84] (AB313127)

ab313127 was shown to specifically react with SHANK1 in mouse and rat brain tissue lysates. Samples were run on an SDS-PAGE gel then transferred onto a nitrocellulose membrane. ab313127 and Anti-alpha Tubulin antibody [DM1A] - Loading Control were incubated overnight at 4°C at 1/1000 and 1 /20000 dilutions, respectively. Blots were developed with Goat anti-Rabbit IgG H&L (IRDye® 800CW) preadsorbed and Goat anti-Mouse IgG H&L (IRDye® 680RD) preadsorbed secondary antibodies at 1/20000 dilution for 1 hour at room temperature before imaging.

All lanes:

Western blot - Anti-SHANK1 antibody [EPR25143-84] (ab313127) at 1/1000 dilution

Lane 1:

Mouse brain tissue lysate at 20 µg

Lane 2:

Rat brain tissue lysate at 20 µg

Lane 3:

Mouse lung tissue lysate at 20 µg

Lane 4:

Rat lung tissue lysate at 20 µg

Secondary

Lanes 1 - 4:

Goat anti-Rabbit IgG H&L (IRDye® 800CW) preadsorbed at 1/20000 dilution

Lanes 1 - 4:

Goat anti-Mouse IgG H&L (IRDye® 680RD) preadsorbed at 1/20000 dilution

Observed band size: 253 kDa,50 kDa

false

  • Carrier free

    Anti-SHANK1 antibody [EPR25143-84] - BSA and Azide free

Key facts

Host species

Rabbit

Clonality

Monoclonal

Clone number

R25143-84

Isotype

IgG

Carrier free

No

Reacts with

Mouse, Rat

Applications

WB, IHC-P

applications

Immunogen

The exact immunogen used to generate this antibody is proprietary information.

Reactivity data

{ "title": "Reactivity Data", "filters": { "stats": ["", "Species", "Dilution Info", "Notes"], "tabs": { "all-applications": {"fullname" : "All Applications", "shortname": "All Applications"}, "WB" : {"fullname" : "Western blot", "shortname":"WB"}, "IHCP" : {"fullname" : "Immunohistochemistry (Formalin/PFA-fixed paraffin-embedded sections)", "shortname":"IHC-P"} }, "product-promise": { "all": "all", "testedAndGuaranteed": "tested", "guaranteed": "expected", "predicted": "predicted", "notRecommended": "not-recommended" } }, "values": { "Mouse": { "WB-species-checked": "testedAndGuaranteed", "WB-species-dilution-info": "1/1000", "WB-species-notes": "<p></p>", "IHCP-species-checked": "guaranteed", "IHCP-species-dilution-info": "", "IHCP-species-notes": "" }, "Rat": { "WB-species-checked": "testedAndGuaranteed", "WB-species-dilution-info": "1/1000", "WB-species-notes": "<p></p>", "IHCP-species-checked": "testedAndGuaranteed", "IHCP-species-dilution-info": "0.5-1 µg/mL", "IHCP-species-notes": "<p></p> Perform heat-mediated antigen retrieval with Tris/EDTA buffer pH 9.0 before commencing with IHC staining protocol." } } }

Product details

Patented technology
Our RabMAb® technology is a patented hybridoma-based technology for making rabbit monoclonal antibodies. For details on our patents, please refer to RabMAb® patents.

What are the advantages of a recombinant monoclonal antibody?
This product is a recombinant monoclonal antibody, which offers several advantages including:

  • - High batch-to-batch consistency and reproducibility
  • - Improved sensitivity and specificity
  • - Long-term security of supply
  • - Animal-free batch production

For more information, read more on recombinant antibodies.

Properties and storage information

Form
Liquid
Purification technique
Affinity purification Protein A
Storage buffer
pH: 7.2 - 7.4 Preservative: 0.01% Sodium azide Constituents: PBS, 40% Glycerol (glycerin, glycerine), 0.05% BSA
Shipped at conditions
Blue Ice
Appropriate short-term storage duration
1-2 weeks
Appropriate short-term storage conditions
+4°C
Appropriate long-term storage conditions
-20°C
Aliquoting information
Upon delivery aliquot
Storage information
Avoid freeze / thaw cycle

Supplementary information

This supplementary information is collated from multiple sources and compiled automatically.

SHANK1 also known as SH3 and multiple ankyrin repeat domains protein 1 plays an important role in the structural organization of synapses. It is a scaffold protein found in postsynaptic density where it interacts with other molecules to maintain synaptic architecture. The protein has a molecular mass of approximately 240 kDa. Expression of SHANK1 is most abundant in the brain especially in the hippocampus and cortex where it is essential for establishing and stabilizing synaptic connections during neuronal development.
Biological function summary

SHANK1 participates in the formation of macromolecular complexes that are critical for synaptic signaling and plasticity. It forms complexes with other postsynaptic proteins including PSD-95 and Homer which together coordinate the organization of synaptic receptors and signaling molecules. This interaction determines synaptic strength and plays a role in the modulation of synaptic transmission influencing the communication between neurons.

Pathways

SHANK1 is involved in the glutamatergic synaptic transmission pathway which is important for neural communication and cognitive functions such as learning and memory. Through this pathway SHANK1 interacts with NMDA receptors and mGluR receptors facilitating the propagation of excitatory signals. It also connects with proteins like SAPAP and cortactin which help stabilize the synaptic complex influencing cytoskeletal dynamics and synaptic plasticity.

SHANK1 has been implicated in autism spectrum disorders and schizophrenia where disrupted synaptic signaling plays an important role. Mutations in SHANK1 or its regulatory interactions can lead to altered neuronal connectivity and synaptic function which contribute to the pathology of these conditions. The protein's interaction with SHANK3 and other synaptic proteins like neuroligin emphasizes its role in synaptic disorders as these partners also participate in maintaining synaptic structure and function.

Product protocols

For this product, it's our understanding that no specific protocols are required. You can visit:

Target data

Seems to be an adapter protein in the postsynaptic density (PSD) of excitatory synapses that interconnects receptors of the postsynaptic membrane including NMDA-type and metabotropic glutamate receptors, and the actin-based cytoskeleton. Plays a role in the structural and functional organization of the dendritic spine and synaptic junction. Overexpression promotes maturation of dendritic spines and the enlargement of spine heads via its ability to recruit Homer to postsynaptic sites, and enhances presynaptic function (By similarity).
See full target information Shank1

Product promise

We are committed to supporting your work with high-quality reagents, and we're here for you every step of the way. In the unlikely event that one of our products does not perform as expected, you're protected by our Product Promise.
For full details, please see our Terms & Conditions

Please note: All products are 'FOR RESEARCH USE ONLY. NOT FOR USE IN DIAGNOSTIC OR THERAPEUTIC PROCEDURES'.

For licensing inquiries, please contact partnerships@abcam.com