JavaScript is disabled in your browser. Please enable JavaScript to view this website.
AB131515

Anti-SHC antibody

Be the first to review this product! Submit a review

|

(2 Publications)

Rabbit Polyclonal SHC antibody. Suitable for WB, IHC-P, ICC/IF and reacts with Human samples. Cited in 2 publications. Immunogen corresponding to Synthetic Peptide within Human SHC1 aa 400-450 conjugated to Keyhole Limpet Haemocyanin.

View Alternative Names

SHC, SHCA, SHC1, SHC-transforming protein 1, SHC-transforming protein 3, SHC-transforming protein A, Src homology 2 domain-containing-transforming protein C1, SH2 domain protein C1

3 Images
Western blot - Anti-SHC antibody (AB131515)
  • WB

Unknown

Western blot - Anti-SHC antibody (AB131515)

All lanes:

Western blot - Anti-SHC antibody (ab131515) at 1/500 dilution

Lane 1:

293 cell extract with blocking peptide

Lane 2:

293 cell extract

Predicted band size: 62 kDa

false

Immunocytochemistry/ Immunofluorescence - Anti-SHC antibody (AB131515)
  • ICC/IF

Unknown

Immunocytochemistry/ Immunofluorescence - Anti-SHC antibody (AB131515)

Immunofluorescent analysis of methanol-fixed HeLa cells labelling SHC with ab131515 at 1/100 dilution.

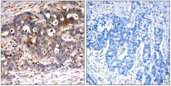
Immunohistochemistry (Formalin/PFA-fixed paraffin-embedded sections) - Anti-SHC antibody (AB131515)
  • IHC-P

Unknown

Immunohistochemistry (Formalin/PFA-fixed paraffin-embedded sections) - Anti-SHC antibody (AB131515)

Immunohistochemical analysis of paraffin-embedded Human breast carcinoma tissue labelling SHC with ab131515 at 1/50 dilution. The image on the right is treated with the synthesized peptide.

Key facts

Host species

Rabbit

Clonality

Polyclonal

Isotype

IgG

Carrier free

No

Reacts with

Human

Applications

IHC-P, WB, ICC/IF

applications

Immunogen

Synthetic Peptide within Human SHC1 aa 400-450 conjugated to Keyhole Limpet Haemocyanin. The exact immunogen used to generate this antibody is proprietary information.

P29353

Reactivity data

{ "title": "Reactivity Data", "filters": { "stats": ["", "Species", "Dilution Info", "Notes"], "tabs": { "all-applications": {"fullname" : "All Applications", "shortname": "All Applications"}, "WB" : {"fullname" : "Western blot", "shortname":"WB"}, "IHCP" : {"fullname" : "Immunohistochemistry (Formalin/PFA-fixed paraffin-embedded sections)", "shortname":"IHC-P"}, "ICCIF" : {"fullname" : "Immunocytochemistry/ Immunofluorescence", "shortname":"ICC/IF"} }, "product-promise": { "all": "all", "testedAndGuaranteed": "tested", "guaranteed": "expected", "predicted": "predicted", "notRecommended": "not-recommended" } }, "values": { "Human": { "WB-species-checked": "testedAndGuaranteed", "WB-species-dilution-info": "1/500 - 1/1000", "WB-species-notes": "<p></p>", "IHCP-species-checked": "testedAndGuaranteed", "IHCP-species-dilution-info": "1/50 - 1/100", "IHCP-species-notes": "<p></p>", "ICCIF-species-checked": "testedAndGuaranteed", "ICCIF-species-dilution-info": "1/100 - 1/200", "ICCIF-species-notes": "<p></p>" }, "Mouse": { "WB-species-checked": "predicted", "WB-species-dilution-info": "", "WB-species-notes": "", "IHCP-species-checked": "predicted", "IHCP-species-dilution-info": "", "IHCP-species-notes": "", "ICCIF-species-checked": "predicted", "ICCIF-species-dilution-info": "", "ICCIF-species-notes": "" }, "Rat": { "WB-species-checked": "predicted", "WB-species-dilution-info": "", "WB-species-notes": "", "IHCP-species-checked": "predicted", "IHCP-species-dilution-info": "", "IHCP-species-notes": "", "ICCIF-species-checked": "predicted", "ICCIF-species-dilution-info": "", "ICCIF-species-notes": "" } } }

Properties and storage information

Form
Liquid
Purification technique
Affinity purification Immunogen
Purification notes
ab131515 was purified by affinity chromatography using epitope specific peptide.
Storage buffer
pH: 7.4 Preservative: 0.02% Sodium azide Constituents: 50% Glycerol (glycerin, glycerine), 48% PBS, 0.88% Sodium chloride
Shipped at conditions
Blue Ice
Appropriate short-term storage conditions
+4°C
Appropriate long-term storage conditions
-20°C
Storage information
Stable for 12 months at -20°C

Supplementary information

This supplementary information is collated from multiple sources and compiled automatically.

SHC also known as Src homology 2 domain-containing transforming protein or p52Shc is an adaptor protein involved in signal transduction pathways. It has a molecular mass of approximately 52 kDa. SHC contains an SH2 domain which facilitates its binding to tyrosine-phosphorylated activated receptors. This protein is ubiquitously expressed with notable levels in tissues like the brain heart and melanocytes. Its role as a signaling adaptor makes it an important component for cell communication and function.
Biological function summary

The SHC protein transmits signals from cell surface receptors to downstream effectors. It does so by linking activated receptors to the Ras-MAPK signaling cascade. SHC often part of larger protein complexes interacts with proteins such as Grb2 and SOS to relay signals necessary for cell growth and differentiation. This interaction leads to the activation of Ras and subsequent mitogen-activated protein kinase pathways influencing various cellular responses.

Pathways

SHC is a central component of the MAPK/ERK and PI3K/AKT pathways which are important for cell growth and survival. In these pathways SHC mediates signals from receptor tyrosine kinases like the epidermal growth factor receptor (EGFR). By interacting with EGFR and other receptors SHC helps propagate signals essential for cellular proliferation and survival. SHC associates with proteins like Grb2 and SOS linking RTKs to the Ras signaling cascade.

SHC has been linked to cancer and cardiovascular diseases. In cancer abnormal SHC-mediated signaling can result from overexpression or mutation leading to unregulated cell proliferation. This abnormal activity often involves interactions with proteins like EGFR and Grb2 which drive oncogenic pathways. Regarding cardiovascular diseases changes in SHC expression or function can contribute to conditions like hypertrophy where SHC-associated pathways influence heart muscle growth and stress responses.

Product protocols

For this product, it's our understanding that no specific protocols are required. You can visit:

Target data

Signaling adapter that couples activated growth factor receptors to signaling pathways. Participates in a signaling cascade initiated by activated KIT and KITLG/SCF. Isoform p46Shc and isoform p52Shc, once phosphorylated, couple activated receptor tyrosine kinases to Ras via the recruitment of the GRB2/SOS complex and are implicated in the cytoplasmic propagation of mitogenic signals. Isoform p46Shc and isoform p52Shc may thus function as initiators of the Ras signaling cascade in various non-neuronal systems. Isoform p66Shc does not mediate Ras activation, but is involved in signal transduction pathways that regulate the cellular response to oxidative stress and life span. Isoform p66Shc acts as a downstream target of the tumor suppressor p53 and is indispensable for the ability of stress-activated p53 to induce elevation of intracellular oxidants, cytochrome c release and apoptosis. The expression of isoform p66Shc has been correlated with life span (By similarity). Participates in signaling downstream of the angiopoietin receptor TEK/TIE2, and plays a role in the regulation of endothelial cell migration and sprouting angiogenesis.
See full target information SHC1

Publications (2)

Recent publications for all applications. Explore the full list and refine your search

Nature cell biology 21:1553-1564 PubMed31768048

2019

Diurnal oscillations of endogenous HO sustained by p66 regulate circadian clocks.

Applications

Unspecified application

Species

Unspecified reactive species

Jian-Fei Pei,Xun-Kai Li,Wen-Qi Li,Qian Gao,Yang Zhang,Xiao-Man Wang,Jia-Qi Fu,Shen-Shen Cui,Jia-Hua Qu,Xiang Zhao,De-Long Hao,Dapeng Ju,Na Liu,Kate S Carroll,Jing Yang,Eric Erquan Zhang,Ji-Min Cao,Hou-Zao Chen,De-Pei Liu

Antioxidants & redox signaling 30:1949-1968 PubMed30484323

2019

Isosteviol Protects Free Fatty Acid- and High Fat Diet-Induced Hepatic Injury Modulating PKC-β/p66Shc/ROS and Endoplasmic Reticulum Stress Pathways.

Applications

Unspecified application

Species

Unspecified reactive species

Hongwei Yi,Deyi Xu,Xudong Wu,Fang Xu,Lin Lin,Huiping Zhou
View all publications

Product promise

We are committed to supporting your work with high-quality reagents, and we're here for you every step of the way. In the unlikely event that one of our products does not perform as expected, you're protected by our Product Promise.
For full details, please see our Terms & Conditions

Associated Products

Select an associated product type
Alternative Product
Primary Antibodies

AB24787

Anti-SHC antibody

primary-antibodies

shc-antibody-ab24787

5

(2 reviews)

Alternative Product
Primary Antibodies

AB68166

Anti-SHC (phospho Y427) antibody [EPR778(2)Y]

primary-antibodies

shc-phospho-y427-antibody-epr7782y-ab68166

0

(0 reviews)

Alternative Product
Primary Antibodies

AB33770

Anti-SHC antibody [EP332Y]

primary-antibodies

shc-antibody-ep332y-ab33770

0

(0 reviews)

Alternative Product
Primary Antibodies

AB238423

Anti-SHC antibody [EP332Y] - BSA and Azide free

primary-antibodies

shc-antibody-ep332y-bsa-and-azide-free-ab238423

0

(0 reviews)

Alternative Product
Primary Antibodies

AB109455

Anti-SHC (phospho Y239 + Y240) antibody [EP419]

primary-antibodies

shc-phospho-y239-y240-antibody-ep419-ab109455

0

(0 reviews)

Please note: All products are 'FOR RESEARCH USE ONLY. NOT FOR USE IN DIAGNOSTIC OR THERAPEUTIC PROCEDURES'.

For licensing inquiries, please contact partnerships@abcam.com