JavaScript is disabled in your browser. Please enable JavaScript to view this website.
AB317608

Anti-SHANK1 + SHANK2 + SHANK3 antibody [EPR26549-87]

  • BOND RX™ Validated
  • 20ul selling size
  • Recombinant
  • RabMAb
  • What is this?

Be the first to review this product! Submit a review

|

(0 Publication)

Rabbit Recombinant Monoclonal SHANK2 antibody. Suitable for WB, IHC-Fr, Flow Cyt (Intra), IHC-P and reacts with Recombinant fragment - Human, Human, Mouse, Rat samples.

View Alternative Names

CORTBP1, KIAA1022, PROSAP1, SH3 and multiple ankyrin repeat domains protein 2, Shank2, Cortactin-binding protein 1, Proline-rich synapse-associated protein 1, CortBP1

15 Images
Flow Cytometry (Intracellular) - Anti-SHANK1 + SHANK2 + SHANK3 antibody [EPR26549-87] (AB317608)
  • Flow Cyt (Intra)

Supplier Data

Flow Cytometry (Intracellular) - Anti-SHANK1 + SHANK2 + SHANK3 antibody [EPR26549-87] (AB317608)

Flow cytometric analysis of 4% paraformaldehyde fixed 90% methanol permeabilized T-47D (human ductal breast epithelial tumor epithelial cell) (Right) / 293T (human embryonic kidney epithelial cell) (Left) cells labelling SHANK1 + SHANK2 + SHANK3 with ab317608 at 1/500 dilution (0.1ug)/Red (Red) compared with a Rabbit monoclonal IgG (ab172730) (Black) isotype control and an unlabelled control (cells without incubation with primary antibody and secondary antibody) (Blue).

Goat Anti-Rabbit IgG (Alexa Fluor® 488, ab150081) at 1/5000 dilution was used as the secondary antibody.

Low expression : 293T (PMID : 32661924)

Immunohistochemistry (Formalin/PFA-fixed paraffin-embedded sections) - Anti-SHANK1 + SHANK2 + SHANK3 antibody [EPR26549-87] (AB317608)
  • IHC-P

Supplier Data

Immunohistochemistry (Formalin/PFA-fixed paraffin-embedded sections) - Anti-SHANK1 + SHANK2 + SHANK3 antibody [EPR26549-87] (AB317608)

Immunohistochemical analysis of paraffin-embedded Mouse hippocampus tissue labeling SHANK1 + SHANK2 + SHANK3 with ab317608 at 1/100 (4.75 ug/ml) dilution, followed by a ready to use Rabbit specific IHC polymer detection kit HRP/DAB (ab209101).

Positive staining in mouse hippocampus (PMID : 27581745). The section was incubated with ab317608 for 30 mins at room temperature. The immunostaining was performed on a Leica Biosystems BOND® RX instrument.

Counterstained with Hematoxylin.

Secondary antibody only control : Secondary antibody is a ready to use Rabbit specific IHC polymer detection kit HRP/DAB (ab209101).

Heat mediated antigen retrieval with Tris-EDTA buffer (pH 9.0, epitope retrieval solution2) for 20 mins

Immunohistochemistry (Formalin/PFA-fixed paraffin-embedded sections) - Anti-SHANK1 + SHANK2 + SHANK3 antibody [EPR26549-87] (AB317608)
  • IHC-P

Supplier Data

Immunohistochemistry (Formalin/PFA-fixed paraffin-embedded sections) - Anti-SHANK1 + SHANK2 + SHANK3 antibody [EPR26549-87] (AB317608)

Immunohistochemical analysis of paraffin-embedded Rat cerebellum tissue labeling SHANK1 + SHANK2 + SHANK3 with ab317608 at 1/100 (4.75 ug/ml) dilution, followed by a ready to use Rabbit specific IHC polymer detection kit HRP/DAB (ab209101).

Positive staining in rat cerebellum (PMID : 27581745). The section was incubated with ab317608 for 30 mins at room temperature. The immunostaining was performed on a Leica Biosystems BOND® RX instrument.

Counterstained with Hematoxylin.

Secondary antibody only control : Secondary antibody is a ready to use Rabbit specific IHC polymer detection kit HRP/DAB (ab209101).

Heat mediated antigen retrieval with Tris-EDTA buffer (pH 9.0, epitope retrieval solution2) for 20 mins

Immunohistochemistry (Formalin/PFA-fixed paraffin-embedded sections) - Anti-SHANK1 + SHANK2 + SHANK3 antibody [EPR26549-87] (AB317608)
  • IHC-P

Supplier Data

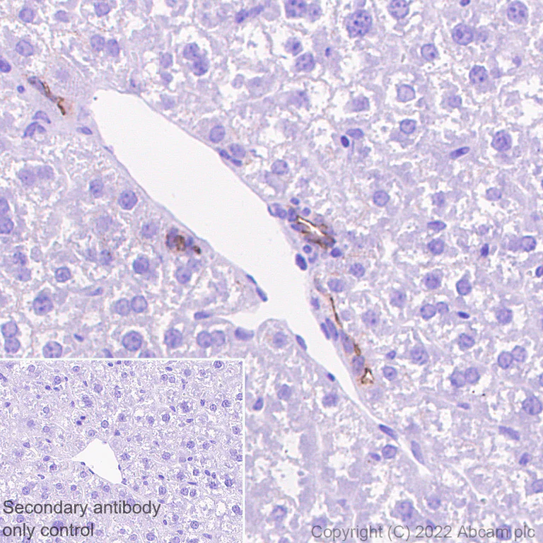
Immunohistochemistry (Formalin/PFA-fixed paraffin-embedded sections) - Anti-SHANK1 + SHANK2 + SHANK3 antibody [EPR26549-87] (AB317608)

Immunohistochemical analysis of paraffin-embedded Mouse liver tissue labeling SHANK1 + SHANK2 + SHANK3 with ab317608 at 1/100 (4.75 ug/ml) dilution, followed by a ready to use Rabbit specific IHC polymer detection kit HRP/DAB (ab209101).

Positive staining on cholangiocytes in mouse liver (PMID : 14977424). The section was incubated with ab317608 for 30 mins at room temperature. The immunostaining was performed on a Leica Biosystems BOND® RX instrument.

Counterstained with Hematoxylin.

Secondary antibody only control : Secondary antibody is a ready to use Rabbit specific IHC polymer detection kit HRP/DAB (ab209101).

Heat mediated antigen retrieval with Tris-EDTA buffer (pH 9.0, epitope retrieval solution2) for 20 mins

Immunohistochemistry (Formalin/PFA-fixed paraffin-embedded sections) - Anti-SHANK1 + SHANK2 + SHANK3 antibody [EPR26549-87] (AB317608)
  • IHC-P

Supplier Data

Immunohistochemistry (Formalin/PFA-fixed paraffin-embedded sections) - Anti-SHANK1 + SHANK2 + SHANK3 antibody [EPR26549-87] (AB317608)

Immunohistochemical analysis of paraffin-embedded Rat liver tissue labeling SHANK1 + SHANK2 + SHANK3 with ab317608 at 1/100 (4.75 ug/ml) dilution, followed by a ready to use Rabbit specific IHC polymer detection kit HRP/DAB (ab209101).

Positive staining on cholangiocytes in rat liver (PMID : 14977424). The section was incubated with ab317608 for 30 mins at room temperature. The immunostaining was performed on a Leica Biosystems BOND® RX instrument.

Counterstained with Hematoxylin.

Secondary antibody only control : Secondary antibody is a ready to use Rabbit specific IHC polymer detection kit HRP/DAB (ab209101).

Heat mediated antigen retrieval with Tris-EDTA buffer (pH 9.0, epitope retrieval solution2) for 20 mins

Flow Cytometry (Intracellular) - Anti-SHANK1 + SHANK2 + SHANK3 antibody [EPR26549-87] (AB317608)
  • Flow Cyt (Intra)

Supplier Data

Flow Cytometry (Intracellular) - Anti-SHANK1 + SHANK2 + SHANK3 antibody [EPR26549-87] (AB317608)

Flow cytometric analysis of 4% paraformaldehyde fixed 90% methanol permeabilized Mouse primary neuron cells labelling SHANK1 + SHANK2 + SHANK3 with ab317608 at 1/500 dilution (0.1ug)/right (Red) compared with a Rabbit monoclonal IgG (ab172730) / Left isotype control and an unlabelled control (cells without incubation with primary antibody and secondary antibody) (Blue).

Goat Anti-Rabbit IgG (Alexa Fluor® 488, ab150081) at 1/5000 dilution was used as the secondary antibody.

Immunohistochemistry (Formalin/PFA-fixed paraffin-embedded sections) - Anti-SHANK1 + SHANK2 + SHANK3 antibody [EPR26549-87] (AB317608)
  • IHC-P

Supplier Data

Immunohistochemistry (Formalin/PFA-fixed paraffin-embedded sections) - Anti-SHANK1 + SHANK2 + SHANK3 antibody [EPR26549-87] (AB317608)

Immunohistochemical analysis of paraffin-embedded Rat skeletal muscle tissue labeling SHANK1 + SHANK2 + SHANK3 with ab317608 at 1/100 (4.75 ug/ml) dilution, followed by a ready to use Rabbit specific IHC polymer detection kit HRP/DAB (ab209101).

Negative control : No staining on rat skeletal muscle (PMID : 10506216). The section was incubated with ab317608 for 30 mins at room temperature. The immunostaining was performed on a Leica Biosystems BOND® RX instrument.

Counterstained with Hematoxylin.

Secondary antibody only control : Secondary antibody is a ready to use Rabbit specific IHC polymer detection kit HRP/DAB (ab209101).

Heat mediated antigen retrieval with Tris-EDTA buffer (pH 9.0, epitope retrieval solution2) for 20 mins

Immunohistochemistry (Formalin/PFA-fixed paraffin-embedded sections) - Anti-SHANK1 + SHANK2 + SHANK3 antibody [EPR26549-87] (AB317608)
  • IHC-P

Supplier Data

Immunohistochemistry (Formalin/PFA-fixed paraffin-embedded sections) - Anti-SHANK1 + SHANK2 + SHANK3 antibody [EPR26549-87] (AB317608)

Immunohistochemical analysis of paraffin-embedded Mouse skeletal muscle tissue labeling SHANK1 + SHANK2 + SHANK3 with ab317608 at 1/100 (4.75 ug/ml) dilution, followed by a ready to use Rabbit specific IHC polymer detection kit HRP/DAB (ab209101).

Negative control : No staining on mouse skeletal muscle (PMID : 10506216). The section was incubated with ab317608 for 30 mins at room temperature. The immunostaining was performed on a Leica Biosystems BOND® RX instrument.

Counterstained with Hematoxylin.

Secondary antibody only control : Secondary antibody is a ready to use Rabbit specific IHC polymer detection kit HRP/DAB (ab209101).

Heat mediated antigen retrieval with Tris-EDTA buffer (pH 9.0, epitope retrieval solution2) for 20 mins

Immunohistochemistry (Frozen sections) - Anti-SHANK1 + SHANK2 + SHANK3 antibody [EPR26549-87] (AB317608)
  • IHC-Fr

Supplier Data

Immunohistochemistry (Frozen sections) - Anti-SHANK1 + SHANK2 + SHANK3 antibody [EPR26549-87] (AB317608)

Immunohistochemical analysis of 4% PFA-fixed, 0.2% Triton X-100 permeabilized frozen Mouse skeletal muscle (fresh frozen) tissue labeling SHANK1 + SHANK2 + SHANK3 with ab317608 at 1/100 (4.75 ug/ml) dilution followed by ab150081 Goat Anti-Rabbit IgG H&L (Alexa Fluor® 488) preadsorbed at 1/1000 2 ug/mL dilution (Green).

Negative control : confocal image showing no staining on mouse skeletal muscle. The nuclear counterstain was DAPI (Blue). The section was incubated with ab317608 for 60 mins at room temperature. The section was then mounted using Fluoromount®.The immunostaining was performed on a Leica Biosystems BOND® RX instrument. Image was taken with a confocal microscope (Leica-Microsystems, TCS SP8).

Secondary antibody control : Secondary antibody is ab150081 Goat Anti-Rabbit IgG H&L (Alexa Fluor® 488) preadsorbedat 1/1000 2 ug/mL dilution.

Flow Cytometry (Intracellular) - Anti-SHANK1 + SHANK2 + SHANK3 antibody [EPR26549-87] (AB317608)
  • Flow Cyt (Intra)

Supplier Data

Flow Cytometry (Intracellular) - Anti-SHANK1 + SHANK2 + SHANK3 antibody [EPR26549-87] (AB317608)

Flow cytometric analysis of 4% paraformaldehyde fixed 90% methanol permeabilized Mouse spleen cell cells labelling SHANK1 + SHANK2 + SHANK3 with ab317608 at 1/500 dilution (0.1ug)/right (Red) compared with a Rabbit monoclonal IgG (ab172730) / Left isotype control and an unlabelled control (cells without incubation with primary antibody and secondary antibody) (Blue).

Goat Anti-Rabbit IgG (Alexa Fluor® 488, ab150081) at 1/5000 dilution was used as the secondary antibody.

Negative control : mouse spleen cell.

Immunohistochemistry (Frozen sections) - Anti-SHANK1 + SHANK2 + SHANK3 antibody [EPR26549-87] (AB317608)
  • IHC-Fr

Supplier Data

Immunohistochemistry (Frozen sections) - Anti-SHANK1 + SHANK2 + SHANK3 antibody [EPR26549-87] (AB317608)

Immunohistochemical analysis of 4% PFA-fixed, 0.2% Triton X-100 permeabilized frozen Mouse hippocampus (fresh frozen) tissue labeling SHANK1 + SHANK2 + SHANK3 with ab317608 at 1/100 (4.75 ug/ml) dilution followed by ab150081 Goat Anti-Rabbit IgG H&L (Alexa Fluor® 488) preadsorbed at 1/1000 2 ug/mL dilution (Green).

Confocal image showing positive staining on mouse hippocampus. The nuclear counterstain was DAPI (Blue). The section was incubated with ab317608 for 60 mins at room temperature. The section was then mounted using Fluoromount®.The immunostaining was performed on a Leica Biosystems BOND® RX instrument. Image was taken with a confocal microscope (Leica-Microsystems, TCS SP8).

Secondary antibody control : Secondary antibody is ab150081 Goat Anti-Rabbit IgG H&L (Alexa Fluor® 488) preadsorbedat 1/1000 2 ug/mL dilution.

Western blot - Anti-SHANK1 + SHANK2 + SHANK3 antibody [EPR26549-87] (AB317608)
  • WB

Supplier Data

Western blot - Anti-SHANK1 + SHANK2 + SHANK3 antibody [EPR26549-87] (AB317608)

This antibody can recognize human SHANK1, SHANK2 and SHANK3. .

In Western blot, Anti-6X His tag® antibody [EPR20547] - ChIP Grade (ab213204) staining at 1/5000 dilution.

All lanes:

Western blot - Anti-SHANK1 + SHANK2 + SHANK3 antibody [EPR26549-87] (ab317608) at 1/1000 dilution

Lane 1:

His-tagged human SHANK2 recombinant fragment at 10 ng

Lane 2:

His-tagged human SHANK1 recombinant fragment at 10 ng

Lane 3:

His-tagged human SHANK3 recombinant fragment at 10 ng

Secondary

All lanes:

Western blot - Goat Anti-Rabbit IgG H&L (HRP) (<a href='/en-us/products/secondary-antibodies/goat-rabbit-igg-h-l-hrp-ab97051'>ab97051</a>) at 1/100000 dilution

Observed band size: 26 kDa

false

Exposure time: 125s

Western blot - Anti-SHANK1 + SHANK2 + SHANK3 antibody [EPR26549-87] (AB317608)
  • WB

Supplier Data

Western blot - Anti-SHANK1 + SHANK2 + SHANK3 antibody [EPR26549-87] (AB317608)

Negative control : skeletal muscle (PMID : 10506216; PMID : 22346768).

The expression profile/ molecular weight observed is consistent with what has been described in the literature (PMID : 10506216). The bands beneath the target band (180-240 kDa) are likely to be degraded target fragments.

In Western blot, Anti-Vinculin antibody [EPR8185] (ab129002) staining at 1/10000 dilution.

All lanes:

Western blot - Anti-SHANK1 + SHANK2 + SHANK3 antibody [EPR26549-87] (ab317608) at 1/1000 dilution

Lane 1:

Human hippocampus tissue lysate at 20 µg

Lane 2:

Human skeletal muscle tissue lysate at 20 µg

Secondary

All lanes:

Western blot - Goat Anti-Rabbit IgG H&L (HRP) (<a href='/en-us/products/secondary-antibodies/goat-rabbit-igg-h-l-hrp-ab97051'>ab97051</a>) at 1/200000 dilution

Observed band size: 180-240 kDa,124 kDa

false

Exposure time: 180s

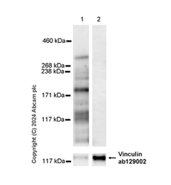
Western blot - Anti-SHANK1 + SHANK2 + SHANK3 antibody [EPR26549-87] (AB317608)
  • WB

Supplier Data

Western blot - Anti-SHANK1 + SHANK2 + SHANK3 antibody [EPR26549-87] (AB317608)

Low expression : 293T (PMID : 32661924).

The molecular weight observed is consistent with what has been described in the literature (PMID : 10506216). The bands beneath the target band (180-270 kDa) are likely to be degraded target fragments.

In Western blot, Anti-Vinculin antibody [EPR8185] (ab129002) staining at 1/10000 dilution.

All lanes:

Western blot - Anti-SHANK1 + SHANK2 + SHANK3 antibody [EPR26549-87] (ab317608) at 1/1000 dilution

Lane 1:

T-47D (human ductal breast epithelial tumor epithelial cell) whole cell lysate at 20 µg

Lane 2:

293T (human embryonic kidney epithelial cell) whole cell lysate at 20 µg

Secondary

All lanes:

Western blot - Goat Anti-Rabbit IgG H&L (HRP) (<a href='/en-us/products/secondary-antibodies/goat-rabbit-igg-h-l-hrp-ab97051'>ab97051</a>) at 1/20000 dilution

Observed band size: 180-270 kDa,124 kDa

false

Exposure time: 15s

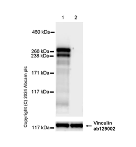
Western blot - Anti-SHANK1 + SHANK2 + SHANK3 antibody [EPR26549-87] (AB317608)
  • WB

Supplier Data

Western blot - Anti-SHANK1 + SHANK2 + SHANK3 antibody [EPR26549-87] (AB317608)

Negative control : skeletal muscle (PMID : 10506216; PMID : 22346768).

The expression profile/ molecular weight observed is consistent with what has been described in the literature (PMID : 10506216). The bands beneath the target band (180-270 kDa) are likely to be degraded target fragments.

In Western blot, Anti-Vinculin antibody [EPR8185] (ab129002) staining at 1/10000 dilution.

All lanes:

Western blot - Anti-SHANK1 + SHANK2 + SHANK3 antibody [EPR26549-87] (ab317608) at 1/1000 dilution

Lane 1:

Mouse cerebellum tissue lysate at 20 µg

Lane 2:

Mouse hippocampus tissue lysate at 20 µg

Lane 3:

Mouse skeletal muscle tissue lysate at 20 µg

Lane 4:

Rat cerebellum tissue lysate at 20 µg

Lane 5:

Rat hippocampus tissue lysate at 20 µg

Lane 6:

Rat skeletal muscle tissue lysate at 20 µg

Secondary

All lanes:

Western blot - Goat Anti-Rabbit IgG H&L (HRP) (<a href='/en-us/products/secondary-antibodies/goat-rabbit-igg-h-l-hrp-ab97051'>ab97051</a>) at 1/20000 dilution

Observed band size: 180-270 kDa,124 kDa

false

Exposure time: 59s

  • Carrier free

    Anti-SHANK1 + SHANK2 + SHANK3 antibody [EPR26549-87] - BSA and Azide free

Key facts

Host species

Rabbit

Clonality

Monoclonal

Clone number

EPR26549-87

Isotype

IgG

Carrier free

No

Reacts with

Mouse, Rat, Human

Applications

IHC-Fr, Flow Cyt (Intra), IHC-P, WB

applications

Immunogen

The exact immunogen used to generate this antibody is proprietary information.

Specificity

Unsuitable for rat IHC-Fr and human IHC-P.

Reactivity data

{ "title": "Reactivity Data", "filters": { "stats": ["", "Species", "Dilution Info", "Notes"], "tabs": { "all-applications": {"fullname" : "All Applications", "shortname": "All Applications"}, "WB" : {"fullname" : "Western blot", "shortname":"WB"}, "IHCFr" : {"fullname" : "Immunohistochemistry (Frozen sections)", "shortname":"IHC-Fr"}, "FlowCytIntra" : {"fullname" : "Flow Cytometry (Intracellular)", "shortname":"Flow Cyt (Intra)"}, "IHCP" : {"fullname" : "Immunohistochemistry (Formalin/PFA-fixed paraffin-embedded sections)", "shortname":"IHC-P"}, "ICCIF" : {"fullname" : "Immunocytochemistry/ Immunofluorescence", "shortname":"ICC/IF"}, "IP" : {"fullname" : "Immunoprecipitation", "shortname":"IP"} }, "product-promise": { "all": "all", "testedAndGuaranteed": "tested", "guaranteed": "expected", "predicted": "predicted", "notRecommended": "not-recommended" } }, "values": { "Human": { "WB-species-checked": "testedAndGuaranteed", "WB-species-dilution-info": "1/1000", "WB-species-notes": "<p></p>", "IHCFr-species-checked": "guaranteed", "IHCFr-species-dilution-info": "", "IHCFr-species-notes": "", "FlowCytIntra-species-checked": "testedAndGuaranteed", "FlowCytIntra-species-dilution-info": "1/500", "FlowCytIntra-species-notes": "<p></p>", "IHCP-species-checked": "notRecommended", "IHCP-species-dilution-info": "", "IHCP-species-notes": "<p></p>", "ICCIF-species-checked": "notRecommended", "ICCIF-species-dilution-info": "", "ICCIF-species-notes": "<p></p>", "IP-species-checked": "notRecommended", "IP-species-dilution-info": "", "IP-species-notes": "<p></p>" }, "Mouse": { "WB-species-checked": "testedAndGuaranteed", "WB-species-dilution-info": "1/1000", "WB-species-notes": "<p></p>", "IHCFr-species-checked": "testedAndGuaranteed", "IHCFr-species-dilution-info": "1/100", "IHCFr-species-notes": "<p></p>", "FlowCytIntra-species-checked": "testedAndGuaranteed", "FlowCytIntra-species-dilution-info": "1/500", "FlowCytIntra-species-notes": "<p></p>", "IHCP-species-checked": "testedAndGuaranteed", "IHCP-species-dilution-info": "1/100", "IHCP-species-notes": "<p></p> Perform heat-mediated antigen retrieval with Tris/EDTA buffer pH 9.0 before commencing with IHC staining protocol.", "ICCIF-species-checked": "notRecommended", "ICCIF-species-dilution-info": "", "ICCIF-species-notes": "<p></p>", "IP-species-checked": "notRecommended", "IP-species-dilution-info": "", "IP-species-notes": "" }, "Rat": { "WB-species-checked": "testedAndGuaranteed", "WB-species-dilution-info": "1/1000", "WB-species-notes": "<p></p>", "IHCFr-species-checked": "notRecommended", "IHCFr-species-dilution-info": "", "IHCFr-species-notes": "<p></p>", "FlowCytIntra-species-checked": "guaranteed", "FlowCytIntra-species-dilution-info": "", "FlowCytIntra-species-notes": "", "IHCP-species-checked": "testedAndGuaranteed", "IHCP-species-dilution-info": "1/100", "IHCP-species-notes": "<p></p> Perform heat-mediated antigen retrieval with Tris/EDTA buffer pH 9.0 before commencing with IHC staining protocol.", "ICCIF-species-checked": "notRecommended", "ICCIF-species-dilution-info": "", "ICCIF-species-notes": "<p></p>", "IP-species-checked": "notRecommended", "IP-species-dilution-info": "", "IP-species-notes": "" }, "Recombinant fragment - Human": { "WB-species-checked": "testedAndGuaranteed", "WB-species-dilution-info": "1/1000", "WB-species-notes": "<p></p>", "IHCFr-species-checked": "notRecommended", "IHCFr-species-dilution-info": "", "IHCFr-species-notes": "", "FlowCytIntra-species-checked": "notRecommended", "FlowCytIntra-species-dilution-info": "", "FlowCytIntra-species-notes": "", "IHCP-species-checked": "notRecommended", "IHCP-species-dilution-info": "", "IHCP-species-notes": "", "ICCIF-species-checked": "notRecommended", "ICCIF-species-dilution-info": "", "ICCIF-species-notes": "", "IP-species-checked": "notRecommended", "IP-species-dilution-info": "", "IP-species-notes": "" } } }

Product details

Patented technology
Our RabMAb® technology is a patented hybridoma-based technology for making rabbit monoclonal antibodies. For details on our patents, please refer to RabMAb® patents.

What are the advantages of a recombinant monoclonal antibody?
This product is a recombinant monoclonal antibody, which offers several advantages including:

  • - High batch-to-batch consistency and reproducibility
  • - Improved sensitivity and specificity
  • - Long-term security of supply
  • - Animal-free batch production

For more information, read more on recombinant antibodies.

Properties and storage information

Form
Liquid
Purification technique
Affinity purification Protein A
Storage buffer
pH: 7.2 - 7.4 Preservative: 0.01% Sodium azide Constituents: PBS, 40% Glycerol (glycerin, glycerine), 0.05% BSA
Shipped at conditions
Blue Ice
Appropriate short-term storage duration
1-2 weeks
Appropriate short-term storage conditions
+4°C
Appropriate long-term storage conditions
-20°C
Aliquoting information
Upon delivery aliquot
Storage information
Avoid freeze / thaw cycle

Supplementary information

This supplementary information is collated from multiple sources and compiled automatically.

SHANK1 SHANK2 and SHANK3 also known as proline-rich synapse-associated protein 1 2 and 3 serve important mechanical roles as scaffolding proteins at the postsynaptic density of excitatory synapses in the brain. SHANK proteins range between approximately 170-220 kDa in mass. They are expressed widely in the brain particularly in regions such as the cerebral cortex and the hippocampus important for higher brain functions. These proteins interact directly with multiple synaptic proteins to maintain synaptic architecture and signal transduction.
Biological function summary

SHANK proteins are integral to the formation and function of synaptic assemblies. They are components of a complex called the postsynaptic density where they link neurotransmitter receptors with cytoskeletal elements. These proteins play an important role in organizing the synaptic machinery necessary for neurotransmission. By anchoring various receptors and proteins at synapses SHANK proteins influence synaptic strength and plasticity essential for learning and memory.

Pathways

SHANK proteins are critical in the N-methyl-D-aspartate receptor (NMDAR) and metabotropic glutamate receptor (mGluR) signaling pathways. SHANK proteins associate with proteins like Homer and GKAP which modulate these pathways. By interacting with these partners SHANK proteins contribute to the regulation of excitatory synaptic transmission and are involved in mechanisms of synaptic plasticity such as long-term potentiation.

SHANK proteins are implicated in several neurodevelopmental disorders including autism spectrum disorders (ASD) and schizophrenia. Mutations in SHANK3 in particular have strong associations with ASD. In these disorders altered SHANK function disorganizes synaptic assemblies and signaling leading to neural circuitry dysfunction. In autism dysregulation of SHANK proteins impacts NMDA receptor function which connects also to interaction with proteins like NRXN and GRIN2A contributing to the symptoms associated with these conditions.

Product protocols

For this product, it's our understanding that no specific protocols are required. You can visit:

Target data

Seems to be an adapter protein in the postsynaptic density (PSD) of excitatory synapses that interconnects receptors of the postsynaptic membrane including NMDA-type and metabotropic glutamate receptors, and the actin-based cytoskeleton. May play a role in the structural and functional organization of the dendritic spine and synaptic junction.
See full target information SHANK2

Additional targets

SHANK1,SHANK3

Product promise

We are committed to supporting your work with high-quality reagents, and we're here for you every step of the way. In the unlikely event that one of our products does not perform as expected, you're protected by our Product Promise.
For full details, please see our Terms & Conditions

Please note: All products are 'FOR RESEARCH USE ONLY. NOT FOR USE IN DIAGNOSTIC OR THERAPEUTIC PROCEDURES'.

For licensing inquiries, please contact partnerships@abcam.com