JavaScript is disabled in your browser. Please enable JavaScript to view this website.
AB236092

Anti-SHARPIN antibody

Be the first to review this product! Submit a review

|

(1 Publication)

Rabbit Polyclonal SHARPIN antibody. Suitable for WB, IHC-P, ICC/IF and reacts with Human samples. Cited in 1 publication. Immunogen corresponding to Recombinant Fragment Protein within Human SHARPIN aa 50-200.

View Alternative Names

SIPL1, PSEC0216, SHARPIN, Sharpin, Shank-associated RH domain-interacting protein, Shank-interacting protein-like 1, hSIPL1

4 Images
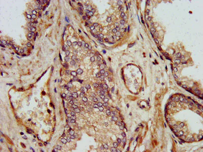
Immunohistochemistry (Formalin/PFA-fixed paraffin-embedded sections) - Anti-SHARPIN antibody (AB236092)
  • IHC-P

Supplier Data

Immunohistochemistry (Formalin/PFA-fixed paraffin-embedded sections) - Anti-SHARPIN antibody (AB236092)

Paraffin-embedded human prostate cancer tissue stained for SHARPIN using ab236092 at 1/500 dilution in immunohistochemical analysis. After dewaxing and hydration, antigen retrieval was mediated by high pressure in a citrate buffer (pH 6.0). Section was blocked with 10% normal goat serum 30 minutes at RT. Then primary antibody (1% BSA) was incubated at 4°C overnight. The primary is detected by a biotinylated secondary antibody and visualized tissue using an HRP conjugated SP system.

Immunocytochemistry/ Immunofluorescence - Anti-SHARPIN antibody (AB236092)
  • ICC/IF

Supplier Data

Immunocytochemistry/ Immunofluorescence - Anti-SHARPIN antibody (AB236092)

4% paraformaldehyde-fixed, 0.2% Triton X-100 permeabilized PC-3 (human epithelial cell line from cervix adenocarcinoma) cells stained for SHARPIN (green) using ab236092 at 1/166 dilution in ICC/IF. Secondary antibody is Alexa Fluor® 488-conjugated Goat Anti-Rabbit IgG (H+L).

Immunohistochemistry (Formalin/PFA-fixed paraffin-embedded sections) - Anti-SHARPIN antibody (AB236092)
  • IHC-P

Supplier Data

Immunohistochemistry (Formalin/PFA-fixed paraffin-embedded sections) - Anti-SHARPIN antibody (AB236092)

Paraffin-embedded human skeletal muscle tissue stained for SHARPIN using ab236092 at 1/500 dilution in immunohistochemical analysis. After dewaxing and hydration, antigen retrieval was mediated by high pressure in a citrate buffer (pH 6.0). Section was blocked with 10% normal goat serum 30 minutes at RT. Then primary antibody (1% BSA) was incubated at 4°C overnight. The primary is detected by a biotinylated secondary antibody and visualized tissue using an HRP conjugated SP system.

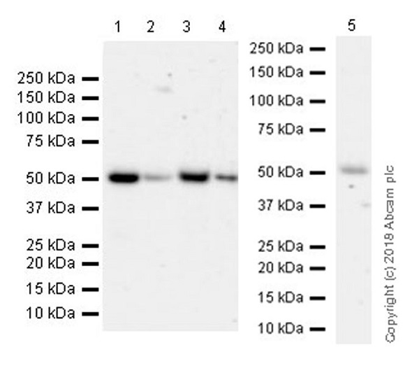
Western blot - Anti-SHARPIN antibody (AB236092)
  • WB

Supplier Data

Western blot - Anti-SHARPIN antibody (AB236092)

All lanes:

Western blot - Anti-SHARPIN antibody (ab236092) at 1/500 dilution

Lane 1:

HeLa (human epithelial cell line from cervix adenocarcinoma) whole cell lysate

Lane 2:

Jurkat (human T cell leukemia cell line from peripheral blood) whole cell lysate

Lane 3:

A549 (human lung carcinoma cell line) whole cell lysate

Lane 4:

L02 (human immortal liver cell line) whole cell lysate

Secondary

All lanes:

Goat polyclonal to rabbit IgG at 1/50000 dilution

Predicted band size: 40 kDa

false

Key facts

Host species

Rabbit

Clonality

Polyclonal

Isotype

IgG

Carrier free

No

Reacts with

Human

Applications

IHC-P, ICC/IF, WB

applications

Immunogen

Recombinant Fragment Protein within Human SHARPIN aa 50-200. The exact immunogen used to generate this antibody is proprietary information.

Q9H0F6

Reactivity data

{ "title": "Reactivity Data", "filters": { "stats": ["", "Species", "Dilution Info", "Notes"], "tabs": { "all-applications": {"fullname" : "All Applications", "shortname": "All Applications"}, "WB" : {"fullname" : "Western blot", "shortname":"WB"}, "IHCP" : {"fullname" : "Immunohistochemistry (Formalin/PFA-fixed paraffin-embedded sections)", "shortname":"IHC-P"}, "ICCIF" : {"fullname" : "Immunocytochemistry/ Immunofluorescence", "shortname":"ICC/IF"} }, "product-promise": { "all": "all", "testedAndGuaranteed": "tested", "guaranteed": "expected", "predicted": "predicted", "notRecommended": "not-recommended" } }, "values": { "Human": { "WB-species-checked": "testedAndGuaranteed", "WB-species-dilution-info": "1/500 - 1/5000", "WB-species-notes": "<p></p>", "IHCP-species-checked": "testedAndGuaranteed", "IHCP-species-dilution-info": "1/500 - 1/1000", "IHCP-species-notes": "<p></p>", "ICCIF-species-checked": "testedAndGuaranteed", "ICCIF-species-dilution-info": "1/50 - 1/200", "ICCIF-species-notes": "<p></p>" } } }

Properties and storage information

Form
Liquid
Purification technique
Affinity purification Protein G
Purification notes
Purity >95%.
Storage buffer
pH: 7.4 Preservative: 0.03% Proclin 300 Constituents: PBS, 50% Glycerol (glycerin, glycerine)
Shipped at conditions
Blue Ice
Appropriate short-term storage duration
1-2 weeks
Appropriate short-term storage conditions
+4°C
Appropriate long-term storage conditions
-20°C
Aliquoting information
Upon delivery aliquot
Storage information
Avoid freeze / thaw cycle

Supplementary information

This supplementary information is collated from multiple sources and compiled automatically.

SHARPIN also known as SHANK-associated RH domain-interacting protein is a multi-functional protein with a molecular mass of approximately 34 kDa. It primarily acts as a ubiquitin-binding protein and is a part of the LUBAC (Linear Ubiquitin Chain Assembly Complex) involved in various cellular signaling pathways. SHARPIN is expressed in a range of tissues but is highly abundant in lymphoid tissues and the brain. Its mechanical actions involve binding and modulating ubiquitin chains which plays a role in regulating protein stability and signaling processes in cells.
Biological function summary

SHARPIN engages in significant cellular functions by being a critical component of the LUBAC complex. This complex is central to the activation of NF-kB signaling by mediating linear ubiquitination of specific substrate proteins influencing inflammatory responses and cell death regulation. In the immune system SHARPIN regulates the TNF receptor signaling and helps maintain homeostasis. Its absence or mutation can lead to dysregulated cell survival and immune responses highlighting its importance in maintaining cellular functions.

Pathways

SHARPIN integrates into the NF-kB and Wnt signaling pathways which are vital for regulating immune responses and cell fate decisions. Within the NF-kB pathway SHARPIN cooperates with other LUBAC components such as HOIP and HOIL-1L to facilitate ubiquitination necessary for pathway activation. Additionally SHARPIN influences the Wnt pathway through interactions with Dishevelled proteins contributing to developmental and stem cell signaling. The coordination of these pathways by SHARPIN highlights its role in cellular communication and signaling.

SHARPIN has connections to conditions such as chronic inflammation and immunodeficiency syndromes. Dysregulation in SHARPIN function can contribute to chronic inflammatory diseases including psoriasis due to improper NF-kB pathway regulation. Its association with HOIP and HOIL-1L through the LUBAC complex also links it to autoinflammatory conditions characterized by immune system imbalances. SHARPIN mutations are implicated in skin and immune disorders reflecting its broad impact on health and disease manifestation.

Product protocols

For this product, it's our understanding that no specific protocols are required. You can visit:

Target data

Component of the LUBAC complex which conjugates linear polyubiquitin chains in a head-to-tail manner to substrates and plays a key role in NF-kappa-B activation and regulation of inflammation (PubMed : 21455173, PubMed : 21455180, PubMed : 21455181). LUBAC conjugates linear polyubiquitin to IKBKG and RIPK1 and is involved in activation of the canonical NF-kappa-B and the JNK signaling pathways (PubMed : 21455173, PubMed : 21455180, PubMed : 21455181). Linear ubiquitination mediated by the LUBAC complex interferes with TNF-induced cell death and thereby prevents inflammation (PubMed : 21455173, PubMed : 21455180, PubMed : 21455181). LUBAC is recruited to the TNF-R1 signaling complex (TNF-RSC) following polyubiquitination of TNF-RSC components by BIRC2 and/or BIRC3 and to conjugate linear polyubiquitin to IKBKG and possibly other components contributing to the stability of the complex (PubMed : 21455173, PubMed : 21455180, PubMed : 21455181). The LUBAC complex is also involved in innate immunity by conjugating linear polyubiquitin chains at the surface of bacteria invading the cytosol to form the ubiquitin coat surrounding bacteria (PubMed : 28481331). LUBAC is not able to initiate formation of the bacterial ubiquitin coat, and can only promote formation of linear polyubiquitins on pre-existing ubiquitin (PubMed : 28481331). The bacterial ubiquitin coat acts as an 'eat-me' signal for xenophagy and promotes NF-kappa-B activation (PubMed : 28481331). Together with OTULIN, the LUBAC complex regulates the canonical Wnt signaling during angiogenesis (PubMed : 23708998).
See full target information SHARPIN

Publications (1)

Recent publications for all applications. Explore the full list and refine your search

International journal of oncology 60: PubMed35506454

2022

Visfatin inhibits colon cancer cell apoptosis and decreases chemosensitivity to 5‑FU by promoting the SDF‑1/CXCR4/Akt axis.

Applications

Unspecified application

Species

Unspecified reactive species

Quan Zhao,Yaxin Long,Wen Cheng,Yingguang Huang,Jinyuan Li,Yuejin Li,Xing Li,Xiaodong Guo,Yu Li,Guosan Li,Kunmei Gong,Jian Zhang
View all publications

Product promise

We are committed to supporting your work with high-quality reagents, and we're here for you every step of the way. In the unlikely event that one of our products does not perform as expected, you're protected by our Product Promise.
For full details, please see our Terms & Conditions

Please note: All products are 'FOR RESEARCH USE ONLY. NOT FOR USE IN DIAGNOSTIC OR THERAPEUTIC PROCEDURES'.

For licensing inquiries, please contact partnerships@abcam.com