JavaScript is disabled in your browser. Please enable JavaScript to view this website.
AB317607

Anti-SHANK2 antibody [EPR26549-331] - BSA and Azide free

  • BOND RX™ Validated
  • Recombinant
  • RabMAb
  • KO Validated
  • Advanced Validation
  • What is this?

Be the first to review this product! Submit a review

|

(0 Publication)

Rabbit Recombinant Monoclonal SHANK2 antibody. Carrier free. Suitable for WB, IHC-Fr, Flow Cyt (Intra), IHC-P, mIHC and reacts with Recombinant fragment - Human, Human, Mouse, Rat samples.

View Alternative Names

CORTBP1, KIAA1022, PROSAP1, SH3 and multiple ankyrin repeat domains protein 2, Shank2, Cortactin-binding protein 1, Proline-rich synapse-associated protein 1, CortBP1

21 Images
Flow Cytometry (Intracellular) - Anti-SHANK2 antibody [EPR26549-331] - BSA and Azide free (AB317607)
  • Flow Cyt (Intra)

Supplier Data

Flow Cytometry (Intracellular) - Anti-SHANK2 antibody [EPR26549-331] - BSA and Azide free (AB317607)

This data was developed using ab317606, the same antibody clone in a different buffer formulation.

Flow cytometric analysis of 4% paraformaldehyde fixed 90% methanol permeabilized T-47D (human ductal breast epithelial tumor epithelial cell) (Right) / 293T (human embryonic kidney epithelial cell) (Left) cells labelling SHANK2 with ab317606 at 1/500 dilution (0.1ug)/Red (Red) compared with a Rabbit monoclonal IgG (ab172730) (Black) isotype control and an unlabelled control (cells without incubation with primary antibody and secondary antibody) (Blue).

Goat Anti-Rabbit IgG (Alexa Fluor® 488, ab150081) at 1/5000 dilution was used as the secondary antibody.

Low expression : 293T(PMID : 32661924)

Immunohistochemistry (Frozen sections) - Anti-SHANK2 antibody [EPR26549-331] - BSA and Azide free (AB317607)
  • IHC-Fr

AbReview673748a3584ee91d29b37624****

Immunohistochemistry (Frozen sections) - Anti-SHANK2 antibody [EPR26549-331] - BSA and Azide free (AB317607)

This data was developed using ab317607, the same antibody clone in a different buffer formulation.

Immunohistochemical analysis of methanol-fixed, 0.3% Triton X-100 permeabilized frozen mouse brain tissue labeling SHANK2 with ab317606 at 1/100 dilution incubated for 48 hours at 4°C followed by an Alexa Fluor 647 AffiniPure Donkey Anti-Rabbit secondary at 1/200 dilution (Green). BSA was used as blocking agent for 2 hours · Concentration : 3% · Temperature : 20 °C.

This image is courtesy of an anonymous Abreview

Immunohistochemistry (Formalin/PFA-fixed paraffin-embedded sections) - Anti-SHANK2 antibody [EPR26549-331] - BSA and Azide free (AB317607)
  • IHC-P

Supplier Data

Immunohistochemistry (Formalin/PFA-fixed paraffin-embedded sections) - Anti-SHANK2 antibody [EPR26549-331] - BSA and Azide free (AB317607)

This data was developed using ab317606, the same antibody clone in a different buffer formulation.

Immunohistochemical analysis of paraffin-embedded Mouse hippocampus tissue labeling SHANK2 with ab317606 at 1/100 (5.21 ug/ml) dilution, followed by a ready to use LeicaDS9800 (Bond™ Polymer Refine Detection).

Positive staining on mouse hippocampus. The section was incubated with ab317606 for 30 mins at room temperature.
The immunostaining was performed on a Leica Biosystems BOND® RX instrument

Counterstained with Hematoxylin.

Secondary antibody only control : Secondary antibody is a ready to use LeicaDS9800 (Bond™ Polymer Refine Detection).

Heat mediated antigen retrieval was performed with Tris-EDTA buffer (pH 9.0, Epitope Retrieval Solution2) for 20 mins

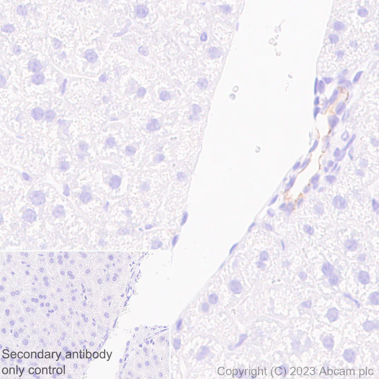
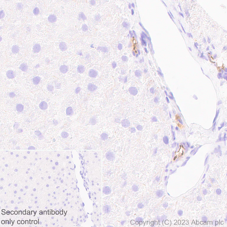
Immunohistochemistry (Formalin/PFA-fixed paraffin-embedded sections) - Anti-SHANK2 antibody [EPR26549-331] - BSA and Azide free (AB317607)
  • IHC-P

Supplier Data

Immunohistochemistry (Formalin/PFA-fixed paraffin-embedded sections) - Anti-SHANK2 antibody [EPR26549-331] - BSA and Azide free (AB317607)

This data was developed using ab317606, the same antibody clone in a different buffer formulation.

Immunohistochemical analysis of paraffin-embedded Rat liver tissue labeling SHANK2 with ab317606 at 1/100 (5.21 ug/ml) dilution, followed by a ready to use LeicaDS9800 (Bond™ Polymer Refine Detection).

Positive staining on cholangiocytes of rat liver. The section was incubated with ab317606 for 30 mins at room temperature.
The immunostaining was performed on a Leica Biosystems BOND® RX instrument

Counterstained with Hematoxylin.

Secondary antibody only control : Secondary antibody is a ready to use LeicaDS9800 (Bond™ Polymer Refine Detection).

Heat mediated antigen retrieval was performed with Tris-EDTA buffer (pH 9.0, Epitope Retrieval Solution2) for 20 mins

Immunohistochemistry (Formalin/PFA-fixed paraffin-embedded sections) - Anti-SHANK2 antibody [EPR26549-331] - BSA and Azide free (AB317607)
  • IHC-P

Supplier Data

Immunohistochemistry (Formalin/PFA-fixed paraffin-embedded sections) - Anti-SHANK2 antibody [EPR26549-331] - BSA and Azide free (AB317607)

This data was developed using ab317606, the same antibody clone in a different buffer formulation.

Immunohistochemical analysis of paraffin-embedded Rat cerebrum tissue labeling SHANK2 with ab317606 at 1/100 (5.21 ug/ml) dilution, followed by a ready to use LeicaDS9800 (Bond™ Polymer Refine Detection).

Positive staining on rat cerebrum. The section was incubated with ab317606 for 30 mins at room temperature.
The immunostaining was performed on a Leica Biosystems BOND® RX instrument

Counterstained with Hematoxylin.

Secondary antibody only control : Secondary antibody is a ready to use LeicaDS9800 (Bond™ Polymer Refine Detection).

Heat mediated antigen retrieval was performed with Tris-EDTA buffer (pH 9.0, Epitope Retrieval Solution2) for 20 mins

Immunohistochemistry (Formalin/PFA-fixed paraffin-embedded sections) - Anti-SHANK2 antibody [EPR26549-331] - BSA and Azide free (AB317607)
  • IHC-P

Supplier Data

Immunohistochemistry (Formalin/PFA-fixed paraffin-embedded sections) - Anti-SHANK2 antibody [EPR26549-331] - BSA and Azide free (AB317607)

This data was developed using ab317606, the same antibody clone in a different buffer formulation.

Immunohistochemical analysis of paraffin-embedded Mouse liver tissue labeling SHANK2 with ab317606 at 1/100 (5.21 ug/ml) dilution, followed by a ready to use LeicaDS9800 (Bond™ Polymer Refine Detection).

Positive staining on cholangiocytes of mouse liver. The section was incubated with ab317606 for 30 mins at room temperature.
The immunostaining was performed on a Leica Biosystems BOND® RX instrument

Counterstained with Hematoxylin.

Secondary antibody only control : Secondary antibody is a ready to use LeicaDS9800 (Bond™ Polymer Refine Detection).

Heat mediated antigen retrieval was performed with Tris-EDTA buffer (pH 9.0, Epitope Retrieval Solution2) for 20 mins

Multiplex immunohistochemistry - Anti-SHANK2 antibody [EPR26549-331] - BSA and Azide free (AB317607)
  • mIHC

Lab

Multiplex immunohistochemistry - Anti-SHANK2 antibody [EPR26549-331] - BSA and Azide free (AB317607)

This data was developed using ab317606, the same antibody clone in a different buffer formulation.

Multiplex immunohistochemistry analysis of formalin/PFA-fixed paraffin-embedded rat pancreas tissue staining Trypsin with ab325233 at a 1/500 (0.98 μg/ml) dilution, ab317606 anti-SHANK2 used at a 1/100 (5.21 μg/ml) dilution and ab254259 anti-Amylin used at a 1/2000 (0.26 μg/ml) dilution.

Panel A : anti-Trypsin (green; Opal™690), anti-SHANK2 (magenta; Opal™520), anti-Amylin (gray; Opal™570) on rat pancreas.

Panel B : anti-Trypsin staining exocrine gland in rat pancreas.

Panel C : anti-SHANK2 staining pancreatic ducts in rat pancreas.

Panel D : anti-Amylin staining islet cells in rat pancreas.

Nuclear DNA was labeled with DAPI (shown in blue).

The section was incubated in three rounds of staining : in the order of ab325233, ab317606 and ab254259 for 30 mins at room temperature. Each round was followed by a separate fluorescent tyramide signal amplification system.

The immunostaining was performed on a Leica Biosystems BOND® RX instrument with an Opal™ 4-color kit. Image acquisition was performed with Leica SP8 confocal microscope.

Heat mediated antigen retrieval was performed with Tris-EDTA buffer (pH 9.0, Epitope Retrieval Solution2) for 20 mins.

Immunohistochemistry (Formalin/PFA-fixed paraffin-embedded sections) - Anti-SHANK2 antibody [EPR26549-331] - BSA and Azide free (AB317607)
  • IHC-P

Supplier Data

Immunohistochemistry (Formalin/PFA-fixed paraffin-embedded sections) - Anti-SHANK2 antibody [EPR26549-331] - BSA and Azide free (AB317607)

This data was developed using ab317606, the same antibody clone in a different buffer formulation.

Immunohistochemical analysis of paraffin-embedded Rat skeletal muscle tissue labeling SHANK2 with ab317606 at 1/100 (5.21 ug/ml) dilution, followed by a ready to use LeicaDS9800 (Bond™ Polymer Refine Detection).

Negative control : no staining on rat skeletal muscle. The section was incubated with ab317606 for 30 mins at room temperature.
The immunostaining was performed on a Leica Biosystems BOND® RX instrument

Counterstained with Hematoxylin.

Secondary antibody only control : Secondary antibody is a ready to use LeicaDS9800 (Bond™ Polymer Refine Detection).

Heat mediated antigen retrieval was performed with Tris-EDTA buffer (pH 9.0, Epitope Retrieval Solution2) for 20 mins

Immunohistochemistry (Formalin/PFA-fixed paraffin-embedded sections) - Anti-SHANK2 antibody [EPR26549-331] - BSA and Azide free (AB317607)
  • IHC-P

Supplier Data

Immunohistochemistry (Formalin/PFA-fixed paraffin-embedded sections) - Anti-SHANK2 antibody [EPR26549-331] - BSA and Azide free (AB317607)

This data was developed using ab317606, the same antibody clone in a different buffer formulation.

Immunohistochemical analysis of paraffin-embedded Mouse skeletal muscle tissue labeling SHANK2 with ab317606 at 1/100 (5.21 ug/ml) dilution, followed by a ready to use LeicaDS9800 (Bond™ Polymer Refine Detection).

Negative control : no staining on mouse skeletal muscle. The section was incubated with ab317606 for 30 mins at room temperature.
The immunostaining was performed on a Leica Biosystems BOND® RX instrument

Counterstained with Hematoxylin.

Secondary antibody only control : Secondary antibody is a ready to use LeicaDS9800 (Bond™ Polymer Refine Detection).

Heat mediated antigen retrieval was performed with Tris-EDTA buffer (pH 9.0, Epitope Retrieval Solution2) for 20 mins

Immunohistochemistry (Frozen sections) - Anti-SHANK2 antibody [EPR26549-331] - BSA and Azide free (AB317607)
  • IHC-Fr

Supplier Data

Immunohistochemistry (Frozen sections) - Anti-SHANK2 antibody [EPR26549-331] - BSA and Azide free (AB317607)

This data was developed using ab317606, the same antibody clone in a different buffer formulation.

Immunohistochemical analysis of 4% PFA-fixed, 0.2% Triton X-100 permeabilized frozen Rat skeletal muscle (fresh frozen) tissue labeling SHANK2 with ab317606 at 1/100 (5.21 ug/ml) dilution followed by ab150081 Goat Anti-Rabbit IgG H&L (Alexa Fluor® 488) preadsorbed at 1/1000 2 ug/mL dilution (Green).

Negative control : confocal image showing no staining on rat skeletal muscle. The nuclear counterstain was DAPI (Blue). The section was incubated with ab317606 for 60 mins at room temperature. The section was then mounted using Fluoromount®.The immunostaining was performed on a Leica Biosystems BOND® RX instrument. Image was taken with a confocal microscope (Leica-Microsystems, TCS SP8).

Secondary antibody control : Secondary antibody is ab150081 Goat Anti-Rabbit IgG H&L (Alexa Fluor® 488) preadsorbedat 1/1000 2 ug/mL dilution.

Immunohistochemistry (Frozen sections) - Anti-SHANK2 antibody [EPR26549-331] - BSA and Azide free (AB317607)
  • IHC-Fr

Supplier Data

Immunohistochemistry (Frozen sections) - Anti-SHANK2 antibody [EPR26549-331] - BSA and Azide free (AB317607)

This data was developed using ab317606, the same antibody clone in a different buffer formulation.

Immunohistochemical analysis of 4% PFA-fixed, 0.2% Triton X-100 permeabilized frozen Mouse skeletal muscle (fresh frozen) tissue labeling SHANK2 with ab317606 at 1/100 (5.21 ug/ml) dilution followed by ab150081 Goat Anti-Rabbit IgG H&L (Alexa Fluor® 488) preadsorbed at 1/1000 2 ug/mL dilution (Green).

Negative control : confocal image showing no staining on mouse skeletal muscle. The nuclear counterstain was DAPI (Blue). The section was incubated with ab317606 for 60 mins at room temperature. The section was then mounted using Fluoromount®.The immunostaining was performed on a Leica Biosystems BOND® RX instrument. Image was taken with a confocal microscope (Leica-Microsystems, TCS SP8).

Secondary antibody control : Secondary antibody is ab150081 Goat Anti-Rabbit IgG H&L (Alexa Fluor® 488) preadsorbedat 1/1000 2 ug/mL dilution.

Flow Cytometry (Intracellular) - Anti-SHANK2 antibody [EPR26549-331] - BSA and Azide free (AB317607)
  • Flow Cyt (Intra)

Supplier Data

Flow Cytometry (Intracellular) - Anti-SHANK2 antibody [EPR26549-331] - BSA and Azide free (AB317607)

This data was developed using ab317606, the same antibody clone in a different buffer formulation.

Flow cytometric analysis of 4% paraformaldehyde fixed 90% methanol permeabilized Rat spleen cell cells labelling SHANK2 with ab317606 at 1/500 dilution (0.1ug)/right (Red) compared with a Rabbit monoclonal IgG (ab172730) / Left isotype control and an unlabelled control (cells without incubation with primary antibody and secondary antibody) (Blue).

Goat Anti-Rabbit IgG (Alexa Fluor® 488, ab150081) at 1/5000 dilution was used as the secondary antibody.

Negative control : rat spleen cell.

Flow Cytometry (Intracellular) - Anti-SHANK2 antibody [EPR26549-331] - BSA and Azide free (AB317607)
  • Flow Cyt (Intra)

Supplier Data

Flow Cytometry (Intracellular) - Anti-SHANK2 antibody [EPR26549-331] - BSA and Azide free (AB317607)

This data was developed using ab317606, the same antibody clone in a different buffer formulation.

Flow cytometric analysis of 4% paraformaldehyde fixed 90% methanol permeabilized Mouse spleen cell cells labelling SHANK2 with ab317606 at 1/500 dilution (0.1ug)/right (Red) compared with a Rabbit monoclonal IgG (ab172730) / Left isotype control and an unlabelled control (cells without incubation with primary antibody and secondary antibody) (Blue).

Goat Anti-Rabbit IgG (Alexa Fluor® 488, ab150081) at 1/5000 dilution was used as the secondary antibody.

Negative control : mouse spleen cell.

Immunohistochemistry (Frozen sections) - Anti-SHANK2 antibody [EPR26549-331] - BSA and Azide free (AB317607)
  • IHC-Fr

Supplier Data

Immunohistochemistry (Frozen sections) - Anti-SHANK2 antibody [EPR26549-331] - BSA and Azide free (AB317607)

This data was developed using ab317606, the same antibody clone in a different buffer formulation.

Immunohistochemical analysis of 4% PFA-fixed, 0.2% Triton X-100 permeabilized frozen Mouse hippocampus (fresh frozen) tissue labeling SHANK2 with ab317606 at 1/100 (5.21 ug/ml) dilution followed by ab150081 Goat Anti-Rabbit IgG H&L (Alexa Fluor® 488) preadsorbed at 1/1000 2 ug/mL dilution (Green).

Confocal image showing positive staining on mouse hippocampus. The nuclear counterstain was DAPI (Blue). The section was incubated with ab317606 for 60 mins at room temperature. The section was then mounted using Fluoromount®.The immunostaining was performed on a Leica Biosystems BOND® RX instrument. Image was taken with a confocal microscope (Leica-Microsystems, TCS SP8).

Secondary antibody control : Secondary antibody is ab150081 Goat Anti-Rabbit IgG H&L (Alexa Fluor® 488) preadsorbedat 1/1000 2 ug/mL dilution.

Flow Cytometry (Intracellular) - Anti-SHANK2 antibody [EPR26549-331] - BSA and Azide free (AB317607)
  • Flow Cyt (Intra)

Supplier Data

Flow Cytometry (Intracellular) - Anti-SHANK2 antibody [EPR26549-331] - BSA and Azide free (AB317607)

This data was developed using ab317606, the same antibody clone in a different buffer formulation.

Flow cytometric analysis of 4% paraformaldehyde fixed 90% methanol permeabilized Rat primary neuron cells labelling SHANK2 with ab317606 at 1/500 dilution (0.1ug)/right (Red) compared with a Rabbit monoclonal IgG (ab172730) / Left isotype control and an unlabelled control (cells without incubation with primary antibody and secondary antibody) (Blue).

Goat Anti-Rabbit IgG (Alexa Fluor® 488, ab150081) at 1/5000 dilution was used as the secondary antibody.

Immunohistochemistry (Frozen sections) - Anti-SHANK2 antibody [EPR26549-331] - BSA and Azide free (AB317607)
  • IHC-Fr

Supplier Data

Immunohistochemistry (Frozen sections) - Anti-SHANK2 antibody [EPR26549-331] - BSA and Azide free (AB317607)

This data was developed using ab317606, the same antibody clone in a different buffer formulation.

Immunohistochemical analysis of 4% PFA-fixed, 0.2% Triton X-100 permeabilized frozen Rat hippocampus (fresh frozen) tissue labeling SHANK2 with ab317606 at 1/100 (5.21 ug/ml) dilution followed by ab150081 Goat Anti-Rabbit IgG H&L (Alexa Fluor® 488) preadsorbed at 1/1000 2 ug/mL dilution (Green).

Confocal image showing positive staining on rat hippocampus. The nuclear counterstain was DAPI (Blue). The section was incubated with ab317606 for 60 mins at room temperature. The section was then mounted using Fluoromount®.The immunostaining was performed on a Leica Biosystems BOND® RX instrument. Image was taken with a confocal microscope (Leica-Microsystems, TCS SP8).

Secondary antibody control : Secondary antibody is ab150081 Goat Anti-Rabbit IgG H&L (Alexa Fluor® 488) preadsorbedat 1/1000 2 ug/mL dilution.

Flow Cytometry (Intracellular) - Anti-SHANK2 antibody [EPR26549-331] - BSA and Azide free (AB317607)
  • Flow Cyt (Intra)

Supplier Data

Flow Cytometry (Intracellular) - Anti-SHANK2 antibody [EPR26549-331] - BSA and Azide free (AB317607)

This data was developed using ab317606, the same antibody clone in a different buffer formulation.

Flow cytometric analysis of 4% paraformaldehyde fixed 90% methanol permeabilized Mouse primary neuron cells labelling SHANK2 with ab317606 at 1/500 dilution (0.1ug)/right (Red) compared with a Rabbit monoclonal IgG (ab172730) / Left isotype control and an unlabelled control (cells without incubation with primary antibody and secondary antibody) (Blue).

Goat Anti-Rabbit IgG (Alexa Fluor® 488, ab150081) at 1/5000 dilution was used as the secondary antibody.

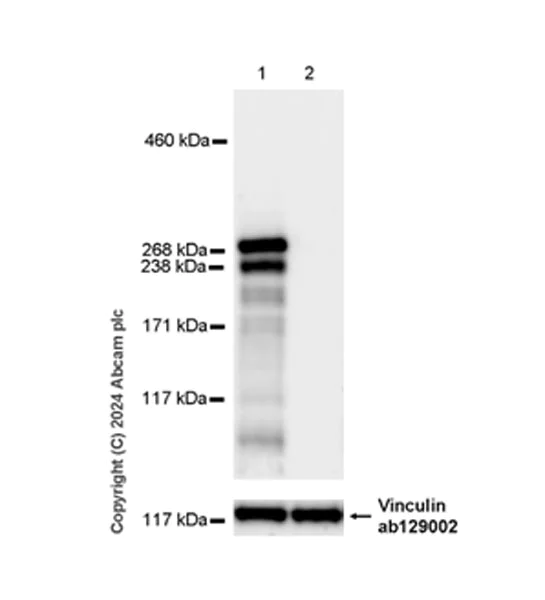
Western blot - Anti-SHANK2 antibody [EPR26549-331] - BSA and Azide free (AB317607)
  • WB

Supplier Data

Western blot - Anti-SHANK2 antibody [EPR26549-331] - BSA and Azide free (AB317607)

This data was developed using ab317606, the same antibody clone in a different buffer formulation.

Low expression : 293T (PMID : 32661924).

The expression profile/ molecular weight observed is consistent with what has been described in the literature (PMID : 29572432). The bands beneath the target band (180-270 kDa) are likely to be degraded target fragments.

In Western blot, Anti-Vinculin antibody [EPR8185] (ab129002) staining at 1/10000 dilution.

All lanes:

Western blot - Anti-SHANK2 antibody [EPR26549-331] (<a href='/en-us/products/primary-antibodies/shank2-antibody-epr26549-331-ab317606'>ab317606</a>) at 1/1000 dilution

Lane 1:

T-47D (human ductal breast epithelial tumor epithelial cell) whole cell lysate at 20 µg

Lane 2:

293T (human embryonic kidney epithelial cell) whole cell lysate at 20 µg

Secondary

All lanes:

Western blot - Goat Anti-Rabbit IgG H&L (HRP) (<a href='/en-us/products/secondary-antibodies/goat-rabbit-igg-h-l-hrp-ab97051'>ab97051</a>) at 1/20000 dilution

Observed band size: 180-270 kDa,124 kDa

false

Exposure time: 26s

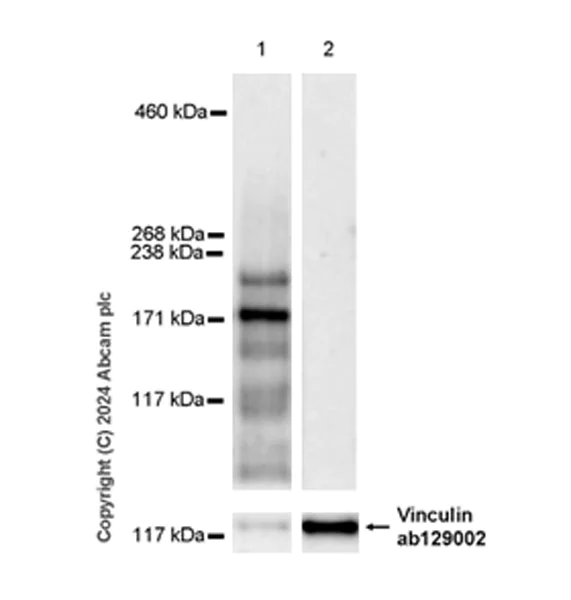
Western blot - Anti-SHANK2 antibody [EPR26549-331] - BSA and Azide free (AB317607)
  • WB

Supplier Data

Western blot - Anti-SHANK2 antibody [EPR26549-331] - BSA and Azide free (AB317607)

This data was developed using ab317606, the same antibody clone in a different buffer formulation.

Negative control : skeletal muscle (PMID : 10506216; PMID : 22346768).

The expression profile/ molecular weight observed is consistent with what has been described in the literature (PMID : 29572432). The bands beneath the target band (180-200 kDa) are likely to be degraded target fragments.

In Western blot, Anti-Vinculin antibody [EPR8185] (ab129002) staining at 1/10000 dilution.

All lanes:

Western blot - Anti-SHANK2 antibody [EPR26549-331] (<a href='/en-us/products/primary-antibodies/shank2-antibody-epr26549-331-ab317606'>ab317606</a>) at 1/1000 dilution

Lane 1:

Human hippocampus tissue lysate at 20 µg

Lane 2:

Human skeletal muscle tissue lysate at 20 µg

Secondary

All lanes:

Western blot - Goat Anti-Rabbit IgG H&L (HRP) (<a href='/en-us/products/secondary-antibodies/goat-rabbit-igg-h-l-hrp-ab97051'>ab97051</a>) at 1/200000 dilution

Observed band size: 200 kDa,180 kDa,124 kDa

false

Exposure time: 180s

Western blot - Anti-SHANK2 antibody [EPR26549-331] - BSA and Azide free (AB317607)
  • WB

Supplier Data

Western blot - Anti-SHANK2 antibody [EPR26549-331] - BSA and Azide free (AB317607)

This data was developed using ab317606, the same antibody clone in a different buffer formulation.

Negative control : skeletal muscle (PMID : 10506216; PMID : 22346768).

The expression profile/ molecular weight observed is consistent with what has been described in the literature (PMID : 29572432). The bands beneath the target band (180-270 kDa) are likely to be degraded target fragments.

In Western blot, Anti-Vinculin antibody [EPR8185] (ab129002) staining at 1/10000 dilution.

All lanes:

Western blot - Anti-SHANK2 antibody [EPR26549-331] (<a href='/en-us/products/primary-antibodies/shank2-antibody-epr26549-331-ab317606'>ab317606</a>) at 1/1000 dilution

Lane 1:

Mouse hippocampus tissue lysate at 20 µg

Lane 2:

Mouse cerebellum tissue lysate at 20 µg

Lane 3:

Mouse skeletal muscle tissue lysate at 20 µg

Lane 4:

Rat hippocampus tissue lysate at 20 µg

Lane 5:

Rat cerebellum tissue lysate at 20 µg

Lane 6:

Rat skeletal muscle tissue lysate at 20 µg

Secondary

All lanes:

Western blot - Goat Anti-Rabbit IgG H&L (HRP) (<a href='/en-us/products/secondary-antibodies/goat-rabbit-igg-h-l-hrp-ab97051'>ab97051</a>) at 1/20000 dilution

Observed band size: 180-270 kDa,180 kDa,124 kDa

false

Exposure time: 180s

Western blot - Anti-SHANK2 antibody [EPR26549-331] - BSA and Azide free (AB317607)
  • WB

Supplier Data

Western blot - Anti-SHANK2 antibody [EPR26549-331] - BSA and Azide free (AB317607)

This data was developed using ab317606, the same antibody clone in a different buffer formulation.

This antibody does not cross-react with human SHANK1 and SHANK3.

In Western blot, Anti-6X His tag® antibody [EPR20547] - ChIP Grade (ab213204) staining at 1/5000 dilution.

All lanes:

Western blot - Anti-SHANK2 antibody [EPR26549-331] (<a href='/en-us/products/primary-antibodies/shank2-antibody-epr26549-331-ab317606'>ab317606</a>) at 1/1000 dilution

Lane 1:

His-tagged human SHANK2 recombinant fragment at 10 ng

Lane 2:

His-tagged human SHANK1 recombinant fragment at 10 ng

Lane 3:

His-tagged human SHANK3 recombinant fragment at 10 ng

Secondary

All lanes:

Western blot - Goat Anti-Rabbit IgG H&L (HRP) (<a href='/en-us/products/secondary-antibodies/goat-rabbit-igg-h-l-hrp-ab97051'>ab97051</a>) at 1/100000 dilution

Observed band size: 26 kDa

false

Exposure time: 70s

Key facts

Host species

Rabbit

Clonality

Monoclonal

Clone number

EPR26549-331

Isotype

IgG

Carrier free

Yes

Reacts with

Mouse, Rat, Human

Applications

IHC-P, WB, IHC-Fr, mIHC, Flow Cyt (Intra)

applications

Immunogen

The exact immunogen used to generate this antibody is proprietary information.

Specificity

Unsuitable for human IHC-P.

Reactivity data

{ "title": "Reactivity Data", "filters": { "stats": ["", "Species", "Dilution Info", "Notes"], "tabs": { "all-applications": {"fullname" : "All Applications", "shortname": "All Applications"}, "WB" : {"fullname" : "Western blot", "shortname":"WB"}, "IHCFr" : {"fullname" : "Immunohistochemistry (Frozen sections)", "shortname":"IHC-Fr"}, "FlowCytIntra" : {"fullname" : "Flow Cytometry (Intracellular)", "shortname":"Flow Cyt (Intra)"}, "IHCP" : {"fullname" : "Immunohistochemistry (Formalin/PFA-fixed paraffin-embedded sections)", "shortname":"IHC-P"}, "mIHC" : {"fullname" : "Multiplex immunohistochemistry", "shortname":"mIHC"}, "ICCIF" : {"fullname" : "Immunocytochemistry/ Immunofluorescence", "shortname":"ICC/IF"}, "IP" : {"fullname" : "Immunoprecipitation", "shortname":"IP"} }, "product-promise": { "all": "all", "testedAndGuaranteed": "tested", "guaranteed": "expected", "predicted": "predicted", "notRecommended": "not-recommended" } }, "values": { "Human": { "WB-species-checked": "testedAndGuaranteed", "WB-species-dilution-info": "", "WB-species-notes": "<p></p>", "IHCFr-species-checked": "guaranteed", "IHCFr-species-dilution-info": "", "IHCFr-species-notes": "", "FlowCytIntra-species-checked": "testedAndGuaranteed", "FlowCytIntra-species-dilution-info": "", "FlowCytIntra-species-notes": "<p></p>", "IHCP-species-checked": "notRecommended", "IHCP-species-dilution-info": "", "IHCP-species-notes": "<p></p>", "mIHC-species-checked": "guaranteed", "mIHC-species-dilution-info": "", "mIHC-species-notes": "", "ICCIF-species-checked": "notRecommended", "ICCIF-species-dilution-info": "", "ICCIF-species-notes": "<p></p>", "IP-species-checked": "notRecommended", "IP-species-dilution-info": "", "IP-species-notes": "<p></p>" }, "Mouse": { "WB-species-checked": "testedAndGuaranteed", "WB-species-dilution-info": "", "WB-species-notes": "<p></p>", "IHCFr-species-checked": "testedAndGuaranteed", "IHCFr-species-dilution-info": "", "IHCFr-species-notes": "<p></p>", "FlowCytIntra-species-checked": "testedAndGuaranteed", "FlowCytIntra-species-dilution-info": "", "FlowCytIntra-species-notes": "<p></p>", "IHCP-species-checked": "testedAndGuaranteed", "IHCP-species-dilution-info": "", "IHCP-species-notes": "<p></p>", "mIHC-species-checked": "guaranteed", "mIHC-species-dilution-info": "", "mIHC-species-notes": "", "ICCIF-species-checked": "notRecommended", "ICCIF-species-dilution-info": "", "ICCIF-species-notes": "<p></p>", "IP-species-checked": "notRecommended", "IP-species-dilution-info": "", "IP-species-notes": "" }, "Rat": { "WB-species-checked": "testedAndGuaranteed", "WB-species-dilution-info": "", "WB-species-notes": "<p></p>", "IHCFr-species-checked": "testedAndGuaranteed", "IHCFr-species-dilution-info": "", "IHCFr-species-notes": "<p></p>", "FlowCytIntra-species-checked": "testedAndGuaranteed", "FlowCytIntra-species-dilution-info": "", "FlowCytIntra-species-notes": "<p></p>", "IHCP-species-checked": "testedAndGuaranteed", "IHCP-species-dilution-info": "", "IHCP-species-notes": "<p></p>", "mIHC-species-checked": "testedAndGuaranteed", "mIHC-species-dilution-info": "", "mIHC-species-notes": "<p></p> Perform heat-mediated antigen retrieval with Tris/EDTA buffer pH 9.0 before commencing with IHC staining protocol.", "ICCIF-species-checked": "notRecommended", "ICCIF-species-dilution-info": "", "ICCIF-species-notes": "<p></p>", "IP-species-checked": "notRecommended", "IP-species-dilution-info": "", "IP-species-notes": "" }, "Recombinant fragment - Human": { "WB-species-checked": "testedAndGuaranteed", "WB-species-dilution-info": "", "WB-species-notes": "<p></p>", "IHCFr-species-checked": "notRecommended", "IHCFr-species-dilution-info": "", "IHCFr-species-notes": "", "FlowCytIntra-species-checked": "notRecommended", "FlowCytIntra-species-dilution-info": "", "FlowCytIntra-species-notes": "", "IHCP-species-checked": "notRecommended", "IHCP-species-dilution-info": "", "IHCP-species-notes": "", "mIHC-species-checked": "notRecommended", "mIHC-species-dilution-info": "", "mIHC-species-notes": "", "ICCIF-species-checked": "notRecommended", "ICCIF-species-dilution-info": "", "ICCIF-species-notes": "", "IP-species-checked": "notRecommended", "IP-species-dilution-info": "", "IP-species-notes": "" } } }

Product details

ab317607 is the carrier-free version of ab317606.

Patented technology
Our RabMAb® technology is a patented hybridoma-based technology for making rabbit monoclonal antibodies. For details on our patents, please refer to RabMAb® patents.

What are the advantages of a recombinant monoclonal antibody?
This product is a recombinant monoclonal antibody, which offers several advantages including:

  • - High batch-to-batch consistency and reproducibility
  • - Improved sensitivity and specificity
  • - Long-term security of supply
  • - Animal-free batch production

For more information, read more on recombinant antibodies.

Conjugation ready
Our carrier-free antibodies are typically supplied in a PBS-only formulation, purified and free of BSA, sodium azide and glycerol. This conjugation-ready format is designed for use with fluorochromes, metal isotopes, oligonucleotides, and enzymes, which makes them ideal for antibody labelling, functional and cell-based assays, flow-based assays (e.g. mass cytometry) and Multiplex Imaging applications.

Use our conjugation kits for antibody conjugates that are ready-to-use in as little as 20 minutes with 1 minute hands-on-time and 100% antibody recovery: available for fluorescent dyes, HRP, biotin and gold.

Compatibility
This product is compatible with the Maxpar® Antibody Labeling Kit from Fluidigm, without the need for antibody preparation. Maxpar® is a trademark of Fluidigm Canada Inc.

Properties and storage information

Form
Liquid
Purification technique
Affinity purification Protein A
Storage buffer
pH: 7.2 - 7.4 Constituents: PBS
Shipped at conditions
Blue Ice
Appropriate short-term storage conditions
+4°C
Appropriate long-term storage conditions
+4°C

Supplementary information

This supplementary information is collated from multiple sources and compiled automatically.

SHANK2 also known as SH3 and multiple ankyrin repeat domains protein 2 is a scaffold protein of around 189 kDa. It is mainly expressed in the central nervous system especially in postsynaptic densities of dendritic spines in neurons. SHANK2 interacts with several synaptic proteins to organize the synaptic complexes that are important for neurotransmission. It helps in maintaining the structural integrity and signaling functions of synapses.
Biological function summary

SHANK2 provides key links in postsynaptic density structures. It interacts with other proteins like neuroligins and NMDA receptors to form a complex signaling network. This complex is involved in synaptic signal transduction which is critical for neural plasticity and communication between neurons. Through its role in synapses SHANK2 influences the strength and modulation of synaptic transmission.

Pathways

SHANK2 plays a significant role in neurotransmitter signaling pathways such as glutamatergic signaling. It directly interacts with proteins like Homer and mGluR that are critical to these pathways. These interactions influence synaptic growth and plasticity impacting cognitive processes like learning and memory. The proper functioning of these pathways depends on SHANK2's stability and interactions with other postsynaptic proteins.

Alterations in SHANK2 are linked to conditions like autism spectrum disorders and schizophrenia. Mutations in SHANK2 affect synaptic functions which are often seen in these neurological conditions. Additionally SHANK2 dysfunction relates to neuroligins and other postsynaptic proteins highlighting its involvement in the pathophysiology of these disorders. Understanding SHANK2's role can help in developing targeted therapies for such conditions.

Product protocols

For this product, it's our understanding that no specific protocols are required. You can visit:

Target data

Seems to be an adapter protein in the postsynaptic density (PSD) of excitatory synapses that interconnects receptors of the postsynaptic membrane including NMDA-type and metabotropic glutamate receptors, and the actin-based cytoskeleton. May play a role in the structural and functional organization of the dendritic spine and synaptic junction.
See full target information SHANK2

Product promise

We are committed to supporting your work with high-quality reagents, and we're here for you every step of the way. In the unlikely event that one of our products does not perform as expected, you're protected by our Product Promise.
For full details, please see our Terms & Conditions

Please note: All products are 'FOR RESEARCH USE ONLY. NOT FOR USE IN DIAGNOSTIC OR THERAPEUTIC PROCEDURES'.

For licensing inquiries, please contact partnerships@abcam.com